资源有限环境下的少齿病管理:两个病例报告及文献回顾。

IF 0.9 Q4 DENTISTRY, ORAL SURGERY & MEDICINE
Case Reports in Dentistry Pub Date : 2025-09-16 eCollection Date: 2025-01-01 DOI:10.1155/crid/5519222
A B Malami, B E Ogbozor, C C Okolo, A O Aborisade, U B Mahmud, A A Abulfathi, Y I Adeyemo
{"title":"资源有限环境下的少齿病管理:两个病例报告及文献回顾。","authors":"A B Malami, B E Ogbozor, C C Okolo, A O Aborisade, U B Mahmud, A A Abulfathi, Y I Adeyemo","doi":"10.1155/crid/5519222","DOIUrl":null,"url":null,"abstract":"<p><p><b>Introduction:</b> Oligodontia represents the developmental absence of six or more teeth, posing significant challenges for masticatory function, speech, and psychosocial well-being. While extensively documented in developed countries, limited reports exist from resource-constrained settings in Africa. This study presents two pediatric cases of oligodontia managed with available resources and analyzes their clinical presentations against current literature. This case report was prepared following the CARE guidelines to ensure methodological rigor and completeness. <b>Cases and Interventions:</b> Case 1, a 10-year-old female with a history of missing anterior teeth from birth, with no associated systemic abnormalities and no contributory family history, but with deranged alkaline phosphatase. To address masticatory function, speech, and esthetic problems, removable partial dentures were fabricated for both jaws. Case 2, a 10-year-old female with a family history of congenitally missing teeth but no other features of syndromic oligodontia, with an associated crown fracture involving the enamel, dentine, and pulp of the maxillary right central incisor, peg-shaped maxillary right lateral incisor, and retained mandibular central incisors. Systemic features of mild acanthosis nigricans, nail abnormalities, and hypohidrosis were observed with deranged alkaline phosphatase. To restore speech and masticatory function, root canal treatment and postretained crown restoration of the maxillary right central incisor and composite resin restoration for the peg-shaped maxillary right lateral incisors and retained lower central incisor teeth were done. <b>Conclusion:</b> Early diagnosis and multidisciplinary management of oligodontia significantly improve functional outcomes and quality of life. Resource limitations necessitated adaptive treatment approaches while maintaining therapeutic efficacy.</p>","PeriodicalId":46841,"journal":{"name":"Case Reports in Dentistry","volume":"2025 ","pages":"5519222"},"PeriodicalIF":0.9000,"publicationDate":"2025-09-16","publicationTypes":"Journal Article","fieldsOfStudy":null,"isOpenAccess":false,"openAccessPdf":"https://www.ncbi.nlm.nih.gov/pmc/articles/PMC12457057/pdf/","citationCount":"0","resultStr":"{\"title\":\"Oligodontia Management in a Resource-Limited Setting: Two Case Reports and Review of Literature.\",\"authors\":\"A B Malami, B E Ogbozor, C C Okolo, A O Aborisade, U B Mahmud, A A Abulfathi, Y I Adeyemo\",\"doi\":\"10.1155/crid/5519222\",\"DOIUrl\":null,\"url\":null,\"abstract\":\"<p><p><b>Introduction:</b> Oligodontia represents the developmental absence of six or more teeth, posing significant challenges for masticatory function, speech, and psychosocial well-being. While extensively documented in developed countries, limited reports exist from resource-constrained settings in Africa. This study presents two pediatric cases of oligodontia managed with available resources and analyzes their clinical presentations against current literature. This case report was prepared following the CARE guidelines to ensure methodological rigor and completeness. <b>Cases and Interventions:</b> Case 1, a 10-year-old female with a history of missing anterior teeth from birth, with no associated systemic abnormalities and no contributory family history, but with deranged alkaline phosphatase. To address masticatory function, speech, and esthetic problems, removable partial dentures were fabricated for both jaws. Case 2, a 10-year-old female with a family history of congenitally missing teeth but no other features of syndromic oligodontia, with an associated crown fracture involving the enamel, dentine, and pulp of the maxillary right central incisor, peg-shaped maxillary right lateral incisor, and retained mandibular central incisors. Systemic features of mild acanthosis nigricans, nail abnormalities, and hypohidrosis were observed with deranged alkaline phosphatase. To restore speech and masticatory function, root canal treatment and postretained crown restoration of the maxillary right central incisor and composite resin restoration for the peg-shaped maxillary right lateral incisors and retained lower central incisor teeth were done. <b>Conclusion:</b> Early diagnosis and multidisciplinary management of oligodontia significantly improve functional outcomes and quality of life. Resource limitations necessitated adaptive treatment approaches while maintaining therapeutic efficacy.</p>\",\"PeriodicalId\":46841,\"journal\":{\"name\":\"Case Reports in Dentistry\",\"volume\":\"2025 \",\"pages\":\"5519222\"},\"PeriodicalIF\":0.9000,\"publicationDate\":\"2025-09-16\",\"publicationTypes\":\"Journal Article\",\"fieldsOfStudy\":null,\"isOpenAccess\":false,\"openAccessPdf\":\"https://www.ncbi.nlm.nih.gov/pmc/articles/PMC12457057/pdf/\",\"citationCount\":\"0\",\"resultStr\":null,\"platform\":\"Semanticscholar\",\"paperid\":null,\"PeriodicalName\":\"Case Reports in Dentistry\",\"FirstCategoryId\":\"1085\",\"ListUrlMain\":\"https://doi.org/10.1155/crid/5519222\",\"RegionNum\":0,\"RegionCategory\":null,\"ArticlePicture\":[],\"TitleCN\":null,\"AbstractTextCN\":null,\"PMCID\":null,\"EPubDate\":\"2025/1/1 0:00:00\",\"PubModel\":\"eCollection\",\"JCR\":\"Q4\",\"JCRName\":\"DENTISTRY, ORAL SURGERY & MEDICINE\",\"Score\":null,\"Total\":0}","platform":"Semanticscholar","paperid":null,"PeriodicalName":"Case Reports in Dentistry","FirstCategoryId":"1085","ListUrlMain":"https://doi.org/10.1155/crid/5519222","RegionNum":0,"RegionCategory":null,"ArticlePicture":[],"TitleCN":null,"AbstractTextCN":null,"PMCID":null,"EPubDate":"2025/1/1 0:00:00","PubModel":"eCollection","JCR":"Q4","JCRName":"DENTISTRY, ORAL SURGERY & MEDICINE","Score":null,"Total":0}
引用次数: 0

摘要

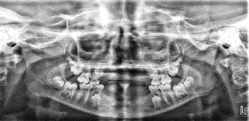
少齿症是发育中缺失6颗或更多牙齿的症状,对咀嚼功能、语言和心理健康构成重大挑战。虽然在发达国家有广泛的记录,但在非洲资源有限的情况下,只有有限的报告。本研究提出了两例小儿少齿症的管理与现有资源,并分析了他们的临床表现对目前的文献。本病例报告是按照CARE指南编写的,以确保方法的严谨性和完整性。病例与干预:病例1,10岁女性,出生时前牙缺失,无相关全身性异常,家族史,但碱性磷酸酶紊乱。为了解决咀嚼功能,语言和美学问题,我们为双颌制造了可移动局部义齿。病例2,一名10岁女性,有先天性缺牙家族史,但无综合征性少齿症的其他特征,并伴有牙冠骨折,包括上颌右中切牙、钉状上颌右侧切牙和下颌中切牙的牙釉质、牙本质和牙髓。用碱性磷酸酶观察轻度黑棘皮病、指甲异常和少汗的全身特征。为恢复语言和咀嚼功能,对上颌右中切牙进行根管治疗和冠后修复,对上颌右侧切牙和下中切牙保留牙进行复合树脂修复。结论:少齿症的早期诊断和多学科治疗可显著改善功能预后和生活质量。资源有限,需要在保持治疗效果的同时采取适应性治疗方法。
本文章由计算机程序翻译,如有差异,请以英文原文为准。

Oligodontia Management in a Resource-Limited Setting: Two Case Reports and Review of Literature.

Oligodontia Management in a Resource-Limited Setting: Two Case Reports and Review of Literature.

Oligodontia Management in a Resource-Limited Setting: Two Case Reports and Review of Literature.

Oligodontia Management in a Resource-Limited Setting: Two Case Reports and Review of Literature.

Introduction: Oligodontia represents the developmental absence of six or more teeth, posing significant challenges for masticatory function, speech, and psychosocial well-being. While extensively documented in developed countries, limited reports exist from resource-constrained settings in Africa. This study presents two pediatric cases of oligodontia managed with available resources and analyzes their clinical presentations against current literature. This case report was prepared following the CARE guidelines to ensure methodological rigor and completeness. Cases and Interventions: Case 1, a 10-year-old female with a history of missing anterior teeth from birth, with no associated systemic abnormalities and no contributory family history, but with deranged alkaline phosphatase. To address masticatory function, speech, and esthetic problems, removable partial dentures were fabricated for both jaws. Case 2, a 10-year-old female with a family history of congenitally missing teeth but no other features of syndromic oligodontia, with an associated crown fracture involving the enamel, dentine, and pulp of the maxillary right central incisor, peg-shaped maxillary right lateral incisor, and retained mandibular central incisors. Systemic features of mild acanthosis nigricans, nail abnormalities, and hypohidrosis were observed with deranged alkaline phosphatase. To restore speech and masticatory function, root canal treatment and postretained crown restoration of the maxillary right central incisor and composite resin restoration for the peg-shaped maxillary right lateral incisors and retained lower central incisor teeth were done. Conclusion: Early diagnosis and multidisciplinary management of oligodontia significantly improve functional outcomes and quality of life. Resource limitations necessitated adaptive treatment approaches while maintaining therapeutic efficacy.

求助全文
通过发布文献求助,成功后即可免费获取论文全文。 去求助
来源期刊
Case Reports in Dentistry
Case Reports in Dentistry DENTISTRY, ORAL SURGERY & MEDICINE-
CiteScore
1.40
自引率
12.50%
发文量
107
审稿时长
14 weeks
期刊介绍: Case Reports in Dentistry is a peer-reviewed, Open Access journal that publishes case reports and case series in all areas of dentistry, including periodontal diseases, dental implants, oral pathology, as well as oral and maxillofacial surgery.
×
引用
GB/T 7714-2015
复制
MLA
复制
APA
复制
导出至
BibTeX EndNote RefMan NoteFirst NoteExpress
×
提示
您的信息不完整,为了账户安全,请先补充。
现在去补充
×
提示
您因"违规操作"
具体请查看互助需知
我知道了
×
提示
确定
请完成安全验证×
copy
已复制链接
快去分享给好友吧!
我知道了
右上角分享
点击右上角分享
0
联系我们:info@booksci.cn Book学术提供免费学术资源搜索服务,方便国内外学者检索中英文文献。致力于提供最便捷和优质的服务体验。 Copyright © 2023 布克学术 All rights reserved.
京ICP备2023020795号-1
ghs 京公网安备 11010802042870号
Book学术文献互助
Book学术文献互助群
群 号:604180095
Book学术官方微信