多学科治疗牙针骨折经卵圆孔颅内移位1例。

IF 0.5 Q4 SURGERY
Journal of Surgical Case Reports Pub Date : 2025-09-23 eCollection Date: 2025-09-01 DOI:10.1093/jscr/rjaf662
Josep Rubio-Palau, Ferran Escrigas-Cañameras, Adaia Valls-Ontañon, Albert Malet-Contreras, Maria Victoria Becerra-Castro, Jordi Muchart-López, José Hinojosa-Bernal
{"title":"多学科治疗牙针骨折经卵圆孔颅内移位1例。","authors":"Josep Rubio-Palau, Ferran Escrigas-Cañameras, Adaia Valls-Ontañon, Albert Malet-Contreras, Maria Victoria Becerra-Castro, Jordi Muchart-López, José Hinojosa-Bernal","doi":"10.1093/jscr/rjaf662","DOIUrl":null,"url":null,"abstract":"<p><p>Local anaesthesia and nerve block are common practices in dental therapy. Although they are associated with low rate of complications, local events such as needle fracture could entail life threatening consequences. We present a case of a needle fracture in a 4 year old girl who underwent a minor dental procedure. The needle migrated intracranially through the foramen ovale. She required a multidisciplinary management with a final neurosurgical intervention in order to remove it. In addition to an initial diagnostic computerized tomography (CT), it was of utmost importance to have access to an intraoperative imaging tools (preferably low radiation CT in paediatric population) to monitor the potential risk of needle migration. This report demonstrates that a broken needle may migrate intracranially, among other complications, underscoring the importance of managing these cases in a tertiary referral hospital with the appropriate equipment and specialists.</p>","PeriodicalId":47321,"journal":{"name":"Journal of Surgical Case Reports","volume":"2025 9","pages":"rjaf662"},"PeriodicalIF":0.5000,"publicationDate":"2025-09-23","publicationTypes":"Journal Article","fieldsOfStudy":null,"isOpenAccess":false,"openAccessPdf":"https://www.ncbi.nlm.nih.gov/pmc/articles/PMC12454255/pdf/","citationCount":"0","resultStr":"{\"title\":\"Multidisciplinary management of intracranial migration of a fractured dental needle through the foramen ovale: a case report.\",\"authors\":\"Josep Rubio-Palau, Ferran Escrigas-Cañameras, Adaia Valls-Ontañon, Albert Malet-Contreras, Maria Victoria Becerra-Castro, Jordi Muchart-López, José Hinojosa-Bernal\",\"doi\":\"10.1093/jscr/rjaf662\",\"DOIUrl\":null,\"url\":null,\"abstract\":\"<p><p>Local anaesthesia and nerve block are common practices in dental therapy. Although they are associated with low rate of complications, local events such as needle fracture could entail life threatening consequences. We present a case of a needle fracture in a 4 year old girl who underwent a minor dental procedure. The needle migrated intracranially through the foramen ovale. She required a multidisciplinary management with a final neurosurgical intervention in order to remove it. In addition to an initial diagnostic computerized tomography (CT), it was of utmost importance to have access to an intraoperative imaging tools (preferably low radiation CT in paediatric population) to monitor the potential risk of needle migration. This report demonstrates that a broken needle may migrate intracranially, among other complications, underscoring the importance of managing these cases in a tertiary referral hospital with the appropriate equipment and specialists.</p>\",\"PeriodicalId\":47321,\"journal\":{\"name\":\"Journal of Surgical Case Reports\",\"volume\":\"2025 9\",\"pages\":\"rjaf662\"},\"PeriodicalIF\":0.5000,\"publicationDate\":\"2025-09-23\",\"publicationTypes\":\"Journal Article\",\"fieldsOfStudy\":null,\"isOpenAccess\":false,\"openAccessPdf\":\"https://www.ncbi.nlm.nih.gov/pmc/articles/PMC12454255/pdf/\",\"citationCount\":\"0\",\"resultStr\":null,\"platform\":\"Semanticscholar\",\"paperid\":null,\"PeriodicalName\":\"Journal of Surgical Case Reports\",\"FirstCategoryId\":\"1085\",\"ListUrlMain\":\"https://doi.org/10.1093/jscr/rjaf662\",\"RegionNum\":0,\"RegionCategory\":null,\"ArticlePicture\":[],\"TitleCN\":null,\"AbstractTextCN\":null,\"PMCID\":null,\"EPubDate\":\"2025/9/1 0:00:00\",\"PubModel\":\"eCollection\",\"JCR\":\"Q4\",\"JCRName\":\"SURGERY\",\"Score\":null,\"Total\":0}","platform":"Semanticscholar","paperid":null,"PeriodicalName":"Journal of Surgical Case Reports","FirstCategoryId":"1085","ListUrlMain":"https://doi.org/10.1093/jscr/rjaf662","RegionNum":0,"RegionCategory":null,"ArticlePicture":[],"TitleCN":null,"AbstractTextCN":null,"PMCID":null,"EPubDate":"2025/9/1 0:00:00","PubModel":"eCollection","JCR":"Q4","JCRName":"SURGERY","Score":null,"Total":0}
引用次数: 0

摘要

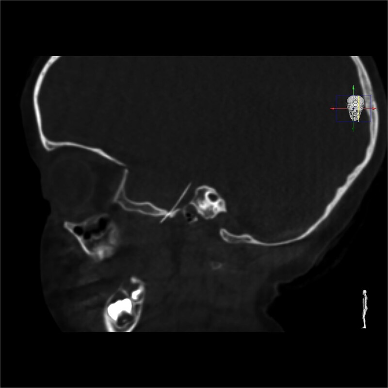
局部麻醉和神经阻滞是牙科治疗中常用的方法。虽然它们的并发症发生率较低,但局部事件如针头骨折可能导致危及生命的后果。我们提出一个病例针头骨折在一个4岁的女孩谁接受了一个小牙科手术。针通过卵圆孔向颅内移动。她需要一个多学科的管理和最后的神经外科干预,以去除它。除了初步诊断计算机断层扫描(CT)外,最重要的是获得术中成像工具(儿科人群最好是低辐射CT)来监测针移的潜在风险。该报告表明,除其他并发症外,断针可能向颅内移位,强调了在拥有适当设备和专家的三级转诊医院处理这些病例的重要性。
本文章由计算机程序翻译,如有差异,请以英文原文为准。

Multidisciplinary management of intracranial migration of a fractured dental needle through the foramen ovale: a case report.

Multidisciplinary management of intracranial migration of a fractured dental needle through the foramen ovale: a case report.

Multidisciplinary management of intracranial migration of a fractured dental needle through the foramen ovale: a case report.

Multidisciplinary management of intracranial migration of a fractured dental needle through the foramen ovale: a case report.

Local anaesthesia and nerve block are common practices in dental therapy. Although they are associated with low rate of complications, local events such as needle fracture could entail life threatening consequences. We present a case of a needle fracture in a 4 year old girl who underwent a minor dental procedure. The needle migrated intracranially through the foramen ovale. She required a multidisciplinary management with a final neurosurgical intervention in order to remove it. In addition to an initial diagnostic computerized tomography (CT), it was of utmost importance to have access to an intraoperative imaging tools (preferably low radiation CT in paediatric population) to monitor the potential risk of needle migration. This report demonstrates that a broken needle may migrate intracranially, among other complications, underscoring the importance of managing these cases in a tertiary referral hospital with the appropriate equipment and specialists.

求助全文
通过发布文献求助,成功后即可免费获取论文全文。 去求助
来源期刊
CiteScore
0.70
自引率
0.00%
发文量
559
审稿时长
11 weeks
×
引用
GB/T 7714-2015
复制
MLA
复制
APA
复制
导出至
BibTeX EndNote RefMan NoteFirst NoteExpress
×
提示
您的信息不完整,为了账户安全,请先补充。
现在去补充
×
提示
您因"违规操作"
具体请查看互助需知
我知道了
×
提示
确定
请完成安全验证×
copy
已复制链接
快去分享给好友吧!
我知道了
右上角分享
点击右上角分享
0
联系我们:info@booksci.cn Book学术提供免费学术资源搜索服务,方便国内外学者检索中英文文献。致力于提供最便捷和优质的服务体验。 Copyright © 2023 布克学术 All rights reserved.
京ICP备2023020795号-1
ghs 京公网安备 11010802042870号
Book学术文献互助
Book学术文献互助群
群 号:604180095
Book学术官方微信