与奥拉帕尼相关的brca2突变前列腺癌肺栓塞:1例报告。

IF 3.4 4区 医学 Q2 ONCOLOGY
Shuhei Ishii, Shigekatsu Maekawa, Fumiko Amano, Daichi Kikuchi, Daiki Ikarashi, Renpei Kato, Mitsugu Kanehira, Ryo Takata, Jun Sugimura, Wataru Obara
{"title":"与奥拉帕尼相关的brca2突变前列腺癌肺栓塞:1例报告。","authors":"Shuhei Ishii, Shigekatsu Maekawa, Fumiko Amano, Daichi Kikuchi, Daiki Ikarashi, Renpei Kato, Mitsugu Kanehira, Ryo Takata, Jun Sugimura, Wataru Obara","doi":"10.3390/curroncol32090523","DOIUrl":null,"url":null,"abstract":"<p><p>Olaparib, a poly (ADP-ribose) polymerase (PARP) inhibitor approved for treating metastatic castration-resistant prostate cancer (mCRPC) with <i>BRCA</i> mutations, has significant clinical benefits. However, evidence suggests an increased risk of venous thromboembolism, including pulmonary embolism (PE), particularly in patients with PC. However, no case reports of olaparib-associated PE in mCRPC have been published. Here, we report the case of a 70-year-old man with mCRPC harboring a <i>BRCA2</i> mutation, who developed PE during olaparib therapy. Diagnostic evaluations included contrast-enhanced computed tomography and serum D-dimer level measurement. Clinical decision tools, such as the Wells score and the Khorana score, were used to support the diagnosis and risk assessment. The patient developed acute dyspnea and chest pain 7 months after olaparib initiation. Imaging confirmed multiple pulmonary emboli; laboratory testing revealed markedly elevated D-dimer levels. Anticoagulation therapy with apixaban led to rapid clinical and radiological improvement. However, mCRPC eventually progressed after olaparib discontinuation, and the patient died 15 months after olaparib initiation. This is the first reported case of olaparib-associated PE in mCRPC. It underscores the importance of vigilance for thromboembolic complications during PARP inhibitor therapy. The integration of clinical scoring systems and biomarkers may facilitate timely PE diagnosis and management, potentially improving patient outcomes.</p>","PeriodicalId":11012,"journal":{"name":"Current oncology","volume":"32 9","pages":""},"PeriodicalIF":3.4000,"publicationDate":"2025-09-19","publicationTypes":"Journal Article","fieldsOfStudy":null,"isOpenAccess":false,"openAccessPdf":"https://www.ncbi.nlm.nih.gov/pmc/articles/PMC12468111/pdf/","citationCount":"0","resultStr":"{\"title\":\"Pulmonary Embolism Associated with Olaparib in <i>BRCA2</i>-Mutated Prostate Cancer: A Case Report.\",\"authors\":\"Shuhei Ishii, Shigekatsu Maekawa, Fumiko Amano, Daichi Kikuchi, Daiki Ikarashi, Renpei Kato, Mitsugu Kanehira, Ryo Takata, Jun Sugimura, Wataru Obara\",\"doi\":\"10.3390/curroncol32090523\",\"DOIUrl\":null,\"url\":null,\"abstract\":\"<p><p>Olaparib, a poly (ADP-ribose) polymerase (PARP) inhibitor approved for treating metastatic castration-resistant prostate cancer (mCRPC) with <i>BRCA</i> mutations, has significant clinical benefits. However, evidence suggests an increased risk of venous thromboembolism, including pulmonary embolism (PE), particularly in patients with PC. However, no case reports of olaparib-associated PE in mCRPC have been published. Here, we report the case of a 70-year-old man with mCRPC harboring a <i>BRCA2</i> mutation, who developed PE during olaparib therapy. Diagnostic evaluations included contrast-enhanced computed tomography and serum D-dimer level measurement. Clinical decision tools, such as the Wells score and the Khorana score, were used to support the diagnosis and risk assessment. The patient developed acute dyspnea and chest pain 7 months after olaparib initiation. Imaging confirmed multiple pulmonary emboli; laboratory testing revealed markedly elevated D-dimer levels. Anticoagulation therapy with apixaban led to rapid clinical and radiological improvement. However, mCRPC eventually progressed after olaparib discontinuation, and the patient died 15 months after olaparib initiation. This is the first reported case of olaparib-associated PE in mCRPC. It underscores the importance of vigilance for thromboembolic complications during PARP inhibitor therapy. The integration of clinical scoring systems and biomarkers may facilitate timely PE diagnosis and management, potentially improving patient outcomes.</p>\",\"PeriodicalId\":11012,\"journal\":{\"name\":\"Current oncology\",\"volume\":\"32 9\",\"pages\":\"\"},\"PeriodicalIF\":3.4000,\"publicationDate\":\"2025-09-19\",\"publicationTypes\":\"Journal Article\",\"fieldsOfStudy\":null,\"isOpenAccess\":false,\"openAccessPdf\":\"https://www.ncbi.nlm.nih.gov/pmc/articles/PMC12468111/pdf/\",\"citationCount\":\"0\",\"resultStr\":null,\"platform\":\"Semanticscholar\",\"paperid\":null,\"PeriodicalName\":\"Current oncology\",\"FirstCategoryId\":\"3\",\"ListUrlMain\":\"https://doi.org/10.3390/curroncol32090523\",\"RegionNum\":4,\"RegionCategory\":\"医学\",\"ArticlePicture\":[],\"TitleCN\":null,\"AbstractTextCN\":null,\"PMCID\":null,\"EPubDate\":\"\",\"PubModel\":\"\",\"JCR\":\"Q2\",\"JCRName\":\"ONCOLOGY\",\"Score\":null,\"Total\":0}","platform":"Semanticscholar","paperid":null,"PeriodicalName":"Current oncology","FirstCategoryId":"3","ListUrlMain":"https://doi.org/10.3390/curroncol32090523","RegionNum":4,"RegionCategory":"医学","ArticlePicture":[],"TitleCN":null,"AbstractTextCN":null,"PMCID":null,"EPubDate":"","PubModel":"","JCR":"Q2","JCRName":"ONCOLOGY","Score":null,"Total":0}
引用次数: 0

摘要

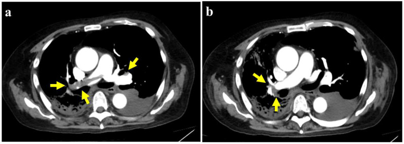
奥拉帕尼(Olaparib)是一种聚(adp -核糖)聚合酶(PARP)抑制剂,被批准用于治疗BRCA突变的转移性去势抵抗性前列腺癌(mCRPC),具有显著的临床益处。然而,有证据表明静脉血栓栓塞的风险增加,包括肺栓塞(PE),特别是在PC患者中。然而,在mCRPC中没有奥拉帕尼相关PE的病例报道。在这里,我们报告了一例70岁的mCRPC患者携带BRCA2突变,在奥拉帕尼治疗期间发生PE。诊断评估包括对比增强计算机断层扫描和血清d -二聚体水平测量。临床决策工具,如Wells评分和Khorana评分,用于支持诊断和风险评估。患者开始使用奥拉帕尼7个月后出现急性呼吸困难和胸痛。影像学证实多发性肺栓塞;实验室检测显示d -二聚体水平明显升高。阿哌沙班抗凝治疗导致临床和放射学的快速改善。然而,停用奥拉帕尼后,mCRPC最终进展,患者在开始使用奥拉帕尼15个月后死亡。这是第一例报道的奥拉帕尼相关的mCRPC病例。它强调了在PARP抑制剂治疗期间警惕血栓栓塞并发症的重要性。临床评分系统和生物标志物的整合可能有助于及时的PE诊断和管理,潜在地改善患者的预后。
本文章由计算机程序翻译,如有差异,请以英文原文为准。

Pulmonary Embolism Associated with Olaparib in <i>BRCA2</i>-Mutated Prostate Cancer: A Case Report.

Pulmonary Embolism Associated with Olaparib in <i>BRCA2</i>-Mutated Prostate Cancer: A Case Report.

Pulmonary Embolism Associated with Olaparib in BRCA2-Mutated Prostate Cancer: A Case Report.

Olaparib, a poly (ADP-ribose) polymerase (PARP) inhibitor approved for treating metastatic castration-resistant prostate cancer (mCRPC) with BRCA mutations, has significant clinical benefits. However, evidence suggests an increased risk of venous thromboembolism, including pulmonary embolism (PE), particularly in patients with PC. However, no case reports of olaparib-associated PE in mCRPC have been published. Here, we report the case of a 70-year-old man with mCRPC harboring a BRCA2 mutation, who developed PE during olaparib therapy. Diagnostic evaluations included contrast-enhanced computed tomography and serum D-dimer level measurement. Clinical decision tools, such as the Wells score and the Khorana score, were used to support the diagnosis and risk assessment. The patient developed acute dyspnea and chest pain 7 months after olaparib initiation. Imaging confirmed multiple pulmonary emboli; laboratory testing revealed markedly elevated D-dimer levels. Anticoagulation therapy with apixaban led to rapid clinical and radiological improvement. However, mCRPC eventually progressed after olaparib discontinuation, and the patient died 15 months after olaparib initiation. This is the first reported case of olaparib-associated PE in mCRPC. It underscores the importance of vigilance for thromboembolic complications during PARP inhibitor therapy. The integration of clinical scoring systems and biomarkers may facilitate timely PE diagnosis and management, potentially improving patient outcomes.

求助全文
通过发布文献求助,成功后即可免费获取论文全文。 去求助
来源期刊
Current oncology
Current oncology ONCOLOGY-
CiteScore
3.30
自引率
7.70%
发文量
664
审稿时长
1 months
期刊介绍: Current Oncology is a peer-reviewed, Canadian-based and internationally respected journal. Current Oncology represents a multidisciplinary medium encompassing health care workers in the field of cancer therapy in Canada to report upon and to review progress in the management of this disease. We encourage submissions from all fields of cancer medicine, including radiation oncology, surgical oncology, medical oncology, pediatric oncology, pathology, and cancer rehabilitation and survivorship. Articles published in the journal typically contain information that is relevant directly to clinical oncology practice, and have clear potential for application to the current or future practice of cancer medicine.
×
引用
GB/T 7714-2015
复制
MLA
复制
APA
复制
导出至
BibTeX EndNote RefMan NoteFirst NoteExpress
×
提示
您的信息不完整,为了账户安全,请先补充。
现在去补充
×
提示
您因"违规操作"
具体请查看互助需知
我知道了
×
提示
确定
请完成安全验证×
copy
已复制链接
快去分享给好友吧!
我知道了
右上角分享
点击右上角分享
0
联系我们:info@booksci.cn Book学术提供免费学术资源搜索服务,方便国内外学者检索中英文文献。致力于提供最便捷和优质的服务体验。 Copyright © 2023 布克学术 All rights reserved.
京ICP备2023020795号-1
ghs 京公网安备 11010802042870号
Book学术文献互助
Book学术文献互助群
群 号:604180095
Book学术官方微信