克氏原螯虾(Girard, 1852)暴露于CuSO4、pdimealin和草甘膦个体下的转录组分析。

IF 4.1 3区 环境科学与生态学 Q2 ENVIRONMENTAL SCIENCES
Toxics Pub Date : 2025-09-09 DOI:10.3390/toxics13090765
Yao Zheng, Jiajia Li, Zhuping Liu, Ning Wang, Gangchun Xu
{"title":"克氏原螯虾(Girard, 1852)暴露于CuSO4、pdimealin和草甘膦个体下的转录组分析。","authors":"Yao Zheng, Jiajia Li, Zhuping Liu, Ning Wang, Gangchun Xu","doi":"10.3390/toxics13090765","DOIUrl":null,"url":null,"abstract":"<p><p>Pesticide usage in the integrated rice-crayfish system has aroused lots of attention all over the world. Especially in China, fish farmers often use copper sulfate and pendimethalin to remove moss from aquaculture water and glyphosate to remove weeds in and around crayfish-crab mixed culture ponds. To explore the stress response mechanism of CuSO<sub>4</sub>, pendimethalin, and glyphosate to the hepatopancreas of <i>Procambarus clarkii</i> (Girard, 1852), seven treatment groups including control, CuSO<sub>4</sub> (1 and 2 mg·L<sup>-1</sup>), pendimethalin (PND, 5 and 10 μg·L<sup>-1</sup>), and glyphosate (5 and 10 μg·L<sup>-1</sup>) experimental groups were set up; the transcriptome responses were detected at 4, 8, and 12 days, respectively. The irregular structure and vacuoles were shown in the hepatopancreas for 2 mg·L<sup>-1</sup> CuSO<sub>4</sub> and 10 μg·L<sup>-1</sup> glyphosate exposures at 12 d, while narrowed hepatic sinusoids were revealed after 10 μg·L<sup>-1</sup> pendimethalin exposure. The pathways of ribosome, lysosome, and peroxisome were significantly enriched for differential expression genes (DEGs); in addition, tyrosine metabolism, starch, and sucrose metabolism were enriched under the stress of the three inputs. Genes in related pathways such as glycerophospholipid metabolism, oxidative phosphorylation, and glycerolipid metabolism also changed, and the expression of genes associated with oxidative phosphorylation changed significantly under the stress of the three inputs. Oxidative stress, neurotoxicity, metabolism, and energy supply have been significantly affected by the above herbicide exposure. High concentrations and/or long-term duration exposure may result in metabolic disorders rather than eliminate toxicity through adaptability responses.</p>","PeriodicalId":23195,"journal":{"name":"Toxics","volume":"13 9","pages":""},"PeriodicalIF":4.1000,"publicationDate":"2025-09-09","publicationTypes":"Journal Article","fieldsOfStudy":null,"isOpenAccess":false,"openAccessPdf":"https://www.ncbi.nlm.nih.gov/pmc/articles/PMC12474170/pdf/","citationCount":"0","resultStr":"{\"title\":\"Transcriptome Analyses of <i>Procambarus clarkii</i> (Girard, 1852) Under Individual Exposures to CuSO<sub>4</sub>, Pendimethalin, and Glyphosate.\",\"authors\":\"Yao Zheng, Jiajia Li, Zhuping Liu, Ning Wang, Gangchun Xu\",\"doi\":\"10.3390/toxics13090765\",\"DOIUrl\":null,\"url\":null,\"abstract\":\"<p><p>Pesticide usage in the integrated rice-crayfish system has aroused lots of attention all over the world. Especially in China, fish farmers often use copper sulfate and pendimethalin to remove moss from aquaculture water and glyphosate to remove weeds in and around crayfish-crab mixed culture ponds. To explore the stress response mechanism of CuSO<sub>4</sub>, pendimethalin, and glyphosate to the hepatopancreas of <i>Procambarus clarkii</i> (Girard, 1852), seven treatment groups including control, CuSO<sub>4</sub> (1 and 2 mg·L<sup>-1</sup>), pendimethalin (PND, 5 and 10 μg·L<sup>-1</sup>), and glyphosate (5 and 10 μg·L<sup>-1</sup>) experimental groups were set up; the transcriptome responses were detected at 4, 8, and 12 days, respectively. The irregular structure and vacuoles were shown in the hepatopancreas for 2 mg·L<sup>-1</sup> CuSO<sub>4</sub> and 10 μg·L<sup>-1</sup> glyphosate exposures at 12 d, while narrowed hepatic sinusoids were revealed after 10 μg·L<sup>-1</sup> pendimethalin exposure. The pathways of ribosome, lysosome, and peroxisome were significantly enriched for differential expression genes (DEGs); in addition, tyrosine metabolism, starch, and sucrose metabolism were enriched under the stress of the three inputs. Genes in related pathways such as glycerophospholipid metabolism, oxidative phosphorylation, and glycerolipid metabolism also changed, and the expression of genes associated with oxidative phosphorylation changed significantly under the stress of the three inputs. Oxidative stress, neurotoxicity, metabolism, and energy supply have been significantly affected by the above herbicide exposure. High concentrations and/or long-term duration exposure may result in metabolic disorders rather than eliminate toxicity through adaptability responses.</p>\",\"PeriodicalId\":23195,\"journal\":{\"name\":\"Toxics\",\"volume\":\"13 9\",\"pages\":\"\"},\"PeriodicalIF\":4.1000,\"publicationDate\":\"2025-09-09\",\"publicationTypes\":\"Journal Article\",\"fieldsOfStudy\":null,\"isOpenAccess\":false,\"openAccessPdf\":\"https://www.ncbi.nlm.nih.gov/pmc/articles/PMC12474170/pdf/\",\"citationCount\":\"0\",\"resultStr\":null,\"platform\":\"Semanticscholar\",\"paperid\":null,\"PeriodicalName\":\"Toxics\",\"FirstCategoryId\":\"93\",\"ListUrlMain\":\"https://doi.org/10.3390/toxics13090765\",\"RegionNum\":3,\"RegionCategory\":\"环境科学与生态学\",\"ArticlePicture\":[],\"TitleCN\":null,\"AbstractTextCN\":null,\"PMCID\":null,\"EPubDate\":\"\",\"PubModel\":\"\",\"JCR\":\"Q2\",\"JCRName\":\"ENVIRONMENTAL SCIENCES\",\"Score\":null,\"Total\":0}","platform":"Semanticscholar","paperid":null,"PeriodicalName":"Toxics","FirstCategoryId":"93","ListUrlMain":"https://doi.org/10.3390/toxics13090765","RegionNum":3,"RegionCategory":"环境科学与生态学","ArticlePicture":[],"TitleCN":null,"AbstractTextCN":null,"PMCID":null,"EPubDate":"","PubModel":"","JCR":"Q2","JCRName":"ENVIRONMENTAL SCIENCES","Score":null,"Total":0}
引用次数: 0

摘要

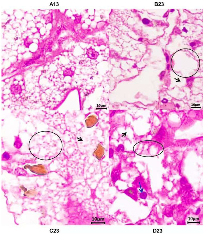
水稻-小龙虾综合养殖系统的农药使用问题已引起世界各国的广泛关注。特别是在中国,养殖户经常使用硫酸铜和二甲甲烷去除水产养殖水中的苔藓,使用草甘膦去除小龙虾蟹混合养殖池塘及其周围的杂草。为探讨CuSO4、戊二甲基灵和草甘膦对克氏原螯虾肝胰腺的应激反应机制(Girard, 1852),设置对照组、CuSO4(1和2 mg·L-1)、戊二甲基灵(PND, 5和10 μg·L-1)和草甘膦(5和10 μg·L-1) 7个处理组;分别在第4、8和12天检测转录组反应。2 mg·L-1 CuSO4和10 μg·L-1草甘膦暴露12 d后肝胰腺出现不规则结构和空泡,10 μg·L-1戊二甲基萘暴露12 d后肝窦变窄。差异表达基因(DEGs)的核糖体、溶酶体和过氧化物酶体通路显著富集;此外,在三种输入胁迫下,酪氨酸代谢、淀粉代谢和蔗糖代谢均增加。甘油磷脂代谢、氧化磷酸化、甘油脂代谢等相关通路的基因也发生了变化,在三种输入的胁迫下,氧化磷酸化相关基因的表达发生了显著变化。上述除草剂暴露对氧化应激、神经毒性、代谢和能量供应均有显著影响。高浓度和/或长期暴露可能导致代谢紊乱,而不是通过适应性反应消除毒性。
本文章由计算机程序翻译,如有差异,请以英文原文为准。

Transcriptome Analyses of <i>Procambarus clarkii</i> (Girard, 1852) Under Individual Exposures to CuSO<sub>4</sub>, Pendimethalin, and Glyphosate.

Transcriptome Analyses of <i>Procambarus clarkii</i> (Girard, 1852) Under Individual Exposures to CuSO<sub>4</sub>, Pendimethalin, and Glyphosate.

Transcriptome Analyses of <i>Procambarus clarkii</i> (Girard, 1852) Under Individual Exposures to CuSO<sub>4</sub>, Pendimethalin, and Glyphosate.

Transcriptome Analyses of Procambarus clarkii (Girard, 1852) Under Individual Exposures to CuSO4, Pendimethalin, and Glyphosate.

Pesticide usage in the integrated rice-crayfish system has aroused lots of attention all over the world. Especially in China, fish farmers often use copper sulfate and pendimethalin to remove moss from aquaculture water and glyphosate to remove weeds in and around crayfish-crab mixed culture ponds. To explore the stress response mechanism of CuSO4, pendimethalin, and glyphosate to the hepatopancreas of Procambarus clarkii (Girard, 1852), seven treatment groups including control, CuSO4 (1 and 2 mg·L-1), pendimethalin (PND, 5 and 10 μg·L-1), and glyphosate (5 and 10 μg·L-1) experimental groups were set up; the transcriptome responses were detected at 4, 8, and 12 days, respectively. The irregular structure and vacuoles were shown in the hepatopancreas for 2 mg·L-1 CuSO4 and 10 μg·L-1 glyphosate exposures at 12 d, while narrowed hepatic sinusoids were revealed after 10 μg·L-1 pendimethalin exposure. The pathways of ribosome, lysosome, and peroxisome were significantly enriched for differential expression genes (DEGs); in addition, tyrosine metabolism, starch, and sucrose metabolism were enriched under the stress of the three inputs. Genes in related pathways such as glycerophospholipid metabolism, oxidative phosphorylation, and glycerolipid metabolism also changed, and the expression of genes associated with oxidative phosphorylation changed significantly under the stress of the three inputs. Oxidative stress, neurotoxicity, metabolism, and energy supply have been significantly affected by the above herbicide exposure. High concentrations and/or long-term duration exposure may result in metabolic disorders rather than eliminate toxicity through adaptability responses.

求助全文
通过发布文献求助,成功后即可免费获取论文全文。 去求助
来源期刊
Toxics
Toxics Chemical Engineering-Chemical Health and Safety
CiteScore
4.50
自引率
10.90%
发文量
681
审稿时长
6 weeks
期刊介绍: Toxics (ISSN 2305-6304) is an international, peer-reviewed, open access journal which provides an advanced forum for studies related to all aspects of toxic chemicals and materials. It publishes reviews, regular research papers, and short communications. Our aim is to encourage scientists to publish their experimental and theoretical results in detail. There is, therefore, no restriction on the maximum length of the papers, although authors should write their papers in a clear and concise way. The full experimental details must be provided so that the results can be reproduced. Electronic files or software regarding the full details of calculations and experimental procedure can be deposited as supplementary material, if it is not possible to publish them along with the text.
×
引用
GB/T 7714-2015
复制
MLA
复制
APA
复制
导出至
BibTeX EndNote RefMan NoteFirst NoteExpress
×
提示
您的信息不完整,为了账户安全,请先补充。
现在去补充
×
提示
您因"违规操作"
具体请查看互助需知
我知道了
×
提示
确定
请完成安全验证×
copy
已复制链接
快去分享给好友吧!
我知道了
右上角分享
点击右上角分享
0
联系我们:info@booksci.cn Book学术提供免费学术资源搜索服务,方便国内外学者检索中英文文献。致力于提供最便捷和优质的服务体验。 Copyright © 2023 布克学术 All rights reserved.
京ICP备2023020795号-1
ghs 京公网安备 11010802042870号
Book学术文献互助
Book学术文献互助群
群 号:604180095
Book学术官方微信