十二指肠尤文氏肉瘤:一种罕见的胃肠道表现:病例报告及文献复习。

IF 2.5 3区 医学 Q3 ONCOLOGY
Sujata Agrawal, Paramita Paul
{"title":"十二指肠尤文氏肉瘤:一种罕见的胃肠道表现:病例报告及文献复习。","authors":"Sujata Agrawal, Paramita Paul","doi":"10.1186/s12957-025-03986-w","DOIUrl":null,"url":null,"abstract":"<p><p>Ewing's sarcoma (ES) is exceptionally rare in the gastrointestinal tract, with only a few cases documented in the literature. We present a case of duodenal Ewing's sarcoma in a 44-year-old woman. The patient presented with severe abdominal pain, vomiting, and loss of appetite. Upper gastrointestinal endoscopy revealed a huge bulge in the first part of the duodenum (D1) wall, resulting in luminal narrowing in D1 and D2. A contrast-enhanced computed tomography scan corroborated the findings with no evidence of any distal metastasis. The patient is a known hypothyroid and had undergone hysterectomy five years back and cholecystectomy one year back. The patient underwent a Whipple procedure along with lymph node dissection. During surgery, a 4.5 cm mass was discovered in the D1 extending to the D2 segment of the duodenum. Histological examination showed a small round cell tumor in the submucosal region. The morphological differentials considered were gastrointestinal stromal tumor (GIST), poorly differentiated carcinoma, ES, neuroendocrine carcinoma (NEC) and lymphoma. Immunohistochemically the tumor cells tested positive for vimentin, NKX2.2, and CD99 (MIC2), and negative for markers of epithelial malignancy (AE1/AE3), lymphoma (CD45), melanoma (HMB45), NEC (INMS1,synaptophysin, chromogranin) and GIST (c-kit). One of the peri-duodenal lymph nodes showed a metastatic deposit. The case was diagnosed as Ewing's sarcoma (extra skeletal), TNM stage pT1 pN1. It was further ratified through fluorescence in situ hybridization (FISH), which showed a EWSR1 (22q12.1) gene rearrangement. A post-surgery PET scan indicated no residual disease. The patient had been receiving post-surgical adjuvant therapy and has completed four cycles of VAC (vincristine dactinomycin cyclophosphamide) and two cycles of VIME (Vincristine, Ifosfamide, Mesna, and Etoposide). The patient is disease-free with one-year follow-up. Follow up with PET scan is being performed at 3 months interval for the first year. The prognosis for Ewing's sarcoma in the gastrointestinal tract is not well-documented; however, a recent review of cases involving the small intestine suggests a poor prognosis. A follow up PET scanning every three months initially would help to target early recurrences and the interval can be increased after 2 years. Also emerging techniques like liquid biopsies is becoming increasingly relevant for detection of recurrences and metastasis.</p>","PeriodicalId":23856,"journal":{"name":"World Journal of Surgical Oncology","volume":"23 1","pages":"341"},"PeriodicalIF":2.5000,"publicationDate":"2025-09-25","publicationTypes":"Journal Article","fieldsOfStudy":null,"isOpenAccess":false,"openAccessPdf":"https://www.ncbi.nlm.nih.gov/pmc/articles/PMC12465797/pdf/","citationCount":"0","resultStr":"{\"title\":\"\\\"Ewing's sarcoma of the duodenum: a rare gastrointestinal presentation\\\": case report and review of literature.\",\"authors\":\"Sujata Agrawal, Paramita Paul\",\"doi\":\"10.1186/s12957-025-03986-w\",\"DOIUrl\":null,\"url\":null,\"abstract\":\"<p><p>Ewing's sarcoma (ES) is exceptionally rare in the gastrointestinal tract, with only a few cases documented in the literature. We present a case of duodenal Ewing's sarcoma in a 44-year-old woman. The patient presented with severe abdominal pain, vomiting, and loss of appetite. Upper gastrointestinal endoscopy revealed a huge bulge in the first part of the duodenum (D1) wall, resulting in luminal narrowing in D1 and D2. A contrast-enhanced computed tomography scan corroborated the findings with no evidence of any distal metastasis. The patient is a known hypothyroid and had undergone hysterectomy five years back and cholecystectomy one year back. The patient underwent a Whipple procedure along with lymph node dissection. During surgery, a 4.5 cm mass was discovered in the D1 extending to the D2 segment of the duodenum. Histological examination showed a small round cell tumor in the submucosal region. The morphological differentials considered were gastrointestinal stromal tumor (GIST), poorly differentiated carcinoma, ES, neuroendocrine carcinoma (NEC) and lymphoma. Immunohistochemically the tumor cells tested positive for vimentin, NKX2.2, and CD99 (MIC2), and negative for markers of epithelial malignancy (AE1/AE3), lymphoma (CD45), melanoma (HMB45), NEC (INMS1,synaptophysin, chromogranin) and GIST (c-kit). One of the peri-duodenal lymph nodes showed a metastatic deposit. The case was diagnosed as Ewing's sarcoma (extra skeletal), TNM stage pT1 pN1. It was further ratified through fluorescence in situ hybridization (FISH), which showed a EWSR1 (22q12.1) gene rearrangement. A post-surgery PET scan indicated no residual disease. The patient had been receiving post-surgical adjuvant therapy and has completed four cycles of VAC (vincristine dactinomycin cyclophosphamide) and two cycles of VIME (Vincristine, Ifosfamide, Mesna, and Etoposide). The patient is disease-free with one-year follow-up. Follow up with PET scan is being performed at 3 months interval for the first year. The prognosis for Ewing's sarcoma in the gastrointestinal tract is not well-documented; however, a recent review of cases involving the small intestine suggests a poor prognosis. A follow up PET scanning every three months initially would help to target early recurrences and the interval can be increased after 2 years. Also emerging techniques like liquid biopsies is becoming increasingly relevant for detection of recurrences and metastasis.</p>\",\"PeriodicalId\":23856,\"journal\":{\"name\":\"World Journal of Surgical Oncology\",\"volume\":\"23 1\",\"pages\":\"341\"},\"PeriodicalIF\":2.5000,\"publicationDate\":\"2025-09-25\",\"publicationTypes\":\"Journal Article\",\"fieldsOfStudy\":null,\"isOpenAccess\":false,\"openAccessPdf\":\"https://www.ncbi.nlm.nih.gov/pmc/articles/PMC12465797/pdf/\",\"citationCount\":\"0\",\"resultStr\":null,\"platform\":\"Semanticscholar\",\"paperid\":null,\"PeriodicalName\":\"World Journal of Surgical Oncology\",\"FirstCategoryId\":\"3\",\"ListUrlMain\":\"https://doi.org/10.1186/s12957-025-03986-w\",\"RegionNum\":3,\"RegionCategory\":\"医学\",\"ArticlePicture\":[],\"TitleCN\":null,\"AbstractTextCN\":null,\"PMCID\":null,\"EPubDate\":\"\",\"PubModel\":\"\",\"JCR\":\"Q3\",\"JCRName\":\"ONCOLOGY\",\"Score\":null,\"Total\":0}","platform":"Semanticscholar","paperid":null,"PeriodicalName":"World Journal of Surgical Oncology","FirstCategoryId":"3","ListUrlMain":"https://doi.org/10.1186/s12957-025-03986-w","RegionNum":3,"RegionCategory":"医学","ArticlePicture":[],"TitleCN":null,"AbstractTextCN":null,"PMCID":null,"EPubDate":"","PubModel":"","JCR":"Q3","JCRName":"ONCOLOGY","Score":null,"Total":0}
引用次数: 0

摘要

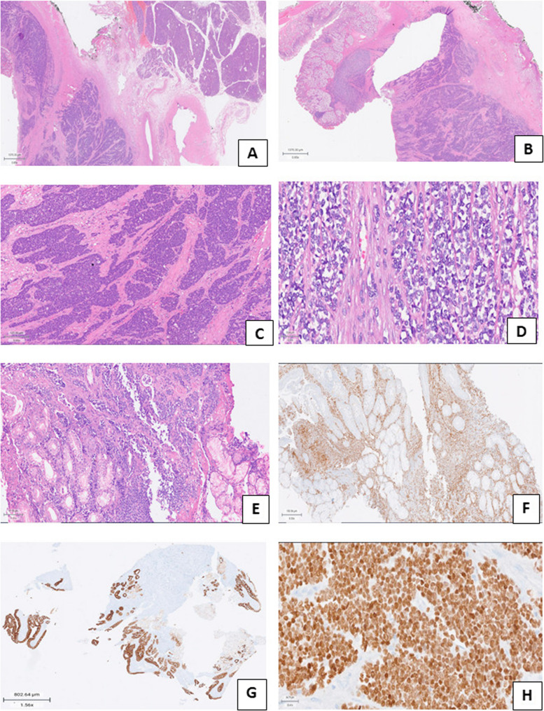
尤文氏肉瘤(ES)在胃肠道非常罕见,文献中只有少数病例记录。我们报告一个44岁女性的十二指肠尤文氏肉瘤病例。患者表现为剧烈腹痛、呕吐和食欲不振。上消化道内窥镜检查显示十二指肠首段(D1)壁巨大隆起,导致D1、D2管腔狭窄。对比增强的计算机断层扫描证实了这些发现,没有任何远端转移的证据。患者患有甲状腺功能减退症,五年前做过子宫切除术,一年前做过胆囊切除术。患者接受了惠普尔手术并进行了淋巴结清扫。术中发现D1段4.5 cm肿块,延伸至十二指肠D2段。组织学检查显示粘膜下区有一个小的圆细胞瘤。形态学上的差异包括胃肠道间质瘤(GIST)、低分化癌、ES、神经内分泌癌(NEC)和淋巴瘤。免疫组织化学检测肿瘤细胞vimentin、NKX2.2和CD99 (MIC2)阳性,上皮恶性肿瘤(AE1/AE3)、淋巴瘤(CD45)、黑色素瘤(HMB45)、NEC (INMS1、synaptophysin、chromogranin)和GIST (c-kit)标志物阴性。其中一个十二指肠周围淋巴结有转移沉积。诊断为尤因肉瘤(骨骼外),TNM分期pT1 pN1。通过荧光原位杂交(FISH)进一步证实,发现EWSR1 (22q12.1)基因重排。术后PET扫描显示无残留病变。患者一直在接受术后辅助治疗,并完成了4个周期的VAC(长春新碱放线菌素环磷酰胺)和2个周期的VIME(长春新碱、异环磷酰胺、Mesna和依托泊苷)。随访一年,患者无疾病。第一年每隔3个月进行一次PET扫描随访。胃肠道尤文氏肉瘤的预后没有很好的文献记载;然而,最近对涉及小肠的病例的回顾表明预后较差。最初每三个月随访一次PET扫描将有助于定位早期复发,2年后可以增加间隔时间。此外,液体活检等新兴技术在检测复发和转移方面也越来越重要。
本文章由计算机程序翻译,如有差异,请以英文原文为准。

"Ewing's sarcoma of the duodenum: a rare gastrointestinal presentation": case report and review of literature.

"Ewing's sarcoma of the duodenum: a rare gastrointestinal presentation": case report and review of literature.

"Ewing's sarcoma of the duodenum: a rare gastrointestinal presentation": case report and review of literature.

"Ewing's sarcoma of the duodenum: a rare gastrointestinal presentation": case report and review of literature.

Ewing's sarcoma (ES) is exceptionally rare in the gastrointestinal tract, with only a few cases documented in the literature. We present a case of duodenal Ewing's sarcoma in a 44-year-old woman. The patient presented with severe abdominal pain, vomiting, and loss of appetite. Upper gastrointestinal endoscopy revealed a huge bulge in the first part of the duodenum (D1) wall, resulting in luminal narrowing in D1 and D2. A contrast-enhanced computed tomography scan corroborated the findings with no evidence of any distal metastasis. The patient is a known hypothyroid and had undergone hysterectomy five years back and cholecystectomy one year back. The patient underwent a Whipple procedure along with lymph node dissection. During surgery, a 4.5 cm mass was discovered in the D1 extending to the D2 segment of the duodenum. Histological examination showed a small round cell tumor in the submucosal region. The morphological differentials considered were gastrointestinal stromal tumor (GIST), poorly differentiated carcinoma, ES, neuroendocrine carcinoma (NEC) and lymphoma. Immunohistochemically the tumor cells tested positive for vimentin, NKX2.2, and CD99 (MIC2), and negative for markers of epithelial malignancy (AE1/AE3), lymphoma (CD45), melanoma (HMB45), NEC (INMS1,synaptophysin, chromogranin) and GIST (c-kit). One of the peri-duodenal lymph nodes showed a metastatic deposit. The case was diagnosed as Ewing's sarcoma (extra skeletal), TNM stage pT1 pN1. It was further ratified through fluorescence in situ hybridization (FISH), which showed a EWSR1 (22q12.1) gene rearrangement. A post-surgery PET scan indicated no residual disease. The patient had been receiving post-surgical adjuvant therapy and has completed four cycles of VAC (vincristine dactinomycin cyclophosphamide) and two cycles of VIME (Vincristine, Ifosfamide, Mesna, and Etoposide). The patient is disease-free with one-year follow-up. Follow up with PET scan is being performed at 3 months interval for the first year. The prognosis for Ewing's sarcoma in the gastrointestinal tract is not well-documented; however, a recent review of cases involving the small intestine suggests a poor prognosis. A follow up PET scanning every three months initially would help to target early recurrences and the interval can be increased after 2 years. Also emerging techniques like liquid biopsies is becoming increasingly relevant for detection of recurrences and metastasis.

求助全文
通过发布文献求助,成功后即可免费获取论文全文。 去求助
来源期刊
CiteScore
4.70
自引率
15.60%
发文量
362
审稿时长
3 months
期刊介绍: World Journal of Surgical Oncology publishes articles related to surgical oncology and its allied subjects, such as epidemiology, cancer research, biomarkers, prevention, pathology, radiology, cancer treatment, clinical trials, multimodality treatment and molecular biology. Emphasis is placed on original research articles. The journal also publishes significant clinical case reports, as well as balanced and timely reviews on selected topics. Oncology is a multidisciplinary super-speciality of which surgical oncology forms an integral component, especially with solid tumors. Surgical oncologists around the world are involved in research extending from detecting the mechanisms underlying the causation of cancer, to its treatment and prevention. The role of a surgical oncologist extends across the whole continuum of care. With continued developments in diagnosis and treatment, the role of a surgical oncologist is ever-changing. Hence, World Journal of Surgical Oncology aims to keep readers abreast with latest developments that will ultimately influence the work of surgical oncologists.
×
引用
GB/T 7714-2015
复制
MLA
复制
APA
复制
导出至
BibTeX EndNote RefMan NoteFirst NoteExpress
×
提示
您的信息不完整,为了账户安全,请先补充。
现在去补充
×
提示
您因"违规操作"
具体请查看互助需知
我知道了
×
提示
确定
请完成安全验证×
copy
已复制链接
快去分享给好友吧!
我知道了
右上角分享
点击右上角分享
0
联系我们:info@booksci.cn Book学术提供免费学术资源搜索服务,方便国内外学者检索中英文文献。致力于提供最便捷和优质的服务体验。 Copyright © 2023 布克学术 All rights reserved.
京ICP备2023020795号-1
ghs 京公网安备 11010802042870号
Book学术文献互助
Book学术文献互助群
群 号:604180095
Book学术官方微信