体外共聚焦显微镜对高危结节性基底细胞癌手术边缘评估的诊断准确性。

IF 4.4 2区 医学 Q1 ONCOLOGY
Cancers Pub Date : 2025-09-16 DOI:10.3390/cancers17183019
William Stramke, Luca Tonellotto, Emmanuella Guenova, François Kuonen
{"title":"体外共聚焦显微镜对高危结节性基底细胞癌手术边缘评估的诊断准确性。","authors":"William Stramke, Luca Tonellotto, Emmanuella Guenova, François Kuonen","doi":"10.3390/cancers17183019","DOIUrl":null,"url":null,"abstract":"<p><p><b>Background:</b> Accurate margin assessment during surgical treatment is essential to prevent recurrences of BCC. Mohs surgery or alternative peripheral and deep en-face margin assessment (PDEMA) based on conventional histopathology are considered the gold standard for excising high-risk BCC, as it allows stepwise and complete examination of peripheral and deep margins. However, it is labor-intensive and time-consuming. EVCM has emerged as a promising alternative, allowing rapid intraoperative evaluation of fresh excised tissue. <b>Objective:</b> To assess the diagnostic accuracy of EVCM in a PDEMA workflow of high-risk nodular BCCs. <b>Methods:</b> A retrospective monocentric study was conducted at the Lausanne University Hospital (CHUV) between March 2024 and May 2025. A total of 51 patients with histologically confirmed nodular BCCs considered as high-risk and thus addressed for EVCM-assisted excision were included, yielding 171 surgical margin samples. EVCM and conventional histology-based PDEMA analyses were compared. <b>Results:</b> EVCM achieved an overall sensitivity of 93.8% (95% CI: 71.7-98.9%) and specificity of 98.7% (95% CI: 95.2-99.7%) compared to conventional histology. The positive and negative predictive values were 88.2% (95% CI: 63.6-97.4%) and 99.4% (95% CI: 96.4-99.9%), respectively. <b>Conclusion:</b> EVCM demonstrates high diagnostic accuracy for the intraoperative PDEMA of high-risk, nodular BCC. Its integration in PDEMA surgical workflows may improve efficiency, although confirmatory studies are needed in broader clinical settings.</p>","PeriodicalId":9681,"journal":{"name":"Cancers","volume":"17 18","pages":""},"PeriodicalIF":4.4000,"publicationDate":"2025-09-16","publicationTypes":"Journal Article","fieldsOfStudy":null,"isOpenAccess":false,"openAccessPdf":"https://www.ncbi.nlm.nih.gov/pmc/articles/PMC12468694/pdf/","citationCount":"0","resultStr":"{\"title\":\"Diagnostic Accuracy of Ex Vivo Confocal Microscopy for Surgical Margin Assessment of High-Risk Nodular Basal Cell Carcinoma.\",\"authors\":\"William Stramke, Luca Tonellotto, Emmanuella Guenova, François Kuonen\",\"doi\":\"10.3390/cancers17183019\",\"DOIUrl\":null,\"url\":null,\"abstract\":\"<p><p><b>Background:</b> Accurate margin assessment during surgical treatment is essential to prevent recurrences of BCC. Mohs surgery or alternative peripheral and deep en-face margin assessment (PDEMA) based on conventional histopathology are considered the gold standard for excising high-risk BCC, as it allows stepwise and complete examination of peripheral and deep margins. However, it is labor-intensive and time-consuming. EVCM has emerged as a promising alternative, allowing rapid intraoperative evaluation of fresh excised tissue. <b>Objective:</b> To assess the diagnostic accuracy of EVCM in a PDEMA workflow of high-risk nodular BCCs. <b>Methods:</b> A retrospective monocentric study was conducted at the Lausanne University Hospital (CHUV) between March 2024 and May 2025. A total of 51 patients with histologically confirmed nodular BCCs considered as high-risk and thus addressed for EVCM-assisted excision were included, yielding 171 surgical margin samples. EVCM and conventional histology-based PDEMA analyses were compared. <b>Results:</b> EVCM achieved an overall sensitivity of 93.8% (95% CI: 71.7-98.9%) and specificity of 98.7% (95% CI: 95.2-99.7%) compared to conventional histology. The positive and negative predictive values were 88.2% (95% CI: 63.6-97.4%) and 99.4% (95% CI: 96.4-99.9%), respectively. <b>Conclusion:</b> EVCM demonstrates high diagnostic accuracy for the intraoperative PDEMA of high-risk, nodular BCC. Its integration in PDEMA surgical workflows may improve efficiency, although confirmatory studies are needed in broader clinical settings.</p>\",\"PeriodicalId\":9681,\"journal\":{\"name\":\"Cancers\",\"volume\":\"17 18\",\"pages\":\"\"},\"PeriodicalIF\":4.4000,\"publicationDate\":\"2025-09-16\",\"publicationTypes\":\"Journal Article\",\"fieldsOfStudy\":null,\"isOpenAccess\":false,\"openAccessPdf\":\"https://www.ncbi.nlm.nih.gov/pmc/articles/PMC12468694/pdf/\",\"citationCount\":\"0\",\"resultStr\":null,\"platform\":\"Semanticscholar\",\"paperid\":null,\"PeriodicalName\":\"Cancers\",\"FirstCategoryId\":\"3\",\"ListUrlMain\":\"https://doi.org/10.3390/cancers17183019\",\"RegionNum\":2,\"RegionCategory\":\"医学\",\"ArticlePicture\":[],\"TitleCN\":null,\"AbstractTextCN\":null,\"PMCID\":null,\"EPubDate\":\"\",\"PubModel\":\"\",\"JCR\":\"Q1\",\"JCRName\":\"ONCOLOGY\",\"Score\":null,\"Total\":0}","platform":"Semanticscholar","paperid":null,"PeriodicalName":"Cancers","FirstCategoryId":"3","ListUrlMain":"https://doi.org/10.3390/cancers17183019","RegionNum":2,"RegionCategory":"医学","ArticlePicture":[],"TitleCN":null,"AbstractTextCN":null,"PMCID":null,"EPubDate":"","PubModel":"","JCR":"Q1","JCRName":"ONCOLOGY","Score":null,"Total":0}
引用次数: 0

摘要

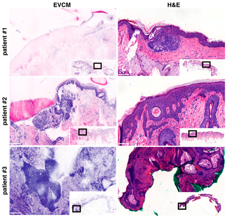
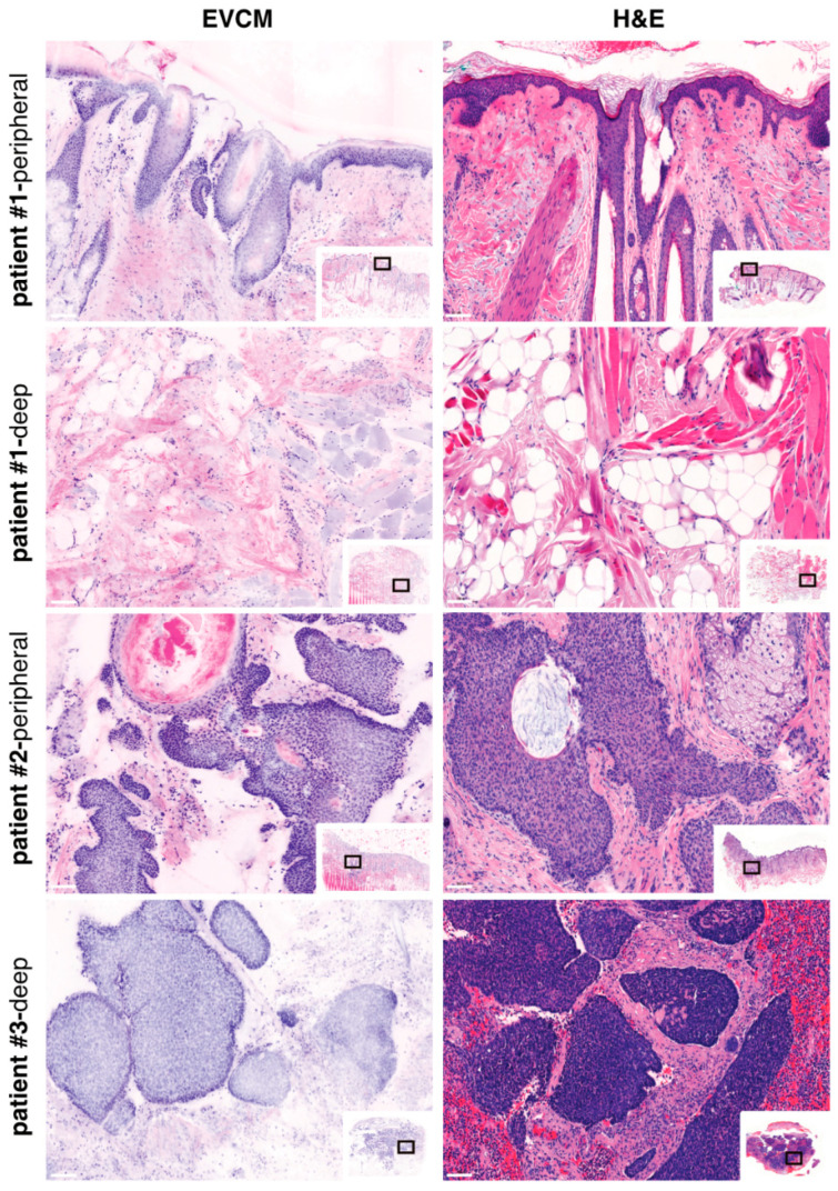
背景:手术治疗中准确的切缘评估对于预防基底细胞癌复发至关重要。Mohs手术或基于常规组织病理学的替代外周和深部边缘评估(PDEMA)被认为是切除高风险BCC的金标准,因为它允许逐步和完整地检查外周和深部边缘。然而,它是劳动密集型和耗时的。EVCM已经成为一种很有前途的替代方法,可以在术中快速评估新鲜切除的组织。目的:评价EVCM在PDEMA高危结节性BCCs诊断流程中的准确性。方法:回顾性单中心研究于2024年3月至2025年5月在洛桑大学医院(CHUV)进行。共纳入51例经组织学证实为高危的结节性BCCs患者,共171例手术切缘样本。比较EVCM和传统的基于组织学的PDEMA分析。结果:与常规组织学相比,EVCM的总敏感性为93.8% (95% CI: 71.7-98.9%),特异性为98.7% (95% CI: 95.2-99.7%)。阳性预测值为88.2% (95% CI: 63.6-97.4%),阴性预测值为99.4% (95% CI: 96.4-99.9%)。结论:EVCM对高危、结节性BCC的术中PDEMA具有较高的诊断准确性。它与PDEMA手术工作流程的整合可以提高效率,尽管需要在更广泛的临床环境中进行确证性研究。
本文章由计算机程序翻译,如有差异,请以英文原文为准。

Diagnostic Accuracy of Ex Vivo Confocal Microscopy for Surgical Margin Assessment of High-Risk Nodular Basal Cell Carcinoma.

Diagnostic Accuracy of Ex Vivo Confocal Microscopy for Surgical Margin Assessment of High-Risk Nodular Basal Cell Carcinoma.

Diagnostic Accuracy of Ex Vivo Confocal Microscopy for Surgical Margin Assessment of High-Risk Nodular Basal Cell Carcinoma.

Diagnostic Accuracy of Ex Vivo Confocal Microscopy for Surgical Margin Assessment of High-Risk Nodular Basal Cell Carcinoma.

Background: Accurate margin assessment during surgical treatment is essential to prevent recurrences of BCC. Mohs surgery or alternative peripheral and deep en-face margin assessment (PDEMA) based on conventional histopathology are considered the gold standard for excising high-risk BCC, as it allows stepwise and complete examination of peripheral and deep margins. However, it is labor-intensive and time-consuming. EVCM has emerged as a promising alternative, allowing rapid intraoperative evaluation of fresh excised tissue. Objective: To assess the diagnostic accuracy of EVCM in a PDEMA workflow of high-risk nodular BCCs. Methods: A retrospective monocentric study was conducted at the Lausanne University Hospital (CHUV) between March 2024 and May 2025. A total of 51 patients with histologically confirmed nodular BCCs considered as high-risk and thus addressed for EVCM-assisted excision were included, yielding 171 surgical margin samples. EVCM and conventional histology-based PDEMA analyses were compared. Results: EVCM achieved an overall sensitivity of 93.8% (95% CI: 71.7-98.9%) and specificity of 98.7% (95% CI: 95.2-99.7%) compared to conventional histology. The positive and negative predictive values were 88.2% (95% CI: 63.6-97.4%) and 99.4% (95% CI: 96.4-99.9%), respectively. Conclusion: EVCM demonstrates high diagnostic accuracy for the intraoperative PDEMA of high-risk, nodular BCC. Its integration in PDEMA surgical workflows may improve efficiency, although confirmatory studies are needed in broader clinical settings.

求助全文
通过发布文献求助,成功后即可免费获取论文全文。 去求助
来源期刊
Cancers
Cancers Medicine-Oncology
CiteScore
8.00
自引率
9.60%
发文量
5371
审稿时长
18.07 days
期刊介绍: Cancers (ISSN 2072-6694) is an international, peer-reviewed open access journal on oncology. It publishes reviews, regular research papers and short communications. Our aim is to encourage scientists to publish their experimental and theoretical results in as much detail as possible. There is no restriction on the length of the papers. The full experimental details must be provided so that the results can be reproduced.
×
引用
GB/T 7714-2015
复制
MLA
复制
APA
复制
导出至
BibTeX EndNote RefMan NoteFirst NoteExpress
×
提示
您的信息不完整,为了账户安全,请先补充。
现在去补充
×
提示
您因"违规操作"
具体请查看互助需知
我知道了
×
提示
确定
请完成安全验证×
copy
已复制链接
快去分享给好友吧!
我知道了
右上角分享
点击右上角分享
0
联系我们:info@booksci.cn Book学术提供免费学术资源搜索服务,方便国内外学者检索中英文文献。致力于提供最便捷和优质的服务体验。 Copyright © 2023 布克学术 All rights reserved.
京ICP备2023020795号-1
ghs 京公网安备 11010802042870号
Book学术文献互助
Book学术文献互助群
群 号:604180095
Book学术官方微信