晚期人类免疫缺陷病毒表现为巨细胞病毒引起的坏死性肛门溃疡。

IF 0.5 Q4 SURGERY
Journal of Surgical Case Reports Pub Date : 2025-09-24 eCollection Date: 2025-09-01 DOI:10.1093/jscr/rjaf763
Katherine L Szeliga, Jenny C McCloskey, Abdallah Elsabagh, Gawri Rajakaruna
{"title":"晚期人类免疫缺陷病毒表现为巨细胞病毒引起的坏死性肛门溃疡。","authors":"Katherine L Szeliga, Jenny C McCloskey, Abdallah Elsabagh, Gawri Rajakaruna","doi":"10.1093/jscr/rjaf763","DOIUrl":null,"url":null,"abstract":"<p><p>The morbidity and mortality of severe disease secondary to cytomegalovirus (CMV) infection in immunocompromised patients has been well documented. We report an interesting case of CMV proctitis in a heterosexual adult male in his 50s who initially presented with an 8-month history of rectal pain, intermittent haematochezia, and weight loss. On examination, he was found to have perianal condyloma acuminata and ulceration up to the internal anal sphincter. The clinical suspicion of acquired immunodeficiency, such as human immunodeficiency virus, is of paramount importance in patients with severe, painful anorectal ulceration.</p>","PeriodicalId":47321,"journal":{"name":"Journal of Surgical Case Reports","volume":"2025 9","pages":"rjaf763"},"PeriodicalIF":0.5000,"publicationDate":"2025-09-24","publicationTypes":"Journal Article","fieldsOfStudy":null,"isOpenAccess":false,"openAccessPdf":"https://www.ncbi.nlm.nih.gov/pmc/articles/PMC12459968/pdf/","citationCount":"0","resultStr":"{\"title\":\"Late human immunodeficiency virus presenting as necrotizing anal ulceration due to cytomegalovirus.\",\"authors\":\"Katherine L Szeliga, Jenny C McCloskey, Abdallah Elsabagh, Gawri Rajakaruna\",\"doi\":\"10.1093/jscr/rjaf763\",\"DOIUrl\":null,\"url\":null,\"abstract\":\"<p><p>The morbidity and mortality of severe disease secondary to cytomegalovirus (CMV) infection in immunocompromised patients has been well documented. We report an interesting case of CMV proctitis in a heterosexual adult male in his 50s who initially presented with an 8-month history of rectal pain, intermittent haematochezia, and weight loss. On examination, he was found to have perianal condyloma acuminata and ulceration up to the internal anal sphincter. The clinical suspicion of acquired immunodeficiency, such as human immunodeficiency virus, is of paramount importance in patients with severe, painful anorectal ulceration.</p>\",\"PeriodicalId\":47321,\"journal\":{\"name\":\"Journal of Surgical Case Reports\",\"volume\":\"2025 9\",\"pages\":\"rjaf763\"},\"PeriodicalIF\":0.5000,\"publicationDate\":\"2025-09-24\",\"publicationTypes\":\"Journal Article\",\"fieldsOfStudy\":null,\"isOpenAccess\":false,\"openAccessPdf\":\"https://www.ncbi.nlm.nih.gov/pmc/articles/PMC12459968/pdf/\",\"citationCount\":\"0\",\"resultStr\":null,\"platform\":\"Semanticscholar\",\"paperid\":null,\"PeriodicalName\":\"Journal of Surgical Case Reports\",\"FirstCategoryId\":\"1085\",\"ListUrlMain\":\"https://doi.org/10.1093/jscr/rjaf763\",\"RegionNum\":0,\"RegionCategory\":null,\"ArticlePicture\":[],\"TitleCN\":null,\"AbstractTextCN\":null,\"PMCID\":null,\"EPubDate\":\"2025/9/1 0:00:00\",\"PubModel\":\"eCollection\",\"JCR\":\"Q4\",\"JCRName\":\"SURGERY\",\"Score\":null,\"Total\":0}","platform":"Semanticscholar","paperid":null,"PeriodicalName":"Journal of Surgical Case Reports","FirstCategoryId":"1085","ListUrlMain":"https://doi.org/10.1093/jscr/rjaf763","RegionNum":0,"RegionCategory":null,"ArticlePicture":[],"TitleCN":null,"AbstractTextCN":null,"PMCID":null,"EPubDate":"2025/9/1 0:00:00","PubModel":"eCollection","JCR":"Q4","JCRName":"SURGERY","Score":null,"Total":0}
引用次数: 0

摘要

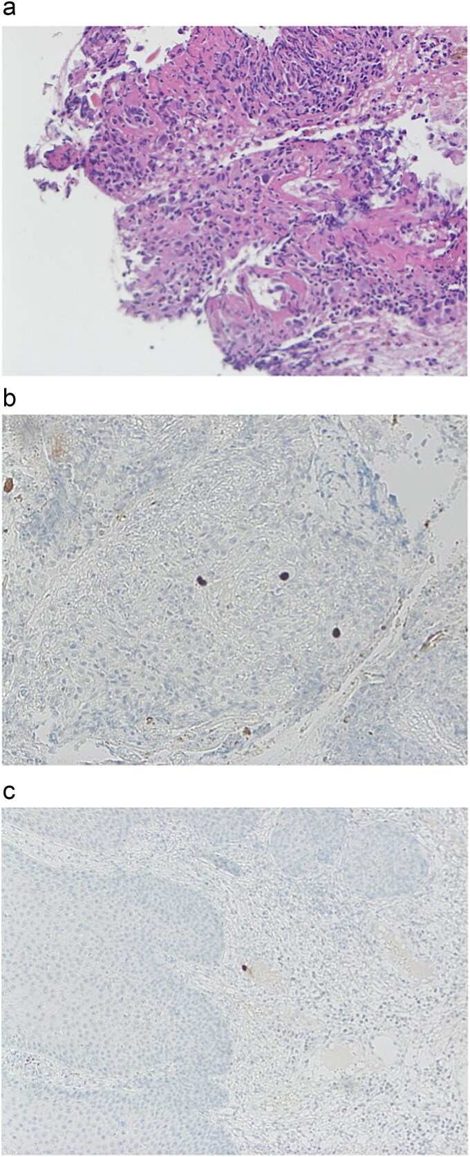
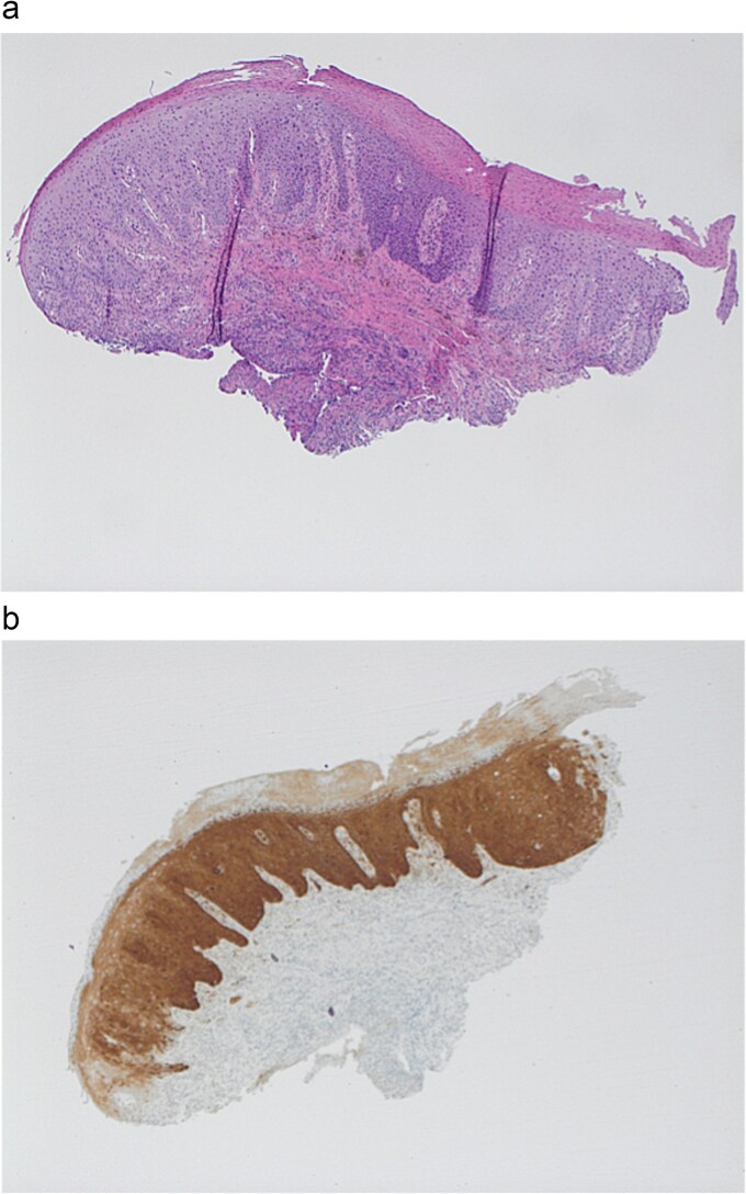
免疫功能低下患者继发巨细胞病毒(CMV)感染的严重疾病的发病率和死亡率已经有了很好的记录。我们报告一个有趣的巨细胞病毒性直肠炎病例,患者为50多岁的异性恋成年男性,最初表现为8个月的直肠疼痛、间歇性血便病和体重减轻。经检查,他被发现有肛周尖锐湿疣和溃疡到内肛门括约肌。临床怀疑获得性免疫缺陷,如人类免疫缺陷病毒,对严重、疼痛的肛肠溃疡患者至关重要。
本文章由计算机程序翻译,如有差异,请以英文原文为准。

Late human immunodeficiency virus presenting as necrotizing anal ulceration due to cytomegalovirus.

Late human immunodeficiency virus presenting as necrotizing anal ulceration due to cytomegalovirus.

Late human immunodeficiency virus presenting as necrotizing anal ulceration due to cytomegalovirus.

Late human immunodeficiency virus presenting as necrotizing anal ulceration due to cytomegalovirus.

The morbidity and mortality of severe disease secondary to cytomegalovirus (CMV) infection in immunocompromised patients has been well documented. We report an interesting case of CMV proctitis in a heterosexual adult male in his 50s who initially presented with an 8-month history of rectal pain, intermittent haematochezia, and weight loss. On examination, he was found to have perianal condyloma acuminata and ulceration up to the internal anal sphincter. The clinical suspicion of acquired immunodeficiency, such as human immunodeficiency virus, is of paramount importance in patients with severe, painful anorectal ulceration.

求助全文
通过发布文献求助,成功后即可免费获取论文全文。 去求助
来源期刊
CiteScore
0.70
自引率
0.00%
发文量
559
审稿时长
11 weeks
×
引用
GB/T 7714-2015
复制
MLA
复制
APA
复制
导出至
BibTeX EndNote RefMan NoteFirst NoteExpress
×
提示
您的信息不完整,为了账户安全,请先补充。
现在去补充
×
提示
您因"违规操作"
具体请查看互助需知
我知道了
×
提示
确定
请完成安全验证×
copy
已复制链接
快去分享给好友吧!
我知道了
右上角分享
点击右上角分享
0
联系我们:info@booksci.cn Book学术提供免费学术资源搜索服务,方便国内外学者检索中英文文献。致力于提供最便捷和优质的服务体验。 Copyright © 2023 布克学术 All rights reserved.
京ICP备2023020795号-1
ghs 京公网安备 11010802042870号
Book学术文献互助
Book学术文献互助群
群 号:604180095
Book学术官方微信