更正:Shoushtari等人。转移性葡萄膜黑色素瘤患者中PKC抑制剂Sotrastaurin和PI3Kα抑制剂Alpelisib的Ib期研究巨蟹座:2021,13,5504。

IF 4.4 2区 医学 Q1 ONCOLOGY
Cancers Pub Date : 2025-09-16 DOI:10.3390/cancers17183018
Alexander N Shoushtari, Shaheer Khan, Kimberly Komatsubara, Lynn Feun, Nicolas Acquavella, Shahnaz Singh-Kandah, Tiffany Negri, Alexandra Nesson, Kelly Abbate, Serge Cremers, Elgilda Musi, Grazia Ambrosini, Shing Lee, Gary K Schwartz, Richard D Carvajal
{"title":"更正:Shoushtari等人。转移性葡萄膜黑色素瘤患者中PKC抑制剂Sotrastaurin和PI3Kα抑制剂Alpelisib的Ib期研究巨蟹座:2021,13,5504。","authors":"Alexander N Shoushtari, Shaheer Khan, Kimberly Komatsubara, Lynn Feun, Nicolas Acquavella, Shahnaz Singh-Kandah, Tiffany Negri, Alexandra Nesson, Kelly Abbate, Serge Cremers, Elgilda Musi, Grazia Ambrosini, Shing Lee, Gary K Schwartz, Richard D Carvajal","doi":"10.3390/cancers17183018","DOIUrl":null,"url":null,"abstract":"<p><p><b>Figure</b> [...].</p>","PeriodicalId":9681,"journal":{"name":"Cancers","volume":"17 18","pages":""},"PeriodicalIF":4.4000,"publicationDate":"2025-09-16","publicationTypes":"Journal Article","fieldsOfStudy":null,"isOpenAccess":false,"openAccessPdf":"https://www.ncbi.nlm.nih.gov/pmc/articles/PMC12468565/pdf/","citationCount":"0","resultStr":"{\"title\":\"Correction: Shoushtari et al. A Phase Ib Study of Sotrastaurin, a PKC Inhibitor, and Alpelisib, a PI3Kα Inhibitor, in Patients with Metastatic Uveal Melanoma. <i>Cancers</i> 2021, <i>13</i>, 5504.\",\"authors\":\"Alexander N Shoushtari, Shaheer Khan, Kimberly Komatsubara, Lynn Feun, Nicolas Acquavella, Shahnaz Singh-Kandah, Tiffany Negri, Alexandra Nesson, Kelly Abbate, Serge Cremers, Elgilda Musi, Grazia Ambrosini, Shing Lee, Gary K Schwartz, Richard D Carvajal\",\"doi\":\"10.3390/cancers17183018\",\"DOIUrl\":null,\"url\":null,\"abstract\":\"<p><p><b>Figure</b> [...].</p>\",\"PeriodicalId\":9681,\"journal\":{\"name\":\"Cancers\",\"volume\":\"17 18\",\"pages\":\"\"},\"PeriodicalIF\":4.4000,\"publicationDate\":\"2025-09-16\",\"publicationTypes\":\"Journal Article\",\"fieldsOfStudy\":null,\"isOpenAccess\":false,\"openAccessPdf\":\"https://www.ncbi.nlm.nih.gov/pmc/articles/PMC12468565/pdf/\",\"citationCount\":\"0\",\"resultStr\":null,\"platform\":\"Semanticscholar\",\"paperid\":null,\"PeriodicalName\":\"Cancers\",\"FirstCategoryId\":\"3\",\"ListUrlMain\":\"https://doi.org/10.3390/cancers17183018\",\"RegionNum\":2,\"RegionCategory\":\"医学\",\"ArticlePicture\":[],\"TitleCN\":null,\"AbstractTextCN\":null,\"PMCID\":null,\"EPubDate\":\"\",\"PubModel\":\"\",\"JCR\":\"Q1\",\"JCRName\":\"ONCOLOGY\",\"Score\":null,\"Total\":0}","platform":"Semanticscholar","paperid":null,"PeriodicalName":"Cancers","FirstCategoryId":"3","ListUrlMain":"https://doi.org/10.3390/cancers17183018","RegionNum":2,"RegionCategory":"医学","ArticlePicture":[],"TitleCN":null,"AbstractTextCN":null,"PMCID":null,"EPubDate":"","PubModel":"","JCR":"Q1","JCRName":"ONCOLOGY","Score":null,"Total":0}
引用次数: 0

摘要

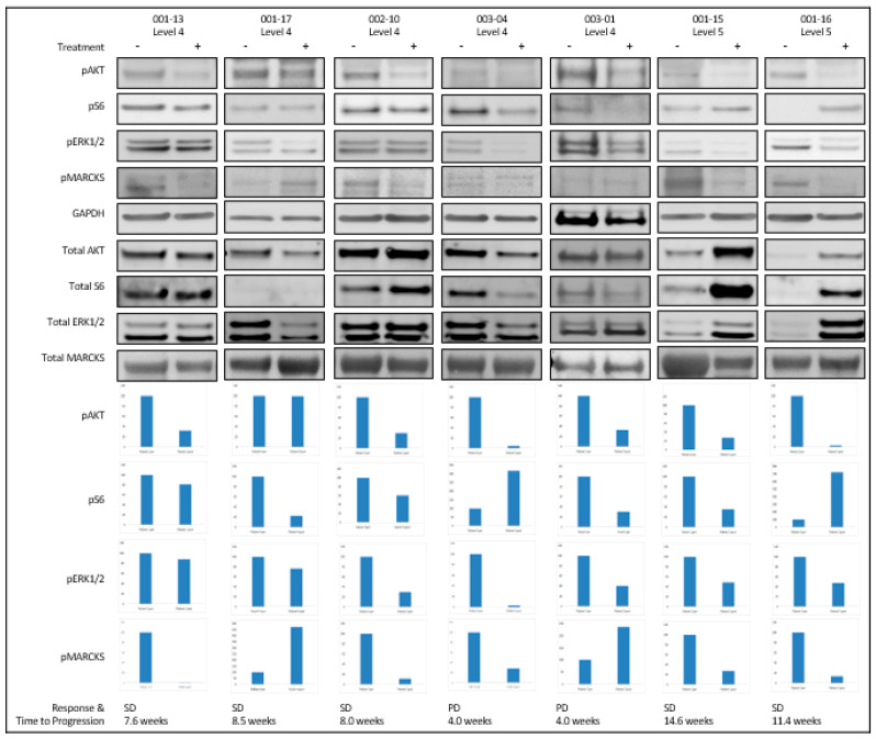
图[…]。
本文章由计算机程序翻译,如有差异,请以英文原文为准。

Correction: Shoushtari et al. A Phase Ib Study of Sotrastaurin, a PKC Inhibitor, and Alpelisib, a PI3Kα Inhibitor, in Patients with Metastatic Uveal Melanoma. <i>Cancers</i> 2021, <i>13</i>, 5504.

Correction: Shoushtari et al. A Phase Ib Study of Sotrastaurin, a PKC Inhibitor, and Alpelisib, a PI3Kα Inhibitor, in Patients with Metastatic Uveal Melanoma. Cancers 2021, 13, 5504.

Figure [...].

求助全文
通过发布文献求助,成功后即可免费获取论文全文。 去求助
来源期刊
Cancers
Cancers Medicine-Oncology
CiteScore
8.00
自引率
9.60%
发文量
5371
审稿时长
18.07 days
期刊介绍: Cancers (ISSN 2072-6694) is an international, peer-reviewed open access journal on oncology. It publishes reviews, regular research papers and short communications. Our aim is to encourage scientists to publish their experimental and theoretical results in as much detail as possible. There is no restriction on the length of the papers. The full experimental details must be provided so that the results can be reproduced.
×
引用
GB/T 7714-2015
复制
MLA
复制
APA
复制
导出至
BibTeX EndNote RefMan NoteFirst NoteExpress
×
提示
您的信息不完整,为了账户安全,请先补充。
现在去补充
×
提示
您因"违规操作"
具体请查看互助需知
我知道了
×
提示
确定
请完成安全验证×
copy
已复制链接
快去分享给好友吧!
我知道了
右上角分享
点击右上角分享
0
联系我们:info@booksci.cn Book学术提供免费学术资源搜索服务,方便国内外学者检索中英文文献。致力于提供最便捷和优质的服务体验。 Copyright © 2023 布克学术 All rights reserved.
京ICP备2023020795号-1
ghs 京公网安备 11010802042870号
Book学术文献互助
Book学术文献互助群
群 号:604180095
Book学术官方微信