扫描源光学相干断层血管造影与眼底荧光素血管造影检测糖尿病视网膜病变的比较。

IF 1.2 Q4 OPHTHALMOLOGY
Taiwan Journal of Ophthalmology Pub Date : 2025-05-02 eCollection Date: 2025-07-01 DOI:10.4103/tjo.TJO-D-24-00117
Santosh Kumar Mahapatra, Anuja Mohanty, Amit Bidasaria, Anjalika Parhi
{"title":"扫描源光学相干断层血管造影与眼底荧光素血管造影检测糖尿病视网膜病变的比较。","authors":"Santosh Kumar Mahapatra, Anuja Mohanty, Amit Bidasaria, Anjalika Parhi","doi":"10.4103/tjo.TJO-D-24-00117","DOIUrl":null,"url":null,"abstract":"<p><strong>Purpose: </strong>The purpose of this study was to compare the rate of detection of diabetic retinopathy (DR) lesions and the agreement for grading DR severity between swept-source optical coherence tomography angiography (OCTA) and fundus fluorescein angiography (FFA) and establish the utility of OCTA as a noninvasive alternative to FFA.</p><p><strong>Materials and methods: </strong>116 eyes of 60 DR patients underwent OCTA with a 12 m × 12 mm acquisition protocol centered at the fovea followed by FFA. For each imaging technique, the presence or absence of DR lesions including microaneurysms, intraretinal microvascular abnormalities (IRMAs), new vessels on the disc (NVD), new vessels elsewhere (NVE), and nonperfusion areas (NPAs) was recorded. Statistical analysis was performed using IBM SPSS.22 using the McNemar test.</p><p><strong>Results: </strong>The detection rates were comparable in OCTA versus FFA for most DR lesions (<i>P</i> > 0.05) except microaneurysms (90 eyes, 77.6% in OCTA vs. 115 eyes, 99.1% in FFA). OCTA detected NPAs better than FFA (91 eyes, 78.5% vs. 78 eyes, 67.2%). There was an excellent agreement for the identification of IRMA (<i>κ</i> =0.791), NVD (<i>κ</i> =0.938), and NVE (<i>κ</i> =0.942); good agreement for the identification of NPA (<i>κ</i> =0.635) and poor agreement for microaneurysms (<i>κ</i> =0.058) identification. Overall, agreement in grading of DR severity between OCTA and FFA was good (<i>κ</i> =0.687).</p><p><strong>Conclusion: </strong>OCTA serves as a noninvasive, rapid imaging modality for evaluating retinal vascular changes in DR and can be the sole imaging modality in specific situations such as pregnancy, nephropathy, and in patients with uncontrolled diabetes and hypertension. OCTA is noninferior to FFA, and both modalities should be utilized as complementary imaging modalities to maximize their respective advantages and improve treatment outcomes.</p>","PeriodicalId":44978,"journal":{"name":"Taiwan Journal of Ophthalmology","volume":"15 3","pages":"443-449"},"PeriodicalIF":1.2000,"publicationDate":"2025-05-02","publicationTypes":"Journal Article","fieldsOfStudy":null,"isOpenAccess":false,"openAccessPdf":"https://www.ncbi.nlm.nih.gov/pmc/articles/PMC12456908/pdf/","citationCount":"0","resultStr":"{\"title\":\"Comparison of swept source - Optical coherence tomography angiography with fundus fluorescein angiography for detection of lesions in diabetic retinopathy.\",\"authors\":\"Santosh Kumar Mahapatra, Anuja Mohanty, Amit Bidasaria, Anjalika Parhi\",\"doi\":\"10.4103/tjo.TJO-D-24-00117\",\"DOIUrl\":null,\"url\":null,\"abstract\":\"<p><strong>Purpose: </strong>The purpose of this study was to compare the rate of detection of diabetic retinopathy (DR) lesions and the agreement for grading DR severity between swept-source optical coherence tomography angiography (OCTA) and fundus fluorescein angiography (FFA) and establish the utility of OCTA as a noninvasive alternative to FFA.</p><p><strong>Materials and methods: </strong>116 eyes of 60 DR patients underwent OCTA with a 12 m × 12 mm acquisition protocol centered at the fovea followed by FFA. For each imaging technique, the presence or absence of DR lesions including microaneurysms, intraretinal microvascular abnormalities (IRMAs), new vessels on the disc (NVD), new vessels elsewhere (NVE), and nonperfusion areas (NPAs) was recorded. Statistical analysis was performed using IBM SPSS.22 using the McNemar test.</p><p><strong>Results: </strong>The detection rates were comparable in OCTA versus FFA for most DR lesions (<i>P</i> > 0.05) except microaneurysms (90 eyes, 77.6% in OCTA vs. 115 eyes, 99.1% in FFA). OCTA detected NPAs better than FFA (91 eyes, 78.5% vs. 78 eyes, 67.2%). There was an excellent agreement for the identification of IRMA (<i>κ</i> =0.791), NVD (<i>κ</i> =0.938), and NVE (<i>κ</i> =0.942); good agreement for the identification of NPA (<i>κ</i> =0.635) and poor agreement for microaneurysms (<i>κ</i> =0.058) identification. Overall, agreement in grading of DR severity between OCTA and FFA was good (<i>κ</i> =0.687).</p><p><strong>Conclusion: </strong>OCTA serves as a noninvasive, rapid imaging modality for evaluating retinal vascular changes in DR and can be the sole imaging modality in specific situations such as pregnancy, nephropathy, and in patients with uncontrolled diabetes and hypertension. OCTA is noninferior to FFA, and both modalities should be utilized as complementary imaging modalities to maximize their respective advantages and improve treatment outcomes.</p>\",\"PeriodicalId\":44978,\"journal\":{\"name\":\"Taiwan Journal of Ophthalmology\",\"volume\":\"15 3\",\"pages\":\"443-449\"},\"PeriodicalIF\":1.2000,\"publicationDate\":\"2025-05-02\",\"publicationTypes\":\"Journal Article\",\"fieldsOfStudy\":null,\"isOpenAccess\":false,\"openAccessPdf\":\"https://www.ncbi.nlm.nih.gov/pmc/articles/PMC12456908/pdf/\",\"citationCount\":\"0\",\"resultStr\":null,\"platform\":\"Semanticscholar\",\"paperid\":null,\"PeriodicalName\":\"Taiwan Journal of Ophthalmology\",\"FirstCategoryId\":\"1085\",\"ListUrlMain\":\"https://doi.org/10.4103/tjo.TJO-D-24-00117\",\"RegionNum\":0,\"RegionCategory\":null,\"ArticlePicture\":[],\"TitleCN\":null,\"AbstractTextCN\":null,\"PMCID\":null,\"EPubDate\":\"2025/7/1 0:00:00\",\"PubModel\":\"eCollection\",\"JCR\":\"Q4\",\"JCRName\":\"OPHTHALMOLOGY\",\"Score\":null,\"Total\":0}","platform":"Semanticscholar","paperid":null,"PeriodicalName":"Taiwan Journal of Ophthalmology","FirstCategoryId":"1085","ListUrlMain":"https://doi.org/10.4103/tjo.TJO-D-24-00117","RegionNum":0,"RegionCategory":null,"ArticlePicture":[],"TitleCN":null,"AbstractTextCN":null,"PMCID":null,"EPubDate":"2025/7/1 0:00:00","PubModel":"eCollection","JCR":"Q4","JCRName":"OPHTHALMOLOGY","Score":null,"Total":0}
引用次数: 0

摘要

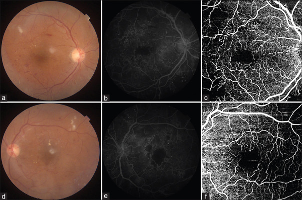
目的:本研究的目的是比较扫描源光学相干断层扫描血管造影(OCTA)和眼底荧光素血管造影(FFA)对糖尿病视网膜病变(DR)的检出率和DR严重程度分级的一致性,并确定OCTA作为FFA的无创替代方法的有效性。材料与方法:60例DR患者116眼行OCTA,以中央凹为中心的12 m × 12 mm采集方案,然后行FFA。对于每种成像技术,记录DR病变的存在或不存在,包括微动脉瘤、视网膜内微血管异常(IRMAs)、椎间盘上的新血管(NVD)、其他地方的新血管(NVE)和非灌注区(NPAs)。采用IBM SPSS.22进行统计分析,采用McNemar检验。结果:除微动脉瘤外,OCTA和FFA对大多数DR病变的检出率相当(P < 0.05)(90眼,OCTA检出率77.6% vs. 115眼,FFA检出率99.1%)。OCTA检测NPAs优于FFA(91眼,78.5%比78眼,67.2%)。IRMA (κ =0.791)、NVD (κ =0.938)和NVE (κ =0.942)的鉴定一致性很好;NPA识别一致性较好(κ =0.635),微动脉瘤识别一致性较差(κ =0.058)。总体而言,OCTA和FFA对DR严重程度分级的一致性较好(κ =0.687)。结论:OCTA是一种无创、快速的DR视网膜血管变化评估成像方式,可作为妊娠、肾病、糖尿病和高血压未控制患者等特殊情况下的唯一成像方式。OCTA不逊色于FFA,两种方式应作为互补的成像方式,最大限度地发挥各自的优势,改善治疗效果。
本文章由计算机程序翻译,如有差异,请以英文原文为准。

Comparison of swept source - Optical coherence tomography angiography with fundus fluorescein angiography for detection of lesions in diabetic retinopathy.

Comparison of swept source - Optical coherence tomography angiography with fundus fluorescein angiography for detection of lesions in diabetic retinopathy.

Comparison of swept source - Optical coherence tomography angiography with fundus fluorescein angiography for detection of lesions in diabetic retinopathy.

Comparison of swept source - Optical coherence tomography angiography with fundus fluorescein angiography for detection of lesions in diabetic retinopathy.

Purpose: The purpose of this study was to compare the rate of detection of diabetic retinopathy (DR) lesions and the agreement for grading DR severity between swept-source optical coherence tomography angiography (OCTA) and fundus fluorescein angiography (FFA) and establish the utility of OCTA as a noninvasive alternative to FFA.

Materials and methods: 116 eyes of 60 DR patients underwent OCTA with a 12 m × 12 mm acquisition protocol centered at the fovea followed by FFA. For each imaging technique, the presence or absence of DR lesions including microaneurysms, intraretinal microvascular abnormalities (IRMAs), new vessels on the disc (NVD), new vessels elsewhere (NVE), and nonperfusion areas (NPAs) was recorded. Statistical analysis was performed using IBM SPSS.22 using the McNemar test.

Results: The detection rates were comparable in OCTA versus FFA for most DR lesions (P > 0.05) except microaneurysms (90 eyes, 77.6% in OCTA vs. 115 eyes, 99.1% in FFA). OCTA detected NPAs better than FFA (91 eyes, 78.5% vs. 78 eyes, 67.2%). There was an excellent agreement for the identification of IRMA (κ =0.791), NVD (κ =0.938), and NVE (κ =0.942); good agreement for the identification of NPA (κ =0.635) and poor agreement for microaneurysms (κ =0.058) identification. Overall, agreement in grading of DR severity between OCTA and FFA was good (κ =0.687).

Conclusion: OCTA serves as a noninvasive, rapid imaging modality for evaluating retinal vascular changes in DR and can be the sole imaging modality in specific situations such as pregnancy, nephropathy, and in patients with uncontrolled diabetes and hypertension. OCTA is noninferior to FFA, and both modalities should be utilized as complementary imaging modalities to maximize their respective advantages and improve treatment outcomes.

求助全文
通过发布文献求助,成功后即可免费获取论文全文。 去求助
来源期刊
CiteScore
1.80
自引率
9.10%
发文量
68
审稿时长
19 weeks
×
引用
GB/T 7714-2015
复制
MLA
复制
APA
复制
导出至
BibTeX EndNote RefMan NoteFirst NoteExpress
×
提示
您的信息不完整,为了账户安全,请先补充。
现在去补充
×
提示
您因"违规操作"
具体请查看互助需知
我知道了
×
提示
确定
请完成安全验证×
copy
已复制链接
快去分享给好友吧!
我知道了
右上角分享
点击右上角分享
0
联系我们:info@booksci.cn Book学术提供免费学术资源搜索服务,方便国内外学者检索中英文文献。致力于提供最便捷和优质的服务体验。 Copyright © 2023 布克学术 All rights reserved.
京ICP备2023020795号-1
ghs 京公网安备 11010802042870号
Book学术文献互助
Book学术文献互助群
群 号:604180095
Book学术官方微信