持续性低输出新生儿乳糜胸:在部分应答者中,我们应该等待多长时间的胸膜切除术?

IF 2.3 3区 医学 Q1 PEDIATRICS
G Rollo, A Zarfati, G Burini, L Valfre, C Iacusso, I Capolupo, B D Iacobelli, P Bagolan, A Conforti, F Fusaro
{"title":"持续性低输出新生儿乳糜胸:在部分应答者中,我们应该等待多长时间的胸膜切除术?","authors":"G Rollo, A Zarfati, G Burini, L Valfre, C Iacusso, I Capolupo, B D Iacobelli, P Bagolan, A Conforti, F Fusaro","doi":"10.1002/ppul.71311","DOIUrl":null,"url":null,"abstract":"<p><strong>Aims: </strong>The aim of our study was to review our experience regarding the management of neonatal chylothorax, with particular focus on outcomes of partial responders.</p><p><strong>Methods: </strong>We conducted a retrospective analysis of neonatal chylothorax cases between January 2015 and December 2023. First-line management included drainage, fasting, parenteral nutrition, and octreotide. Good responders had a drainage output of <2 ml/kg/day after 1 week; partial responders had 2-10 ml/kg/day, and non-responders had >10 ml/kg/day or >100 ml/day for 5 days with complications. Partial responders continued conservative management, while non-responders received second-line treatment with bedside iodopovidone chemical pleurodesis.</p><p><strong>Results: </strong>Thirty-five newborns (15 females, 20 males) were diagnosed with chylothorax, 11 congenital and 24 acquired (18 CDH, 5 esophageal atresia, 1 caval thrombosis). After first-line treatment, 7 (20%) were good responders, 19 (54%) were partial responders, and 9 (26%) were non-responders. Non-responders received iodopovidone pleurodesis, which resolved the condition in all cases (median time to resolution was 4 days). Complications during hospitalization included 8 cases of sepsis (1 fatal), 5 of atelectasis (4 related to pleurodesis), and 4 venous thromboses. Partial responders had significantly more sepsis (p = 0.029) but less atelectasis (p = 0.025) compared to non-responders, with similar resolution times and hospital stays. After a median follow-up of 3 years, there were no recurrences or thyroid dysfunction in the iodopovidone group.</p><p><strong>Conclusions: </strong>First-line conservative management, although initially appropriate, can lead to serious morbidity if prolonged. Timely second-line treatment for partial responders with low-output chylothorax can minimize morbidity and mortality. Bedside chemical pleurodesis with iodopovidone is a safe and effective second-line treatment for refractory neonatal chylothorax.</p>","PeriodicalId":19932,"journal":{"name":"Pediatric Pulmonology","volume":"60 9","pages":"e71311"},"PeriodicalIF":2.3000,"publicationDate":"2025-09-01","publicationTypes":"Journal Article","fieldsOfStudy":null,"isOpenAccess":false,"openAccessPdf":"https://www.ncbi.nlm.nih.gov/pmc/articles/PMC12461794/pdf/","citationCount":"0","resultStr":"{\"title\":\"Persistent Low-Output Neonatal Chylothorax: How Long Are We Justified to Wait for Pleurodesis in Partial Responders?\",\"authors\":\"G Rollo, A Zarfati, G Burini, L Valfre, C Iacusso, I Capolupo, B D Iacobelli, P Bagolan, A Conforti, F Fusaro\",\"doi\":\"10.1002/ppul.71311\",\"DOIUrl\":null,\"url\":null,\"abstract\":\"<p><strong>Aims: </strong>The aim of our study was to review our experience regarding the management of neonatal chylothorax, with particular focus on outcomes of partial responders.</p><p><strong>Methods: </strong>We conducted a retrospective analysis of neonatal chylothorax cases between January 2015 and December 2023. First-line management included drainage, fasting, parenteral nutrition, and octreotide. Good responders had a drainage output of <2 ml/kg/day after 1 week; partial responders had 2-10 ml/kg/day, and non-responders had >10 ml/kg/day or >100 ml/day for 5 days with complications. Partial responders continued conservative management, while non-responders received second-line treatment with bedside iodopovidone chemical pleurodesis.</p><p><strong>Results: </strong>Thirty-five newborns (15 females, 20 males) were diagnosed with chylothorax, 11 congenital and 24 acquired (18 CDH, 5 esophageal atresia, 1 caval thrombosis). After first-line treatment, 7 (20%) were good responders, 19 (54%) were partial responders, and 9 (26%) were non-responders. Non-responders received iodopovidone pleurodesis, which resolved the condition in all cases (median time to resolution was 4 days). Complications during hospitalization included 8 cases of sepsis (1 fatal), 5 of atelectasis (4 related to pleurodesis), and 4 venous thromboses. Partial responders had significantly more sepsis (p = 0.029) but less atelectasis (p = 0.025) compared to non-responders, with similar resolution times and hospital stays. After a median follow-up of 3 years, there were no recurrences or thyroid dysfunction in the iodopovidone group.</p><p><strong>Conclusions: </strong>First-line conservative management, although initially appropriate, can lead to serious morbidity if prolonged. Timely second-line treatment for partial responders with low-output chylothorax can minimize morbidity and mortality. Bedside chemical pleurodesis with iodopovidone is a safe and effective second-line treatment for refractory neonatal chylothorax.</p>\",\"PeriodicalId\":19932,\"journal\":{\"name\":\"Pediatric Pulmonology\",\"volume\":\"60 9\",\"pages\":\"e71311\"},\"PeriodicalIF\":2.3000,\"publicationDate\":\"2025-09-01\",\"publicationTypes\":\"Journal Article\",\"fieldsOfStudy\":null,\"isOpenAccess\":false,\"openAccessPdf\":\"https://www.ncbi.nlm.nih.gov/pmc/articles/PMC12461794/pdf/\",\"citationCount\":\"0\",\"resultStr\":null,\"platform\":\"Semanticscholar\",\"paperid\":null,\"PeriodicalName\":\"Pediatric Pulmonology\",\"FirstCategoryId\":\"3\",\"ListUrlMain\":\"https://doi.org/10.1002/ppul.71311\",\"RegionNum\":3,\"RegionCategory\":\"医学\",\"ArticlePicture\":[],\"TitleCN\":null,\"AbstractTextCN\":null,\"PMCID\":null,\"EPubDate\":\"\",\"PubModel\":\"\",\"JCR\":\"Q1\",\"JCRName\":\"PEDIATRICS\",\"Score\":null,\"Total\":0}","platform":"Semanticscholar","paperid":null,"PeriodicalName":"Pediatric Pulmonology","FirstCategoryId":"3","ListUrlMain":"https://doi.org/10.1002/ppul.71311","RegionNum":3,"RegionCategory":"医学","ArticlePicture":[],"TitleCN":null,"AbstractTextCN":null,"PMCID":null,"EPubDate":"","PubModel":"","JCR":"Q1","JCRName":"PEDIATRICS","Score":null,"Total":0}
引用次数: 0

摘要

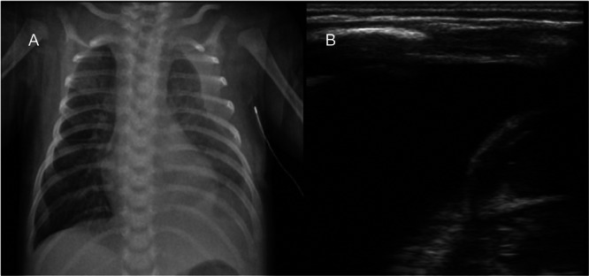
目的:我们研究的目的是回顾我们关于新生儿乳糜胸管理的经验,特别关注部分应答者的结果。方法:回顾性分析2015年1月至2023年12月的新生儿乳糜胸病例。一线治疗包括引流、禁食、肠外营养和奥曲肽。反应良好的患者引流量为10 ml/kg/天或100 ml/天,持续5天,并伴有并发症。部分反应者继续保守治疗,而无反应者接受床边碘聚维酮化学胸膜切除术的二线治疗。结果:新生儿乳糜胸35例(女15例,男20例),其中先天性11例,后天性24例(CDH 18例,食管闭锁5例,腔静脉血栓1例)。一线治疗后,良好缓解者7例(20%),部分缓解者19例(54%),无缓解者9例(26%)。无应答者接受碘泊维酮胸膜融合术,所有病例均得到缓解(平均缓解时间为4天)。住院期间的并发症包括8例败血症(1例死亡),5例肺不张(4例与胸膜萎缩有关),4例静脉血栓形成。与无反应者相比,部分反应者有更多的脓毒症(p = 0.029),但较少的肺不张(p = 0.025),缓解时间和住院时间相似。中位随访3年后,碘伏维酮组无复发或甲状腺功能障碍。结论:一线保守治疗,虽然最初是合适的,但如果延长可能导致严重的发病率。对低输出量乳糜胸部分应答者及时进行二线治疗可降低发病率和死亡率。碘聚维酮床边化学胸膜切除术是治疗难治性新生儿乳糜胸安全有效的二线治疗方法。
本文章由计算机程序翻译,如有差异,请以英文原文为准。

Persistent Low-Output Neonatal Chylothorax: How Long Are We Justified to Wait for Pleurodesis in Partial Responders?

Persistent Low-Output Neonatal Chylothorax: How Long Are We Justified to Wait for Pleurodesis in Partial Responders?

Persistent Low-Output Neonatal Chylothorax: How Long Are We Justified to Wait for Pleurodesis in Partial Responders?

Aims: The aim of our study was to review our experience regarding the management of neonatal chylothorax, with particular focus on outcomes of partial responders.

Methods: We conducted a retrospective analysis of neonatal chylothorax cases between January 2015 and December 2023. First-line management included drainage, fasting, parenteral nutrition, and octreotide. Good responders had a drainage output of <2 ml/kg/day after 1 week; partial responders had 2-10 ml/kg/day, and non-responders had >10 ml/kg/day or >100 ml/day for 5 days with complications. Partial responders continued conservative management, while non-responders received second-line treatment with bedside iodopovidone chemical pleurodesis.

Results: Thirty-five newborns (15 females, 20 males) were diagnosed with chylothorax, 11 congenital and 24 acquired (18 CDH, 5 esophageal atresia, 1 caval thrombosis). After first-line treatment, 7 (20%) were good responders, 19 (54%) were partial responders, and 9 (26%) were non-responders. Non-responders received iodopovidone pleurodesis, which resolved the condition in all cases (median time to resolution was 4 days). Complications during hospitalization included 8 cases of sepsis (1 fatal), 5 of atelectasis (4 related to pleurodesis), and 4 venous thromboses. Partial responders had significantly more sepsis (p = 0.029) but less atelectasis (p = 0.025) compared to non-responders, with similar resolution times and hospital stays. After a median follow-up of 3 years, there were no recurrences or thyroid dysfunction in the iodopovidone group.

Conclusions: First-line conservative management, although initially appropriate, can lead to serious morbidity if prolonged. Timely second-line treatment for partial responders with low-output chylothorax can minimize morbidity and mortality. Bedside chemical pleurodesis with iodopovidone is a safe and effective second-line treatment for refractory neonatal chylothorax.

求助全文
通过发布文献求助,成功后即可免费获取论文全文。 去求助
来源期刊
Pediatric Pulmonology
Pediatric Pulmonology 医学-呼吸系统
CiteScore
6.00
自引率
12.90%
发文量
468
审稿时长
3-8 weeks
期刊介绍: Pediatric Pulmonology (PPUL) is the foremost global journal studying the respiratory system in disease and in health as it develops from intrauterine life though adolescence to adulthood. Combining explicit and informative analysis of clinical as well as basic scientific research, PPUL provides a look at the many facets of respiratory system disorders in infants and children, ranging from pathological anatomy, developmental issues, and pathophysiology to infectious disease, asthma, cystic fibrosis, and airborne toxins. Focused attention is given to the reporting of diagnostic and therapeutic methods for neonates, preschool children, and adolescents, the enduring effects of childhood respiratory diseases, and newly described infectious diseases. PPUL concentrates on subject matters of crucial interest to specialists preparing for the Pediatric Subspecialty Examinations in the United States and other countries. With its attentive coverage and extensive clinical data, this journal is a principle source for pediatricians in practice and in training and a must have for all pediatric pulmonologists.
×
引用
GB/T 7714-2015
复制
MLA
复制
APA
复制
导出至
BibTeX EndNote RefMan NoteFirst NoteExpress
×
提示
您的信息不完整,为了账户安全,请先补充。
现在去补充
×
提示
您因"违规操作"
具体请查看互助需知
我知道了
×
提示
确定
请完成安全验证×
copy
已复制链接
快去分享给好友吧!
我知道了
右上角分享
点击右上角分享
0
联系我们:info@booksci.cn Book学术提供免费学术资源搜索服务,方便国内外学者检索中英文文献。致力于提供最便捷和优质的服务体验。 Copyright © 2023 布克学术 All rights reserved.
京ICP备2023020795号-1
ghs 京公网安备 11010802042870号
Book学术文献互助
Book学术文献互助群
群 号:604180095
Book学术官方微信