加那利群岛布氏鼻虫鸟痘病毒感染的病理和分子特征。

IF 2.3 2区 农林科学 Q2 VETERINARY SCIENCES
Ana Colom-Rivero, Antonio Fernández, Lucía Marrero-Ponce, Derke Padrón-Ramírez, Lucía Caballero-Hernández, Candela Rivero-Herrera, Cristian M Suárez-Santana, Eva Sierra
{"title":"加那利群岛布氏鼻虫鸟痘病毒感染的病理和分子特征。","authors":"Ana Colom-Rivero, Antonio Fernández, Lucía Marrero-Ponce, Derke Padrón-Ramírez, Lucía Caballero-Hernández, Candela Rivero-Herrera, Cristian M Suárez-Santana, Eva Sierra","doi":"10.3390/vetsci12090849","DOIUrl":null,"url":null,"abstract":"<p><p>Avian poxvirus was diagnosed in eight wild Stone-curlews (<i>Burhinus oedicnemus</i>) from the Canary Islands, based on a combination of pathological and molecular analysis. Affected birds exhibited lesions consistent with poxvirus infection; three of four with mild lesions (≤2 on pelvic limbs, excluding phalanges) were successfully rehabilitated and released, while four with moderate (≤2 on phalanges) to severe lesions (≥3 on phalanges) potentially faced impaired mobility, increased predation risk, and reduced foraging efficiency. Histopathology of six individuals revealed Bollinger bodies, characteristic of <i>Avipoxvirus</i> infection, and molecular analysis confirmed the presence of viral DNA in six cases. Three genetically distinct viral variants were identified, each associated with different phylogenetic clades and subclades, suggesting substantial viral diversity within this host species. Co-infection with <i>Aspergillus fumigatus</i> was also detected in six of the eight birds, confirmed by molecular analysis in either skin lesions or lung tissue. To our knowledge, this represents the first report of <i>A. fumigatus</i> co-infection in Stone-curlews with <i>Avipoxvirus</i>. Additionally, one individual presented a tumor-like lesion, expanding the known pathological manifestations of the disease. These findings provide new insights into avian pox and highlight the importance of considering fungal co-infections in the differential diagnosis, given their potential to exacerbate disease severity.</p>","PeriodicalId":23694,"journal":{"name":"Veterinary Sciences","volume":"12 9","pages":""},"PeriodicalIF":2.3000,"publicationDate":"2025-09-02","publicationTypes":"Journal Article","fieldsOfStudy":null,"isOpenAccess":false,"openAccessPdf":"https://www.ncbi.nlm.nih.gov/pmc/articles/PMC12474141/pdf/","citationCount":"0","resultStr":"{\"title\":\"Pathological and Molecular Characterization of <i>Avipoxvirus</i> Infection in <i>Burhinus oedicnemus</i> in the Canary Islands.\",\"authors\":\"Ana Colom-Rivero, Antonio Fernández, Lucía Marrero-Ponce, Derke Padrón-Ramírez, Lucía Caballero-Hernández, Candela Rivero-Herrera, Cristian M Suárez-Santana, Eva Sierra\",\"doi\":\"10.3390/vetsci12090849\",\"DOIUrl\":null,\"url\":null,\"abstract\":\"<p><p>Avian poxvirus was diagnosed in eight wild Stone-curlews (<i>Burhinus oedicnemus</i>) from the Canary Islands, based on a combination of pathological and molecular analysis. Affected birds exhibited lesions consistent with poxvirus infection; three of four with mild lesions (≤2 on pelvic limbs, excluding phalanges) were successfully rehabilitated and released, while four with moderate (≤2 on phalanges) to severe lesions (≥3 on phalanges) potentially faced impaired mobility, increased predation risk, and reduced foraging efficiency. Histopathology of six individuals revealed Bollinger bodies, characteristic of <i>Avipoxvirus</i> infection, and molecular analysis confirmed the presence of viral DNA in six cases. Three genetically distinct viral variants were identified, each associated with different phylogenetic clades and subclades, suggesting substantial viral diversity within this host species. Co-infection with <i>Aspergillus fumigatus</i> was also detected in six of the eight birds, confirmed by molecular analysis in either skin lesions or lung tissue. To our knowledge, this represents the first report of <i>A. fumigatus</i> co-infection in Stone-curlews with <i>Avipoxvirus</i>. Additionally, one individual presented a tumor-like lesion, expanding the known pathological manifestations of the disease. These findings provide new insights into avian pox and highlight the importance of considering fungal co-infections in the differential diagnosis, given their potential to exacerbate disease severity.</p>\",\"PeriodicalId\":23694,\"journal\":{\"name\":\"Veterinary Sciences\",\"volume\":\"12 9\",\"pages\":\"\"},\"PeriodicalIF\":2.3000,\"publicationDate\":\"2025-09-02\",\"publicationTypes\":\"Journal Article\",\"fieldsOfStudy\":null,\"isOpenAccess\":false,\"openAccessPdf\":\"https://www.ncbi.nlm.nih.gov/pmc/articles/PMC12474141/pdf/\",\"citationCount\":\"0\",\"resultStr\":null,\"platform\":\"Semanticscholar\",\"paperid\":null,\"PeriodicalName\":\"Veterinary Sciences\",\"FirstCategoryId\":\"97\",\"ListUrlMain\":\"https://doi.org/10.3390/vetsci12090849\",\"RegionNum\":2,\"RegionCategory\":\"农林科学\",\"ArticlePicture\":[],\"TitleCN\":null,\"AbstractTextCN\":null,\"PMCID\":null,\"EPubDate\":\"\",\"PubModel\":\"\",\"JCR\":\"Q2\",\"JCRName\":\"VETERINARY SCIENCES\",\"Score\":null,\"Total\":0}","platform":"Semanticscholar","paperid":null,"PeriodicalName":"Veterinary Sciences","FirstCategoryId":"97","ListUrlMain":"https://doi.org/10.3390/vetsci12090849","RegionNum":2,"RegionCategory":"农林科学","ArticlePicture":[],"TitleCN":null,"AbstractTextCN":null,"PMCID":null,"EPubDate":"","PubModel":"","JCR":"Q2","JCRName":"VETERINARY SCIENCES","Score":null,"Total":0}
引用次数: 0

摘要

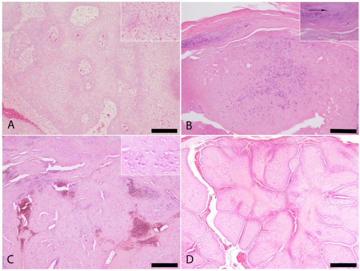
基于病理和分子分析相结合的方法,在加那利群岛的8只野生石鹬(Burhinus oedicnemus)中诊断出禽痘病毒。受感染禽鸟表现出与痘病毒感染一致的病变;轻度病变(骨盆肢体不包括指骨≤2)的4名患者中有3名成功康复并出院,而中度(指骨≤2)至重度病变(指骨≥3)的4名患者可能面临活动能力受损、捕食风险增加和觅食效率降低的问题。6例患者经组织病理学检查发现具有鸟痘病毒感染特征的Bollinger小体,分子分析证实6例患者存在病毒DNA。鉴定出三种遗传上不同的病毒变体,每种变体都与不同的系统发育分支和亚分支相关,表明该宿主物种中存在大量病毒多样性。8只禽鸟中有6只同时感染烟曲霉,经皮肤病变或肺组织的分子分析证实。据我们所知,这是首次报道烟抽伊虫与鸟痘病毒在石斑鱼中同时感染。此外,1例患者出现肿瘤样病变,扩大了该疾病已知的病理表现。这些发现为禽痘提供了新的见解,并强调了考虑真菌合并感染在鉴别诊断中的重要性,因为它们有可能加剧疾病的严重程度。
本文章由计算机程序翻译,如有差异,请以英文原文为准。

Pathological and Molecular Characterization of <i>Avipoxvirus</i> Infection in <i>Burhinus oedicnemus</i> in the Canary Islands.

Pathological and Molecular Characterization of <i>Avipoxvirus</i> Infection in <i>Burhinus oedicnemus</i> in the Canary Islands.

Pathological and Molecular Characterization of <i>Avipoxvirus</i> Infection in <i>Burhinus oedicnemus</i> in the Canary Islands.

Pathological and Molecular Characterization of Avipoxvirus Infection in Burhinus oedicnemus in the Canary Islands.

Avian poxvirus was diagnosed in eight wild Stone-curlews (Burhinus oedicnemus) from the Canary Islands, based on a combination of pathological and molecular analysis. Affected birds exhibited lesions consistent with poxvirus infection; three of four with mild lesions (≤2 on pelvic limbs, excluding phalanges) were successfully rehabilitated and released, while four with moderate (≤2 on phalanges) to severe lesions (≥3 on phalanges) potentially faced impaired mobility, increased predation risk, and reduced foraging efficiency. Histopathology of six individuals revealed Bollinger bodies, characteristic of Avipoxvirus infection, and molecular analysis confirmed the presence of viral DNA in six cases. Three genetically distinct viral variants were identified, each associated with different phylogenetic clades and subclades, suggesting substantial viral diversity within this host species. Co-infection with Aspergillus fumigatus was also detected in six of the eight birds, confirmed by molecular analysis in either skin lesions or lung tissue. To our knowledge, this represents the first report of A. fumigatus co-infection in Stone-curlews with Avipoxvirus. Additionally, one individual presented a tumor-like lesion, expanding the known pathological manifestations of the disease. These findings provide new insights into avian pox and highlight the importance of considering fungal co-infections in the differential diagnosis, given their potential to exacerbate disease severity.

求助全文
通过发布文献求助,成功后即可免费获取论文全文。 去求助
来源期刊
Veterinary Sciences
Veterinary Sciences VETERINARY SCIENCES-
CiteScore
2.90
自引率
8.30%
发文量
612
审稿时长
6 weeks
期刊介绍: Veterinary Sciences is an international and interdisciplinary scholarly open access journal. It publishes original that are relevant to any field of veterinary sciences, including prevention, diagnosis and treatment of disease, disorder and injury in animals. This journal covers almost all topics related to animal health and veterinary medicine. Research fields of interest include but are not limited to: anaesthesiology anatomy bacteriology biochemistry cardiology dentistry dermatology embryology endocrinology epidemiology genetics histology immunology microbiology molecular biology mycology neurobiology oncology ophthalmology parasitology pathology pharmacology physiology radiology surgery theriogenology toxicology virology.
×
引用
GB/T 7714-2015
复制
MLA
复制
APA
复制
导出至
BibTeX EndNote RefMan NoteFirst NoteExpress
×
提示
您的信息不完整,为了账户安全,请先补充。
现在去补充
×
提示
您因"违规操作"
具体请查看互助需知
我知道了
×
提示
确定
请完成安全验证×
copy
已复制链接
快去分享给好友吧!
我知道了
右上角分享
点击右上角分享
0
联系我们:info@booksci.cn Book学术提供免费学术资源搜索服务,方便国内外学者检索中英文文献。致力于提供最便捷和优质的服务体验。 Copyright © 2023 布克学术 All rights reserved.
京ICP备2023020795号-1
ghs 京公网安备 11010802042870号
Book学术文献互助
Book学术文献互助群
群 号:604180095
Book学术官方微信