膀胱恶性triton肿瘤致死亡:罕见病例报告。

IF 0.5 Q4 SURGERY
Journal of Surgical Case Reports Pub Date : 2025-09-24 eCollection Date: 2025-09-01 DOI:10.1093/jscr/rjaf756
El Mehdi Bouayad, Taha Yassine Aaboudech, Sabrine Derqaoui, Hamza Bouayad, Siham Mesmoudi, Kaoutar Znati, Zakia Bernoussi, Ahmed Jahid
{"title":"膀胱恶性triton肿瘤致死亡:罕见病例报告。","authors":"El Mehdi Bouayad, Taha Yassine Aaboudech, Sabrine Derqaoui, Hamza Bouayad, Siham Mesmoudi, Kaoutar Znati, Zakia Bernoussi, Ahmed Jahid","doi":"10.1093/jscr/rjaf756","DOIUrl":null,"url":null,"abstract":"<p><p>Malignant triton tumors (MTTs) are a rare subtype of malignant peripheral nerve sheath tumors characterized by rhabdomyoblastic differentiation, often associated with neurofibromatosis type 1 (NF-1). Primary MTTs of the bladder are exceptionally uncommon, with few documented cases. We report a case of a 75-year-old male without neurofibromatosis type 1 history presenting with hematuria and urinary obstruction. Imaging revealed a 6.5 × 4 × 2 cm invasive bladder mass, and histopathology confirmed a high-grade spindle cell neoplasm with biphasic neurogenic (S100-positive) and rhabdomyoblastic (desmin- and myogenin-positive) differentiation, consistent with a diagnosis of MTT. Despite radical cystoprostatectomy, the patient succumbed to postoperative complications. This case highlights the aggressive behavior, diagnostic challenges, and poor prognosis of bladder MTTs, emphasizing the critical role of immunohistochemistry in distinguishing them from other spindle cell neoplasms. The rarity of this presentation underscores the need for further research to elucidate its pathogenesis and optimize therapeutic strategies.</p>","PeriodicalId":47321,"journal":{"name":"Journal of Surgical Case Reports","volume":"2025 9","pages":"rjaf756"},"PeriodicalIF":0.5000,"publicationDate":"2025-09-24","publicationTypes":"Journal Article","fieldsOfStudy":null,"isOpenAccess":false,"openAccessPdf":"https://www.ncbi.nlm.nih.gov/pmc/articles/PMC12459258/pdf/","citationCount":"0","resultStr":"{\"title\":\"Malignant triton tumor of the bladder with fatal outcome: a rare case report.\",\"authors\":\"El Mehdi Bouayad, Taha Yassine Aaboudech, Sabrine Derqaoui, Hamza Bouayad, Siham Mesmoudi, Kaoutar Znati, Zakia Bernoussi, Ahmed Jahid\",\"doi\":\"10.1093/jscr/rjaf756\",\"DOIUrl\":null,\"url\":null,\"abstract\":\"<p><p>Malignant triton tumors (MTTs) are a rare subtype of malignant peripheral nerve sheath tumors characterized by rhabdomyoblastic differentiation, often associated with neurofibromatosis type 1 (NF-1). Primary MTTs of the bladder are exceptionally uncommon, with few documented cases. We report a case of a 75-year-old male without neurofibromatosis type 1 history presenting with hematuria and urinary obstruction. Imaging revealed a 6.5 × 4 × 2 cm invasive bladder mass, and histopathology confirmed a high-grade spindle cell neoplasm with biphasic neurogenic (S100-positive) and rhabdomyoblastic (desmin- and myogenin-positive) differentiation, consistent with a diagnosis of MTT. Despite radical cystoprostatectomy, the patient succumbed to postoperative complications. This case highlights the aggressive behavior, diagnostic challenges, and poor prognosis of bladder MTTs, emphasizing the critical role of immunohistochemistry in distinguishing them from other spindle cell neoplasms. The rarity of this presentation underscores the need for further research to elucidate its pathogenesis and optimize therapeutic strategies.</p>\",\"PeriodicalId\":47321,\"journal\":{\"name\":\"Journal of Surgical Case Reports\",\"volume\":\"2025 9\",\"pages\":\"rjaf756\"},\"PeriodicalIF\":0.5000,\"publicationDate\":\"2025-09-24\",\"publicationTypes\":\"Journal Article\",\"fieldsOfStudy\":null,\"isOpenAccess\":false,\"openAccessPdf\":\"https://www.ncbi.nlm.nih.gov/pmc/articles/PMC12459258/pdf/\",\"citationCount\":\"0\",\"resultStr\":null,\"platform\":\"Semanticscholar\",\"paperid\":null,\"PeriodicalName\":\"Journal of Surgical Case Reports\",\"FirstCategoryId\":\"1085\",\"ListUrlMain\":\"https://doi.org/10.1093/jscr/rjaf756\",\"RegionNum\":0,\"RegionCategory\":null,\"ArticlePicture\":[],\"TitleCN\":null,\"AbstractTextCN\":null,\"PMCID\":null,\"EPubDate\":\"2025/9/1 0:00:00\",\"PubModel\":\"eCollection\",\"JCR\":\"Q4\",\"JCRName\":\"SURGERY\",\"Score\":null,\"Total\":0}","platform":"Semanticscholar","paperid":null,"PeriodicalName":"Journal of Surgical Case Reports","FirstCategoryId":"1085","ListUrlMain":"https://doi.org/10.1093/jscr/rjaf756","RegionNum":0,"RegionCategory":null,"ArticlePicture":[],"TitleCN":null,"AbstractTextCN":null,"PMCID":null,"EPubDate":"2025/9/1 0:00:00","PubModel":"eCollection","JCR":"Q4","JCRName":"SURGERY","Score":null,"Total":0}
引用次数: 0

摘要

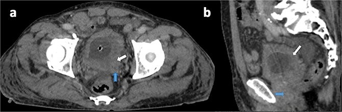
恶性triton肿瘤(MTTs)是一种罕见的恶性周围神经鞘肿瘤亚型,以横纹肌母细胞分化为特征,常与1型神经纤维瘤病(NF-1)相关。原发性膀胱mtt非常罕见,文献记载的病例很少。我们报告一例75岁男性无神经纤维瘤病1型病史的表现血尿和尿路梗阻。影像学显示一个6.5 × 4 × 2 cm的浸润性膀胱肿块,组织病理学证实为高级别梭形细胞肿瘤,伴有双期神经源性(s100阳性)和横纹肌母细胞(desmin和myogenin阳性)分化,符合MTT的诊断。尽管行根治性膀胱前列腺切除术,患者还是死于术后并发症。该病例突出了膀胱MTTs的侵袭性行为、诊断挑战和预后不良,强调了免疫组织化学在将其与其他梭形细胞肿瘤区分开来方面的关键作用。这种罕见的表现强调了进一步研究阐明其发病机制和优化治疗策略的必要性。
本文章由计算机程序翻译,如有差异,请以英文原文为准。

Malignant triton tumor of the bladder with fatal outcome: a rare case report.

Malignant triton tumor of the bladder with fatal outcome: a rare case report.

Malignant triton tumor of the bladder with fatal outcome: a rare case report.

Malignant triton tumor of the bladder with fatal outcome: a rare case report.

Malignant triton tumors (MTTs) are a rare subtype of malignant peripheral nerve sheath tumors characterized by rhabdomyoblastic differentiation, often associated with neurofibromatosis type 1 (NF-1). Primary MTTs of the bladder are exceptionally uncommon, with few documented cases. We report a case of a 75-year-old male without neurofibromatosis type 1 history presenting with hematuria and urinary obstruction. Imaging revealed a 6.5 × 4 × 2 cm invasive bladder mass, and histopathology confirmed a high-grade spindle cell neoplasm with biphasic neurogenic (S100-positive) and rhabdomyoblastic (desmin- and myogenin-positive) differentiation, consistent with a diagnosis of MTT. Despite radical cystoprostatectomy, the patient succumbed to postoperative complications. This case highlights the aggressive behavior, diagnostic challenges, and poor prognosis of bladder MTTs, emphasizing the critical role of immunohistochemistry in distinguishing them from other spindle cell neoplasms. The rarity of this presentation underscores the need for further research to elucidate its pathogenesis and optimize therapeutic strategies.

求助全文
通过发布文献求助,成功后即可免费获取论文全文。 去求助
来源期刊
CiteScore
0.70
自引率
0.00%
发文量
559
审稿时长
11 weeks
×
引用
GB/T 7714-2015
复制
MLA
复制
APA
复制
导出至
BibTeX EndNote RefMan NoteFirst NoteExpress
×
提示
您的信息不完整,为了账户安全,请先补充。
现在去补充
×
提示
您因"违规操作"
具体请查看互助需知
我知道了
×
提示
确定
请完成安全验证×
copy
已复制链接
快去分享给好友吧!
我知道了
右上角分享
点击右上角分享
0
联系我们:info@booksci.cn Book学术提供免费学术资源搜索服务,方便国内外学者检索中英文文献。致力于提供最便捷和优质的服务体验。 Copyright © 2023 布克学术 All rights reserved.
京ICP备2023020795号-1
ghs 京公网安备 11010802042870号
Book学术文献互助
Book学术文献互助群
群 号:604180095
Book学术官方微信