猪多杀性巴氏杆菌和猪链球菌双等温扩增方法的建立及应用。

IF 1.1 4区 农林科学 Q3 ZOOLOGY
Veterinary Research Forum Pub Date : 2025-01-01 Epub Date: 2025-07-15 DOI:10.30466/vrf.2024.2035817.4371
Shuang Li, Jingjing Li, Kexin Wang, Qianlei Zhu, Yafei Chang, Lei Wang, Zhanwei Teng, Xiaobing Wei, Meinan Chang, Mingcheng Liu, Oksana Kasjanenko, Sergii Kasianenko, Jianhe Hu, Huihui Zhang, Xiaojing Xia
{"title":"猪多杀性巴氏杆菌和猪链球菌双等温扩增方法的建立及应用。","authors":"Shuang Li, Jingjing Li, Kexin Wang, Qianlei Zhu, Yafei Chang, Lei Wang, Zhanwei Teng, Xiaobing Wei, Meinan Chang, Mingcheng Liu, Oksana Kasjanenko, Sergii Kasianenko, Jianhe Hu, Huihui Zhang, Xiaojing Xia","doi":"10.30466/vrf.2024.2035817.4371","DOIUrl":null,"url":null,"abstract":"<p><p>Porcine respiratory disease complex is a clinically lethal condition and is the leading cause of mortality in weaned piglets as well as growing and fattening pigs. <i>Pasteurella multocida</i> (Pm) and <i>Streptococcus suis</i> (SS) are common respiratory pathogens in porcine respiratory disease complex. This study combined the recombinase polymerase amplification (RPA) technique with the lateral flow dipstick (LFD) technique. The dual Basic-RPA detection method for Pm and SS and the dual RPA-LFD rapid visualization detection method for Pm and SS were constructed, respectively. The detection limit of RPA-LFD was 10<sup>-6</sup> ng μL<sup>-1</sup>, which was higher than the detection limit of RPA at 10<sup>-5</sup> ng μL<sup>-1</sup> and much higher than the detection limit of polymerase chain reaction at 10<sup>-4</sup> ng μL<sup>-1</sup>. There was no cross-reactivity with other pathogens which indicated that the method had good specificity and high sensitivity. The detection rate of RPA-LFD was much higher than that of conventional Polymerase chain reaction in 60 clinical samples collected in 2023 with suspected Pm and SS. This method could avoid the complicated temperature cycling instruments and does not require professional laboratory skills, which makes it suitable for on-site detection.</p>","PeriodicalId":23989,"journal":{"name":"Veterinary Research Forum","volume":"16 7","pages":"365-374"},"PeriodicalIF":1.1000,"publicationDate":"2025-01-01","publicationTypes":"Journal Article","fieldsOfStudy":null,"isOpenAccess":false,"openAccessPdf":"https://www.ncbi.nlm.nih.gov/pmc/articles/PMC12456675/pdf/","citationCount":"0","resultStr":"{\"title\":\"Establishment and application of dual isothermal amplification of <i>Pasteurella multocida</i> and <i>Streptococcus suis</i> in pigs.\",\"authors\":\"Shuang Li, Jingjing Li, Kexin Wang, Qianlei Zhu, Yafei Chang, Lei Wang, Zhanwei Teng, Xiaobing Wei, Meinan Chang, Mingcheng Liu, Oksana Kasjanenko, Sergii Kasianenko, Jianhe Hu, Huihui Zhang, Xiaojing Xia\",\"doi\":\"10.30466/vrf.2024.2035817.4371\",\"DOIUrl\":null,\"url\":null,\"abstract\":\"<p><p>Porcine respiratory disease complex is a clinically lethal condition and is the leading cause of mortality in weaned piglets as well as growing and fattening pigs. <i>Pasteurella multocida</i> (Pm) and <i>Streptococcus suis</i> (SS) are common respiratory pathogens in porcine respiratory disease complex. This study combined the recombinase polymerase amplification (RPA) technique with the lateral flow dipstick (LFD) technique. The dual Basic-RPA detection method for Pm and SS and the dual RPA-LFD rapid visualization detection method for Pm and SS were constructed, respectively. The detection limit of RPA-LFD was 10<sup>-6</sup> ng μL<sup>-1</sup>, which was higher than the detection limit of RPA at 10<sup>-5</sup> ng μL<sup>-1</sup> and much higher than the detection limit of polymerase chain reaction at 10<sup>-4</sup> ng μL<sup>-1</sup>. There was no cross-reactivity with other pathogens which indicated that the method had good specificity and high sensitivity. The detection rate of RPA-LFD was much higher than that of conventional Polymerase chain reaction in 60 clinical samples collected in 2023 with suspected Pm and SS. This method could avoid the complicated temperature cycling instruments and does not require professional laboratory skills, which makes it suitable for on-site detection.</p>\",\"PeriodicalId\":23989,\"journal\":{\"name\":\"Veterinary Research Forum\",\"volume\":\"16 7\",\"pages\":\"365-374\"},\"PeriodicalIF\":1.1000,\"publicationDate\":\"2025-01-01\",\"publicationTypes\":\"Journal Article\",\"fieldsOfStudy\":null,\"isOpenAccess\":false,\"openAccessPdf\":\"https://www.ncbi.nlm.nih.gov/pmc/articles/PMC12456675/pdf/\",\"citationCount\":\"0\",\"resultStr\":null,\"platform\":\"Semanticscholar\",\"paperid\":null,\"PeriodicalName\":\"Veterinary Research Forum\",\"FirstCategoryId\":\"97\",\"ListUrlMain\":\"https://doi.org/10.30466/vrf.2024.2035817.4371\",\"RegionNum\":4,\"RegionCategory\":\"农林科学\",\"ArticlePicture\":[],\"TitleCN\":null,\"AbstractTextCN\":null,\"PMCID\":null,\"EPubDate\":\"2025/7/15 0:00:00\",\"PubModel\":\"Epub\",\"JCR\":\"Q3\",\"JCRName\":\"ZOOLOGY\",\"Score\":null,\"Total\":0}","platform":"Semanticscholar","paperid":null,"PeriodicalName":"Veterinary Research Forum","FirstCategoryId":"97","ListUrlMain":"https://doi.org/10.30466/vrf.2024.2035817.4371","RegionNum":4,"RegionCategory":"农林科学","ArticlePicture":[],"TitleCN":null,"AbstractTextCN":null,"PMCID":null,"EPubDate":"2025/7/15 0:00:00","PubModel":"Epub","JCR":"Q3","JCRName":"ZOOLOGY","Score":null,"Total":0}
引用次数: 0

摘要

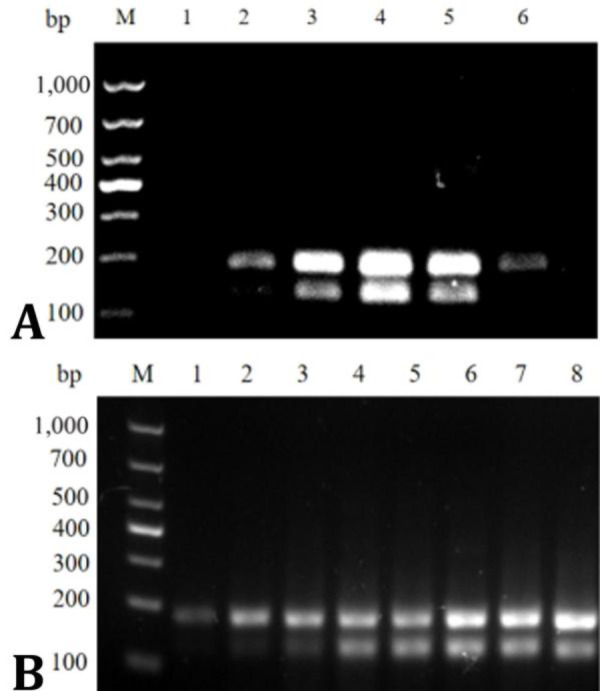
猪呼吸道疾病是一种临床上致命的疾病,是断奶仔猪以及生长和育肥猪死亡的主要原因。多杀性巴氏杆菌(Pm)和猪链球菌(SS)是猪呼吸道疾病复合体中常见的呼吸道病原体。本研究将重组酶聚合酶扩增(RPA)技术与侧流试纸(LFD)技术相结合。分别构建了Pm和SS的双Basic-RPA检测方法和Pm和SS的双RPA-LFD快速可视化检测方法。RPA- lfd的检出限为10 ~ 6 ng μL-1,高于RPA的10 ~ 5 ng μL-1,远高于聚合酶链反应的10 ~ 4 ng μL-1。该方法与其他病原菌无交叉反应,特异性好,灵敏度高。在2023年采集的60份疑似Pm和SS的临床样品中,RPA-LFD的检出率远高于传统的聚合酶链反应,该方法可以避免使用复杂的温度循环仪器,不需要专业的实验室技能,适合现场检测。
本文章由计算机程序翻译,如有差异,请以英文原文为准。

Establishment and application of dual isothermal amplification of <i>Pasteurella multocida</i> and <i>Streptococcus suis</i> in pigs.

Establishment and application of dual isothermal amplification of <i>Pasteurella multocida</i> and <i>Streptococcus suis</i> in pigs.

Establishment and application of dual isothermal amplification of <i>Pasteurella multocida</i> and <i>Streptococcus suis</i> in pigs.

Establishment and application of dual isothermal amplification of Pasteurella multocida and Streptococcus suis in pigs.

Porcine respiratory disease complex is a clinically lethal condition and is the leading cause of mortality in weaned piglets as well as growing and fattening pigs. Pasteurella multocida (Pm) and Streptococcus suis (SS) are common respiratory pathogens in porcine respiratory disease complex. This study combined the recombinase polymerase amplification (RPA) technique with the lateral flow dipstick (LFD) technique. The dual Basic-RPA detection method for Pm and SS and the dual RPA-LFD rapid visualization detection method for Pm and SS were constructed, respectively. The detection limit of RPA-LFD was 10-6 ng μL-1, which was higher than the detection limit of RPA at 10-5 ng μL-1 and much higher than the detection limit of polymerase chain reaction at 10-4 ng μL-1. There was no cross-reactivity with other pathogens which indicated that the method had good specificity and high sensitivity. The detection rate of RPA-LFD was much higher than that of conventional Polymerase chain reaction in 60 clinical samples collected in 2023 with suspected Pm and SS. This method could avoid the complicated temperature cycling instruments and does not require professional laboratory skills, which makes it suitable for on-site detection.

求助全文
通过发布文献求助,成功后即可免费获取论文全文。 去求助
来源期刊
Veterinary Research Forum
Veterinary Research Forum Veterinary-General Veterinary
CiteScore
1.50
自引率
0.00%
发文量
0
审稿时长
8 weeks
期刊介绍: Veterinary Research Forum (VRF) is a quarterly international journal committed to publish worldwide contributions on all aspects of veterinary science and medicine, including anatomy and histology, physiology and pharmacology, anatomic and clinical pathology, parasitology, microbiology, immunology and epidemiology, food hygiene, poultry science, fish and aquaculture, anesthesia and surgery, large and small animal internal medicine, large and small animal reproduction, biotechnology and diagnostic imaging of domestic, companion and farm animals.
×
引用
GB/T 7714-2015
复制
MLA
复制
APA
复制
导出至
BibTeX EndNote RefMan NoteFirst NoteExpress
×
提示
您的信息不完整,为了账户安全,请先补充。
现在去补充
×
提示
您因"违规操作"
具体请查看互助需知
我知道了
×
提示
确定
请完成安全验证×
copy
已复制链接
快去分享给好友吧!
我知道了
右上角分享
点击右上角分享
0
联系我们:info@booksci.cn Book学术提供免费学术资源搜索服务,方便国内外学者检索中英文文献。致力于提供最便捷和优质的服务体验。 Copyright © 2023 布克学术 All rights reserved.
京ICP备2023020795号-1
ghs 京公网安备 11010802042870号
Book学术文献互助
Book学术文献互助群
群 号:604180095
Book学术官方微信