通过半自动化定量HCC病变增强LI-RADS。

IF 3 3区 医学 Q2 HEALTH CARE SCIENCES & SERVICES
Anna Jöbstl, Piera Maria Tierno, Anna-Katharina Gerstner, Gudrun Maria Feuchtner, Benedikt Schaefer, Herbert Tilg, Gerlig Widmann
{"title":"通过半自动化定量HCC病变增强LI-RADS。","authors":"Anna Jöbstl, Piera Maria Tierno, Anna-Katharina Gerstner, Gudrun Maria Feuchtner, Benedikt Schaefer, Herbert Tilg, Gerlig Widmann","doi":"10.3390/jpm15090400","DOIUrl":null,"url":null,"abstract":"<p><strong>Background/objectives: </strong>Hepatocellular carcinoma (HCC) is the most common primary malignant tumour of the liver. In a cirrhotic liver, each nodule larger than 10 mm demands further work-up using CT or MRI. The Liver Imaging Reporting and Data System (LI-RADS) is still based on visual assessment and measurements. The purpose of this study was to evaluate whether semi-automated quantification of visual LR-5 lesions is appropriate and can objectify HCC classification for personalized radiomic research.</p><p><strong>Methods: </strong>A total of 52 HCC patients (median age 67 years, 17% females, 83% males) from a retrospective data collection were evaluated visually and compared by the results using an oncology software with features of LI-RADS-based structured tumour evaluation and documentation, semi-automated tumour segmentation, and texture analysis.</p><p><strong>Results: </strong>Software-based evaluation of non-rim arterial-phase hyperenhancement (APHE) and non-peripheral washout, as well as the LI-RADS-score, showed no statistically significant differences compared with visual assessment (<i>p</i> = 0.2, 0.7, 0.17), with a consensus between a human reader and the software approach in 98% (APHE), 89% (washout), and 93% (threshold growth) of cases, respectively. The software provided automated LI-RADS classification, structured reporting, and quantitative features for HCC registries and radiomic research.</p><p><strong>Conclusions: </strong>The presented work may serve as an outlook for LI-RADS-based automated qualitative and quantitative evaluation. Future research may show if texture analysis can be used to foster personalized medical approaches in HCC.</p>","PeriodicalId":16722,"journal":{"name":"Journal of Personalized Medicine","volume":"15 9","pages":""},"PeriodicalIF":3.0000,"publicationDate":"2025-08-29","publicationTypes":"Journal Article","fieldsOfStudy":null,"isOpenAccess":false,"openAccessPdf":"https://www.ncbi.nlm.nih.gov/pmc/articles/PMC12470679/pdf/","citationCount":"0","resultStr":"{\"title\":\"Enhancing LI-RADS Through Semi-Automated Quantification of HCC Lesions.\",\"authors\":\"Anna Jöbstl, Piera Maria Tierno, Anna-Katharina Gerstner, Gudrun Maria Feuchtner, Benedikt Schaefer, Herbert Tilg, Gerlig Widmann\",\"doi\":\"10.3390/jpm15090400\",\"DOIUrl\":null,\"url\":null,\"abstract\":\"<p><strong>Background/objectives: </strong>Hepatocellular carcinoma (HCC) is the most common primary malignant tumour of the liver. In a cirrhotic liver, each nodule larger than 10 mm demands further work-up using CT or MRI. The Liver Imaging Reporting and Data System (LI-RADS) is still based on visual assessment and measurements. The purpose of this study was to evaluate whether semi-automated quantification of visual LR-5 lesions is appropriate and can objectify HCC classification for personalized radiomic research.</p><p><strong>Methods: </strong>A total of 52 HCC patients (median age 67 years, 17% females, 83% males) from a retrospective data collection were evaluated visually and compared by the results using an oncology software with features of LI-RADS-based structured tumour evaluation and documentation, semi-automated tumour segmentation, and texture analysis.</p><p><strong>Results: </strong>Software-based evaluation of non-rim arterial-phase hyperenhancement (APHE) and non-peripheral washout, as well as the LI-RADS-score, showed no statistically significant differences compared with visual assessment (<i>p</i> = 0.2, 0.7, 0.17), with a consensus between a human reader and the software approach in 98% (APHE), 89% (washout), and 93% (threshold growth) of cases, respectively. The software provided automated LI-RADS classification, structured reporting, and quantitative features for HCC registries and radiomic research.</p><p><strong>Conclusions: </strong>The presented work may serve as an outlook for LI-RADS-based automated qualitative and quantitative evaluation. Future research may show if texture analysis can be used to foster personalized medical approaches in HCC.</p>\",\"PeriodicalId\":16722,\"journal\":{\"name\":\"Journal of Personalized Medicine\",\"volume\":\"15 9\",\"pages\":\"\"},\"PeriodicalIF\":3.0000,\"publicationDate\":\"2025-08-29\",\"publicationTypes\":\"Journal Article\",\"fieldsOfStudy\":null,\"isOpenAccess\":false,\"openAccessPdf\":\"https://www.ncbi.nlm.nih.gov/pmc/articles/PMC12470679/pdf/\",\"citationCount\":\"0\",\"resultStr\":null,\"platform\":\"Semanticscholar\",\"paperid\":null,\"PeriodicalName\":\"Journal of Personalized Medicine\",\"FirstCategoryId\":\"3\",\"ListUrlMain\":\"https://doi.org/10.3390/jpm15090400\",\"RegionNum\":3,\"RegionCategory\":\"医学\",\"ArticlePicture\":[],\"TitleCN\":null,\"AbstractTextCN\":null,\"PMCID\":null,\"EPubDate\":\"\",\"PubModel\":\"\",\"JCR\":\"Q2\",\"JCRName\":\"HEALTH CARE SCIENCES & SERVICES\",\"Score\":null,\"Total\":0}","platform":"Semanticscholar","paperid":null,"PeriodicalName":"Journal of Personalized Medicine","FirstCategoryId":"3","ListUrlMain":"https://doi.org/10.3390/jpm15090400","RegionNum":3,"RegionCategory":"医学","ArticlePicture":[],"TitleCN":null,"AbstractTextCN":null,"PMCID":null,"EPubDate":"","PubModel":"","JCR":"Q2","JCRName":"HEALTH CARE SCIENCES & SERVICES","Score":null,"Total":0}
引用次数: 0

摘要

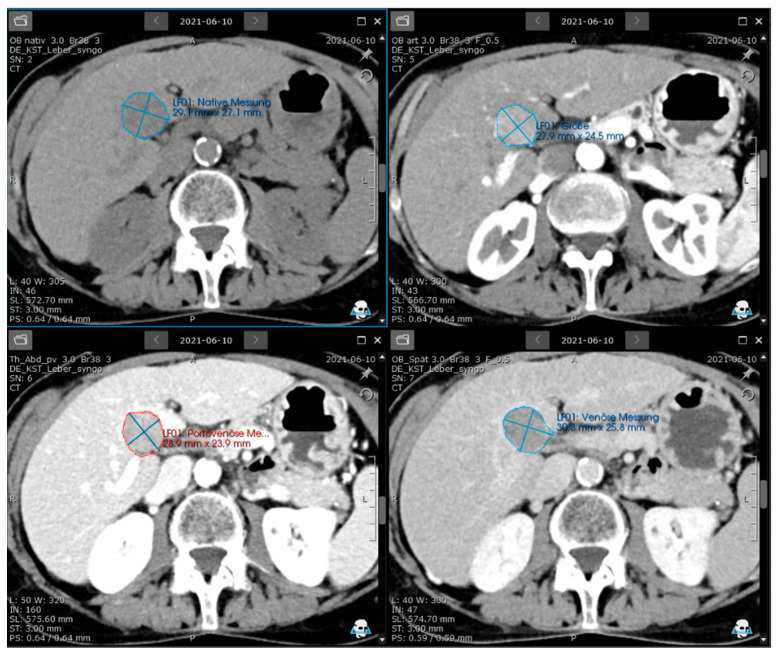
背景/目的:肝细胞癌(HCC)是肝脏最常见的原发性恶性肿瘤。对于肝硬化,每个大于10mm的结节都需要进一步的CT或MRI检查。肝脏成像报告和数据系统(LI-RADS)仍然是基于视觉评估和测量。本研究的目的是评估视觉LR-5病变的半自动化量化是否合适,是否可以客观地进行HCC分类,以进行个性化放射学研究。方法:回顾性数据收集的52例HCC患者(中位年龄67岁,女性17%,男性83%)使用具有基于li - rad的结构化肿瘤评估和记录、半自动肿瘤分割和纹理分析功能的肿瘤软件进行视觉评估和结果比较。结果:基于软件的非边缘动脉期高增强(APHE)和非外周洗脱以及li - rad评分与视觉评估相比无统计学差异(p = 0.2, 0.7, 0.17),人类读者与软件方法的一致性分别为98% (APHE), 89%(洗脱)和93%(阈值增长)。该软件为HCC登记和放射学研究提供了自动LI-RADS分类、结构化报告和定量特征。结论:本研究为基于li - rad的自动定性和定量评价提供了前景。未来的研究可能会显示纹理分析是否可以用于肝癌的个性化医疗方法。
本文章由计算机程序翻译,如有差异,请以英文原文为准。

Enhancing LI-RADS Through Semi-Automated Quantification of HCC Lesions.

Enhancing LI-RADS Through Semi-Automated Quantification of HCC Lesions.

Enhancing LI-RADS Through Semi-Automated Quantification of HCC Lesions.

Enhancing LI-RADS Through Semi-Automated Quantification of HCC Lesions.

Background/objectives: Hepatocellular carcinoma (HCC) is the most common primary malignant tumour of the liver. In a cirrhotic liver, each nodule larger than 10 mm demands further work-up using CT or MRI. The Liver Imaging Reporting and Data System (LI-RADS) is still based on visual assessment and measurements. The purpose of this study was to evaluate whether semi-automated quantification of visual LR-5 lesions is appropriate and can objectify HCC classification for personalized radiomic research.

Methods: A total of 52 HCC patients (median age 67 years, 17% females, 83% males) from a retrospective data collection were evaluated visually and compared by the results using an oncology software with features of LI-RADS-based structured tumour evaluation and documentation, semi-automated tumour segmentation, and texture analysis.

Results: Software-based evaluation of non-rim arterial-phase hyperenhancement (APHE) and non-peripheral washout, as well as the LI-RADS-score, showed no statistically significant differences compared with visual assessment (p = 0.2, 0.7, 0.17), with a consensus between a human reader and the software approach in 98% (APHE), 89% (washout), and 93% (threshold growth) of cases, respectively. The software provided automated LI-RADS classification, structured reporting, and quantitative features for HCC registries and radiomic research.

Conclusions: The presented work may serve as an outlook for LI-RADS-based automated qualitative and quantitative evaluation. Future research may show if texture analysis can be used to foster personalized medical approaches in HCC.

求助全文
通过发布文献求助,成功后即可免费获取论文全文。 去求助
来源期刊
Journal of Personalized Medicine
Journal of Personalized Medicine Medicine-Medicine (miscellaneous)
CiteScore
4.10
自引率
0.00%
发文量
1878
审稿时长
11 weeks
期刊介绍: Journal of Personalized Medicine (JPM; ISSN 2075-4426) is an international, open access journal aimed at bringing all aspects of personalized medicine to one platform. JPM publishes cutting edge, innovative preclinical and translational scientific research and technologies related to personalized medicine (e.g., pharmacogenomics/proteomics, systems biology). JPM recognizes that personalized medicine—the assessment of genetic, environmental and host factors that cause variability of individuals—is a challenging, transdisciplinary topic that requires discussions from a range of experts. For a comprehensive perspective of personalized medicine, JPM aims to integrate expertise from the molecular and translational sciences, therapeutics and diagnostics, as well as discussions of regulatory, social, ethical and policy aspects. We provide a forum to bring together academic and clinical researchers, biotechnology, diagnostic and pharmaceutical companies, health professionals, regulatory and ethical experts, and government and regulatory authorities.
×
引用
GB/T 7714-2015
复制
MLA
复制
APA
复制
导出至
BibTeX EndNote RefMan NoteFirst NoteExpress
×
提示
您的信息不完整,为了账户安全,请先补充。
现在去补充
×
提示
您因"违规操作"
具体请查看互助需知
我知道了
×
提示
确定
请完成安全验证×
copy
已复制链接
快去分享给好友吧!
我知道了
右上角分享
点击右上角分享
0
联系我们:info@booksci.cn Book学术提供免费学术资源搜索服务,方便国内外学者检索中英文文献。致力于提供最便捷和优质的服务体验。 Copyright © 2023 布克学术 All rights reserved.
京ICP备2023020795号-1
ghs 京公网安备 11010802042870号
Book学术文献互助
Book学术文献互助群
群 号:604180095
Book学术官方微信