超声造影与生理造影剂在酒精性室间隔消融术中的应用。

IF 2.8 3区 医学 Q2 CARDIAC & CARDIOVASCULAR SYSTEMS
Frontiers in Cardiovascular Medicine Pub Date : 2025-09-09 eCollection Date: 2025-01-01 DOI:10.3389/fcvm.2025.1634818
Erdogan Ilkay, Yasemin Saglam, Ersin Saricam, Bilge Duran Karaduman, Fehmi Kacmaz, Aysel Yakici, Cigdem Koca, Melike Polat, Zeynep Seyma Turinay, Mehmet Akif Erdol
{"title":"超声造影与生理造影剂在酒精性室间隔消融术中的应用。","authors":"Erdogan Ilkay, Yasemin Saglam, Ersin Saricam, Bilge Duran Karaduman, Fehmi Kacmaz, Aysel Yakici, Cigdem Koca, Melike Polat, Zeynep Seyma Turinay, Mehmet Akif Erdol","doi":"10.3389/fcvm.2025.1634818","DOIUrl":null,"url":null,"abstract":"<p><strong>Purpose: </strong>Myocardial contrast echocardiography in alcohol septal ablation (ASA) is critical prior to alcohol injection into the target septal artery branch. However, current contrast agents are expensive, carry the risk of anaphylaxis reaction, and are widely unavailable. Against this background, in this study, we introduce a practical solution for the assessment of target septal arteries by using physiological, practical, and safer intracoronary injections.</p><p><strong>Methods: </strong>This study included 14 patients (8 females, 6 males), with symptomatic hypertrophic obstructive cardiomyopathy who underwent ASA between the years 2017 and 2025. Because of the unavailability and the high cost of contrast agents in our country, we used practical physiological agents, which comprised a cocktail fluid (agitated 5 mL of saline plus 0.5 mL blood of the patient). We injected ethanol (absolute alcohol 96%-99%) into the target perforatory artery using transesophageal echocardiography (TEE) in a step-by-step manner to observe a reduction in mitral regurgitation and QT prolongation at electrocardiographic monitorization (initially, 0.5 mL alcohol, then by increasing the dosage up to 3 mL).</p><p><strong>Results: </strong>We clearly obtained a good myocardial opacification of the interventricular basal septum border with our cocktail contrast agent. Furthermore, we used TEE in the ASA procedure, unlike other researchers who reported on this procedure. No arrhythmias and allergic reactions were recorded during the administration of the contrast agent. The mean dose of alcohol administered during ASA was 2.1 ± 0.7 mL. The procedural rate of success was highest (100%). We assessed the effectiveness of the treatment in terms of a reduction of the peak left ventricular outflow tract gradient and the disappearance of severe mitral regurgitation with a significantly systolic anterior motion.</p><p><strong>Conclusions: </strong>The use of a physiological cocktail fluid in TEE exemplifies the use of a practical, alternative myocardial contrast agent for alcohol septal ablation.</p>","PeriodicalId":12414,"journal":{"name":"Frontiers in Cardiovascular Medicine","volume":"12 ","pages":"1634818"},"PeriodicalIF":2.8000,"publicationDate":"2025-09-09","publicationTypes":"Journal Article","fieldsOfStudy":null,"isOpenAccess":false,"openAccessPdf":"https://www.ncbi.nlm.nih.gov/pmc/articles/PMC12454413/pdf/","citationCount":"0","resultStr":"{\"title\":\"Contrast echocardiography with a physiological contrast agent for alcohol septal ablation.\",\"authors\":\"Erdogan Ilkay, Yasemin Saglam, Ersin Saricam, Bilge Duran Karaduman, Fehmi Kacmaz, Aysel Yakici, Cigdem Koca, Melike Polat, Zeynep Seyma Turinay, Mehmet Akif Erdol\",\"doi\":\"10.3389/fcvm.2025.1634818\",\"DOIUrl\":null,\"url\":null,\"abstract\":\"<p><strong>Purpose: </strong>Myocardial contrast echocardiography in alcohol septal ablation (ASA) is critical prior to alcohol injection into the target septal artery branch. However, current contrast agents are expensive, carry the risk of anaphylaxis reaction, and are widely unavailable. Against this background, in this study, we introduce a practical solution for the assessment of target septal arteries by using physiological, practical, and safer intracoronary injections.</p><p><strong>Methods: </strong>This study included 14 patients (8 females, 6 males), with symptomatic hypertrophic obstructive cardiomyopathy who underwent ASA between the years 2017 and 2025. Because of the unavailability and the high cost of contrast agents in our country, we used practical physiological agents, which comprised a cocktail fluid (agitated 5 mL of saline plus 0.5 mL blood of the patient). We injected ethanol (absolute alcohol 96%-99%) into the target perforatory artery using transesophageal echocardiography (TEE) in a step-by-step manner to observe a reduction in mitral regurgitation and QT prolongation at electrocardiographic monitorization (initially, 0.5 mL alcohol, then by increasing the dosage up to 3 mL).</p><p><strong>Results: </strong>We clearly obtained a good myocardial opacification of the interventricular basal septum border with our cocktail contrast agent. Furthermore, we used TEE in the ASA procedure, unlike other researchers who reported on this procedure. No arrhythmias and allergic reactions were recorded during the administration of the contrast agent. The mean dose of alcohol administered during ASA was 2.1 ± 0.7 mL. The procedural rate of success was highest (100%). We assessed the effectiveness of the treatment in terms of a reduction of the peak left ventricular outflow tract gradient and the disappearance of severe mitral regurgitation with a significantly systolic anterior motion.</p><p><strong>Conclusions: </strong>The use of a physiological cocktail fluid in TEE exemplifies the use of a practical, alternative myocardial contrast agent for alcohol septal ablation.</p>\",\"PeriodicalId\":12414,\"journal\":{\"name\":\"Frontiers in Cardiovascular Medicine\",\"volume\":\"12 \",\"pages\":\"1634818\"},\"PeriodicalIF\":2.8000,\"publicationDate\":\"2025-09-09\",\"publicationTypes\":\"Journal Article\",\"fieldsOfStudy\":null,\"isOpenAccess\":false,\"openAccessPdf\":\"https://www.ncbi.nlm.nih.gov/pmc/articles/PMC12454413/pdf/\",\"citationCount\":\"0\",\"resultStr\":null,\"platform\":\"Semanticscholar\",\"paperid\":null,\"PeriodicalName\":\"Frontiers in Cardiovascular Medicine\",\"FirstCategoryId\":\"3\",\"ListUrlMain\":\"https://doi.org/10.3389/fcvm.2025.1634818\",\"RegionNum\":3,\"RegionCategory\":\"医学\",\"ArticlePicture\":[],\"TitleCN\":null,\"AbstractTextCN\":null,\"PMCID\":null,\"EPubDate\":\"2025/1/1 0:00:00\",\"PubModel\":\"eCollection\",\"JCR\":\"Q2\",\"JCRName\":\"CARDIAC & CARDIOVASCULAR SYSTEMS\",\"Score\":null,\"Total\":0}","platform":"Semanticscholar","paperid":null,"PeriodicalName":"Frontiers in Cardiovascular Medicine","FirstCategoryId":"3","ListUrlMain":"https://doi.org/10.3389/fcvm.2025.1634818","RegionNum":3,"RegionCategory":"医学","ArticlePicture":[],"TitleCN":null,"AbstractTextCN":null,"PMCID":null,"EPubDate":"2025/1/1 0:00:00","PubModel":"eCollection","JCR":"Q2","JCRName":"CARDIAC & CARDIOVASCULAR SYSTEMS","Score":null,"Total":0}
引用次数: 0

摘要

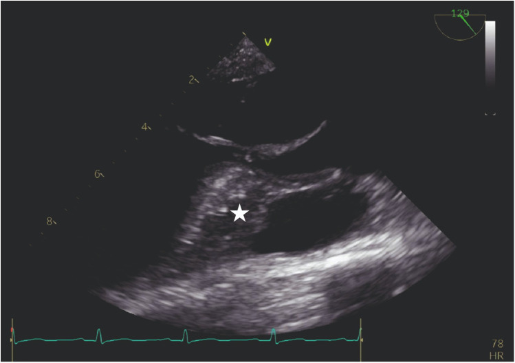
目的:酒精性室间隔消融术(ASA)的心肌超声造影术在向目标室间隔动脉分支注射酒精之前是至关重要的。然而,目前的对比剂价格昂贵,有过敏反应的风险,而且广泛使用。在此背景下,在本研究中,我们介绍了一种实用的解决方案,通过使用生理、实用和更安全的冠状动脉内注射来评估目标间隔动脉。方法:本研究纳入了14例2017年至2025年间接受ASA治疗的症状性肥厚性阻塞性心肌病患者(8名女性,6名男性)。由于对比剂在我国的不可获得性和高成本,我们使用了实用的生理剂,包括鸡尾酒液(搅拌5ml生理盐水加0.5 mL患者血液)。我们使用经食管超声心动图(TEE)逐步将乙醇(无水酒精96%-99%)注射到目标穿孔动脉中,观察心电图监测二尖瓣反流减少和QT延长(最初为0.5 mL酒精,然后增加剂量至3ml)。结果:我们使用混合造影剂清晰地获得了室间隔边界良好的心肌混浊。此外,我们在ASA程序中使用TEE,不像其他研究人员报道该程序。在使用造影剂期间无心律失常和过敏反应记录。ASA期间给予酒精的平均剂量为2.1±0.7 mL。手术成功率最高(100%)。我们根据左心室流出道梯度峰值的降低和伴有明显收缩前运动的严重二尖瓣反流的消失来评估治疗的有效性。结论:在TEE中使用生理鸡尾酒液是一种实用的、可替代的心肌造影剂用于酒精性室间隔消融的例证。
本文章由计算机程序翻译,如有差异,请以英文原文为准。

Contrast echocardiography with a physiological contrast agent for alcohol septal ablation.

Contrast echocardiography with a physiological contrast agent for alcohol septal ablation.

Contrast echocardiography with a physiological contrast agent for alcohol septal ablation.

Contrast echocardiography with a physiological contrast agent for alcohol septal ablation.

Purpose: Myocardial contrast echocardiography in alcohol septal ablation (ASA) is critical prior to alcohol injection into the target septal artery branch. However, current contrast agents are expensive, carry the risk of anaphylaxis reaction, and are widely unavailable. Against this background, in this study, we introduce a practical solution for the assessment of target septal arteries by using physiological, practical, and safer intracoronary injections.

Methods: This study included 14 patients (8 females, 6 males), with symptomatic hypertrophic obstructive cardiomyopathy who underwent ASA between the years 2017 and 2025. Because of the unavailability and the high cost of contrast agents in our country, we used practical physiological agents, which comprised a cocktail fluid (agitated 5 mL of saline plus 0.5 mL blood of the patient). We injected ethanol (absolute alcohol 96%-99%) into the target perforatory artery using transesophageal echocardiography (TEE) in a step-by-step manner to observe a reduction in mitral regurgitation and QT prolongation at electrocardiographic monitorization (initially, 0.5 mL alcohol, then by increasing the dosage up to 3 mL).

Results: We clearly obtained a good myocardial opacification of the interventricular basal septum border with our cocktail contrast agent. Furthermore, we used TEE in the ASA procedure, unlike other researchers who reported on this procedure. No arrhythmias and allergic reactions were recorded during the administration of the contrast agent. The mean dose of alcohol administered during ASA was 2.1 ± 0.7 mL. The procedural rate of success was highest (100%). We assessed the effectiveness of the treatment in terms of a reduction of the peak left ventricular outflow tract gradient and the disappearance of severe mitral regurgitation with a significantly systolic anterior motion.

Conclusions: The use of a physiological cocktail fluid in TEE exemplifies the use of a practical, alternative myocardial contrast agent for alcohol septal ablation.

求助全文
通过发布文献求助,成功后即可免费获取论文全文。 去求助
来源期刊
Frontiers in Cardiovascular Medicine
Frontiers in Cardiovascular Medicine Medicine-Cardiology and Cardiovascular Medicine
CiteScore
3.80
自引率
11.10%
发文量
3529
审稿时长
14 weeks
期刊介绍: Frontiers? Which frontiers? Where exactly are the frontiers of cardiovascular medicine? And who should be defining these frontiers? At Frontiers in Cardiovascular Medicine we believe it is worth being curious to foresee and explore beyond the current frontiers. In other words, we would like, through the articles published by our community journal Frontiers in Cardiovascular Medicine, to anticipate the future of cardiovascular medicine, and thus better prevent cardiovascular disorders and improve therapeutic options and outcomes of our patients.
×
引用
GB/T 7714-2015
复制
MLA
复制
APA
复制
导出至
BibTeX EndNote RefMan NoteFirst NoteExpress
×
提示
您的信息不完整,为了账户安全,请先补充。
现在去补充
×
提示
您因"违规操作"
具体请查看互助需知
我知道了
×
提示
确定
请完成安全验证×
copy
已复制链接
快去分享给好友吧!
我知道了
右上角分享
点击右上角分享
0
联系我们:info@booksci.cn Book学术提供免费学术资源搜索服务,方便国内外学者检索中英文文献。致力于提供最便捷和优质的服务体验。 Copyright © 2023 布克学术 All rights reserved.
京ICP备2023020795号-1
ghs 京公网安备 11010802042870号
Book学术文献互助
Book学术文献互助群
群 号:604180095
Book学术官方微信