冷冻保存犬附睾精液的精子回收效率及扩展剂效果评价。

IF 2.3 2区 农林科学 Q2 VETERINARY SCIENCES
Elisabeth Bernklau, Axel Wehrend, Abbas Farshad
{"title":"冷冻保存犬附睾精液的精子回收效率及扩展剂效果评价。","authors":"Elisabeth Bernklau, Axel Wehrend, Abbas Farshad","doi":"10.3390/vetsci12090840","DOIUrl":null,"url":null,"abstract":"<p><p>(1) Background: Cryopreservation of epididymal spermatozoa in dogs is challenging due to their lower cryotolerance compared to ejaculated spermatozoa. Given the limited sperm volume obtained per individual, efficient recovery and preservation techniques are essential. (2) Methods: This study assessed sperm collection and cryopreservation methods from the cauda epididymis of ten dogs undergoing routine elective castration. After dissection and mincing, the cauda epididymidis tissue was incubated in 0.9% saline at 38 °C for either 10- or 30-min. Samples were analyzed for concentration and motility using AndroVision<sup>®</sup> software (CASA; AndroVision™; Minitüb GmbH) (Tiefenbach, Germany). Additional evaluations included histological examination, hypoosmotic swelling test, live/dead staining, and morphological assessments. Three extenders, custom-made Tris-Fructose-Citrate (Tris), custom-made Uppsala, and commercial Optixcell<sup>®</sup>, were used for cryopreservation and compared for post-thaw sperm quality. (3) Results: No significant differences were found between the 10- and 30-min incubation groups regarding sperm motility, viability, or histological integrity. The total sperm counts were 292 × 10<sup>6</sup> ± 175 × 10<sup>6</sup> for the 10 min group and 233 × 10<sup>6</sup> ± 162 × 10<sup>6</sup> for the 30 min group (<i>p</i> = 0.56). Histological sections revealed no significant difference in residual intraluminal spermatozoa between groups, indicating that 10 min of incubation is sufficient for effective sperm migration. Post-thaw sperm motility was significantly higher with Uppsala (17.2 ± 12.2%) and Optixcell<sup>®</sup> (11.7 ± 6.5%) compared to Tris (4.7 ± 4.8%). Morphological abnormalities were lowest in samples preserved with Optixcell<sup>®</sup> (37.5 ± 10.1%, <i>p</i> = 0.005). (4) Conclusion: A 10 min incubation period is adequate for efficient recovery of epididymal sperm in dogs. Among the tested extenders, Uppsala and Optixcell<sup>®</sup> demonstrated superior cryoprotective effects, resulting in better post-thaw motility and reduced morphological abnormalities compared to Tris.</p>","PeriodicalId":23694,"journal":{"name":"Veterinary Sciences","volume":"12 9","pages":""},"PeriodicalIF":2.3000,"publicationDate":"2025-08-31","publicationTypes":"Journal Article","fieldsOfStudy":null,"isOpenAccess":false,"openAccessPdf":"https://www.ncbi.nlm.nih.gov/pmc/articles/PMC12474033/pdf/","citationCount":"0","resultStr":"{\"title\":\"Evaluation of Sperm Retrieval Efficiency and Extender Impact in Cryopreserved Canine Epididymal Semen.\",\"authors\":\"Elisabeth Bernklau, Axel Wehrend, Abbas Farshad\",\"doi\":\"10.3390/vetsci12090840\",\"DOIUrl\":null,\"url\":null,\"abstract\":\"<p><p>(1) Background: Cryopreservation of epididymal spermatozoa in dogs is challenging due to their lower cryotolerance compared to ejaculated spermatozoa. Given the limited sperm volume obtained per individual, efficient recovery and preservation techniques are essential. (2) Methods: This study assessed sperm collection and cryopreservation methods from the cauda epididymis of ten dogs undergoing routine elective castration. After dissection and mincing, the cauda epididymidis tissue was incubated in 0.9% saline at 38 °C for either 10- or 30-min. Samples were analyzed for concentration and motility using AndroVision<sup>®</sup> software (CASA; AndroVision™; Minitüb GmbH) (Tiefenbach, Germany). Additional evaluations included histological examination, hypoosmotic swelling test, live/dead staining, and morphological assessments. Three extenders, custom-made Tris-Fructose-Citrate (Tris), custom-made Uppsala, and commercial Optixcell<sup>®</sup>, were used for cryopreservation and compared for post-thaw sperm quality. (3) Results: No significant differences were found between the 10- and 30-min incubation groups regarding sperm motility, viability, or histological integrity. The total sperm counts were 292 × 10<sup>6</sup> ± 175 × 10<sup>6</sup> for the 10 min group and 233 × 10<sup>6</sup> ± 162 × 10<sup>6</sup> for the 30 min group (<i>p</i> = 0.56). Histological sections revealed no significant difference in residual intraluminal spermatozoa between groups, indicating that 10 min of incubation is sufficient for effective sperm migration. Post-thaw sperm motility was significantly higher with Uppsala (17.2 ± 12.2%) and Optixcell<sup>®</sup> (11.7 ± 6.5%) compared to Tris (4.7 ± 4.8%). Morphological abnormalities were lowest in samples preserved with Optixcell<sup>®</sup> (37.5 ± 10.1%, <i>p</i> = 0.005). (4) Conclusion: A 10 min incubation period is adequate for efficient recovery of epididymal sperm in dogs. Among the tested extenders, Uppsala and Optixcell<sup>®</sup> demonstrated superior cryoprotective effects, resulting in better post-thaw motility and reduced morphological abnormalities compared to Tris.</p>\",\"PeriodicalId\":23694,\"journal\":{\"name\":\"Veterinary Sciences\",\"volume\":\"12 9\",\"pages\":\"\"},\"PeriodicalIF\":2.3000,\"publicationDate\":\"2025-08-31\",\"publicationTypes\":\"Journal Article\",\"fieldsOfStudy\":null,\"isOpenAccess\":false,\"openAccessPdf\":\"https://www.ncbi.nlm.nih.gov/pmc/articles/PMC12474033/pdf/\",\"citationCount\":\"0\",\"resultStr\":null,\"platform\":\"Semanticscholar\",\"paperid\":null,\"PeriodicalName\":\"Veterinary Sciences\",\"FirstCategoryId\":\"97\",\"ListUrlMain\":\"https://doi.org/10.3390/vetsci12090840\",\"RegionNum\":2,\"RegionCategory\":\"农林科学\",\"ArticlePicture\":[],\"TitleCN\":null,\"AbstractTextCN\":null,\"PMCID\":null,\"EPubDate\":\"\",\"PubModel\":\"\",\"JCR\":\"Q2\",\"JCRName\":\"VETERINARY SCIENCES\",\"Score\":null,\"Total\":0}","platform":"Semanticscholar","paperid":null,"PeriodicalName":"Veterinary Sciences","FirstCategoryId":"97","ListUrlMain":"https://doi.org/10.3390/vetsci12090840","RegionNum":2,"RegionCategory":"农林科学","ArticlePicture":[],"TitleCN":null,"AbstractTextCN":null,"PMCID":null,"EPubDate":"","PubModel":"","JCR":"Q2","JCRName":"VETERINARY SCIENCES","Score":null,"Total":0}
引用次数: 0

摘要

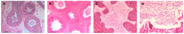
(1)背景:犬附睾精子的低温保存具有挑战性,因为与射精精子相比,犬附睾精子的低温耐受性较低。鉴于每个个体获得的精子数量有限,有效的恢复和保存技术是必不可少的。(2)方法:本研究评估了10只常规选择性去势犬附睾尾的精子收集和冷冻保存方法。分离、切碎后,将附睾尾组织置于38℃0.9%生理盐水中孵育10-或30分钟。使用AndroVision®软件(CASA; AndroVision™;minit GmbH) (Tiefenbach, Germany)分析样品的浓度和运动。其他评估包括组织学检查、渗血肿胀试验、活/死染色和形态学评估。使用定制的Tris-果糖-柠檬酸盐(Tris)、定制的乌普萨拉(Uppsala)和商用Optixcell®三种填充剂进行冷冻保存,并比较解冻后精子质量。(3)结果:10分钟和30分钟孵育组在精子活力、活力或组织学完整性方面没有显著差异。总精子数10min组为292 × 106±175 × 106, 30min组为233 × 106±162 × 106 (p = 0.56)。组织学切片显示各组间腔内残余精子数量无显著差异,说明10分钟的孵育足以使精子有效迁移。Uppsala(17.2±12.2%)和Optixcell®(11.7±6.5%)的解冻后精子活力显著高于Tris(4.7±4.8%)。Optixcell®保存标本的形态学异常最低(37.5±10.1%,p = 0.005)。(4)结论:10 min的潜伏期足以有效恢复犬附睾精子。在所测试的延长剂中,与Tris相比,Uppsala和Optixcell®表现出卓越的冷冻保护作用,导致更好的解冻后运动性和减少形态异常。
本文章由计算机程序翻译,如有差异,请以英文原文为准。

Evaluation of Sperm Retrieval Efficiency and Extender Impact in Cryopreserved Canine Epididymal Semen.

Evaluation of Sperm Retrieval Efficiency and Extender Impact in Cryopreserved Canine Epididymal Semen.

Evaluation of Sperm Retrieval Efficiency and Extender Impact in Cryopreserved Canine Epididymal Semen.

Evaluation of Sperm Retrieval Efficiency and Extender Impact in Cryopreserved Canine Epididymal Semen.

(1) Background: Cryopreservation of epididymal spermatozoa in dogs is challenging due to their lower cryotolerance compared to ejaculated spermatozoa. Given the limited sperm volume obtained per individual, efficient recovery and preservation techniques are essential. (2) Methods: This study assessed sperm collection and cryopreservation methods from the cauda epididymis of ten dogs undergoing routine elective castration. After dissection and mincing, the cauda epididymidis tissue was incubated in 0.9% saline at 38 °C for either 10- or 30-min. Samples were analyzed for concentration and motility using AndroVision® software (CASA; AndroVision™; Minitüb GmbH) (Tiefenbach, Germany). Additional evaluations included histological examination, hypoosmotic swelling test, live/dead staining, and morphological assessments. Three extenders, custom-made Tris-Fructose-Citrate (Tris), custom-made Uppsala, and commercial Optixcell®, were used for cryopreservation and compared for post-thaw sperm quality. (3) Results: No significant differences were found between the 10- and 30-min incubation groups regarding sperm motility, viability, or histological integrity. The total sperm counts were 292 × 106 ± 175 × 106 for the 10 min group and 233 × 106 ± 162 × 106 for the 30 min group (p = 0.56). Histological sections revealed no significant difference in residual intraluminal spermatozoa between groups, indicating that 10 min of incubation is sufficient for effective sperm migration. Post-thaw sperm motility was significantly higher with Uppsala (17.2 ± 12.2%) and Optixcell® (11.7 ± 6.5%) compared to Tris (4.7 ± 4.8%). Morphological abnormalities were lowest in samples preserved with Optixcell® (37.5 ± 10.1%, p = 0.005). (4) Conclusion: A 10 min incubation period is adequate for efficient recovery of epididymal sperm in dogs. Among the tested extenders, Uppsala and Optixcell® demonstrated superior cryoprotective effects, resulting in better post-thaw motility and reduced morphological abnormalities compared to Tris.

求助全文
通过发布文献求助,成功后即可免费获取论文全文。 去求助
来源期刊
Veterinary Sciences
Veterinary Sciences VETERINARY SCIENCES-
CiteScore
2.90
自引率
8.30%
发文量
612
审稿时长
6 weeks
期刊介绍: Veterinary Sciences is an international and interdisciplinary scholarly open access journal. It publishes original that are relevant to any field of veterinary sciences, including prevention, diagnosis and treatment of disease, disorder and injury in animals. This journal covers almost all topics related to animal health and veterinary medicine. Research fields of interest include but are not limited to: anaesthesiology anatomy bacteriology biochemistry cardiology dentistry dermatology embryology endocrinology epidemiology genetics histology immunology microbiology molecular biology mycology neurobiology oncology ophthalmology parasitology pathology pharmacology physiology radiology surgery theriogenology toxicology virology.
×
引用
GB/T 7714-2015
复制
MLA
复制
APA
复制
导出至
BibTeX EndNote RefMan NoteFirst NoteExpress
×
提示
您的信息不完整,为了账户安全,请先补充。
现在去补充
×
提示
您因"违规操作"
具体请查看互助需知
我知道了
×
提示
确定
请完成安全验证×
copy
已复制链接
快去分享给好友吧!
我知道了
右上角分享
点击右上角分享
0
联系我们:info@booksci.cn Book学术提供免费学术资源搜索服务,方便国内外学者检索中英文文献。致力于提供最便捷和优质的服务体验。 Copyright © 2023 布克学术 All rights reserved.
京ICP备2023020795号-1
ghs 京公网安备 11010802042870号
Book学术文献互助
Book学术文献互助群
群 号:604180095
Book学术官方微信