TERT启动子C250T突变在复发性颈脊索样脑膜瘤:一个独特的病例报告。

IF 2.5 3区 医学 Q3 ONCOLOGY
Xuanbo Shao, Zhuofan Xu, Penghao Liu, Teng Zhang, Yang Feng, Shaxi Zhu, Zan Chen, Wanru Duan
{"title":"TERT启动子C250T突变在复发性颈脊索样脑膜瘤:一个独特的病例报告。","authors":"Xuanbo Shao, Zhuofan Xu, Penghao Liu, Teng Zhang, Yang Feng, Shaxi Zhu, Zan Chen, Wanru Duan","doi":"10.1186/s12957-025-04003-w","DOIUrl":null,"url":null,"abstract":"<p><p>Chordoid meningioma (CM) is an uncommon histological variant of meningioma, typically found intracranially. Intraspinal occurrences, particularly in the cervical region, are exceedingly rare. We report a unique case of a 73-year-old male with cervical spinal CM who experienced tumor recurrence two years after gross total resection (GTR). Histopathological analysis confirmed the recurrence as anaplastic meningioma with telomerase reverse transcriptase (TERT) promoter C250T mutation, CNS WHO Grade 3-marking the first documented association of this mutation with spinal CM. This case underscores the diagnostic, molecular, and prognostic complexities of spinal CM and highlights the critical role of TERT promoter mutation in tumor behavior and classification.</p>","PeriodicalId":23856,"journal":{"name":"World Journal of Surgical Oncology","volume":"23 1","pages":"344"},"PeriodicalIF":2.5000,"publicationDate":"2025-09-26","publicationTypes":"Journal Article","fieldsOfStudy":null,"isOpenAccess":false,"openAccessPdf":"https://www.ncbi.nlm.nih.gov/pmc/articles/PMC12466048/pdf/","citationCount":"0","resultStr":"{\"title\":\"TERT promoter C250T mutation in a recurrent cervical chordoid meningioma: a unique case report.\",\"authors\":\"Xuanbo Shao, Zhuofan Xu, Penghao Liu, Teng Zhang, Yang Feng, Shaxi Zhu, Zan Chen, Wanru Duan\",\"doi\":\"10.1186/s12957-025-04003-w\",\"DOIUrl\":null,\"url\":null,\"abstract\":\"<p><p>Chordoid meningioma (CM) is an uncommon histological variant of meningioma, typically found intracranially. Intraspinal occurrences, particularly in the cervical region, are exceedingly rare. We report a unique case of a 73-year-old male with cervical spinal CM who experienced tumor recurrence two years after gross total resection (GTR). Histopathological analysis confirmed the recurrence as anaplastic meningioma with telomerase reverse transcriptase (TERT) promoter C250T mutation, CNS WHO Grade 3-marking the first documented association of this mutation with spinal CM. This case underscores the diagnostic, molecular, and prognostic complexities of spinal CM and highlights the critical role of TERT promoter mutation in tumor behavior and classification.</p>\",\"PeriodicalId\":23856,\"journal\":{\"name\":\"World Journal of Surgical Oncology\",\"volume\":\"23 1\",\"pages\":\"344\"},\"PeriodicalIF\":2.5000,\"publicationDate\":\"2025-09-26\",\"publicationTypes\":\"Journal Article\",\"fieldsOfStudy\":null,\"isOpenAccess\":false,\"openAccessPdf\":\"https://www.ncbi.nlm.nih.gov/pmc/articles/PMC12466048/pdf/\",\"citationCount\":\"0\",\"resultStr\":null,\"platform\":\"Semanticscholar\",\"paperid\":null,\"PeriodicalName\":\"World Journal of Surgical Oncology\",\"FirstCategoryId\":\"3\",\"ListUrlMain\":\"https://doi.org/10.1186/s12957-025-04003-w\",\"RegionNum\":3,\"RegionCategory\":\"医学\",\"ArticlePicture\":[],\"TitleCN\":null,\"AbstractTextCN\":null,\"PMCID\":null,\"EPubDate\":\"\",\"PubModel\":\"\",\"JCR\":\"Q3\",\"JCRName\":\"ONCOLOGY\",\"Score\":null,\"Total\":0}","platform":"Semanticscholar","paperid":null,"PeriodicalName":"World Journal of Surgical Oncology","FirstCategoryId":"3","ListUrlMain":"https://doi.org/10.1186/s12957-025-04003-w","RegionNum":3,"RegionCategory":"医学","ArticlePicture":[],"TitleCN":null,"AbstractTextCN":null,"PMCID":null,"EPubDate":"","PubModel":"","JCR":"Q3","JCRName":"ONCOLOGY","Score":null,"Total":0}
引用次数: 0

摘要

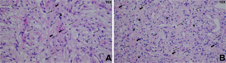
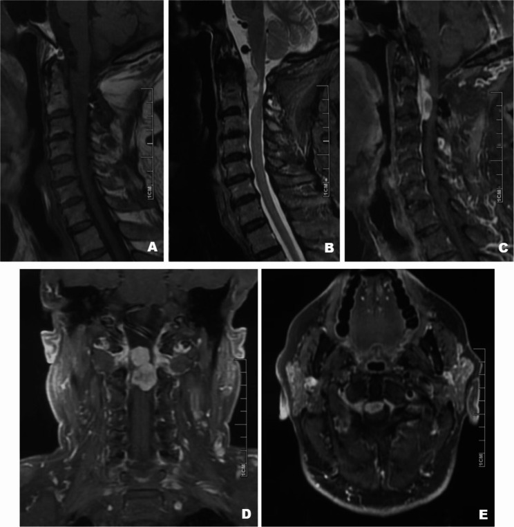
脊索样脑膜瘤(CM)是一种少见的脑膜瘤的组织学变异,通常在颅内发现。椎管内的发生,特别是在颈椎区域,是非常罕见的。我们报告一个独特的情况下,73岁的男性颈椎CM谁经历了肿瘤复发两年后的总切除(GTR)。组织病理学分析证实复发为端粒酶逆转录酶(TERT)启动子C250T突变的间变性脑膜瘤,CNS WHO分级3-标志着该突变与脊柱CM的首次文献关联。该病例强调了脊柱CM的诊断、分子和预后复杂性,并强调了TERT启动子突变在肿瘤行为和分类中的关键作用。
本文章由计算机程序翻译,如有差异,请以英文原文为准。

TERT promoter C250T mutation in a recurrent cervical chordoid meningioma: a unique case report.

TERT promoter C250T mutation in a recurrent cervical chordoid meningioma: a unique case report.

TERT promoter C250T mutation in a recurrent cervical chordoid meningioma: a unique case report.

TERT promoter C250T mutation in a recurrent cervical chordoid meningioma: a unique case report.

Chordoid meningioma (CM) is an uncommon histological variant of meningioma, typically found intracranially. Intraspinal occurrences, particularly in the cervical region, are exceedingly rare. We report a unique case of a 73-year-old male with cervical spinal CM who experienced tumor recurrence two years after gross total resection (GTR). Histopathological analysis confirmed the recurrence as anaplastic meningioma with telomerase reverse transcriptase (TERT) promoter C250T mutation, CNS WHO Grade 3-marking the first documented association of this mutation with spinal CM. This case underscores the diagnostic, molecular, and prognostic complexities of spinal CM and highlights the critical role of TERT promoter mutation in tumor behavior and classification.

求助全文
通过发布文献求助,成功后即可免费获取论文全文。 去求助
来源期刊
CiteScore
4.70
自引率
15.60%
发文量
362
审稿时长
3 months
期刊介绍: World Journal of Surgical Oncology publishes articles related to surgical oncology and its allied subjects, such as epidemiology, cancer research, biomarkers, prevention, pathology, radiology, cancer treatment, clinical trials, multimodality treatment and molecular biology. Emphasis is placed on original research articles. The journal also publishes significant clinical case reports, as well as balanced and timely reviews on selected topics. Oncology is a multidisciplinary super-speciality of which surgical oncology forms an integral component, especially with solid tumors. Surgical oncologists around the world are involved in research extending from detecting the mechanisms underlying the causation of cancer, to its treatment and prevention. The role of a surgical oncologist extends across the whole continuum of care. With continued developments in diagnosis and treatment, the role of a surgical oncologist is ever-changing. Hence, World Journal of Surgical Oncology aims to keep readers abreast with latest developments that will ultimately influence the work of surgical oncologists.
×
引用
GB/T 7714-2015
复制
MLA
复制
APA
复制
导出至
BibTeX EndNote RefMan NoteFirst NoteExpress
×
提示
您的信息不完整,为了账户安全,请先补充。
现在去补充
×
提示
您因"违规操作"
具体请查看互助需知
我知道了
×
提示
确定
请完成安全验证×
copy
已复制链接
快去分享给好友吧!
我知道了
右上角分享
点击右上角分享
0
联系我们:info@booksci.cn Book学术提供免费学术资源搜索服务,方便国内外学者检索中英文文献。致力于提供最便捷和优质的服务体验。 Copyright © 2023 布克学术 All rights reserved.
京ICP备2023020795号-1
ghs 京公网安备 11010802042870号
Book学术文献互助
Book学术文献互助群
群 号:604180095
Book学术官方微信