成人弥漫性胶质瘤基因分型的扩散加权成像、扩散峰度成像和体素内不相干运动的全肿瘤直方图分析。

IF 3.5 2区 医学 Q2 ONCOLOGY
Xiefeng Yang, Yu Lin, Yan Su, Lan Yu, Feng Wang, Xingfu Wang, Zhen Xing, Dairong Cao
{"title":"成人弥漫性胶质瘤基因分型的扩散加权成像、扩散峰度成像和体素内不相干运动的全肿瘤直方图分析。","authors":"Xiefeng Yang, Yu Lin, Yan Su, Lan Yu, Feng Wang, Xingfu Wang, Zhen Xing, Dairong Cao","doi":"10.1186/s40644-025-00931-8","DOIUrl":null,"url":null,"abstract":"<p><strong>Purpose: </strong>To evaluate the effectiveness of histogram features from conventional diffusion weighted imaging (DWI), diffusion kurtosis imaging (DKI) and intravoxel incoherent motion (IVIM) parameters in predicting the status of glioma IDH mutation and 1p/19q codeletion based on the 2021 WHO classification of central nervous system tumors.</p><p><strong>Methods and materials: </strong>A total of 422 participants who had DWI, DKI, and IVIM were enrolled between January 2020 and March 2024. The histogram characteristics of ADC, diffusional kurtosis(K), diffusion coefficient (Dk), pseudo-diffusion coefficient(D*), pure diffusion coefficient(D), perfusion fraction(f) in the solid component of tumors were calculated. Groups were compared by IDH genotype and 1p/19q codeletion status, utilizing logistic regression analysis and receiver operating characteristic curve to evaluate the differential diagnostic performance in predicting IDH and 1p/19q genotypes.</p><p><strong>Results: </strong>Significant differences were observed in thirty-nine histogram-based features of diffusion parameters between IDH mutant gliomas and IDH wildtype glioblastoma. In IDH mutant gliomas, significant differences were found in thirty-six histogram-based features of DWI, DKI and IVIM parameters between those with and without 1p/19q codeletion. The IVIM model and the combined model showed superior diagnostic performance compared to the DWI model in terms of AUCs for predicting IDH mutations (0.903, 0.913 and 0.807, respectively p < 0.05), and 1p/19q codeletion in IDH mutant gliomas (0.825, 0.855, and 0.769, respectively; p < 0.05). Correlations between Ki-67 and the mean values of ADC, Dk, K, D, D*, and f were significant, with correlation coefficients from - 0.17 to 0.36 (all p < 0.05).</p><p><strong>Conclusion: </strong>The prediction of IDH mutation status in adult diffuse glioma and the 1p/19q codeletion status in IDH mutant glioma could be improved through histogram features of IVIM-derived parameters and the combined model.</p>","PeriodicalId":9548,"journal":{"name":"Cancer Imaging","volume":"25 1","pages":"111"},"PeriodicalIF":3.5000,"publicationDate":"2025-09-24","publicationTypes":"Journal Article","fieldsOfStudy":null,"isOpenAccess":false,"openAccessPdf":"https://www.ncbi.nlm.nih.gov/pmc/articles/PMC12462250/pdf/","citationCount":"0","resultStr":"{\"title\":\"Whole-tumor histogram analysis of diffusion weighted imaging, diffusion kurtosis imaging, and intravoxel incoherent motion for adult diffuse glioma genotyping.\",\"authors\":\"Xiefeng Yang, Yu Lin, Yan Su, Lan Yu, Feng Wang, Xingfu Wang, Zhen Xing, Dairong Cao\",\"doi\":\"10.1186/s40644-025-00931-8\",\"DOIUrl\":null,\"url\":null,\"abstract\":\"<p><strong>Purpose: </strong>To evaluate the effectiveness of histogram features from conventional diffusion weighted imaging (DWI), diffusion kurtosis imaging (DKI) and intravoxel incoherent motion (IVIM) parameters in predicting the status of glioma IDH mutation and 1p/19q codeletion based on the 2021 WHO classification of central nervous system tumors.</p><p><strong>Methods and materials: </strong>A total of 422 participants who had DWI, DKI, and IVIM were enrolled between January 2020 and March 2024. The histogram characteristics of ADC, diffusional kurtosis(K), diffusion coefficient (Dk), pseudo-diffusion coefficient(D*), pure diffusion coefficient(D), perfusion fraction(f) in the solid component of tumors were calculated. Groups were compared by IDH genotype and 1p/19q codeletion status, utilizing logistic regression analysis and receiver operating characteristic curve to evaluate the differential diagnostic performance in predicting IDH and 1p/19q genotypes.</p><p><strong>Results: </strong>Significant differences were observed in thirty-nine histogram-based features of diffusion parameters between IDH mutant gliomas and IDH wildtype glioblastoma. In IDH mutant gliomas, significant differences were found in thirty-six histogram-based features of DWI, DKI and IVIM parameters between those with and without 1p/19q codeletion. The IVIM model and the combined model showed superior diagnostic performance compared to the DWI model in terms of AUCs for predicting IDH mutations (0.903, 0.913 and 0.807, respectively p < 0.05), and 1p/19q codeletion in IDH mutant gliomas (0.825, 0.855, and 0.769, respectively; p < 0.05). Correlations between Ki-67 and the mean values of ADC, Dk, K, D, D*, and f were significant, with correlation coefficients from - 0.17 to 0.36 (all p < 0.05).</p><p><strong>Conclusion: </strong>The prediction of IDH mutation status in adult diffuse glioma and the 1p/19q codeletion status in IDH mutant glioma could be improved through histogram features of IVIM-derived parameters and the combined model.</p>\",\"PeriodicalId\":9548,\"journal\":{\"name\":\"Cancer Imaging\",\"volume\":\"25 1\",\"pages\":\"111\"},\"PeriodicalIF\":3.5000,\"publicationDate\":\"2025-09-24\",\"publicationTypes\":\"Journal Article\",\"fieldsOfStudy\":null,\"isOpenAccess\":false,\"openAccessPdf\":\"https://www.ncbi.nlm.nih.gov/pmc/articles/PMC12462250/pdf/\",\"citationCount\":\"0\",\"resultStr\":null,\"platform\":\"Semanticscholar\",\"paperid\":null,\"PeriodicalName\":\"Cancer Imaging\",\"FirstCategoryId\":\"3\",\"ListUrlMain\":\"https://doi.org/10.1186/s40644-025-00931-8\",\"RegionNum\":2,\"RegionCategory\":\"医学\",\"ArticlePicture\":[],\"TitleCN\":null,\"AbstractTextCN\":null,\"PMCID\":null,\"EPubDate\":\"\",\"PubModel\":\"\",\"JCR\":\"Q2\",\"JCRName\":\"ONCOLOGY\",\"Score\":null,\"Total\":0}","platform":"Semanticscholar","paperid":null,"PeriodicalName":"Cancer Imaging","FirstCategoryId":"3","ListUrlMain":"https://doi.org/10.1186/s40644-025-00931-8","RegionNum":2,"RegionCategory":"医学","ArticlePicture":[],"TitleCN":null,"AbstractTextCN":null,"PMCID":null,"EPubDate":"","PubModel":"","JCR":"Q2","JCRName":"ONCOLOGY","Score":null,"Total":0}
引用次数: 0

摘要

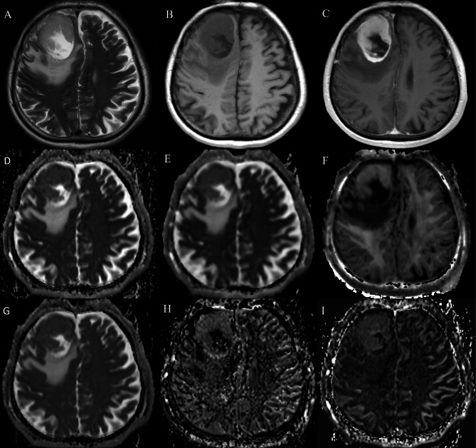
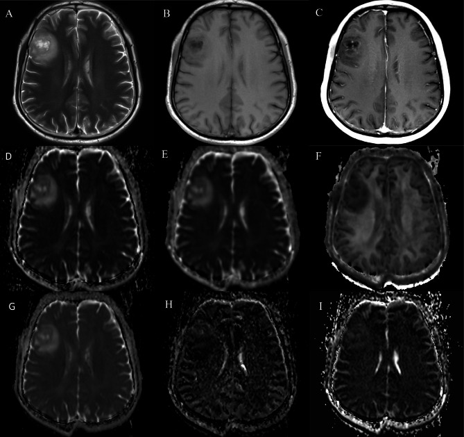
目的:基于2021年WHO中枢神经系统肿瘤分类,评价常规弥散加权成像(DWI)、弥散峭度成像(DKI)和体素内不相干运动(IVIM)参数的直方图特征预测胶质瘤IDH突变和1p/19q编码状态的有效性。方法和材料:在2020年1月至2024年3月期间,共有422名患有DWI, DKI和IVIM的参与者入组。计算肿瘤实体成分中ADC、扩散峰度(K)、扩散系数(Dk)、伪扩散系数(D*)、纯扩散系数(D)、灌注分数(f)的直方图特征。比较各组IDH基因型和1p/19q基因型的差异,采用logistic回归分析和受试者工作特征曲线评价IDH和1p/19q基因型的差异诊断效果。结果:IDH突变型胶质瘤与IDH野生型胶质瘤在弥散参数的39个直方图特征上存在显著差异。在IDH突变型胶质瘤中,存在和不存在1p/19q编码的患者在36个基于直方图的DWI、DKI和IVIM参数特征上存在显著差异。在预测IDH突变的auc方面,IVIM模型和联合模型的诊断性能优于DWI模型(分别为0.903、0.913和0.807)。结论:通过IVIM衍生参数的直直图特征和联合模型可以提高对成人弥散性胶质瘤中IDH突变状态和IDH突变胶质瘤中1p/19q编码状态的预测。
本文章由计算机程序翻译,如有差异,请以英文原文为准。

Whole-tumor histogram analysis of diffusion weighted imaging, diffusion kurtosis imaging, and intravoxel incoherent motion for adult diffuse glioma genotyping.

Whole-tumor histogram analysis of diffusion weighted imaging, diffusion kurtosis imaging, and intravoxel incoherent motion for adult diffuse glioma genotyping.

Whole-tumor histogram analysis of diffusion weighted imaging, diffusion kurtosis imaging, and intravoxel incoherent motion for adult diffuse glioma genotyping.

Whole-tumor histogram analysis of diffusion weighted imaging, diffusion kurtosis imaging, and intravoxel incoherent motion for adult diffuse glioma genotyping.

Purpose: To evaluate the effectiveness of histogram features from conventional diffusion weighted imaging (DWI), diffusion kurtosis imaging (DKI) and intravoxel incoherent motion (IVIM) parameters in predicting the status of glioma IDH mutation and 1p/19q codeletion based on the 2021 WHO classification of central nervous system tumors.

Methods and materials: A total of 422 participants who had DWI, DKI, and IVIM were enrolled between January 2020 and March 2024. The histogram characteristics of ADC, diffusional kurtosis(K), diffusion coefficient (Dk), pseudo-diffusion coefficient(D*), pure diffusion coefficient(D), perfusion fraction(f) in the solid component of tumors were calculated. Groups were compared by IDH genotype and 1p/19q codeletion status, utilizing logistic regression analysis and receiver operating characteristic curve to evaluate the differential diagnostic performance in predicting IDH and 1p/19q genotypes.

Results: Significant differences were observed in thirty-nine histogram-based features of diffusion parameters between IDH mutant gliomas and IDH wildtype glioblastoma. In IDH mutant gliomas, significant differences were found in thirty-six histogram-based features of DWI, DKI and IVIM parameters between those with and without 1p/19q codeletion. The IVIM model and the combined model showed superior diagnostic performance compared to the DWI model in terms of AUCs for predicting IDH mutations (0.903, 0.913 and 0.807, respectively p < 0.05), and 1p/19q codeletion in IDH mutant gliomas (0.825, 0.855, and 0.769, respectively; p < 0.05). Correlations between Ki-67 and the mean values of ADC, Dk, K, D, D*, and f were significant, with correlation coefficients from - 0.17 to 0.36 (all p < 0.05).

Conclusion: The prediction of IDH mutation status in adult diffuse glioma and the 1p/19q codeletion status in IDH mutant glioma could be improved through histogram features of IVIM-derived parameters and the combined model.

求助全文
通过发布文献求助,成功后即可免费获取论文全文。 去求助
来源期刊
Cancer Imaging
Cancer Imaging ONCOLOGY-RADIOLOGY, NUCLEAR MEDICINE & MEDICAL IMAGING
CiteScore
7.00
自引率
0.00%
发文量
66
审稿时长
>12 weeks
期刊介绍: Cancer Imaging is an open access, peer-reviewed journal publishing original articles, reviews and editorials written by expert international radiologists working in oncology. The journal encompasses CT, MR, PET, ultrasound, radionuclide and multimodal imaging in all kinds of malignant tumours, plus new developments, techniques and innovations. Topics of interest include: Breast Imaging Chest Complications of treatment Ear, Nose & Throat Gastrointestinal Hepatobiliary & Pancreatic Imaging biomarkers Interventional Lymphoma Measurement of tumour response Molecular functional imaging Musculoskeletal Neuro oncology Nuclear Medicine Paediatric.
×
引用
GB/T 7714-2015
复制
MLA
复制
APA
复制
导出至
BibTeX EndNote RefMan NoteFirst NoteExpress
×
提示
您的信息不完整,为了账户安全,请先补充。
现在去补充
×
提示
您因"违规操作"
具体请查看互助需知
我知道了
×
提示
确定
请完成安全验证×
copy
已复制链接
快去分享给好友吧!
我知道了
右上角分享
点击右上角分享
0
联系我们:info@booksci.cn Book学术提供免费学术资源搜索服务,方便国内外学者检索中英文文献。致力于提供最便捷和优质的服务体验。 Copyright © 2023 布克学术 All rights reserved.
京ICP备2023020795号-1
ghs 京公网安备 11010802042870号
Book学术文献互助
Book学术文献互助群
群 号:604180095
Book学术官方微信