间日疟原虫复发性疟疾1例报告及文献综述。

IF 2.6 4区 医学 Q2 INFECTIOUS DISEASES
Ákos Vince Andrejkovits, Adrian Vlad Pop, Magdolna Fejér, Elena Cristina Gîrbovan, Răzvan Lucian Coșeriu, Camelia Vintilă, Anca Meda Văsieșiu
{"title":"间日疟原虫复发性疟疾1例报告及文献综述。","authors":"Ákos Vince Andrejkovits, Adrian Vlad Pop, Magdolna Fejér, Elena Cristina Gîrbovan, Răzvan Lucian Coșeriu, Camelia Vintilă, Anca Meda Văsieșiu","doi":"10.3390/tropicalmed10090261","DOIUrl":null,"url":null,"abstract":"<p><p><b>Background:</b> Recurrent malaria refers to repeated episodes of the disease in the same individual. <i>Plasmodium vivax</i> is known for its ability to relapse due to dormant liver-stage hypnozoites and poses a particular risk to travelers returning from endemic areas. Prompt diagnosis and treatment are crucial to prevent recurrences. <b>Case Presentation:</b> We present the case of a 41-year-old man from Romania who developed <i>Plasmodium vivax</i> malaria after traveling through Southeast Asia without chemoprophylaxis. He presented with fever, chills, myalgia, headache, vomiting, and abdominal pain. Clinical findings included mild jaundice and slight neurological signs. Laboratory tests showed severe thrombocytopenia, elevated bilirubin, inflammatory markers, and borderline creatinine levels. Malaria was confirmed by a rapid diagnostic test and blood smear microscopy. The patient was treated with doxycycline and atovaquone-proguanil. He improved and was discharged, but experienced two relapses, both confirmed as <i>Plasmodium vivax</i> by RT-PCR. Despite receiving primaquine as radical cure after the first <i>Plasmodium vivax</i> malaria relapse, a second relapse occurred. Each episode was managed with blood-stage antimalarial therapy, leading to full clinical and biological recovery. <b>Conclusions:</b> Malaria rarely occurs in non-endemic areas; it should be considered in patients with compatible travel history and symptoms. Given the high relapse potential of <i>Plasmodium vivax</i>, accurate species identification is critical to guide appropriate long-term management.</p>","PeriodicalId":23330,"journal":{"name":"Tropical Medicine and Infectious Disease","volume":"10 9","pages":""},"PeriodicalIF":2.6000,"publicationDate":"2025-09-12","publicationTypes":"Journal Article","fieldsOfStudy":null,"isOpenAccess":false,"openAccessPdf":"https://www.ncbi.nlm.nih.gov/pmc/articles/PMC12474407/pdf/","citationCount":"0","resultStr":"{\"title\":\"Recurrent Malaria with <i>Plasmodium vivax</i>: A Case Report and Brief Review of the Literature.\",\"authors\":\"Ákos Vince Andrejkovits, Adrian Vlad Pop, Magdolna Fejér, Elena Cristina Gîrbovan, Răzvan Lucian Coșeriu, Camelia Vintilă, Anca Meda Văsieșiu\",\"doi\":\"10.3390/tropicalmed10090261\",\"DOIUrl\":null,\"url\":null,\"abstract\":\"<p><p><b>Background:</b> Recurrent malaria refers to repeated episodes of the disease in the same individual. <i>Plasmodium vivax</i> is known for its ability to relapse due to dormant liver-stage hypnozoites and poses a particular risk to travelers returning from endemic areas. Prompt diagnosis and treatment are crucial to prevent recurrences. <b>Case Presentation:</b> We present the case of a 41-year-old man from Romania who developed <i>Plasmodium vivax</i> malaria after traveling through Southeast Asia without chemoprophylaxis. He presented with fever, chills, myalgia, headache, vomiting, and abdominal pain. Clinical findings included mild jaundice and slight neurological signs. Laboratory tests showed severe thrombocytopenia, elevated bilirubin, inflammatory markers, and borderline creatinine levels. Malaria was confirmed by a rapid diagnostic test and blood smear microscopy. The patient was treated with doxycycline and atovaquone-proguanil. He improved and was discharged, but experienced two relapses, both confirmed as <i>Plasmodium vivax</i> by RT-PCR. Despite receiving primaquine as radical cure after the first <i>Plasmodium vivax</i> malaria relapse, a second relapse occurred. Each episode was managed with blood-stage antimalarial therapy, leading to full clinical and biological recovery. <b>Conclusions:</b> Malaria rarely occurs in non-endemic areas; it should be considered in patients with compatible travel history and symptoms. Given the high relapse potential of <i>Plasmodium vivax</i>, accurate species identification is critical to guide appropriate long-term management.</p>\",\"PeriodicalId\":23330,\"journal\":{\"name\":\"Tropical Medicine and Infectious Disease\",\"volume\":\"10 9\",\"pages\":\"\"},\"PeriodicalIF\":2.6000,\"publicationDate\":\"2025-09-12\",\"publicationTypes\":\"Journal Article\",\"fieldsOfStudy\":null,\"isOpenAccess\":false,\"openAccessPdf\":\"https://www.ncbi.nlm.nih.gov/pmc/articles/PMC12474407/pdf/\",\"citationCount\":\"0\",\"resultStr\":null,\"platform\":\"Semanticscholar\",\"paperid\":null,\"PeriodicalName\":\"Tropical Medicine and Infectious Disease\",\"FirstCategoryId\":\"3\",\"ListUrlMain\":\"https://doi.org/10.3390/tropicalmed10090261\",\"RegionNum\":4,\"RegionCategory\":\"医学\",\"ArticlePicture\":[],\"TitleCN\":null,\"AbstractTextCN\":null,\"PMCID\":null,\"EPubDate\":\"\",\"PubModel\":\"\",\"JCR\":\"Q2\",\"JCRName\":\"INFECTIOUS DISEASES\",\"Score\":null,\"Total\":0}","platform":"Semanticscholar","paperid":null,"PeriodicalName":"Tropical Medicine and Infectious Disease","FirstCategoryId":"3","ListUrlMain":"https://doi.org/10.3390/tropicalmed10090261","RegionNum":4,"RegionCategory":"医学","ArticlePicture":[],"TitleCN":null,"AbstractTextCN":null,"PMCID":null,"EPubDate":"","PubModel":"","JCR":"Q2","JCRName":"INFECTIOUS DISEASES","Score":null,"Total":0}
引用次数: 0

摘要

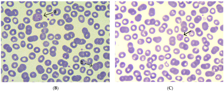
背景:复发性疟疾是指疟疾在同一个体中反复发作。间日疟原虫因其肝脏期休眠催眠虫而复发的能力而闻名,对从流行地区返回的旅行者构成特别的风险。及时诊断和治疗对预防复发至关重要。病例介绍:我们报告了一名来自罗马尼亚的41岁男子,他在没有化学预防的情况下通过东南亚旅行后患上间日疟原虫疟疾。他表现为发热、寒战、肌痛、头痛、呕吐和腹痛。临床表现包括轻度黄疸和轻微的神经症状。实验室检查显示严重的血小板减少症、胆红素升高、炎症标志物和肌酸酐水平。疟疾是通过快速诊断试验和血液涂片镜检确诊的。患者给予强力霉素和阿托伐醌-原胍尼治疗。患者病情好转并出院,但两次复发,均经RT-PCR证实为间日疟原虫。尽管在第一次间日疟原虫疟疾复发后接受了伯氨喹作为根治,但仍发生了第二次复发。每次发作均采用血期抗疟治疗,使临床和生物学完全恢复。结论:疟疾在非流行地区很少发生;在有相似旅行史和症状的患者中应予以考虑。鉴于间日疟原虫的高复发潜力,准确的物种鉴定对于指导适当的长期管理至关重要。
本文章由计算机程序翻译,如有差异,请以英文原文为准。

Recurrent Malaria with <i>Plasmodium vivax</i>: A Case Report and Brief Review of the Literature.

Recurrent Malaria with <i>Plasmodium vivax</i>: A Case Report and Brief Review of the Literature.

Recurrent Malaria with Plasmodium vivax: A Case Report and Brief Review of the Literature.

Background: Recurrent malaria refers to repeated episodes of the disease in the same individual. Plasmodium vivax is known for its ability to relapse due to dormant liver-stage hypnozoites and poses a particular risk to travelers returning from endemic areas. Prompt diagnosis and treatment are crucial to prevent recurrences. Case Presentation: We present the case of a 41-year-old man from Romania who developed Plasmodium vivax malaria after traveling through Southeast Asia without chemoprophylaxis. He presented with fever, chills, myalgia, headache, vomiting, and abdominal pain. Clinical findings included mild jaundice and slight neurological signs. Laboratory tests showed severe thrombocytopenia, elevated bilirubin, inflammatory markers, and borderline creatinine levels. Malaria was confirmed by a rapid diagnostic test and blood smear microscopy. The patient was treated with doxycycline and atovaquone-proguanil. He improved and was discharged, but experienced two relapses, both confirmed as Plasmodium vivax by RT-PCR. Despite receiving primaquine as radical cure after the first Plasmodium vivax malaria relapse, a second relapse occurred. Each episode was managed with blood-stage antimalarial therapy, leading to full clinical and biological recovery. Conclusions: Malaria rarely occurs in non-endemic areas; it should be considered in patients with compatible travel history and symptoms. Given the high relapse potential of Plasmodium vivax, accurate species identification is critical to guide appropriate long-term management.

求助全文
通过发布文献求助,成功后即可免费获取论文全文。 去求助
来源期刊
Tropical Medicine and Infectious Disease
Tropical Medicine and Infectious Disease Medicine-Public Health, Environmental and Occupational Health
CiteScore
3.90
自引率
10.30%
发文量
353
审稿时长
11 weeks
×
引用
GB/T 7714-2015
复制
MLA
复制
APA
复制
导出至
BibTeX EndNote RefMan NoteFirst NoteExpress
×
提示
您的信息不完整,为了账户安全,请先补充。
现在去补充
×
提示
您因"违规操作"
具体请查看互助需知
我知道了
×
提示
确定
请完成安全验证×
copy
已复制链接
快去分享给好友吧!
我知道了
右上角分享
点击右上角分享
0
联系我们:info@booksci.cn Book学术提供免费学术资源搜索服务,方便国内外学者检索中英文文献。致力于提供最便捷和优质的服务体验。 Copyright © 2023 布克学术 All rights reserved.
京ICP备2023020795号-1
ghs 京公网安备 11010802042870号
Book学术文献互助
Book学术文献互助群
群 号:604180095
Book学术官方微信