小男孩颌骨黄色肉芽肿性骨髓炎1例报告。

IF 3.5 2区 医学 Q2 GENETICS & HEREDITY
Kevin Bloch-Maier, Sophie-Myriam Dridi, Arek Sulukdjian, Anne-Laure Ejeil
{"title":"小男孩颌骨黄色肉芽肿性骨髓炎1例报告。","authors":"Kevin Bloch-Maier, Sophie-Myriam Dridi, Arek Sulukdjian, Anne-Laure Ejeil","doi":"10.1186/s13023-025-04010-w","DOIUrl":null,"url":null,"abstract":"<p><p>Xanthogranulomatous inflammation is a rare chronic inflammatory condition. It has been described in the long bones, and can affect various organs, including the salivary glands, gallbladder, kidneys, and gastrointestinal tract. The diagnosis is made throught histopathology which reveales foamy macrophages alongside polymorphonuclear leukocytes, plasma cells, and polyclonal lymphocytes arranged in a mosaic-like pattern. Here, we present the case of a 16-year-old boy in good general health who was referred by his orthodontist to the oral surgery department at Bretonneau Hospital for an asymptomatic multipartite image of the left mandibular angle that was discovered incidentally on a panoramic radiograph. The clinical examination was unremarkable. Cone beam computed tomography revealed a multipartite osteolytic lesion of the left mandibular angle, but this that was not specific enough for a diagnosis. Magnetic resonance imaging ruled out a vascular malformation. A biopsy revealed xanthogranulomatous osteomyelitis. In summary, this is the second case of xanthogranulomatous osteomyelitis localised to the mandible. This highlights a crucial point : radiological images of xanthogranulomatous osteomyelitis do not allow for a diagnosis; a biopsy is essential to rule out an aggressive or a malignant tumor.</p>","PeriodicalId":19651,"journal":{"name":"Orphanet Journal of Rare Diseases","volume":"20 1","pages":"488"},"PeriodicalIF":3.5000,"publicationDate":"2025-09-24","publicationTypes":"Journal Article","fieldsOfStudy":null,"isOpenAccess":false,"openAccessPdf":"https://www.ncbi.nlm.nih.gov/pmc/articles/PMC12462011/pdf/","citationCount":"0","resultStr":"{\"title\":\"Xanthogranulomatous osteomyelitis of the jaw in a young boy: a case report.\",\"authors\":\"Kevin Bloch-Maier, Sophie-Myriam Dridi, Arek Sulukdjian, Anne-Laure Ejeil\",\"doi\":\"10.1186/s13023-025-04010-w\",\"DOIUrl\":null,\"url\":null,\"abstract\":\"<p><p>Xanthogranulomatous inflammation is a rare chronic inflammatory condition. It has been described in the long bones, and can affect various organs, including the salivary glands, gallbladder, kidneys, and gastrointestinal tract. The diagnosis is made throught histopathology which reveales foamy macrophages alongside polymorphonuclear leukocytes, plasma cells, and polyclonal lymphocytes arranged in a mosaic-like pattern. Here, we present the case of a 16-year-old boy in good general health who was referred by his orthodontist to the oral surgery department at Bretonneau Hospital for an asymptomatic multipartite image of the left mandibular angle that was discovered incidentally on a panoramic radiograph. The clinical examination was unremarkable. Cone beam computed tomography revealed a multipartite osteolytic lesion of the left mandibular angle, but this that was not specific enough for a diagnosis. Magnetic resonance imaging ruled out a vascular malformation. A biopsy revealed xanthogranulomatous osteomyelitis. In summary, this is the second case of xanthogranulomatous osteomyelitis localised to the mandible. This highlights a crucial point : radiological images of xanthogranulomatous osteomyelitis do not allow for a diagnosis; a biopsy is essential to rule out an aggressive or a malignant tumor.</p>\",\"PeriodicalId\":19651,\"journal\":{\"name\":\"Orphanet Journal of Rare Diseases\",\"volume\":\"20 1\",\"pages\":\"488\"},\"PeriodicalIF\":3.5000,\"publicationDate\":\"2025-09-24\",\"publicationTypes\":\"Journal Article\",\"fieldsOfStudy\":null,\"isOpenAccess\":false,\"openAccessPdf\":\"https://www.ncbi.nlm.nih.gov/pmc/articles/PMC12462011/pdf/\",\"citationCount\":\"0\",\"resultStr\":null,\"platform\":\"Semanticscholar\",\"paperid\":null,\"PeriodicalName\":\"Orphanet Journal of Rare Diseases\",\"FirstCategoryId\":\"3\",\"ListUrlMain\":\"https://doi.org/10.1186/s13023-025-04010-w\",\"RegionNum\":2,\"RegionCategory\":\"医学\",\"ArticlePicture\":[],\"TitleCN\":null,\"AbstractTextCN\":null,\"PMCID\":null,\"EPubDate\":\"\",\"PubModel\":\"\",\"JCR\":\"Q2\",\"JCRName\":\"GENETICS & HEREDITY\",\"Score\":null,\"Total\":0}","platform":"Semanticscholar","paperid":null,"PeriodicalName":"Orphanet Journal of Rare Diseases","FirstCategoryId":"3","ListUrlMain":"https://doi.org/10.1186/s13023-025-04010-w","RegionNum":2,"RegionCategory":"医学","ArticlePicture":[],"TitleCN":null,"AbstractTextCN":null,"PMCID":null,"EPubDate":"","PubModel":"","JCR":"Q2","JCRName":"GENETICS & HEREDITY","Score":null,"Total":0}
引用次数: 0

摘要

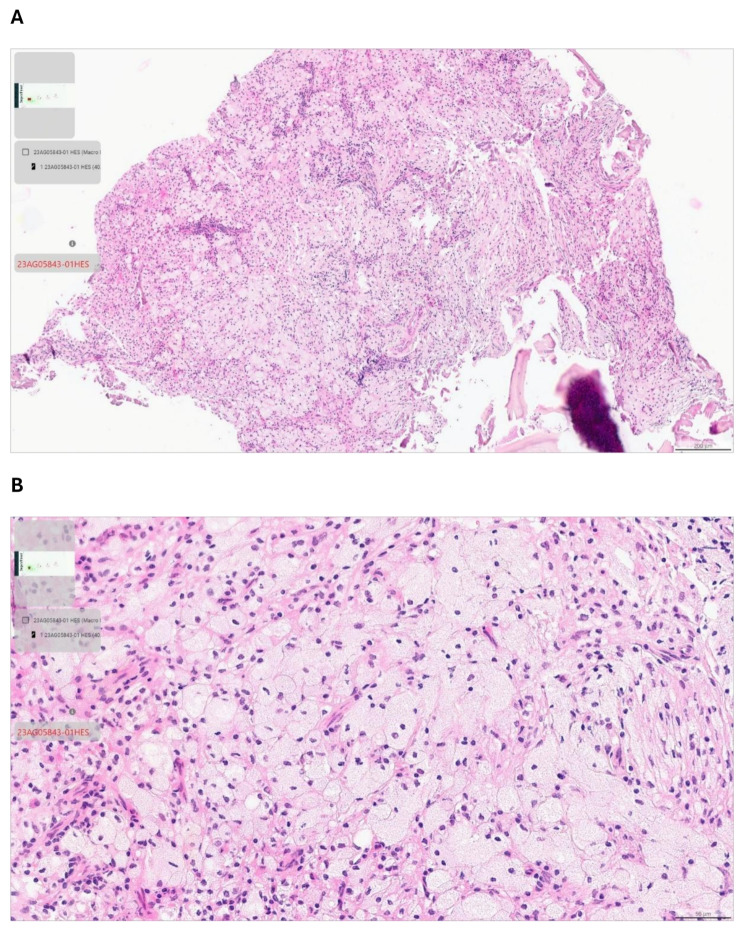
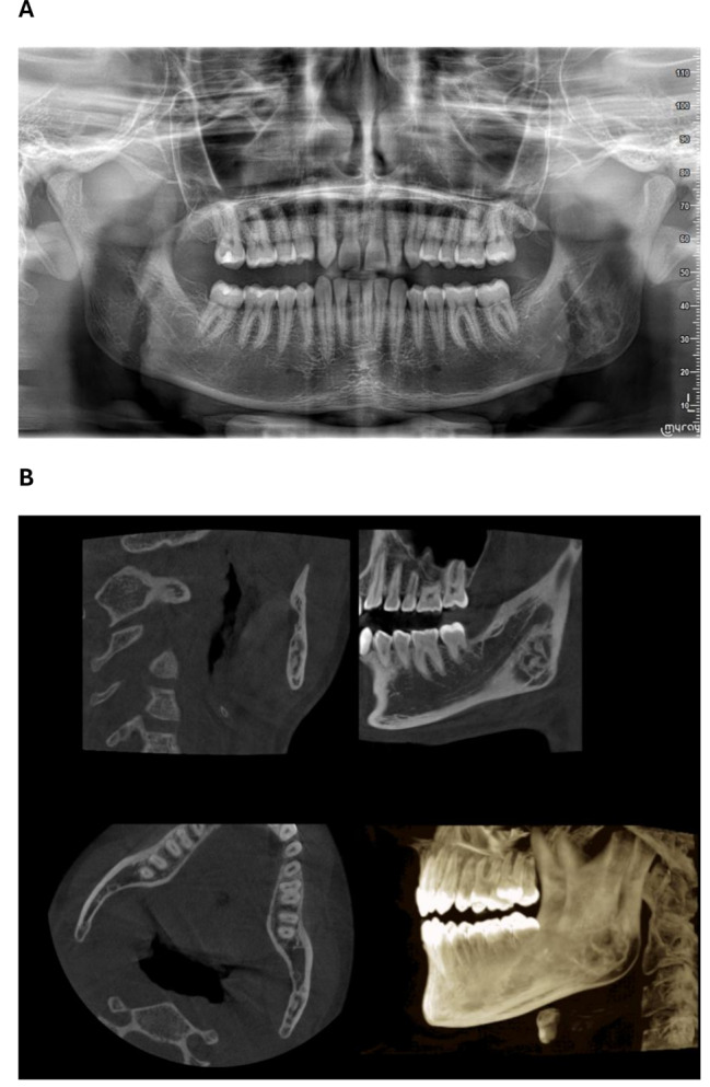
黄色肉芽肿性炎症是一种罕见的慢性炎症。它在长骨中被描述过,并且可以影响各种器官,包括唾液腺、胆囊、肾脏和胃肠道。诊断通过组织病理学显示泡沫巨噬细胞与多形核白细胞,浆细胞和多克隆淋巴细胞排列在马赛克样模式。在这里,我们提出一个16岁的男孩,一般健康状况良好,由他的正畸医生转介到布雷顿诺医院口腔外科,因为在全景x光片上偶然发现了左下颌角的无症状多面像。临床检查无显著差异。锥束计算机断层扫描显示左侧下颌角多部溶骨病变,但这不足以诊断。磁共振成像排除了血管畸形。活检显示黄色肉芽肿性骨髓炎。总之,这是第二例黄色肉芽肿性骨髓炎局部下颌骨。这突出了一个关键点:黄色肉芽肿性骨髓炎的放射图像不允许诊断;活检对于排除侵袭性或恶性肿瘤至关重要。
本文章由计算机程序翻译,如有差异,请以英文原文为准。

Xanthogranulomatous osteomyelitis of the jaw in a young boy: a case report.

Xanthogranulomatous osteomyelitis of the jaw in a young boy: a case report.

Xanthogranulomatous osteomyelitis of the jaw in a young boy: a case report.

Xanthogranulomatous osteomyelitis of the jaw in a young boy: a case report.

Xanthogranulomatous inflammation is a rare chronic inflammatory condition. It has been described in the long bones, and can affect various organs, including the salivary glands, gallbladder, kidneys, and gastrointestinal tract. The diagnosis is made throught histopathology which reveales foamy macrophages alongside polymorphonuclear leukocytes, plasma cells, and polyclonal lymphocytes arranged in a mosaic-like pattern. Here, we present the case of a 16-year-old boy in good general health who was referred by his orthodontist to the oral surgery department at Bretonneau Hospital for an asymptomatic multipartite image of the left mandibular angle that was discovered incidentally on a panoramic radiograph. The clinical examination was unremarkable. Cone beam computed tomography revealed a multipartite osteolytic lesion of the left mandibular angle, but this that was not specific enough for a diagnosis. Magnetic resonance imaging ruled out a vascular malformation. A biopsy revealed xanthogranulomatous osteomyelitis. In summary, this is the second case of xanthogranulomatous osteomyelitis localised to the mandible. This highlights a crucial point : radiological images of xanthogranulomatous osteomyelitis do not allow for a diagnosis; a biopsy is essential to rule out an aggressive or a malignant tumor.

求助全文
通过发布文献求助,成功后即可免费获取论文全文。 去求助
来源期刊
Orphanet Journal of Rare Diseases
Orphanet Journal of Rare Diseases 医学-医学:研究与实验
CiteScore
6.30
自引率
8.10%
发文量
418
审稿时长
4-8 weeks
期刊介绍: Orphanet Journal of Rare Diseases is an open access, peer-reviewed journal that encompasses all aspects of rare diseases and orphan drugs. The journal publishes high-quality reviews on specific rare diseases. In addition, the journal may consider articles on clinical trial outcome reports, either positive or negative, and articles on public health issues in the field of rare diseases and orphan drugs. The journal does not accept case reports.
×
引用
GB/T 7714-2015
复制
MLA
复制
APA
复制
导出至
BibTeX EndNote RefMan NoteFirst NoteExpress
×
提示
您的信息不完整,为了账户安全,请先补充。
现在去补充
×
提示
您因"违规操作"
具体请查看互助需知
我知道了
×
提示
确定
请完成安全验证×
copy
已复制链接
快去分享给好友吧!
我知道了
右上角分享
点击右上角分享
0
联系我们:info@booksci.cn Book学术提供免费学术资源搜索服务,方便国内外学者检索中英文文献。致力于提供最便捷和优质的服务体验。 Copyright © 2023 布克学术 All rights reserved.
京ICP备2023020795号-1
ghs 京公网安备 11010802042870号
Book学术文献互助
Book学术文献互助群
群 号:604180095
Book学术官方微信
小红书