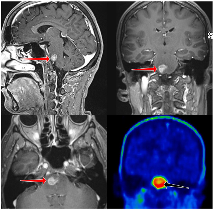
脑干胶质瘤预测:静态FET PET/CT。

IF 4.4 2区 医学 Q1 ONCOLOGY
Cancers Pub Date : 2025-09-19 DOI:10.3390/cancers17183065
Dávid Gergő Nagy, Júlia Singer, Katalin Borbély
{"title":"脑干胶质瘤预测:静态FET PET/CT。","authors":"Dávid Gergő Nagy, Júlia Singer, Katalin Borbély","doi":"10.3390/cancers17183065","DOIUrl":null,"url":null,"abstract":"<p><strong>Background/objectives: </strong>The classification and staging of brainstem glioma have its own pitfalls. Surgical biopsy is only possible in a small number of cases. Diagnosis relies mainly on radiological features. Any treatment may have a significant impact on quality of life; therefore, the correct and early identification of potentially malignant lesions is essential to initiate proper therapy. Amino acid PET/CT with accurate metabolic mapping can help in this decision-making.</p><p><strong>Methods: </strong>We performed a retrospective analysis of 20 patients who underwent static FET PET/CT with uncertain brainstem lesions between November 2019 and April 2023. We used multiple tumor-to-brain ratios (TBR) to assess patient subgroups showing long-term and short-term survival.</p><p><strong>Results: </strong>The maximum Youden index was reached at TBR = 2.9. With this ratio, the estimated sensitivity was at the desired level (91.7%), both positive and negative predictive values are in the good performance range (68.8 and 75.0%), while specificity was lower than expected (37.5%).</p><p><strong>Conclusions: </strong>The prognosis of brainstem glioma remains challenging. The use of static FET PET/CT results in more accurate detection of high-grade lesions. In our analysis, we found a TBR value of 2.9 to be the most appropriate for identifying patients with a poor prognosis.</p>","PeriodicalId":9681,"journal":{"name":"Cancers","volume":"17 18","pages":""},"PeriodicalIF":4.4000,"publicationDate":"2025-09-19","publicationTypes":"Journal Article","fieldsOfStudy":null,"isOpenAccess":false,"openAccessPdf":"https://www.ncbi.nlm.nih.gov/pmc/articles/PMC12468280/pdf/","citationCount":"0","resultStr":"{\"title\":\"Brainstem Glioma Prognostication: Static FET PET/CT.\",\"authors\":\"Dávid Gergő Nagy, Júlia Singer, Katalin Borbély\",\"doi\":\"10.3390/cancers17183065\",\"DOIUrl\":null,\"url\":null,\"abstract\":\"<p><strong>Background/objectives: </strong>The classification and staging of brainstem glioma have its own pitfalls. Surgical biopsy is only possible in a small number of cases. Diagnosis relies mainly on radiological features. Any treatment may have a significant impact on quality of life; therefore, the correct and early identification of potentially malignant lesions is essential to initiate proper therapy. Amino acid PET/CT with accurate metabolic mapping can help in this decision-making.</p><p><strong>Methods: </strong>We performed a retrospective analysis of 20 patients who underwent static FET PET/CT with uncertain brainstem lesions between November 2019 and April 2023. We used multiple tumor-to-brain ratios (TBR) to assess patient subgroups showing long-term and short-term survival.</p><p><strong>Results: </strong>The maximum Youden index was reached at TBR = 2.9. With this ratio, the estimated sensitivity was at the desired level (91.7%), both positive and negative predictive values are in the good performance range (68.8 and 75.0%), while specificity was lower than expected (37.5%).</p><p><strong>Conclusions: </strong>The prognosis of brainstem glioma remains challenging. The use of static FET PET/CT results in more accurate detection of high-grade lesions. In our analysis, we found a TBR value of 2.9 to be the most appropriate for identifying patients with a poor prognosis.</p>\",\"PeriodicalId\":9681,\"journal\":{\"name\":\"Cancers\",\"volume\":\"17 18\",\"pages\":\"\"},\"PeriodicalIF\":4.4000,\"publicationDate\":\"2025-09-19\",\"publicationTypes\":\"Journal Article\",\"fieldsOfStudy\":null,\"isOpenAccess\":false,\"openAccessPdf\":\"https://www.ncbi.nlm.nih.gov/pmc/articles/PMC12468280/pdf/\",\"citationCount\":\"0\",\"resultStr\":null,\"platform\":\"Semanticscholar\",\"paperid\":null,\"PeriodicalName\":\"Cancers\",\"FirstCategoryId\":\"3\",\"ListUrlMain\":\"https://doi.org/10.3390/cancers17183065\",\"RegionNum\":2,\"RegionCategory\":\"医学\",\"ArticlePicture\":[],\"TitleCN\":null,\"AbstractTextCN\":null,\"PMCID\":null,\"EPubDate\":\"\",\"PubModel\":\"\",\"JCR\":\"Q1\",\"JCRName\":\"ONCOLOGY\",\"Score\":null,\"Total\":0}","platform":"Semanticscholar","paperid":null,"PeriodicalName":"Cancers","FirstCategoryId":"3","ListUrlMain":"https://doi.org/10.3390/cancers17183065","RegionNum":2,"RegionCategory":"医学","ArticlePicture":[],"TitleCN":null,"AbstractTextCN":null,"PMCID":null,"EPubDate":"","PubModel":"","JCR":"Q1","JCRName":"ONCOLOGY","Score":null,"Total":0}
引用次数: 0

摘要

背景/目的:脑干胶质瘤的分类和分期有其自身的缺陷。手术活检仅在少数病例中可行。诊断主要依靠放射学特征。任何治疗都可能对生活质量产生重大影响;因此,正确和早期识别潜在的恶性病变是必不可少的,开始适当的治疗。氨基酸PET/CT与准确的代谢图谱可以帮助这一决策。方法:我们对2019年11月至2023年4月期间接受静态FET PET/CT检查的20例脑干病变不确定的患者进行了回顾性分析。我们使用多个肿瘤脑比(TBR)来评估显示长期和短期生存的患者亚组。结果:约登指数在TBR = 2.9时达到最大值。在此比率下,估计敏感性达到预期水平(91.7%),阳性和阴性预测值均处于良好的性能范围(68.8和75.0%),而特异性低于预期(37.5%)。结论:脑干胶质瘤的预后仍然具有挑战性。使用静态FET PET/CT可以更准确地检测高级别病变。在我们的分析中,我们发现TBR值为2.9最适合用于识别预后不良的患者。
本文章由计算机程序翻译,如有差异,请以英文原文为准。

Brainstem Glioma Prognostication: Static FET PET/CT.

Brainstem Glioma Prognostication: Static FET PET/CT.

Brainstem Glioma Prognostication: Static FET PET/CT.

Brainstem Glioma Prognostication: Static FET PET/CT.

Background/objectives: The classification and staging of brainstem glioma have its own pitfalls. Surgical biopsy is only possible in a small number of cases. Diagnosis relies mainly on radiological features. Any treatment may have a significant impact on quality of life; therefore, the correct and early identification of potentially malignant lesions is essential to initiate proper therapy. Amino acid PET/CT with accurate metabolic mapping can help in this decision-making.

Methods: We performed a retrospective analysis of 20 patients who underwent static FET PET/CT with uncertain brainstem lesions between November 2019 and April 2023. We used multiple tumor-to-brain ratios (TBR) to assess patient subgroups showing long-term and short-term survival.

Results: The maximum Youden index was reached at TBR = 2.9. With this ratio, the estimated sensitivity was at the desired level (91.7%), both positive and negative predictive values are in the good performance range (68.8 and 75.0%), while specificity was lower than expected (37.5%).

Conclusions: The prognosis of brainstem glioma remains challenging. The use of static FET PET/CT results in more accurate detection of high-grade lesions. In our analysis, we found a TBR value of 2.9 to be the most appropriate for identifying patients with a poor prognosis.

求助全文
通过发布文献求助,成功后即可免费获取论文全文。 去求助
来源期刊
Cancers
Cancers Medicine-Oncology
CiteScore
8.00
自引率
9.60%
发文量
5371
审稿时长
18.07 days
期刊介绍: Cancers (ISSN 2072-6694) is an international, peer-reviewed open access journal on oncology. It publishes reviews, regular research papers and short communications. Our aim is to encourage scientists to publish their experimental and theoretical results in as much detail as possible. There is no restriction on the length of the papers. The full experimental details must be provided so that the results can be reproduced.
×
引用
GB/T 7714-2015
复制
MLA
复制
APA
复制
导出至
BibTeX EndNote RefMan NoteFirst NoteExpress
×
提示
您的信息不完整,为了账户安全,请先补充。
现在去补充
×
提示
您因"违规操作"
具体请查看互助需知
我知道了
×
提示
确定
请完成安全验证×
copy
已复制链接
快去分享给好友吧!
我知道了
右上角分享
点击右上角分享
0
联系我们:info@booksci.cn Book学术提供免费学术资源搜索服务,方便国内外学者检索中英文文献。致力于提供最便捷和优质的服务体验。 Copyright © 2023 布克学术 All rights reserved.
京ICP备2023020795号-1
ghs 京公网安备 11010802042870号
Book学术文献互助
Book学术文献互助群
群 号:604180095
Book学术官方微信