贫白细胞与富白细胞富血小板血浆治疗兔膝骨性关节炎的疗效比较及自噬机制的研究。

IF 2.4 3区 医学 Q2 ORTHOPEDICS
Li Sun, Yaomin Wang, Kefan Zhang, Xinlong Chen, Hui Shi
{"title":"贫白细胞与富白细胞富血小板血浆治疗兔膝骨性关节炎的疗效比较及自噬机制的研究。","authors":"Li Sun, Yaomin Wang, Kefan Zhang, Xinlong Chen, Hui Shi","doi":"10.1186/s12891-025-08906-3","DOIUrl":null,"url":null,"abstract":"<p><p>Osteoarthritis of the knee (KOA) is a degenerative disease characterized by the deterioration, destruction, and proliferation of articular cartilage and synovium. Autophagy, a crucial intracellular homeostatic mechanism, significantly contributes to the pathogenesis of OA. Platelet-rich plasma (PRP), derived from autologous blood, contains a high concentration of platelets that secrete various growth factors, promoting the regeneration and repair of joint structures. In this experiment, we compared leukocyte-rich platelet-rich plasma (LR-PRP) with leukocyte-poor platelet-rich plasma (LP-PRP) in a rabbit osteoarthritis model induced by papain to investigate the therapeutic efficacy and mechanism of action of platelet-rich plasma on osteoarthritis. Additionally, we analyzed whether different leukocyte concentrations in platelet-rich plasma would affect the treatment outcomes. Papain was injected into the knee joints of 32 rabbits to induce osteoarthritis, and the animals were cultured until bone maturity. LP-PRP and LR-PRP were prepared using different centrifugation methods and injected into the knee joint cavity. Eight weeks after the injection, various analyses were performed on the rabbit knee joint synovium and cartilage. These included HE staining, immunohistochemistry for PI3K, AKT, mTOR, LC3-II, MMP-13, toluidine blue staining, and ELISA for IL-1β and TNF-α in joint fluid. The synovial membrane was scored using the Krenn score, and cartilage was evaluated with the Mankin pathology score. Quantitative analysis of immunohistochemistry was conducted using ImageJ image processing software. The rabbit osteoarthritis model was successfully established by injecting papain into the knee joint cavity. All indices showed significant differences between the model group and the control group (P < 0.05). Both LP-PRP and LR-PRP exhibited therapeutic effects compared to the model group (P < 0.05). The concentrations of IL-1β and TNF-α in the LP-PRP group were significantly lower than those in the LR-PRP group (P < 0.05). However, no significant differences were observed in the morphology of the synovial membrane, cartilage, and other indices between the LR-PRP and LP-PRP groups (P > 0.05).</p>","PeriodicalId":9189,"journal":{"name":"BMC Musculoskeletal Disorders","volume":"26 1","pages":"857"},"PeriodicalIF":2.4000,"publicationDate":"2025-09-24","publicationTypes":"Journal Article","fieldsOfStudy":null,"isOpenAccess":false,"openAccessPdf":"https://www.ncbi.nlm.nih.gov/pmc/articles/PMC12461960/pdf/","citationCount":"0","resultStr":"{\"title\":\"Comparison of the therapeutic efficacy of leukocyte-poor and leukocyte-rich platelet-rich plasma in rabbit knee osteoarthritis and the study of autophagy mechanism.\",\"authors\":\"Li Sun, Yaomin Wang, Kefan Zhang, Xinlong Chen, Hui Shi\",\"doi\":\"10.1186/s12891-025-08906-3\",\"DOIUrl\":null,\"url\":null,\"abstract\":\"<p><p>Osteoarthritis of the knee (KOA) is a degenerative disease characterized by the deterioration, destruction, and proliferation of articular cartilage and synovium. Autophagy, a crucial intracellular homeostatic mechanism, significantly contributes to the pathogenesis of OA. Platelet-rich plasma (PRP), derived from autologous blood, contains a high concentration of platelets that secrete various growth factors, promoting the regeneration and repair of joint structures. In this experiment, we compared leukocyte-rich platelet-rich plasma (LR-PRP) with leukocyte-poor platelet-rich plasma (LP-PRP) in a rabbit osteoarthritis model induced by papain to investigate the therapeutic efficacy and mechanism of action of platelet-rich plasma on osteoarthritis. Additionally, we analyzed whether different leukocyte concentrations in platelet-rich plasma would affect the treatment outcomes. Papain was injected into the knee joints of 32 rabbits to induce osteoarthritis, and the animals were cultured until bone maturity. LP-PRP and LR-PRP were prepared using different centrifugation methods and injected into the knee joint cavity. Eight weeks after the injection, various analyses were performed on the rabbit knee joint synovium and cartilage. These included HE staining, immunohistochemistry for PI3K, AKT, mTOR, LC3-II, MMP-13, toluidine blue staining, and ELISA for IL-1β and TNF-α in joint fluid. The synovial membrane was scored using the Krenn score, and cartilage was evaluated with the Mankin pathology score. Quantitative analysis of immunohistochemistry was conducted using ImageJ image processing software. The rabbit osteoarthritis model was successfully established by injecting papain into the knee joint cavity. All indices showed significant differences between the model group and the control group (P < 0.05). Both LP-PRP and LR-PRP exhibited therapeutic effects compared to the model group (P < 0.05). The concentrations of IL-1β and TNF-α in the LP-PRP group were significantly lower than those in the LR-PRP group (P < 0.05). However, no significant differences were observed in the morphology of the synovial membrane, cartilage, and other indices between the LR-PRP and LP-PRP groups (P > 0.05).</p>\",\"PeriodicalId\":9189,\"journal\":{\"name\":\"BMC Musculoskeletal Disorders\",\"volume\":\"26 1\",\"pages\":\"857\"},\"PeriodicalIF\":2.4000,\"publicationDate\":\"2025-09-24\",\"publicationTypes\":\"Journal Article\",\"fieldsOfStudy\":null,\"isOpenAccess\":false,\"openAccessPdf\":\"https://www.ncbi.nlm.nih.gov/pmc/articles/PMC12461960/pdf/\",\"citationCount\":\"0\",\"resultStr\":null,\"platform\":\"Semanticscholar\",\"paperid\":null,\"PeriodicalName\":\"BMC Musculoskeletal Disorders\",\"FirstCategoryId\":\"3\",\"ListUrlMain\":\"https://doi.org/10.1186/s12891-025-08906-3\",\"RegionNum\":3,\"RegionCategory\":\"医学\",\"ArticlePicture\":[],\"TitleCN\":null,\"AbstractTextCN\":null,\"PMCID\":null,\"EPubDate\":\"\",\"PubModel\":\"\",\"JCR\":\"Q2\",\"JCRName\":\"ORTHOPEDICS\",\"Score\":null,\"Total\":0}","platform":"Semanticscholar","paperid":null,"PeriodicalName":"BMC Musculoskeletal Disorders","FirstCategoryId":"3","ListUrlMain":"https://doi.org/10.1186/s12891-025-08906-3","RegionNum":3,"RegionCategory":"医学","ArticlePicture":[],"TitleCN":null,"AbstractTextCN":null,"PMCID":null,"EPubDate":"","PubModel":"","JCR":"Q2","JCRName":"ORTHOPEDICS","Score":null,"Total":0}
引用次数: 0

摘要

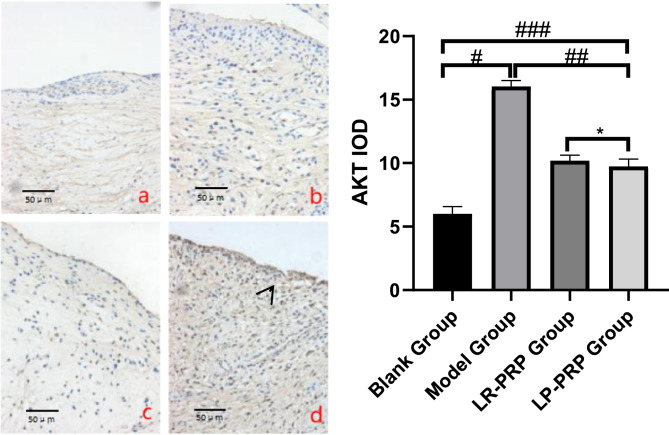
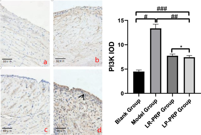
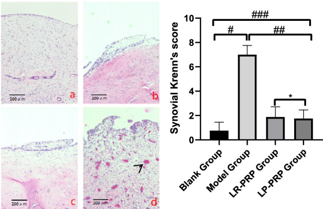
膝关节骨关节炎(KOA)是一种以关节软骨和滑膜恶化、破坏和增生为特征的退行性疾病。自噬是一种重要的细胞内稳态机制,在OA的发病机制中起着重要作用。富血小板血浆(PRP)来源于自体血液,含有高浓度的血小板,可分泌多种生长因子,促进关节结构的再生和修复。本实验通过对木瓜蛋白酶诱导兔骨关节炎模型富白细胞富血小板血浆(LR-PRP)与贫白细胞富血小板血浆(LP-PRP)的比较,探讨富血小板血浆对骨关节炎的治疗效果及作用机制。此外,我们分析了富血小板血浆中不同的白细胞浓度是否会影响治疗结果。32只家兔膝关节内注射木瓜蛋白酶诱导骨关节炎,培养至骨成熟。采用不同的离心方法制备LP-PRP和LR-PRP,并注入膝关节腔内。注射后8周,对兔膝关节滑膜和软骨进行了各种分析。包括HE染色、免疫组化检测PI3K、AKT、mTOR、LC3-II、MMP-13、甲苯胺蓝染色、ELISA检测关节液中IL-1β和TNF-α。使用Krenn评分对滑膜进行评分,使用Mankin病理评分对软骨进行评估。采用ImageJ图像处理软件进行免疫组化定量分析。通过在膝关节腔内注射木瓜蛋白酶成功建立兔骨关节炎模型。模型组与对照组各指标比较,差异均有统计学意义(p0.05)。
本文章由计算机程序翻译,如有差异,请以英文原文为准。

Comparison of the therapeutic efficacy of leukocyte-poor and leukocyte-rich platelet-rich plasma in rabbit knee osteoarthritis and the study of autophagy mechanism.

Comparison of the therapeutic efficacy of leukocyte-poor and leukocyte-rich platelet-rich plasma in rabbit knee osteoarthritis and the study of autophagy mechanism.

Comparison of the therapeutic efficacy of leukocyte-poor and leukocyte-rich platelet-rich plasma in rabbit knee osteoarthritis and the study of autophagy mechanism.

Comparison of the therapeutic efficacy of leukocyte-poor and leukocyte-rich platelet-rich plasma in rabbit knee osteoarthritis and the study of autophagy mechanism.

Osteoarthritis of the knee (KOA) is a degenerative disease characterized by the deterioration, destruction, and proliferation of articular cartilage and synovium. Autophagy, a crucial intracellular homeostatic mechanism, significantly contributes to the pathogenesis of OA. Platelet-rich plasma (PRP), derived from autologous blood, contains a high concentration of platelets that secrete various growth factors, promoting the regeneration and repair of joint structures. In this experiment, we compared leukocyte-rich platelet-rich plasma (LR-PRP) with leukocyte-poor platelet-rich plasma (LP-PRP) in a rabbit osteoarthritis model induced by papain to investigate the therapeutic efficacy and mechanism of action of platelet-rich plasma on osteoarthritis. Additionally, we analyzed whether different leukocyte concentrations in platelet-rich plasma would affect the treatment outcomes. Papain was injected into the knee joints of 32 rabbits to induce osteoarthritis, and the animals were cultured until bone maturity. LP-PRP and LR-PRP were prepared using different centrifugation methods and injected into the knee joint cavity. Eight weeks after the injection, various analyses were performed on the rabbit knee joint synovium and cartilage. These included HE staining, immunohistochemistry for PI3K, AKT, mTOR, LC3-II, MMP-13, toluidine blue staining, and ELISA for IL-1β and TNF-α in joint fluid. The synovial membrane was scored using the Krenn score, and cartilage was evaluated with the Mankin pathology score. Quantitative analysis of immunohistochemistry was conducted using ImageJ image processing software. The rabbit osteoarthritis model was successfully established by injecting papain into the knee joint cavity. All indices showed significant differences between the model group and the control group (P < 0.05). Both LP-PRP and LR-PRP exhibited therapeutic effects compared to the model group (P < 0.05). The concentrations of IL-1β and TNF-α in the LP-PRP group were significantly lower than those in the LR-PRP group (P < 0.05). However, no significant differences were observed in the morphology of the synovial membrane, cartilage, and other indices between the LR-PRP and LP-PRP groups (P > 0.05).

求助全文
通过发布文献求助,成功后即可免费获取论文全文。 去求助
来源期刊
BMC Musculoskeletal Disorders
BMC Musculoskeletal Disorders 医学-风湿病学
CiteScore
3.80
自引率
8.70%
发文量
1017
审稿时长
3-6 weeks
期刊介绍: BMC Musculoskeletal Disorders is an open access, peer-reviewed journal that considers articles on all aspects of the prevention, diagnosis and management of musculoskeletal disorders, as well as related molecular genetics, pathophysiology, and epidemiology. The scope of the Journal covers research into rheumatic diseases where the primary focus relates specifically to a component(s) of the musculoskeletal system.
×
引用
GB/T 7714-2015
复制
MLA
复制
APA
复制
导出至
BibTeX EndNote RefMan NoteFirst NoteExpress
×
提示
您的信息不完整,为了账户安全,请先补充。
现在去补充
×
提示
您因"违规操作"
具体请查看互助需知
我知道了
×
提示
确定
请完成安全验证×
copy
已复制链接
快去分享给好友吧!
我知道了
右上角分享
点击右上角分享
0
联系我们:info@booksci.cn Book学术提供免费学术资源搜索服务,方便国内外学者检索中英文文献。致力于提供最便捷和优质的服务体验。 Copyright © 2023 布克学术 All rights reserved.
京ICP备2023020795号-1
ghs 京公网安备 11010802042870号
Book学术文献互助
Book学术文献互助群
群 号:604180095
Book学术官方微信