是血管瘤吗?模拟婴儿血管瘤的软组织肉瘤合并1例报告。

IF 0.5 Q4 SURGERY
Journal of Surgical Case Reports Pub Date : 2025-09-24 eCollection Date: 2025-09-01 DOI:10.1093/jscr/rjaf748
Shaden Almutairi, Wed AlWabel, Saud Aljadaan, Norah Alsabty, Afnan Alshehri, Faten Alrobian
{"title":"是血管瘤吗?模拟婴儿血管瘤的软组织肉瘤合并1例报告。","authors":"Shaden Almutairi, Wed AlWabel, Saud Aljadaan, Norah Alsabty, Afnan Alshehri, Faten Alrobian","doi":"10.1093/jscr/rjaf748","DOIUrl":null,"url":null,"abstract":"<p><p>Infantile hemangiomas (IHs) are the most common infantile tumors. They are benign and often responsive to propranolol. IHs are difficult to distinguish from malignant soft tissue tumors like sarcomas. Sarcomas are rare mesenchymal tumors that mimic hemangiomas, delaying treatment and affecting outcomes. We report two instances in which female infants with sarcomas were initially misdiagnosed as hemangiomas. In the first case, propanolol was administered to a 1-month-old presenting with a left inguinal mass. Imaging revealed a hemangioma. Tumor growth necessitated a biopsy, revealing a sarcoma. In the second case, a 2-month-old presented with a rapid growing and ulcerating left-hand swelling and was misdiagnosed as a hemangioma. Imaging and biopsy revealed metastatic sarcoma. Both patients developed brain metastases and passed away. These cases highlight that IHs need to be re-evaluated when rapid growth or ulceration is encountered. Early detection is essential for optimal outcomes.</p>","PeriodicalId":47321,"journal":{"name":"Journal of Surgical Case Reports","volume":"2025 9","pages":"rjaf748"},"PeriodicalIF":0.5000,"publicationDate":"2025-09-24","publicationTypes":"Journal Article","fieldsOfStudy":null,"isOpenAccess":false,"openAccessPdf":"https://www.ncbi.nlm.nih.gov/pmc/articles/PMC12459262/pdf/","citationCount":"0","resultStr":"{\"title\":\"Is it a hemangioma? A combined case report of soft tissue sarcomas mimicking infantile hemangioma.\",\"authors\":\"Shaden Almutairi, Wed AlWabel, Saud Aljadaan, Norah Alsabty, Afnan Alshehri, Faten Alrobian\",\"doi\":\"10.1093/jscr/rjaf748\",\"DOIUrl\":null,\"url\":null,\"abstract\":\"<p><p>Infantile hemangiomas (IHs) are the most common infantile tumors. They are benign and often responsive to propranolol. IHs are difficult to distinguish from malignant soft tissue tumors like sarcomas. Sarcomas are rare mesenchymal tumors that mimic hemangiomas, delaying treatment and affecting outcomes. We report two instances in which female infants with sarcomas were initially misdiagnosed as hemangiomas. In the first case, propanolol was administered to a 1-month-old presenting with a left inguinal mass. Imaging revealed a hemangioma. Tumor growth necessitated a biopsy, revealing a sarcoma. In the second case, a 2-month-old presented with a rapid growing and ulcerating left-hand swelling and was misdiagnosed as a hemangioma. Imaging and biopsy revealed metastatic sarcoma. Both patients developed brain metastases and passed away. These cases highlight that IHs need to be re-evaluated when rapid growth or ulceration is encountered. Early detection is essential for optimal outcomes.</p>\",\"PeriodicalId\":47321,\"journal\":{\"name\":\"Journal of Surgical Case Reports\",\"volume\":\"2025 9\",\"pages\":\"rjaf748\"},\"PeriodicalIF\":0.5000,\"publicationDate\":\"2025-09-24\",\"publicationTypes\":\"Journal Article\",\"fieldsOfStudy\":null,\"isOpenAccess\":false,\"openAccessPdf\":\"https://www.ncbi.nlm.nih.gov/pmc/articles/PMC12459262/pdf/\",\"citationCount\":\"0\",\"resultStr\":null,\"platform\":\"Semanticscholar\",\"paperid\":null,\"PeriodicalName\":\"Journal of Surgical Case Reports\",\"FirstCategoryId\":\"1085\",\"ListUrlMain\":\"https://doi.org/10.1093/jscr/rjaf748\",\"RegionNum\":0,\"RegionCategory\":null,\"ArticlePicture\":[],\"TitleCN\":null,\"AbstractTextCN\":null,\"PMCID\":null,\"EPubDate\":\"2025/9/1 0:00:00\",\"PubModel\":\"eCollection\",\"JCR\":\"Q4\",\"JCRName\":\"SURGERY\",\"Score\":null,\"Total\":0}","platform":"Semanticscholar","paperid":null,"PeriodicalName":"Journal of Surgical Case Reports","FirstCategoryId":"1085","ListUrlMain":"https://doi.org/10.1093/jscr/rjaf748","RegionNum":0,"RegionCategory":null,"ArticlePicture":[],"TitleCN":null,"AbstractTextCN":null,"PMCID":null,"EPubDate":"2025/9/1 0:00:00","PubModel":"eCollection","JCR":"Q4","JCRName":"SURGERY","Score":null,"Total":0}
引用次数: 0

摘要

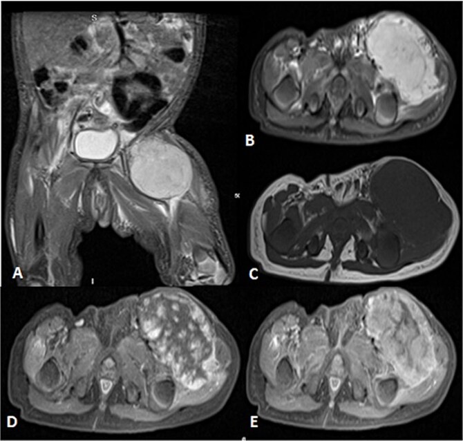
婴儿血管瘤(his)是最常见的婴儿肿瘤。它们是良性的,通常对心得安有反应。IHs很难与恶性软组织肿瘤如肉瘤区分。肉瘤是一种罕见的间充质肿瘤,类似于血管瘤,延迟治疗并影响预后。我们报告两例女婴的肉瘤最初被误诊为血管瘤。在第一个病例中,对1个月大的左腹股沟肿块患者使用丙泊洛尔。影像学显示为血管瘤。肿瘤生长需要活检,发现是肉瘤。在第二个病例中,一个2个月大的婴儿表现为快速增长和溃疡性左手肿胀,并被误诊为血管瘤。影像学和活检显示转移性肉瘤。两名患者都发生了脑转移并去世。这些病例强调,当遇到快速生长或溃疡时,需要重新评估his。早期发现对于获得最佳结果至关重要。
本文章由计算机程序翻译,如有差异,请以英文原文为准。

Is it a hemangioma? A combined case report of soft tissue sarcomas mimicking infantile hemangioma.

Is it a hemangioma? A combined case report of soft tissue sarcomas mimicking infantile hemangioma.

Is it a hemangioma? A combined case report of soft tissue sarcomas mimicking infantile hemangioma.

Is it a hemangioma? A combined case report of soft tissue sarcomas mimicking infantile hemangioma.

Infantile hemangiomas (IHs) are the most common infantile tumors. They are benign and often responsive to propranolol. IHs are difficult to distinguish from malignant soft tissue tumors like sarcomas. Sarcomas are rare mesenchymal tumors that mimic hemangiomas, delaying treatment and affecting outcomes. We report two instances in which female infants with sarcomas were initially misdiagnosed as hemangiomas. In the first case, propanolol was administered to a 1-month-old presenting with a left inguinal mass. Imaging revealed a hemangioma. Tumor growth necessitated a biopsy, revealing a sarcoma. In the second case, a 2-month-old presented with a rapid growing and ulcerating left-hand swelling and was misdiagnosed as a hemangioma. Imaging and biopsy revealed metastatic sarcoma. Both patients developed brain metastases and passed away. These cases highlight that IHs need to be re-evaluated when rapid growth or ulceration is encountered. Early detection is essential for optimal outcomes.

求助全文
通过发布文献求助,成功后即可免费获取论文全文。 去求助
来源期刊
CiteScore
0.70
自引率
0.00%
发文量
559
审稿时长
11 weeks
×
引用
GB/T 7714-2015
复制
MLA
复制
APA
复制
导出至
BibTeX EndNote RefMan NoteFirst NoteExpress
×
提示
您的信息不完整,为了账户安全,请先补充。
现在去补充
×
提示
您因"违规操作"
具体请查看互助需知
我知道了
×
提示
确定
请完成安全验证×
copy
已复制链接
快去分享给好友吧!
我知道了
右上角分享
点击右上角分享
0
联系我们:info@booksci.cn Book学术提供免费学术资源搜索服务,方便国内外学者检索中英文文献。致力于提供最便捷和优质的服务体验。 Copyright © 2023 布克学术 All rights reserved.
京ICP备2023020795号-1
ghs 京公网安备 11010802042870号
Book学术文献互助
Book学术文献互助群
群 号:604180095
Book学术官方微信