继发性肛周佩吉特病起源于肛肠交界处腺癌1例报告。

IF 2.2 4区 医学 Q3 DERMATOLOGY
Clinical, Cosmetic and Investigational Dermatology Pub Date : 2025-09-20 eCollection Date: 2025-01-01 DOI:10.2147/CCID.S546040
Jun He, Rong-Chao He, Jian-Zhong Peng, Hou-Dong Wang, Tao Wang, Si-Jia Lu, Xiu-Feng Zhang, Zhong Shen
{"title":"继发性肛周佩吉特病起源于肛肠交界处腺癌1例报告。","authors":"Jun He, Rong-Chao He, Jian-Zhong Peng, Hou-Dong Wang, Tao Wang, Si-Jia Lu, Xiu-Feng Zhang, Zhong Shen","doi":"10.2147/CCID.S546040","DOIUrl":null,"url":null,"abstract":"<p><p>Secondary extramammary Paget's disease (EMPD), originating from the cutaneous dissemination of malignant cells, represents a rare subtype prone to misdiagnosis. This study presents a case of secondary perianal Paget's disease (PPD) associated with adenocarcinoma at the anorectal junction. Preoperative full-thickness mapping biopsy was utilized for the assessment of lesion margins. The patient demonstrated favorable postoperative recovery following a multimodal therapeutic regimen.</p>","PeriodicalId":10447,"journal":{"name":"Clinical, Cosmetic and Investigational Dermatology","volume":"18 ","pages":"2395-2401"},"PeriodicalIF":2.2000,"publicationDate":"2025-09-20","publicationTypes":"Journal Article","fieldsOfStudy":null,"isOpenAccess":false,"openAccessPdf":"https://www.ncbi.nlm.nih.gov/pmc/articles/PMC12459376/pdf/","citationCount":"0","resultStr":"{\"title\":\"Secondary Perianal Paget's Disease Originating From Adenocarcinoma of the Anorectal Junction: A Case Report.\",\"authors\":\"Jun He, Rong-Chao He, Jian-Zhong Peng, Hou-Dong Wang, Tao Wang, Si-Jia Lu, Xiu-Feng Zhang, Zhong Shen\",\"doi\":\"10.2147/CCID.S546040\",\"DOIUrl\":null,\"url\":null,\"abstract\":\"<p><p>Secondary extramammary Paget's disease (EMPD), originating from the cutaneous dissemination of malignant cells, represents a rare subtype prone to misdiagnosis. This study presents a case of secondary perianal Paget's disease (PPD) associated with adenocarcinoma at the anorectal junction. Preoperative full-thickness mapping biopsy was utilized for the assessment of lesion margins. The patient demonstrated favorable postoperative recovery following a multimodal therapeutic regimen.</p>\",\"PeriodicalId\":10447,\"journal\":{\"name\":\"Clinical, Cosmetic and Investigational Dermatology\",\"volume\":\"18 \",\"pages\":\"2395-2401\"},\"PeriodicalIF\":2.2000,\"publicationDate\":\"2025-09-20\",\"publicationTypes\":\"Journal Article\",\"fieldsOfStudy\":null,\"isOpenAccess\":false,\"openAccessPdf\":\"https://www.ncbi.nlm.nih.gov/pmc/articles/PMC12459376/pdf/\",\"citationCount\":\"0\",\"resultStr\":null,\"platform\":\"Semanticscholar\",\"paperid\":null,\"PeriodicalName\":\"Clinical, Cosmetic and Investigational Dermatology\",\"FirstCategoryId\":\"3\",\"ListUrlMain\":\"https://doi.org/10.2147/CCID.S546040\",\"RegionNum\":4,\"RegionCategory\":\"医学\",\"ArticlePicture\":[],\"TitleCN\":null,\"AbstractTextCN\":null,\"PMCID\":null,\"EPubDate\":\"2025/1/1 0:00:00\",\"PubModel\":\"eCollection\",\"JCR\":\"Q3\",\"JCRName\":\"DERMATOLOGY\",\"Score\":null,\"Total\":0}","platform":"Semanticscholar","paperid":null,"PeriodicalName":"Clinical, Cosmetic and Investigational Dermatology","FirstCategoryId":"3","ListUrlMain":"https://doi.org/10.2147/CCID.S546040","RegionNum":4,"RegionCategory":"医学","ArticlePicture":[],"TitleCN":null,"AbstractTextCN":null,"PMCID":null,"EPubDate":"2025/1/1 0:00:00","PubModel":"eCollection","JCR":"Q3","JCRName":"DERMATOLOGY","Score":null,"Total":0}
引用次数: 0

摘要

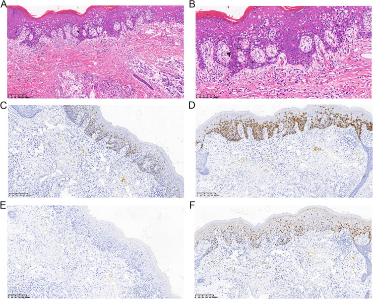
继发性乳腺外佩吉特病(EMPD),起源于恶性细胞的皮肤播散,是一种罕见的亚型,容易误诊。本研究报告一例继发性肛周佩吉特病(PPD)伴肛门直肠交界处腺癌。术前全层穿刺活检用于评估病变边缘。患者表现出良好的术后恢复多模式治疗方案。
本文章由计算机程序翻译,如有差异,请以英文原文为准。

Secondary Perianal Paget's Disease Originating From Adenocarcinoma of the Anorectal Junction: A Case Report.

Secondary Perianal Paget's Disease Originating From Adenocarcinoma of the Anorectal Junction: A Case Report.

Secondary Perianal Paget's Disease Originating From Adenocarcinoma of the Anorectal Junction: A Case Report.

Secondary extramammary Paget's disease (EMPD), originating from the cutaneous dissemination of malignant cells, represents a rare subtype prone to misdiagnosis. This study presents a case of secondary perianal Paget's disease (PPD) associated with adenocarcinoma at the anorectal junction. Preoperative full-thickness mapping biopsy was utilized for the assessment of lesion margins. The patient demonstrated favorable postoperative recovery following a multimodal therapeutic regimen.

求助全文
通过发布文献求助,成功后即可免费获取论文全文。 去求助
来源期刊
CiteScore
2.80
自引率
4.30%
发文量
353
审稿时长
16 weeks
期刊介绍: Clinical, Cosmetic and Investigational Dermatology is an international, peer-reviewed, open access journal that focuses on the latest clinical and experimental research in all aspects of skin disease and cosmetic interventions. Normal and pathological processes in skin development and aging, their modification and treatment, as well as basic research into histology of dermal and dermal structures that provide clinical insights and potential treatment options are key topics for the journal. Patient satisfaction, preference, quality of life, compliance, persistence and their role in developing new management options to optimize outcomes for target conditions constitute major areas of interest. The journal is characterized by the rapid reporting of clinical studies, reviews and original research in skin research and skin care. All areas of dermatology will be covered; contributions will be welcomed from all clinicians and basic science researchers globally.
×
引用
GB/T 7714-2015
复制
MLA
复制
APA
复制
导出至
BibTeX EndNote RefMan NoteFirst NoteExpress
×
提示
您的信息不完整,为了账户安全,请先补充。
现在去补充
×
提示
您因"违规操作"
具体请查看互助需知
我知道了
×
提示
确定
请完成安全验证×
copy
已复制链接
快去分享给好友吧!
我知道了
右上角分享
点击右上角分享
0
联系我们:info@booksci.cn Book学术提供免费学术资源搜索服务,方便国内外学者检索中英文文献。致力于提供最便捷和优质的服务体验。 Copyright © 2023 布克学术 All rights reserved.
京ICP备2023020795号-1
ghs 京公网安备 11010802042870号
Book学术文献互助
Book学术文献互助群
群 号:604180095
Book学术官方微信