玻璃体内布卢珠单抗治疗慢性中枢性浆液性脉络膜视网膜病变的疗效:一项初步研究。

IF 3 3区 医学 Q2 HEALTH CARE SCIENCES & SERVICES
Sunjin Hwang, Rim Kyung Hong, Eun Hee Hong, Min Ho Kang, Yong Un Shin
{"title":"玻璃体内布卢珠单抗治疗慢性中枢性浆液性脉络膜视网膜病变的疗效:一项初步研究。","authors":"Sunjin Hwang, Rim Kyung Hong, Eun Hee Hong, Min Ho Kang, Yong Un Shin","doi":"10.3390/jpm15090409","DOIUrl":null,"url":null,"abstract":"<p><p><b>Background/Objectives:</b> Chronic central serous chorioretinopathy (cCSC) is a vision-threatening disorder characterized by persistent subretinal fluid (SRF). While several treatment options exist, their efficacy varies, and optimal management remains uncertain. This retrospective pilot study aimed to evaluate the efficacy and safety of intravitreal brolucizumab in patients with symptomatic cCSC without pachychoroid neovasculopathy (PNV). <b>Methods:</b> In total, 15 eyes of 15 patients diagnosed with symptomatic cCSC without PNV were treated with a single intravitreal injection of brolucizumab. Patients were followed for six months. Primary outcomes included resolution of SRF and changes in central subfield thickness (CST) and subfoveal choroidal thickness (SCT). Best-corrected visual acuity (BCVA) and ocular safety profiles were also assessed. <b>Results:</b> Complete SRF resolution was observed in 14 of 15 eyes (93.3%) within six months. Mean CST significantly decreased from 317.13 ± 73.40 µm to 205.53 ± 20.17 µm (<i>p</i> < 0.001), and mean SCT from 475.87 ± 107.66 µm to 390.13 ± 121.67 µm (<i>p</i> < 0.001). BCVA improved in 12 eyes (80.0%) and remained stable in 3 eyes; however, the mean improvement (logMAR 0.34 ± 0.33 to 0.14 ± 0.13) was statistically significant (<i>p</i> = 0.007). No significant ocular adverse events were reported. <b>Conclusions:</b> Intravitreal brolucizumab may be an effective and safe treatment for reducing SRF and choroidal thickness in patients with cCSC without PNV. Larger, controlled studies are needed to validate these findings.</p>","PeriodicalId":16722,"journal":{"name":"Journal of Personalized Medicine","volume":"15 9","pages":""},"PeriodicalIF":3.0000,"publicationDate":"2025-09-02","publicationTypes":"Journal Article","fieldsOfStudy":null,"isOpenAccess":false,"openAccessPdf":"https://www.ncbi.nlm.nih.gov/pmc/articles/PMC12470493/pdf/","citationCount":"0","resultStr":"{\"title\":\"Efficacy of Intravitreal Brolucizumab for Chronic Central Serous Chorioretinopathy: A Pilot Study.\",\"authors\":\"Sunjin Hwang, Rim Kyung Hong, Eun Hee Hong, Min Ho Kang, Yong Un Shin\",\"doi\":\"10.3390/jpm15090409\",\"DOIUrl\":null,\"url\":null,\"abstract\":\"<p><p><b>Background/Objectives:</b> Chronic central serous chorioretinopathy (cCSC) is a vision-threatening disorder characterized by persistent subretinal fluid (SRF). While several treatment options exist, their efficacy varies, and optimal management remains uncertain. This retrospective pilot study aimed to evaluate the efficacy and safety of intravitreal brolucizumab in patients with symptomatic cCSC without pachychoroid neovasculopathy (PNV). <b>Methods:</b> In total, 15 eyes of 15 patients diagnosed with symptomatic cCSC without PNV were treated with a single intravitreal injection of brolucizumab. Patients were followed for six months. Primary outcomes included resolution of SRF and changes in central subfield thickness (CST) and subfoveal choroidal thickness (SCT). Best-corrected visual acuity (BCVA) and ocular safety profiles were also assessed. <b>Results:</b> Complete SRF resolution was observed in 14 of 15 eyes (93.3%) within six months. Mean CST significantly decreased from 317.13 ± 73.40 µm to 205.53 ± 20.17 µm (<i>p</i> < 0.001), and mean SCT from 475.87 ± 107.66 µm to 390.13 ± 121.67 µm (<i>p</i> < 0.001). BCVA improved in 12 eyes (80.0%) and remained stable in 3 eyes; however, the mean improvement (logMAR 0.34 ± 0.33 to 0.14 ± 0.13) was statistically significant (<i>p</i> = 0.007). No significant ocular adverse events were reported. <b>Conclusions:</b> Intravitreal brolucizumab may be an effective and safe treatment for reducing SRF and choroidal thickness in patients with cCSC without PNV. Larger, controlled studies are needed to validate these findings.</p>\",\"PeriodicalId\":16722,\"journal\":{\"name\":\"Journal of Personalized Medicine\",\"volume\":\"15 9\",\"pages\":\"\"},\"PeriodicalIF\":3.0000,\"publicationDate\":\"2025-09-02\",\"publicationTypes\":\"Journal Article\",\"fieldsOfStudy\":null,\"isOpenAccess\":false,\"openAccessPdf\":\"https://www.ncbi.nlm.nih.gov/pmc/articles/PMC12470493/pdf/\",\"citationCount\":\"0\",\"resultStr\":null,\"platform\":\"Semanticscholar\",\"paperid\":null,\"PeriodicalName\":\"Journal of Personalized Medicine\",\"FirstCategoryId\":\"3\",\"ListUrlMain\":\"https://doi.org/10.3390/jpm15090409\",\"RegionNum\":3,\"RegionCategory\":\"医学\",\"ArticlePicture\":[],\"TitleCN\":null,\"AbstractTextCN\":null,\"PMCID\":null,\"EPubDate\":\"\",\"PubModel\":\"\",\"JCR\":\"Q2\",\"JCRName\":\"HEALTH CARE SCIENCES & SERVICES\",\"Score\":null,\"Total\":0}","platform":"Semanticscholar","paperid":null,"PeriodicalName":"Journal of Personalized Medicine","FirstCategoryId":"3","ListUrlMain":"https://doi.org/10.3390/jpm15090409","RegionNum":3,"RegionCategory":"医学","ArticlePicture":[],"TitleCN":null,"AbstractTextCN":null,"PMCID":null,"EPubDate":"","PubModel":"","JCR":"Q2","JCRName":"HEALTH CARE SCIENCES & SERVICES","Score":null,"Total":0}
引用次数: 0

摘要

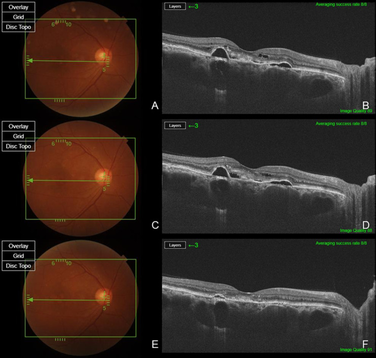
背景/目的:慢性中枢性浆液性脉络膜视网膜病变(cCSC)是一种以持续视网膜下积液(SRF)为特征的视力威胁疾病。虽然存在几种治疗方案,但其疗效各不相同,最佳管理仍不确定。这项回顾性试点研究旨在评估玻璃体内布卢珠单抗治疗无厚脉络膜样血管病(PNV)的症状性cCSC患者的疗效和安全性。方法:对15例无PNV的症状性cCSC患者的15只眼进行单次玻璃体内注射brolucizumab治疗。患者随访6个月。主要结果包括SRF的分辨率和中央亚野厚度(CST)和中央凹下脉络膜厚度(SCT)的变化。最佳矫正视力(BCVA)和眼部安全性也进行了评估。结果:15只眼中有14只眼在6个月内完全消退,占93.3%。平均CST从317.13±73.40µm显著降低至205.53±20.17µm (p < 0.001),平均SCT从475.87±107.66µm显著降低至390.13±121.67µm (p < 0.001)。BCVA改善12眼(80.0%),保持稳定3眼;然而,平均改善(logMAR 0.34±0.33至0.14±0.13)具有统计学意义(p = 0.007)。无明显的眼部不良事件报道。结论:玻璃体内注射brolucizumab可能是降低无PNV的cCSC患者SRF和脉络膜厚度的有效且安全的治疗方法。需要更大规模的对照研究来验证这些发现。
本文章由计算机程序翻译,如有差异,请以英文原文为准。

Efficacy of Intravitreal Brolucizumab for Chronic Central Serous Chorioretinopathy: A Pilot Study.

Efficacy of Intravitreal Brolucizumab for Chronic Central Serous Chorioretinopathy: A Pilot Study.

Efficacy of Intravitreal Brolucizumab for Chronic Central Serous Chorioretinopathy: A Pilot Study.

Efficacy of Intravitreal Brolucizumab for Chronic Central Serous Chorioretinopathy: A Pilot Study.

Background/Objectives: Chronic central serous chorioretinopathy (cCSC) is a vision-threatening disorder characterized by persistent subretinal fluid (SRF). While several treatment options exist, their efficacy varies, and optimal management remains uncertain. This retrospective pilot study aimed to evaluate the efficacy and safety of intravitreal brolucizumab in patients with symptomatic cCSC without pachychoroid neovasculopathy (PNV). Methods: In total, 15 eyes of 15 patients diagnosed with symptomatic cCSC without PNV were treated with a single intravitreal injection of brolucizumab. Patients were followed for six months. Primary outcomes included resolution of SRF and changes in central subfield thickness (CST) and subfoveal choroidal thickness (SCT). Best-corrected visual acuity (BCVA) and ocular safety profiles were also assessed. Results: Complete SRF resolution was observed in 14 of 15 eyes (93.3%) within six months. Mean CST significantly decreased from 317.13 ± 73.40 µm to 205.53 ± 20.17 µm (p < 0.001), and mean SCT from 475.87 ± 107.66 µm to 390.13 ± 121.67 µm (p < 0.001). BCVA improved in 12 eyes (80.0%) and remained stable in 3 eyes; however, the mean improvement (logMAR 0.34 ± 0.33 to 0.14 ± 0.13) was statistically significant (p = 0.007). No significant ocular adverse events were reported. Conclusions: Intravitreal brolucizumab may be an effective and safe treatment for reducing SRF and choroidal thickness in patients with cCSC without PNV. Larger, controlled studies are needed to validate these findings.

求助全文
通过发布文献求助,成功后即可免费获取论文全文。 去求助
来源期刊
Journal of Personalized Medicine
Journal of Personalized Medicine Medicine-Medicine (miscellaneous)
CiteScore
4.10
自引率
0.00%
发文量
1878
审稿时长
11 weeks
期刊介绍: Journal of Personalized Medicine (JPM; ISSN 2075-4426) is an international, open access journal aimed at bringing all aspects of personalized medicine to one platform. JPM publishes cutting edge, innovative preclinical and translational scientific research and technologies related to personalized medicine (e.g., pharmacogenomics/proteomics, systems biology). JPM recognizes that personalized medicine—the assessment of genetic, environmental and host factors that cause variability of individuals—is a challenging, transdisciplinary topic that requires discussions from a range of experts. For a comprehensive perspective of personalized medicine, JPM aims to integrate expertise from the molecular and translational sciences, therapeutics and diagnostics, as well as discussions of regulatory, social, ethical and policy aspects. We provide a forum to bring together academic and clinical researchers, biotechnology, diagnostic and pharmaceutical companies, health professionals, regulatory and ethical experts, and government and regulatory authorities.
×
引用
GB/T 7714-2015
复制
MLA
复制
APA
复制
导出至
BibTeX EndNote RefMan NoteFirst NoteExpress
×
提示
您的信息不完整,为了账户安全,请先补充。
现在去补充
×
提示
您因"违规操作"
具体请查看互助需知
我知道了
×
提示
确定
请完成安全验证×
copy
已复制链接
快去分享给好友吧!
我知道了
右上角分享
点击右上角分享
0
联系我们:info@booksci.cn Book学术提供免费学术资源搜索服务,方便国内外学者检索中英文文献。致力于提供最便捷和优质的服务体验。 Copyright © 2023 布克学术 All rights reserved.
京ICP备2023020795号-1
ghs 京公网安备 11010802042870号
Book学术文献互助
Book学术文献互助群
群 号:604180095
Book学术官方微信