直接免疫荧光诊断自身免疫性大疱性疾病的有效性:来自中欧转诊部门的数据。

IF 1.4 4区 医学 Q3 ALLERGY
Postepy Dermatologii I Alergologii Pub Date : 2025-08-11 eCollection Date: 2025-08-01 DOI:10.5114/ada.2025.153492
Magdalena Jałowska, Bogusz Falkowski, Monika Bowszyc-Dmochowska, Maria Raptis-Bolwach, Justyna Gornowicz-Porowska, Agnieszka Seraszek-Jaros, Marian Dmochowski
{"title":"直接免疫荧光诊断自身免疫性大疱性疾病的有效性:来自中欧转诊部门的数据。","authors":"Magdalena Jałowska, Bogusz Falkowski, Monika Bowszyc-Dmochowska, Maria Raptis-Bolwach, Justyna Gornowicz-Porowska, Agnieszka Seraszek-Jaros, Marian Dmochowski","doi":"10.5114/ada.2025.153492","DOIUrl":null,"url":null,"abstract":"<p><strong>Introduction: </strong>Autoimmune bullous disorders (AIBD) are a heterogeneous group of diseases resulting from autoantibodies production. Nowadays, direct immunofluorescence (DIF) is the basic diagnostic tool for diagnosing AIBD.</p><p><strong>Aim: </strong>This study was performed to assess the percentages of positive and negative DIF tests performed in individuals clinically suspected to suffer from AIBD in a single Central European referral department laboratory and to propose ways to improve the effectiveness of DIF in AIBD imaging diagnostics.</p><p><strong>Material and methods: </strong>A total of 1985 consecutive tests were collected during 9 consecutive years (2016-2024). We analysed the total number of results, the percentages of positive and negative results year by year, and according to the unit that sent material for testing.</p><p><strong>Results: </strong>We found that almost one-third of the tests were positive (30.88% overall, over 9 years). The percentage of positive results has varied from year to year (from 26.22% in 2016 to 38.89% in 2023). The percentage of positive results was higher in outpatient clinics than in hospital wards (33.7% vs. 22.9%; <i>p</i> < 0.0001; χ<sup>2</sup> test).</p><p><strong>Conclusions: </strong>DIF should be performed thoughtfully at both clinical and laboratory levels, and approximately 31% of positive results should be regarded as a good outcome. To increase this percentage, specialised units should be maintained to keep up with the constant development of knowledge and experience in AIBD. Negative DIF results could also be useful in differential diagnostics of AIBD, but their percentage should be minimized.</p>","PeriodicalId":54595,"journal":{"name":"Postepy Dermatologii I Alergologii","volume":"42 4","pages":"373-377"},"PeriodicalIF":1.4000,"publicationDate":"2025-08-11","publicationTypes":"Journal Article","fieldsOfStudy":null,"isOpenAccess":false,"openAccessPdf":"https://www.ncbi.nlm.nih.gov/pmc/articles/PMC12458065/pdf/","citationCount":"0","resultStr":"{\"title\":\"Effectiveness of direct immunofluorescence for diagnosing autoimmune bullous diseases: data from the Central European referral department.\",\"authors\":\"Magdalena Jałowska, Bogusz Falkowski, Monika Bowszyc-Dmochowska, Maria Raptis-Bolwach, Justyna Gornowicz-Porowska, Agnieszka Seraszek-Jaros, Marian Dmochowski\",\"doi\":\"10.5114/ada.2025.153492\",\"DOIUrl\":null,\"url\":null,\"abstract\":\"<p><strong>Introduction: </strong>Autoimmune bullous disorders (AIBD) are a heterogeneous group of diseases resulting from autoantibodies production. Nowadays, direct immunofluorescence (DIF) is the basic diagnostic tool for diagnosing AIBD.</p><p><strong>Aim: </strong>This study was performed to assess the percentages of positive and negative DIF tests performed in individuals clinically suspected to suffer from AIBD in a single Central European referral department laboratory and to propose ways to improve the effectiveness of DIF in AIBD imaging diagnostics.</p><p><strong>Material and methods: </strong>A total of 1985 consecutive tests were collected during 9 consecutive years (2016-2024). We analysed the total number of results, the percentages of positive and negative results year by year, and according to the unit that sent material for testing.</p><p><strong>Results: </strong>We found that almost one-third of the tests were positive (30.88% overall, over 9 years). The percentage of positive results has varied from year to year (from 26.22% in 2016 to 38.89% in 2023). The percentage of positive results was higher in outpatient clinics than in hospital wards (33.7% vs. 22.9%; <i>p</i> < 0.0001; χ<sup>2</sup> test).</p><p><strong>Conclusions: </strong>DIF should be performed thoughtfully at both clinical and laboratory levels, and approximately 31% of positive results should be regarded as a good outcome. To increase this percentage, specialised units should be maintained to keep up with the constant development of knowledge and experience in AIBD. Negative DIF results could also be useful in differential diagnostics of AIBD, but their percentage should be minimized.</p>\",\"PeriodicalId\":54595,\"journal\":{\"name\":\"Postepy Dermatologii I Alergologii\",\"volume\":\"42 4\",\"pages\":\"373-377\"},\"PeriodicalIF\":1.4000,\"publicationDate\":\"2025-08-11\",\"publicationTypes\":\"Journal Article\",\"fieldsOfStudy\":null,\"isOpenAccess\":false,\"openAccessPdf\":\"https://www.ncbi.nlm.nih.gov/pmc/articles/PMC12458065/pdf/\",\"citationCount\":\"0\",\"resultStr\":null,\"platform\":\"Semanticscholar\",\"paperid\":null,\"PeriodicalName\":\"Postepy Dermatologii I Alergologii\",\"FirstCategoryId\":\"3\",\"ListUrlMain\":\"https://doi.org/10.5114/ada.2025.153492\",\"RegionNum\":4,\"RegionCategory\":\"医学\",\"ArticlePicture\":[],\"TitleCN\":null,\"AbstractTextCN\":null,\"PMCID\":null,\"EPubDate\":\"2025/8/1 0:00:00\",\"PubModel\":\"eCollection\",\"JCR\":\"Q3\",\"JCRName\":\"ALLERGY\",\"Score\":null,\"Total\":0}","platform":"Semanticscholar","paperid":null,"PeriodicalName":"Postepy Dermatologii I Alergologii","FirstCategoryId":"3","ListUrlMain":"https://doi.org/10.5114/ada.2025.153492","RegionNum":4,"RegionCategory":"医学","ArticlePicture":[],"TitleCN":null,"AbstractTextCN":null,"PMCID":null,"EPubDate":"2025/8/1 0:00:00","PubModel":"eCollection","JCR":"Q3","JCRName":"ALLERGY","Score":null,"Total":0}
引用次数: 0

摘要

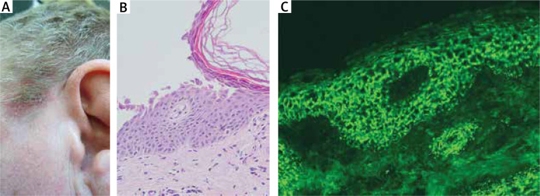
自身免疫性大泡性疾病(AIBD)是一种由自身抗体产生引起的异质性疾病。目前,直接免疫荧光(DIF)是诊断AIBD的基本诊断工具。目的:本研究旨在评估在单个中欧转诊部门实验室中临床怀疑患有AIBD的个体进行DIF检测阳性和阴性的百分比,并提出提高DIF在AIBD成像诊断中的有效性的方法。材料与方法:连续9年(2016-2024),共收集1985份连续试验。我们分析了检测结果的总数,每年阳性和阴性结果的百分比,并按送检单位进行了分析。结果:我们发现近三分之一的检测呈阳性(总体30.88%,超过9年)。阳性结果的百分比每年都在变化(从2016年的26.22%到2023年的38.89%)。门诊的阳性检出率高于病房(33.7%比22.9%;p < 0.0001; χ2检验)。结论:DIF应在临床和实验室水平上仔细执行,大约31%的阳性结果应被视为良好结果。为了提高这一比例,应维持专门单位,以跟上亚博病知识和经验的不断发展。DIF阴性结果也可用于AIBD的鉴别诊断,但应尽量减少其百分比。
本文章由计算机程序翻译,如有差异,请以英文原文为准。

Effectiveness of direct immunofluorescence for diagnosing autoimmune bullous diseases: data from the Central European referral department.

Effectiveness of direct immunofluorescence for diagnosing autoimmune bullous diseases: data from the Central European referral department.

Introduction: Autoimmune bullous disorders (AIBD) are a heterogeneous group of diseases resulting from autoantibodies production. Nowadays, direct immunofluorescence (DIF) is the basic diagnostic tool for diagnosing AIBD.

Aim: This study was performed to assess the percentages of positive and negative DIF tests performed in individuals clinically suspected to suffer from AIBD in a single Central European referral department laboratory and to propose ways to improve the effectiveness of DIF in AIBD imaging diagnostics.

Material and methods: A total of 1985 consecutive tests were collected during 9 consecutive years (2016-2024). We analysed the total number of results, the percentages of positive and negative results year by year, and according to the unit that sent material for testing.

Results: We found that almost one-third of the tests were positive (30.88% overall, over 9 years). The percentage of positive results has varied from year to year (from 26.22% in 2016 to 38.89% in 2023). The percentage of positive results was higher in outpatient clinics than in hospital wards (33.7% vs. 22.9%; p < 0.0001; χ2 test).

Conclusions: DIF should be performed thoughtfully at both clinical and laboratory levels, and approximately 31% of positive results should be regarded as a good outcome. To increase this percentage, specialised units should be maintained to keep up with the constant development of knowledge and experience in AIBD. Negative DIF results could also be useful in differential diagnostics of AIBD, but their percentage should be minimized.

求助全文
通过发布文献求助,成功后即可免费获取论文全文。 去求助
来源期刊
CiteScore
2.60
自引率
7.10%
发文量
107
审稿时长
6-12 weeks
期刊介绍: Advances in Dermatology and Allergology/Postępy Dermatologii i Alergologii is a bimonthly aimed at allergologists and dermatologists.
×
引用
GB/T 7714-2015
复制
MLA
复制
APA
复制
导出至
BibTeX EndNote RefMan NoteFirst NoteExpress
×
提示
您的信息不完整,为了账户安全,请先补充。
现在去补充
×
提示
您因"违规操作"
具体请查看互助需知
我知道了
×
提示
确定
请完成安全验证×
copy
已复制链接
快去分享给好友吧!
我知道了
右上角分享
点击右上角分享
0
联系我们:info@booksci.cn Book学术提供免费学术资源搜索服务,方便国内外学者检索中英文文献。致力于提供最便捷和优质的服务体验。 Copyright © 2023 布克学术 All rights reserved.
京ICP备2023020795号-1
ghs 京公网安备 11010802042870号
Book学术文献互助
Book学术文献互助群
群 号:604180095
Book学术官方微信