论文题目为:应用导管引流联合营养性空肠造口术治疗腹膜后穿孔的十二指肠降憩室1例报告及文献回顾。

IF 1.8 3区 医学 Q2 SURGERY
Limin Guo, Shuk Ying Wong, Dongdong Zhang, Lei Guo, Simin Chen, Peng Guo
{"title":"论文题目为:应用导管引流联合营养性空肠造口术治疗腹膜后穿孔的十二指肠降憩室1例报告及文献回顾。","authors":"Limin Guo, Shuk Ying Wong, Dongdong Zhang, Lei Guo, Simin Chen, Peng Guo","doi":"10.1186/s12893-025-03163-6","DOIUrl":null,"url":null,"abstract":"<p><strong>Introduction: </strong>Duodenal diverticulum (DD) ranks as the second most prevalent form of intestinal diverticulum and is typically asymptomatic. However, perforations of DD, while rare, are associated with potentially fatal outcomes.</p><p><strong>Presentation of case: </strong>A 78-year-old Chinese male patient presented with epigastric pain after overeating the day before admission. A contrast-enhanced computed tomography (CT) of the abdomen revealed cystic areas of extraluminal air in the posterior periduodenal area. We operated on the patient. A De Pezzer catheter and a nasogastric tube were placed in the duodenal cavity, supplemented by two external drainage tubes. Early postoperative enteral nutrition was facilitated through a jejunal feeding tube. The patient underwent successful surgical intervention and was discharged on the 12th post-operative day without any complications.</p><p><strong>Discussion: </strong>Non-operative management may be suitable for carefully selected patients with stable vital signs and a timely diagnosis. Surgical intervention is necessary if conservative approaches fail or in cases leading to generalized peritonitis or severe sepsis. For posterior DD perforations, it is critical to focus not only on wound repair but also on ensuring adequate drainage and decompression of the periduodenal and intestinal cavities to reduce the risk of fistulas.</p><p><strong>Conclusion: </strong>For patients with perforations of DD, surgical intervention should be advocated, emphasizing on the prevention and treatment of duodenal fistula during the operation. The application of a De Pezzer catheter, nasogastric tube, and additional duodenal drainage, combined with jejunal feeding for nutritional support, adheres to damage control principles and leads to favorable clinical outcomes.</p>","PeriodicalId":49229,"journal":{"name":"BMC Surgery","volume":"25 1","pages":"414"},"PeriodicalIF":1.8000,"publicationDate":"2025-09-25","publicationTypes":"Journal Article","fieldsOfStudy":null,"isOpenAccess":false,"openAccessPdf":"https://www.ncbi.nlm.nih.gov/pmc/articles/PMC12465761/pdf/","citationCount":"0","resultStr":"{\"title\":\"The submission title: management of retroperitoneal perforated descending duodenal diverticulum using de pezzer catheter drainage combined with nutritional jejunostomy: a case report and review of the literature.\",\"authors\":\"Limin Guo, Shuk Ying Wong, Dongdong Zhang, Lei Guo, Simin Chen, Peng Guo\",\"doi\":\"10.1186/s12893-025-03163-6\",\"DOIUrl\":null,\"url\":null,\"abstract\":\"<p><strong>Introduction: </strong>Duodenal diverticulum (DD) ranks as the second most prevalent form of intestinal diverticulum and is typically asymptomatic. However, perforations of DD, while rare, are associated with potentially fatal outcomes.</p><p><strong>Presentation of case: </strong>A 78-year-old Chinese male patient presented with epigastric pain after overeating the day before admission. A contrast-enhanced computed tomography (CT) of the abdomen revealed cystic areas of extraluminal air in the posterior periduodenal area. We operated on the patient. A De Pezzer catheter and a nasogastric tube were placed in the duodenal cavity, supplemented by two external drainage tubes. Early postoperative enteral nutrition was facilitated through a jejunal feeding tube. The patient underwent successful surgical intervention and was discharged on the 12th post-operative day without any complications.</p><p><strong>Discussion: </strong>Non-operative management may be suitable for carefully selected patients with stable vital signs and a timely diagnosis. Surgical intervention is necessary if conservative approaches fail or in cases leading to generalized peritonitis or severe sepsis. For posterior DD perforations, it is critical to focus not only on wound repair but also on ensuring adequate drainage and decompression of the periduodenal and intestinal cavities to reduce the risk of fistulas.</p><p><strong>Conclusion: </strong>For patients with perforations of DD, surgical intervention should be advocated, emphasizing on the prevention and treatment of duodenal fistula during the operation. The application of a De Pezzer catheter, nasogastric tube, and additional duodenal drainage, combined with jejunal feeding for nutritional support, adheres to damage control principles and leads to favorable clinical outcomes.</p>\",\"PeriodicalId\":49229,\"journal\":{\"name\":\"BMC Surgery\",\"volume\":\"25 1\",\"pages\":\"414\"},\"PeriodicalIF\":1.8000,\"publicationDate\":\"2025-09-25\",\"publicationTypes\":\"Journal Article\",\"fieldsOfStudy\":null,\"isOpenAccess\":false,\"openAccessPdf\":\"https://www.ncbi.nlm.nih.gov/pmc/articles/PMC12465761/pdf/\",\"citationCount\":\"0\",\"resultStr\":null,\"platform\":\"Semanticscholar\",\"paperid\":null,\"PeriodicalName\":\"BMC Surgery\",\"FirstCategoryId\":\"3\",\"ListUrlMain\":\"https://doi.org/10.1186/s12893-025-03163-6\",\"RegionNum\":3,\"RegionCategory\":\"医学\",\"ArticlePicture\":[],\"TitleCN\":null,\"AbstractTextCN\":null,\"PMCID\":null,\"EPubDate\":\"\",\"PubModel\":\"\",\"JCR\":\"Q2\",\"JCRName\":\"SURGERY\",\"Score\":null,\"Total\":0}","platform":"Semanticscholar","paperid":null,"PeriodicalName":"BMC Surgery","FirstCategoryId":"3","ListUrlMain":"https://doi.org/10.1186/s12893-025-03163-6","RegionNum":3,"RegionCategory":"医学","ArticlePicture":[],"TitleCN":null,"AbstractTextCN":null,"PMCID":null,"EPubDate":"","PubModel":"","JCR":"Q2","JCRName":"SURGERY","Score":null,"Total":0}
引用次数: 0

摘要

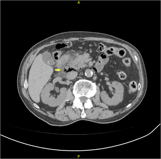
十二指肠憩室(Duodenal diverticulum, DD)是第二常见的肠憩室,通常无症状。然而,DD穿孔虽然罕见,但与潜在的致命结果有关。病例介绍:一名78岁的中国男性患者,入院前一天因暴饮暴食出现上腹部疼痛。腹部增强计算机断层扫描(CT)显示在后肛周区域腔外空气囊性区域。我们给病人做了手术。十二指肠腔内放置一根De Pezzer导管和一根鼻胃管,并辅以两根外引流管。术后早期通过空肠喂养管进行肠内营养。患者手术成功,术后第12天出院,无任何并发症。讨论:对于精心挑选的生命体征稳定且诊断及时的患者,非手术治疗可能是合适的。如果保守方法失败或导致广泛性腹膜炎或严重败血症,手术干预是必要的。对于后路DD穿孔,不仅要关注伤口修复,还要确保足量的引流和减压,以减少瘘管的风险。结论:对于十二指肠穿孔患者,应提倡手术干预,术中重视十二指肠瘘的预防和治疗。应用De Pezzer导管、鼻胃管、附加十二指肠引流,结合空肠喂养进行营养支持,符合损害控制原则,临床效果良好。
本文章由计算机程序翻译,如有差异,请以英文原文为准。

The submission title: management of retroperitoneal perforated descending duodenal diverticulum using de pezzer catheter drainage combined with nutritional jejunostomy: a case report and review of the literature.

The submission title: management of retroperitoneal perforated descending duodenal diverticulum using de pezzer catheter drainage combined with nutritional jejunostomy: a case report and review of the literature.

The submission title: management of retroperitoneal perforated descending duodenal diverticulum using de pezzer catheter drainage combined with nutritional jejunostomy: a case report and review of the literature.

The submission title: management of retroperitoneal perforated descending duodenal diverticulum using de pezzer catheter drainage combined with nutritional jejunostomy: a case report and review of the literature.

Introduction: Duodenal diverticulum (DD) ranks as the second most prevalent form of intestinal diverticulum and is typically asymptomatic. However, perforations of DD, while rare, are associated with potentially fatal outcomes.

Presentation of case: A 78-year-old Chinese male patient presented with epigastric pain after overeating the day before admission. A contrast-enhanced computed tomography (CT) of the abdomen revealed cystic areas of extraluminal air in the posterior periduodenal area. We operated on the patient. A De Pezzer catheter and a nasogastric tube were placed in the duodenal cavity, supplemented by two external drainage tubes. Early postoperative enteral nutrition was facilitated through a jejunal feeding tube. The patient underwent successful surgical intervention and was discharged on the 12th post-operative day without any complications.

Discussion: Non-operative management may be suitable for carefully selected patients with stable vital signs and a timely diagnosis. Surgical intervention is necessary if conservative approaches fail or in cases leading to generalized peritonitis or severe sepsis. For posterior DD perforations, it is critical to focus not only on wound repair but also on ensuring adequate drainage and decompression of the periduodenal and intestinal cavities to reduce the risk of fistulas.

Conclusion: For patients with perforations of DD, surgical intervention should be advocated, emphasizing on the prevention and treatment of duodenal fistula during the operation. The application of a De Pezzer catheter, nasogastric tube, and additional duodenal drainage, combined with jejunal feeding for nutritional support, adheres to damage control principles and leads to favorable clinical outcomes.

求助全文
通过发布文献求助,成功后即可免费获取论文全文。 去求助
来源期刊
BMC Surgery
BMC Surgery SURGERY-
CiteScore
2.90
自引率
5.30%
发文量
391
审稿时长
58 days
期刊介绍: BMC Surgery is an open access, peer-reviewed journal that considers articles on surgical research, training, and practice.
×
引用
GB/T 7714-2015
复制
MLA
复制
APA
复制
导出至
BibTeX EndNote RefMan NoteFirst NoteExpress
×
提示
您的信息不完整,为了账户安全,请先补充。
现在去补充
×
提示
您因"违规操作"
具体请查看互助需知
我知道了
×
提示
确定
请完成安全验证×
copy
已复制链接
快去分享给好友吧!
我知道了
右上角分享
点击右上角分享
0
联系我们:info@booksci.cn Book学术提供免费学术资源搜索服务,方便国内外学者检索中英文文献。致力于提供最便捷和优质的服务体验。 Copyright © 2023 布克学术 All rights reserved.
京ICP备2023020795号-1
ghs 京公网安备 11010802042870号
Book学术文献互助
Book学术文献互助群
群 号:604180095
Book学术官方微信