一例罕见的老年成年男性假性血管瘤间质增生(PASH):一个突出新表现的病例报告。

IF 2.5 3区 医学 Q3 ONCOLOGY
Gabriel Baccam Unkrich, Jennifer L Somerville, Vincent J Reid
{"title":"一例罕见的老年成年男性假性血管瘤间质增生(PASH):一个突出新表现的病例报告。","authors":"Gabriel Baccam Unkrich, Jennifer L Somerville, Vincent J Reid","doi":"10.1186/s12957-025-03777-3","DOIUrl":null,"url":null,"abstract":"<p><strong>Background: </strong>Pseudoangiomatous stromal hyperplasia (PASH) is a rare benign mesenchymal lesion of the breast that is most commonly seen in young premenopausal and perimenopausal females and found in approximately 23% of breast specimens. In rare cases, PASH has been reported exclusively in young adult males and is associated with gynecomastia. The prevalence of benign breast masses in men with gynecomastia ranges from approximately 23.8-47.4% and peaks between the ages of 50 and 80. PASH frequently presents as a palpable mass or is incidentally identified through imaging and microscopy. Due to its varied and infrequent presentations, PASH is often mistaken for malignancy or other breast lesions, particularly in senior adult males (over 65 years old), an age group commonly affected by benign breast masses and male breast cancer. Given its rare and diverse presentation, it is crucial to consider PASH in the differential diagnosis of a male patient with a benign breast tumor to guide appropriate management, avoid overtreatment, and ensure prompt evaluation for any underlying abnormalities.</p><p><strong>Case presentation: </strong>This report presents a unique case of PASH in a senior adult male, aged over 65 years, who presented with an enlarging palpable areolar mass. Notably, the patient had no family history or past medical history of breast cancer. Imaging studies, including mammography and ultrasound, revealed mild gynecomastia and BIRADS-4 classification, prompting further investigation. A core needle biopsy confirmed the diagnosis of PASH, showing no evidence of carcinoma or malignancy. Given the mass's progressive enlargement, surgical excision was recommended and successfully performed.</p><p><strong>Conclusions: </strong>This report outlines the patient's clinical presentation, diagnostic evaluation, and management while also providing a brief review of the limited literature. It is the first report to describe the presentation and management of PASH in a male over 65 years old with no history of abnormal breast pathology. Understanding atypical cases of PASH is essential for accurate diagnosis and appropriate management in this patient demographic.</p>","PeriodicalId":23856,"journal":{"name":"World Journal of Surgical Oncology","volume":"23 1","pages":"339"},"PeriodicalIF":2.5000,"publicationDate":"2025-09-25","publicationTypes":"Journal Article","fieldsOfStudy":null,"isOpenAccess":false,"openAccessPdf":"https://www.ncbi.nlm.nih.gov/pmc/articles/PMC12465646/pdf/","citationCount":"0","resultStr":"{\"title\":\"A rare incidence of pseudoangiomatous stromal hyperplasia (PASH) in a senior adult male: a case report highlighting a novel presentation.\",\"authors\":\"Gabriel Baccam Unkrich, Jennifer L Somerville, Vincent J Reid\",\"doi\":\"10.1186/s12957-025-03777-3\",\"DOIUrl\":null,\"url\":null,\"abstract\":\"<p><strong>Background: </strong>Pseudoangiomatous stromal hyperplasia (PASH) is a rare benign mesenchymal lesion of the breast that is most commonly seen in young premenopausal and perimenopausal females and found in approximately 23% of breast specimens. In rare cases, PASH has been reported exclusively in young adult males and is associated with gynecomastia. The prevalence of benign breast masses in men with gynecomastia ranges from approximately 23.8-47.4% and peaks between the ages of 50 and 80. PASH frequently presents as a palpable mass or is incidentally identified through imaging and microscopy. Due to its varied and infrequent presentations, PASH is often mistaken for malignancy or other breast lesions, particularly in senior adult males (over 65 years old), an age group commonly affected by benign breast masses and male breast cancer. Given its rare and diverse presentation, it is crucial to consider PASH in the differential diagnosis of a male patient with a benign breast tumor to guide appropriate management, avoid overtreatment, and ensure prompt evaluation for any underlying abnormalities.</p><p><strong>Case presentation: </strong>This report presents a unique case of PASH in a senior adult male, aged over 65 years, who presented with an enlarging palpable areolar mass. Notably, the patient had no family history or past medical history of breast cancer. Imaging studies, including mammography and ultrasound, revealed mild gynecomastia and BIRADS-4 classification, prompting further investigation. A core needle biopsy confirmed the diagnosis of PASH, showing no evidence of carcinoma or malignancy. Given the mass's progressive enlargement, surgical excision was recommended and successfully performed.</p><p><strong>Conclusions: </strong>This report outlines the patient's clinical presentation, diagnostic evaluation, and management while also providing a brief review of the limited literature. It is the first report to describe the presentation and management of PASH in a male over 65 years old with no history of abnormal breast pathology. Understanding atypical cases of PASH is essential for accurate diagnosis and appropriate management in this patient demographic.</p>\",\"PeriodicalId\":23856,\"journal\":{\"name\":\"World Journal of Surgical Oncology\",\"volume\":\"23 1\",\"pages\":\"339\"},\"PeriodicalIF\":2.5000,\"publicationDate\":\"2025-09-25\",\"publicationTypes\":\"Journal Article\",\"fieldsOfStudy\":null,\"isOpenAccess\":false,\"openAccessPdf\":\"https://www.ncbi.nlm.nih.gov/pmc/articles/PMC12465646/pdf/\",\"citationCount\":\"0\",\"resultStr\":null,\"platform\":\"Semanticscholar\",\"paperid\":null,\"PeriodicalName\":\"World Journal of Surgical Oncology\",\"FirstCategoryId\":\"3\",\"ListUrlMain\":\"https://doi.org/10.1186/s12957-025-03777-3\",\"RegionNum\":3,\"RegionCategory\":\"医学\",\"ArticlePicture\":[],\"TitleCN\":null,\"AbstractTextCN\":null,\"PMCID\":null,\"EPubDate\":\"\",\"PubModel\":\"\",\"JCR\":\"Q3\",\"JCRName\":\"ONCOLOGY\",\"Score\":null,\"Total\":0}","platform":"Semanticscholar","paperid":null,"PeriodicalName":"World Journal of Surgical Oncology","FirstCategoryId":"3","ListUrlMain":"https://doi.org/10.1186/s12957-025-03777-3","RegionNum":3,"RegionCategory":"医学","ArticlePicture":[],"TitleCN":null,"AbstractTextCN":null,"PMCID":null,"EPubDate":"","PubModel":"","JCR":"Q3","JCRName":"ONCOLOGY","Score":null,"Total":0}
引用次数: 0

摘要

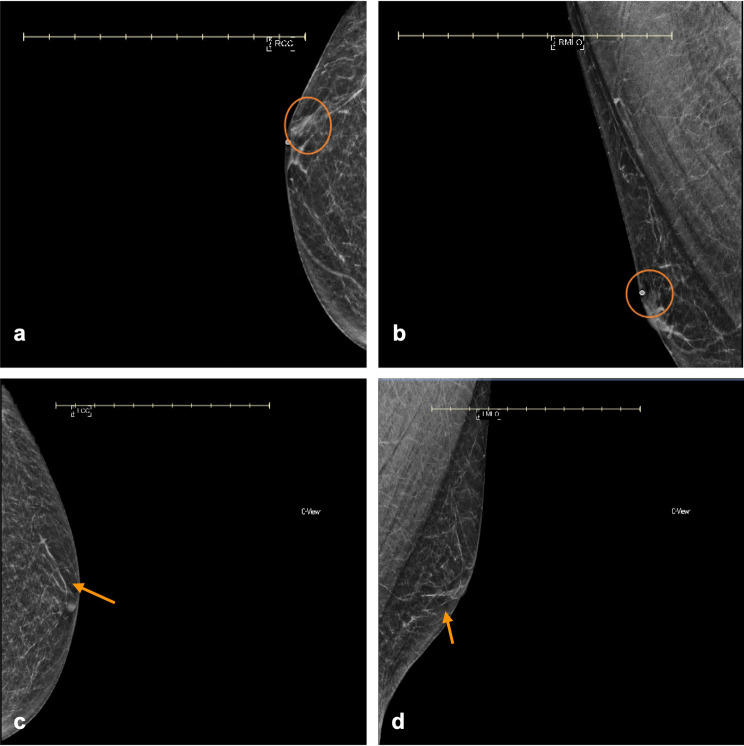
背景:假性血管瘤间质增生(PASH)是一种罕见的乳腺良性间质病变,最常见于年轻绝经前和围绝经期女性,约占乳腺标本的23%。在罕见的病例中,PASH仅在年轻成年男性中报道,并与男性乳房发育有关。男性男性乳房良性肿块的患病率约为23.8-47.4%,高峰年龄在50 - 80岁之间。PASH通常表现为可触及的肿块或通过成像和显微镜偶然发现。由于其多样且罕见的表现,PASH经常被误认为恶性肿瘤或其他乳腺病变,特别是在老年成年男性(65岁以上)中,这一年龄组通常受良性乳腺肿块和男性乳腺癌的影响。鉴于PASH的罕见和多样的表现,在男性乳腺良性肿瘤患者的鉴别诊断中考虑PASH是至关重要的,以指导适当的治疗,避免过度治疗,并确保及时评估任何潜在的异常。病例介绍:本报告报告了一个独特的PASH病例,年龄在65岁以上的老年成年男性,其表现为可触及的增大的网状肿块。值得注意的是,该患者没有乳腺癌家族史或既往病史。影像学检查,包括乳房x光检查和超声检查,显示轻度男性乳房发育和BIRADS-4分类,提示进一步研究。核心穿刺活检证实了PASH的诊断,没有显示癌或恶性肿瘤的证据。鉴于肿块逐渐扩大,建议手术切除并成功实施。结论:本报告概述了患者的临床表现、诊断评估和治疗,同时也对有限的文献进行了简要回顾。这是首次报道65岁以上无异常乳腺病理史的男性PASH的表现和治疗。了解非典型PASH病例对于准确诊断和适当管理这类患者至关重要。
本文章由计算机程序翻译,如有差异,请以英文原文为准。

A rare incidence of pseudoangiomatous stromal hyperplasia (PASH) in a senior adult male: a case report highlighting a novel presentation.

A rare incidence of pseudoangiomatous stromal hyperplasia (PASH) in a senior adult male: a case report highlighting a novel presentation.

A rare incidence of pseudoangiomatous stromal hyperplasia (PASH) in a senior adult male: a case report highlighting a novel presentation.

A rare incidence of pseudoangiomatous stromal hyperplasia (PASH) in a senior adult male: a case report highlighting a novel presentation.

Background: Pseudoangiomatous stromal hyperplasia (PASH) is a rare benign mesenchymal lesion of the breast that is most commonly seen in young premenopausal and perimenopausal females and found in approximately 23% of breast specimens. In rare cases, PASH has been reported exclusively in young adult males and is associated with gynecomastia. The prevalence of benign breast masses in men with gynecomastia ranges from approximately 23.8-47.4% and peaks between the ages of 50 and 80. PASH frequently presents as a palpable mass or is incidentally identified through imaging and microscopy. Due to its varied and infrequent presentations, PASH is often mistaken for malignancy or other breast lesions, particularly in senior adult males (over 65 years old), an age group commonly affected by benign breast masses and male breast cancer. Given its rare and diverse presentation, it is crucial to consider PASH in the differential diagnosis of a male patient with a benign breast tumor to guide appropriate management, avoid overtreatment, and ensure prompt evaluation for any underlying abnormalities.

Case presentation: This report presents a unique case of PASH in a senior adult male, aged over 65 years, who presented with an enlarging palpable areolar mass. Notably, the patient had no family history or past medical history of breast cancer. Imaging studies, including mammography and ultrasound, revealed mild gynecomastia and BIRADS-4 classification, prompting further investigation. A core needle biopsy confirmed the diagnosis of PASH, showing no evidence of carcinoma or malignancy. Given the mass's progressive enlargement, surgical excision was recommended and successfully performed.

Conclusions: This report outlines the patient's clinical presentation, diagnostic evaluation, and management while also providing a brief review of the limited literature. It is the first report to describe the presentation and management of PASH in a male over 65 years old with no history of abnormal breast pathology. Understanding atypical cases of PASH is essential for accurate diagnosis and appropriate management in this patient demographic.

求助全文
通过发布文献求助,成功后即可免费获取论文全文。 去求助
来源期刊
CiteScore
4.70
自引率
15.60%
发文量
362
审稿时长
3 months
期刊介绍: World Journal of Surgical Oncology publishes articles related to surgical oncology and its allied subjects, such as epidemiology, cancer research, biomarkers, prevention, pathology, radiology, cancer treatment, clinical trials, multimodality treatment and molecular biology. Emphasis is placed on original research articles. The journal also publishes significant clinical case reports, as well as balanced and timely reviews on selected topics. Oncology is a multidisciplinary super-speciality of which surgical oncology forms an integral component, especially with solid tumors. Surgical oncologists around the world are involved in research extending from detecting the mechanisms underlying the causation of cancer, to its treatment and prevention. The role of a surgical oncologist extends across the whole continuum of care. With continued developments in diagnosis and treatment, the role of a surgical oncologist is ever-changing. Hence, World Journal of Surgical Oncology aims to keep readers abreast with latest developments that will ultimately influence the work of surgical oncologists.
×
引用
GB/T 7714-2015
复制
MLA
复制
APA
复制
导出至
BibTeX EndNote RefMan NoteFirst NoteExpress
×
提示
您的信息不完整,为了账户安全,请先补充。
现在去补充
×
提示
您因"违规操作"
具体请查看互助需知
我知道了
×
提示
确定
请完成安全验证×
copy
已复制链接
快去分享给好友吧!
我知道了
右上角分享
点击右上角分享
0
联系我们:info@booksci.cn Book学术提供免费学术资源搜索服务,方便国内外学者检索中英文文献。致力于提供最便捷和优质的服务体验。 Copyright © 2023 布克学术 All rights reserved.
京ICP备2023020795号-1
ghs 京公网安备 11010802042870号
Book学术文献互助
Book学术文献互助群
群 号:604180095
Book学术官方微信