使用单指数、体素内非相干运动和扩散峰度模型的同时多层扩散加权成像的性能:评估肝细胞癌微血管侵袭和组织学分级。

IF 3.5 2区 医学 Q2 ONCOLOGY
Yingyi Wu, Zheng Qu, Ting Yang, Shan Yao, Jie Chen, Xinye Bao, Ting Yin, Bin Song, Zheng Ye
{"title":"使用单指数、体素内非相干运动和扩散峰度模型的同时多层扩散加权成像的性能:评估肝细胞癌微血管侵袭和组织学分级。","authors":"Yingyi Wu, Zheng Qu, Ting Yang, Shan Yao, Jie Chen, Xinye Bao, Ting Yin, Bin Song, Zheng Ye","doi":"10.1186/s40644-025-00930-9","DOIUrl":null,"url":null,"abstract":"<p><strong>Objectives: </strong>This study aimed to evaluate the diagnostic performance of simultaneous multislice (SMS) acquisition combined with monoexponential, intravoxel incoherent motion (IVIM), and diffusion kurtosis imaging (DKI) models for predicting microvascular invasion (MVI) and histologic grade in hepatocellular carcinoma (HCC).</p><p><strong>Materials and methods: </strong>A prospective study was conducted with 77 HCC patients. Diffusion-weighted imaging (DWI), IVIM, and DKI were performed on a 3T MRI using both SMS and conventional sequences. The values of diffusion parameters (ADC, D, D*, f, MD, and MK) were compared among SMS and conventional sequences, between MVI-positive and MVI-negative groups, and between high-grade and low-grade HCC groups. Receiver operating characteristic (ROC) curves were used to assess the diagnostic performance of diffusion parameters in predicting MVI and histologic grade. Inter-reader consistency was evaluated using intraclass correlation coefficients (ICC).</p><p><strong>Results: </strong>Among the 77 patients, 29.9% were MVI-positive and 35.1% had high-grade HCC. SMS reduced scanning time by up to 44.44%. Most diffusion parameters were similar between SMS and conventional sequences, except for slightly lower ADC and f in SMS. MVI-positive and high-grade HCC cases showed lower ADC, D, D*, and MD values and higher MK values. The ICC ranged from 0.702 to 0.879. SMS-MK demonstrated the highest diagnostic performance with an AUC of 0.92 for MVI and 0.86 for histologic grade.</p><p><strong>Conclusions: </strong>SMS acquisition, integrated with IVIM and DKI, is a feasible imaging method for preoperative evaluation of MVI and histologic grade in HCC, offering a faster alternative to conventional methods without compromising diagnostic performance.</p>","PeriodicalId":9548,"journal":{"name":"Cancer Imaging","volume":"25 1","pages":"113"},"PeriodicalIF":3.5000,"publicationDate":"2025-09-26","publicationTypes":"Journal Article","fieldsOfStudy":null,"isOpenAccess":false,"openAccessPdf":"https://www.ncbi.nlm.nih.gov/pmc/articles/PMC12465415/pdf/","citationCount":"0","resultStr":"{\"title\":\"Performance of simultaneous multislice diffusion-weighted imaging using monoexponential, intravoxel incoherent motion, and diffusion kurtosis models: assessment of microvascular invasion and histologic grade in hepatocellular carcinoma.\",\"authors\":\"Yingyi Wu, Zheng Qu, Ting Yang, Shan Yao, Jie Chen, Xinye Bao, Ting Yin, Bin Song, Zheng Ye\",\"doi\":\"10.1186/s40644-025-00930-9\",\"DOIUrl\":null,\"url\":null,\"abstract\":\"<p><strong>Objectives: </strong>This study aimed to evaluate the diagnostic performance of simultaneous multislice (SMS) acquisition combined with monoexponential, intravoxel incoherent motion (IVIM), and diffusion kurtosis imaging (DKI) models for predicting microvascular invasion (MVI) and histologic grade in hepatocellular carcinoma (HCC).</p><p><strong>Materials and methods: </strong>A prospective study was conducted with 77 HCC patients. Diffusion-weighted imaging (DWI), IVIM, and DKI were performed on a 3T MRI using both SMS and conventional sequences. The values of diffusion parameters (ADC, D, D*, f, MD, and MK) were compared among SMS and conventional sequences, between MVI-positive and MVI-negative groups, and between high-grade and low-grade HCC groups. Receiver operating characteristic (ROC) curves were used to assess the diagnostic performance of diffusion parameters in predicting MVI and histologic grade. Inter-reader consistency was evaluated using intraclass correlation coefficients (ICC).</p><p><strong>Results: </strong>Among the 77 patients, 29.9% were MVI-positive and 35.1% had high-grade HCC. SMS reduced scanning time by up to 44.44%. Most diffusion parameters were similar between SMS and conventional sequences, except for slightly lower ADC and f in SMS. MVI-positive and high-grade HCC cases showed lower ADC, D, D*, and MD values and higher MK values. The ICC ranged from 0.702 to 0.879. SMS-MK demonstrated the highest diagnostic performance with an AUC of 0.92 for MVI and 0.86 for histologic grade.</p><p><strong>Conclusions: </strong>SMS acquisition, integrated with IVIM and DKI, is a feasible imaging method for preoperative evaluation of MVI and histologic grade in HCC, offering a faster alternative to conventional methods without compromising diagnostic performance.</p>\",\"PeriodicalId\":9548,\"journal\":{\"name\":\"Cancer Imaging\",\"volume\":\"25 1\",\"pages\":\"113\"},\"PeriodicalIF\":3.5000,\"publicationDate\":\"2025-09-26\",\"publicationTypes\":\"Journal Article\",\"fieldsOfStudy\":null,\"isOpenAccess\":false,\"openAccessPdf\":\"https://www.ncbi.nlm.nih.gov/pmc/articles/PMC12465415/pdf/\",\"citationCount\":\"0\",\"resultStr\":null,\"platform\":\"Semanticscholar\",\"paperid\":null,\"PeriodicalName\":\"Cancer Imaging\",\"FirstCategoryId\":\"3\",\"ListUrlMain\":\"https://doi.org/10.1186/s40644-025-00930-9\",\"RegionNum\":2,\"RegionCategory\":\"医学\",\"ArticlePicture\":[],\"TitleCN\":null,\"AbstractTextCN\":null,\"PMCID\":null,\"EPubDate\":\"\",\"PubModel\":\"\",\"JCR\":\"Q2\",\"JCRName\":\"ONCOLOGY\",\"Score\":null,\"Total\":0}","platform":"Semanticscholar","paperid":null,"PeriodicalName":"Cancer Imaging","FirstCategoryId":"3","ListUrlMain":"https://doi.org/10.1186/s40644-025-00930-9","RegionNum":2,"RegionCategory":"医学","ArticlePicture":[],"TitleCN":null,"AbstractTextCN":null,"PMCID":null,"EPubDate":"","PubModel":"","JCR":"Q2","JCRName":"ONCOLOGY","Score":null,"Total":0}
引用次数: 0

摘要

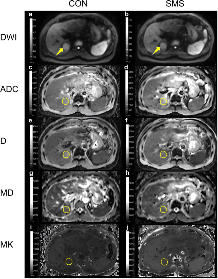
目的:本研究旨在评估同时多层(SMS)采集结合单指数、体素内非相干运动(IVIM)和弥散峰度成像(DKI)模型在预测肝细胞癌(HCC)微血管侵袭(MVI)和组织学分级中的诊断性能。材料与方法:对77例HCC患者进行前瞻性研究。采用SMS和常规序列在3T MRI上进行弥散加权成像(DWI)、IVIM和DKI。比较SMS序列与常规序列、mvi阳性组与mvi阴性组、高级别与低级别HCC组间弥散参数(ADC、D、D*、f、MD、MK)的值。使用受试者工作特征(ROC)曲线评估扩散参数在预测MVI和组织学分级中的诊断性能。使用类内相关系数(ICC)评估阅读器间一致性。结果:77例患者中mvi阳性29.9%,高级别HCC 35.1%。SMS将扫描时间减少了44.44%。大多数扩散参数在SMS和常规序列之间相似,除了在SMS中稍低的ADC和f。mvi阳性和高级别HCC患者ADC、D、D*、MD值较低,MK值较高。ICC范围为0.702 ~ 0.879。SMS-MK表现出最高的诊断效能,MVI的AUC为0.92,组织学分级的AUC为0.86。结论:SMS采集与IVIM和DKI相结合,是HCC术前评估MVI和组织学分级的一种可行的成像方法,在不影响诊断性能的前提下,提供了一种比传统方法更快的替代方法。
本文章由计算机程序翻译,如有差异,请以英文原文为准。

Performance of simultaneous multislice diffusion-weighted imaging using monoexponential, intravoxel incoherent motion, and diffusion kurtosis models: assessment of microvascular invasion and histologic grade in hepatocellular carcinoma.

Performance of simultaneous multislice diffusion-weighted imaging using monoexponential, intravoxel incoherent motion, and diffusion kurtosis models: assessment of microvascular invasion and histologic grade in hepatocellular carcinoma.

Performance of simultaneous multislice diffusion-weighted imaging using monoexponential, intravoxel incoherent motion, and diffusion kurtosis models: assessment of microvascular invasion and histologic grade in hepatocellular carcinoma.

Performance of simultaneous multislice diffusion-weighted imaging using monoexponential, intravoxel incoherent motion, and diffusion kurtosis models: assessment of microvascular invasion and histologic grade in hepatocellular carcinoma.

Objectives: This study aimed to evaluate the diagnostic performance of simultaneous multislice (SMS) acquisition combined with monoexponential, intravoxel incoherent motion (IVIM), and diffusion kurtosis imaging (DKI) models for predicting microvascular invasion (MVI) and histologic grade in hepatocellular carcinoma (HCC).

Materials and methods: A prospective study was conducted with 77 HCC patients. Diffusion-weighted imaging (DWI), IVIM, and DKI were performed on a 3T MRI using both SMS and conventional sequences. The values of diffusion parameters (ADC, D, D*, f, MD, and MK) were compared among SMS and conventional sequences, between MVI-positive and MVI-negative groups, and between high-grade and low-grade HCC groups. Receiver operating characteristic (ROC) curves were used to assess the diagnostic performance of diffusion parameters in predicting MVI and histologic grade. Inter-reader consistency was evaluated using intraclass correlation coefficients (ICC).

Results: Among the 77 patients, 29.9% were MVI-positive and 35.1% had high-grade HCC. SMS reduced scanning time by up to 44.44%. Most diffusion parameters were similar between SMS and conventional sequences, except for slightly lower ADC and f in SMS. MVI-positive and high-grade HCC cases showed lower ADC, D, D*, and MD values and higher MK values. The ICC ranged from 0.702 to 0.879. SMS-MK demonstrated the highest diagnostic performance with an AUC of 0.92 for MVI and 0.86 for histologic grade.

Conclusions: SMS acquisition, integrated with IVIM and DKI, is a feasible imaging method for preoperative evaluation of MVI and histologic grade in HCC, offering a faster alternative to conventional methods without compromising diagnostic performance.

求助全文
通过发布文献求助,成功后即可免费获取论文全文。 去求助
来源期刊
Cancer Imaging
Cancer Imaging ONCOLOGY-RADIOLOGY, NUCLEAR MEDICINE & MEDICAL IMAGING
CiteScore
7.00
自引率
0.00%
发文量
66
审稿时长
>12 weeks
期刊介绍: Cancer Imaging is an open access, peer-reviewed journal publishing original articles, reviews and editorials written by expert international radiologists working in oncology. The journal encompasses CT, MR, PET, ultrasound, radionuclide and multimodal imaging in all kinds of malignant tumours, plus new developments, techniques and innovations. Topics of interest include: Breast Imaging Chest Complications of treatment Ear, Nose & Throat Gastrointestinal Hepatobiliary & Pancreatic Imaging biomarkers Interventional Lymphoma Measurement of tumour response Molecular functional imaging Musculoskeletal Neuro oncology Nuclear Medicine Paediatric.
×
引用
GB/T 7714-2015
复制
MLA
复制
APA
复制
导出至
BibTeX EndNote RefMan NoteFirst NoteExpress
×
提示
您的信息不完整,为了账户安全,请先补充。
现在去补充
×
提示
您因"违规操作"
具体请查看互助需知
我知道了
×
提示
确定
请完成安全验证×
copy
已复制链接
快去分享给好友吧!
我知道了
右上角分享
点击右上角分享
0
联系我们:info@booksci.cn Book学术提供免费学术资源搜索服务,方便国内外学者检索中英文文献。致力于提供最便捷和优质的服务体验。 Copyright © 2023 布克学术 All rights reserved.
京ICP备2023020795号-1
ghs 京公网安备 11010802042870号
Book学术文献互助
Book学术文献互助群
群 号:604180095
Book学术官方微信