腹股沟管子宫圆韧带腺肌瘤1例。

IF 0.5 Q4 SURGERY
Journal of Surgical Case Reports Pub Date : 2025-09-24 eCollection Date: 2025-09-01 DOI:10.1093/jscr/rjaf421
Linhan Dai, Jin Wang, Yuhan Chen, Lvjia Cheng, Xiaoshen Zhang, Wenbin Zhang
{"title":"腹股沟管子宫圆韧带腺肌瘤1例。","authors":"Linhan Dai, Jin Wang, Yuhan Chen, Lvjia Cheng, Xiaoshen Zhang, Wenbin Zhang","doi":"10.1093/jscr/rjaf421","DOIUrl":null,"url":null,"abstract":"<p><p>Adenomyoma originating from the round ligament of the uterus represents a remarkably uncommon pathological entity. Considering the anatomical course of the round ligament through the inguinal canal, pathological lesions in this structure may clinically present as pelvic or inguinal masses, thereby requiring differentiation from a broad spectrum of alternative pathological conditions. Of particular clinical significance, adenomyoma-associated manifestations causing inguinal hernia remain exceedingly rare, with definitive diagnostic confirmation contingent upon histopathological verification. We herein present a case of primary round ligament adenomyoma localized within the inguinal canal, with the objective of enhancing clinical awareness and providing evidence-based guidance and optimizing diagnostic and therapeutic decision-making in comparable clinical scenarios.</p>","PeriodicalId":47321,"journal":{"name":"Journal of Surgical Case Reports","volume":"2025 9","pages":"rjaf421"},"PeriodicalIF":0.5000,"publicationDate":"2025-09-24","publicationTypes":"Journal Article","fieldsOfStudy":null,"isOpenAccess":false,"openAccessPdf":"https://www.ncbi.nlm.nih.gov/pmc/articles/PMC12459966/pdf/","citationCount":"0","resultStr":"{\"title\":\"Adenomyoma of the round ligament of the uterus in the inguinal canal: a case report.\",\"authors\":\"Linhan Dai, Jin Wang, Yuhan Chen, Lvjia Cheng, Xiaoshen Zhang, Wenbin Zhang\",\"doi\":\"10.1093/jscr/rjaf421\",\"DOIUrl\":null,\"url\":null,\"abstract\":\"<p><p>Adenomyoma originating from the round ligament of the uterus represents a remarkably uncommon pathological entity. Considering the anatomical course of the round ligament through the inguinal canal, pathological lesions in this structure may clinically present as pelvic or inguinal masses, thereby requiring differentiation from a broad spectrum of alternative pathological conditions. Of particular clinical significance, adenomyoma-associated manifestations causing inguinal hernia remain exceedingly rare, with definitive diagnostic confirmation contingent upon histopathological verification. We herein present a case of primary round ligament adenomyoma localized within the inguinal canal, with the objective of enhancing clinical awareness and providing evidence-based guidance and optimizing diagnostic and therapeutic decision-making in comparable clinical scenarios.</p>\",\"PeriodicalId\":47321,\"journal\":{\"name\":\"Journal of Surgical Case Reports\",\"volume\":\"2025 9\",\"pages\":\"rjaf421\"},\"PeriodicalIF\":0.5000,\"publicationDate\":\"2025-09-24\",\"publicationTypes\":\"Journal Article\",\"fieldsOfStudy\":null,\"isOpenAccess\":false,\"openAccessPdf\":\"https://www.ncbi.nlm.nih.gov/pmc/articles/PMC12459966/pdf/\",\"citationCount\":\"0\",\"resultStr\":null,\"platform\":\"Semanticscholar\",\"paperid\":null,\"PeriodicalName\":\"Journal of Surgical Case Reports\",\"FirstCategoryId\":\"1085\",\"ListUrlMain\":\"https://doi.org/10.1093/jscr/rjaf421\",\"RegionNum\":0,\"RegionCategory\":null,\"ArticlePicture\":[],\"TitleCN\":null,\"AbstractTextCN\":null,\"PMCID\":null,\"EPubDate\":\"2025/9/1 0:00:00\",\"PubModel\":\"eCollection\",\"JCR\":\"Q4\",\"JCRName\":\"SURGERY\",\"Score\":null,\"Total\":0}","platform":"Semanticscholar","paperid":null,"PeriodicalName":"Journal of Surgical Case Reports","FirstCategoryId":"1085","ListUrlMain":"https://doi.org/10.1093/jscr/rjaf421","RegionNum":0,"RegionCategory":null,"ArticlePicture":[],"TitleCN":null,"AbstractTextCN":null,"PMCID":null,"EPubDate":"2025/9/1 0:00:00","PubModel":"eCollection","JCR":"Q4","JCRName":"SURGERY","Score":null,"Total":0}
引用次数: 0

摘要

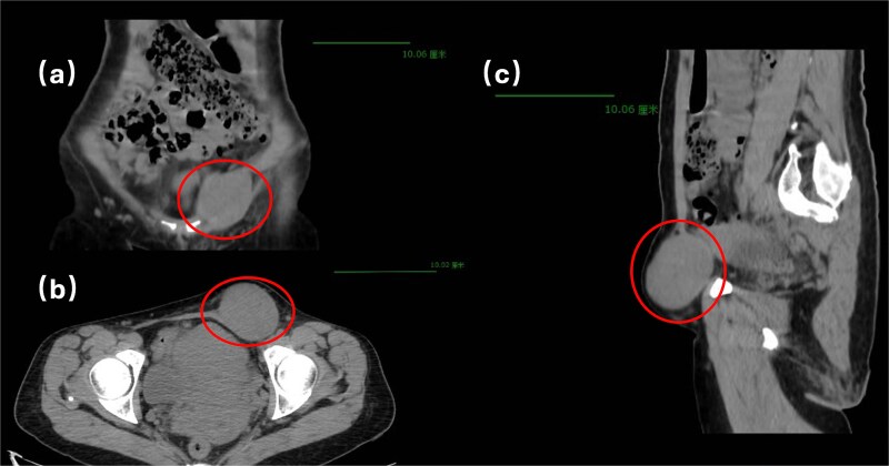
起源于子宫圆韧带的腺肌瘤是一种非常罕见的病理实体。考虑到圆形韧带穿过腹股沟管的解剖过程,这种结构的病理病变在临床上可能表现为盆腔或腹股沟肿块,因此需要从广泛的其他病理情况中进行区分。具有特殊临床意义的是,引起腹股沟疝的腺肌瘤相关表现非常罕见,最终的诊断确认取决于组织病理学证实。我们在此报告一例腹股沟管内原发性圆形韧带腺肌瘤,旨在提高临床认识,为同类临床情况的诊断和治疗决策提供循证指导和优化。
本文章由计算机程序翻译,如有差异,请以英文原文为准。

Adenomyoma of the round ligament of the uterus in the inguinal canal: a case report.

Adenomyoma of the round ligament of the uterus in the inguinal canal: a case report.

Adenomyoma of the round ligament of the uterus in the inguinal canal: a case report.

Adenomyoma of the round ligament of the uterus in the inguinal canal: a case report.

Adenomyoma originating from the round ligament of the uterus represents a remarkably uncommon pathological entity. Considering the anatomical course of the round ligament through the inguinal canal, pathological lesions in this structure may clinically present as pelvic or inguinal masses, thereby requiring differentiation from a broad spectrum of alternative pathological conditions. Of particular clinical significance, adenomyoma-associated manifestations causing inguinal hernia remain exceedingly rare, with definitive diagnostic confirmation contingent upon histopathological verification. We herein present a case of primary round ligament adenomyoma localized within the inguinal canal, with the objective of enhancing clinical awareness and providing evidence-based guidance and optimizing diagnostic and therapeutic decision-making in comparable clinical scenarios.

求助全文
通过发布文献求助,成功后即可免费获取论文全文。 去求助
来源期刊
CiteScore
0.70
自引率
0.00%
发文量
559
审稿时长
11 weeks
×
引用
GB/T 7714-2015
复制
MLA
复制
APA
复制
导出至
BibTeX EndNote RefMan NoteFirst NoteExpress
×
提示
您的信息不完整,为了账户安全,请先补充。
现在去补充
×
提示
您因"违规操作"
具体请查看互助需知
我知道了
×
提示
确定
请完成安全验证×
copy
已复制链接
快去分享给好友吧!
我知道了
右上角分享
点击右上角分享
0
联系我们:info@booksci.cn Book学术提供免费学术资源搜索服务,方便国内外学者检索中英文文献。致力于提供最便捷和优质的服务体验。 Copyright © 2023 布克学术 All rights reserved.
京ICP备2023020795号-1
ghs 京公网安备 11010802042870号
Book学术文献互助
Book学术文献互助群
群 号:604180095
Book学术官方微信