一种新的基于ct的放射组学方法用于ADPKD的肾功能评估:一项初步研究。

IF 4.6 2区 医学 Q1 UROLOGY & NEPHROLOGY
Clinical Kidney Journal Pub Date : 2025-09-04 eCollection Date: 2025-09-01 DOI:10.1093/ckj/sfaf264
Luca Calvaruso, Pierluigi Fulignati, Luigi Larosa, Huong Elena Tran, Claudio Votta, Carla Cipri, Luigi Natale, Viola D'Ambrosio, Giulia Condello, Pietro Manuel Ferraro, Francesco Pesce, Luca Boldrini, Giuseppe Grandaliano
{"title":"一种新的基于ct的放射组学方法用于ADPKD的肾功能评估:一项初步研究。","authors":"Luca Calvaruso, Pierluigi Fulignati, Luigi Larosa, Huong Elena Tran, Claudio Votta, Carla Cipri, Luigi Natale, Viola D'Ambrosio, Giulia Condello, Pietro Manuel Ferraro, Francesco Pesce, Luca Boldrini, Giuseppe Grandaliano","doi":"10.1093/ckj/sfaf264","DOIUrl":null,"url":null,"abstract":"<p><strong>Background: </strong>Management of autosomal dominant polycystic kidney disease (ADPKD) might take advantage of the use of new tools to predict risk of progression towards end-stage kidney disease (ESKD). The aim of this study is to explore the potential of radiomic features obtained from computed tomography (CT) scans for the prediction of kidney function decline over time of ADPKD patients.</p><p><strong>Methods: </strong>We retrospectively selected a cohort of 58 ADPKD patients who routinely underwent CT scan for total kidney volume (TKV) assessment from February 2020 to March 2021. An expert radiologist generated a region-of-interest segmentation for cystic kidneys from which we extracted 217 radiomic features. In a subgroup of 51 patients with at least three serum creatinine measurements, on the basis of estimated glomerular filtration rate we identified 26 rapid progressors to ESKD (>3 mL/min/1.73 m<sup>2</sup>/year), and we developed a radiomic model to discriminate rapid from non-rapid progressors. Area under the curve (AUC) of the receiver operating characteristic (ROC) and sensitivity were employed to evaluate models' performance.</p><p><strong>Results: </strong>The most statistically significant radiomic feature (<i>F_cm.corr</i>) (<i>P</i>-value = .04) associated with rapid progression showed an AUC (95% confidence interval) of 0.78 (0.65-0.90) and a sensitivity of 0.92 (0.78-0.98). On the contrary, the logistic regression model based on the height-adjusted TKV (ht-TKV) presented a lower AUC (95% confidence interval) of 0.65 (0.49-0.80), with a sensitivity 0.62 (0.42-0.78).</p><p><strong>Conclusions: </strong>We developed a model based on the radiomic feature <i>F_cm.corr</i> that was able to discriminate rapid progressors. Further validation studies on larger and external cohort are warranted to corroborate our findings and to confirm the role of radiomics in ADPKD management.</p>","PeriodicalId":10435,"journal":{"name":"Clinical Kidney Journal","volume":"18 9","pages":"sfaf264"},"PeriodicalIF":4.6000,"publicationDate":"2025-09-04","publicationTypes":"Journal Article","fieldsOfStudy":null,"isOpenAccess":false,"openAccessPdf":"https://www.ncbi.nlm.nih.gov/pmc/articles/PMC12455199/pdf/","citationCount":"0","resultStr":"{\"title\":\"A novel CT-based radiomics approach for kidney function evaluation in ADPKD: a pilot study.\",\"authors\":\"Luca Calvaruso, Pierluigi Fulignati, Luigi Larosa, Huong Elena Tran, Claudio Votta, Carla Cipri, Luigi Natale, Viola D'Ambrosio, Giulia Condello, Pietro Manuel Ferraro, Francesco Pesce, Luca Boldrini, Giuseppe Grandaliano\",\"doi\":\"10.1093/ckj/sfaf264\",\"DOIUrl\":null,\"url\":null,\"abstract\":\"<p><strong>Background: </strong>Management of autosomal dominant polycystic kidney disease (ADPKD) might take advantage of the use of new tools to predict risk of progression towards end-stage kidney disease (ESKD). The aim of this study is to explore the potential of radiomic features obtained from computed tomography (CT) scans for the prediction of kidney function decline over time of ADPKD patients.</p><p><strong>Methods: </strong>We retrospectively selected a cohort of 58 ADPKD patients who routinely underwent CT scan for total kidney volume (TKV) assessment from February 2020 to March 2021. An expert radiologist generated a region-of-interest segmentation for cystic kidneys from which we extracted 217 radiomic features. In a subgroup of 51 patients with at least three serum creatinine measurements, on the basis of estimated glomerular filtration rate we identified 26 rapid progressors to ESKD (>3 mL/min/1.73 m<sup>2</sup>/year), and we developed a radiomic model to discriminate rapid from non-rapid progressors. Area under the curve (AUC) of the receiver operating characteristic (ROC) and sensitivity were employed to evaluate models' performance.</p><p><strong>Results: </strong>The most statistically significant radiomic feature (<i>F_cm.corr</i>) (<i>P</i>-value = .04) associated with rapid progression showed an AUC (95% confidence interval) of 0.78 (0.65-0.90) and a sensitivity of 0.92 (0.78-0.98). On the contrary, the logistic regression model based on the height-adjusted TKV (ht-TKV) presented a lower AUC (95% confidence interval) of 0.65 (0.49-0.80), with a sensitivity 0.62 (0.42-0.78).</p><p><strong>Conclusions: </strong>We developed a model based on the radiomic feature <i>F_cm.corr</i> that was able to discriminate rapid progressors. Further validation studies on larger and external cohort are warranted to corroborate our findings and to confirm the role of radiomics in ADPKD management.</p>\",\"PeriodicalId\":10435,\"journal\":{\"name\":\"Clinical Kidney Journal\",\"volume\":\"18 9\",\"pages\":\"sfaf264\"},\"PeriodicalIF\":4.6000,\"publicationDate\":\"2025-09-04\",\"publicationTypes\":\"Journal Article\",\"fieldsOfStudy\":null,\"isOpenAccess\":false,\"openAccessPdf\":\"https://www.ncbi.nlm.nih.gov/pmc/articles/PMC12455199/pdf/\",\"citationCount\":\"0\",\"resultStr\":null,\"platform\":\"Semanticscholar\",\"paperid\":null,\"PeriodicalName\":\"Clinical Kidney Journal\",\"FirstCategoryId\":\"3\",\"ListUrlMain\":\"https://doi.org/10.1093/ckj/sfaf264\",\"RegionNum\":2,\"RegionCategory\":\"医学\",\"ArticlePicture\":[],\"TitleCN\":null,\"AbstractTextCN\":null,\"PMCID\":null,\"EPubDate\":\"2025/9/1 0:00:00\",\"PubModel\":\"eCollection\",\"JCR\":\"Q1\",\"JCRName\":\"UROLOGY & NEPHROLOGY\",\"Score\":null,\"Total\":0}","platform":"Semanticscholar","paperid":null,"PeriodicalName":"Clinical Kidney Journal","FirstCategoryId":"3","ListUrlMain":"https://doi.org/10.1093/ckj/sfaf264","RegionNum":2,"RegionCategory":"医学","ArticlePicture":[],"TitleCN":null,"AbstractTextCN":null,"PMCID":null,"EPubDate":"2025/9/1 0:00:00","PubModel":"eCollection","JCR":"Q1","JCRName":"UROLOGY & NEPHROLOGY","Score":null,"Total":0}
引用次数: 0

摘要

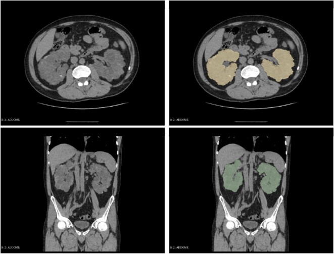
背景:常染色体显性多囊肾病(ADPKD)的管理可能利用新的工具来预测终末期肾病(ESKD)进展的风险。本研究的目的是探索从计算机断层扫描(CT)中获得的放射学特征在预测ADPKD患者肾功能随时间下降方面的潜力。方法:我们回顾性选择了58例ADPKD患者,这些患者在2020年2月至2021年3月期间定期接受CT扫描以评估总肾容量(TKV)。一位放射科专家为囊性肾生成了一个兴趣区域分割,从中我们提取了217个放射学特征。在51例至少有三次血清肌酐测量的患者亚组中,根据估计的肾小球滤过率,我们确定了26例ESKD快速进展者(bbb3ml /min/1.73 m2/年),我们建立了一个放射组模型来区分快速和非快速进展者。采用受试者工作特征(ROC)曲线下面积(AUC)和灵敏度评价模型的性能。结果:最具统计学意义的放射学特征(F_cm)。相关性)(p值= .04)与快速进展相关的AUC(95%可信区间)为0.78(0.65-0.90),敏感性为0.92(0.78-0.98)。而基于高度调整TKV的logistic回归模型(ht-TKV)的AUC(95%置信区间)较低,为0.65(0.49 ~ 0.80),灵敏度为0.62(0.42 ~ 0.78)。结论:我们建立了一个基于放射学特征F_cm的模型。Corr能够区分快速进展者。在更大的外部队列中进行进一步的验证研究是有必要的,以证实我们的发现,并确认放射组学在ADPKD管理中的作用。
本文章由计算机程序翻译,如有差异,请以英文原文为准。

A novel CT-based radiomics approach for kidney function evaluation in ADPKD: a pilot study.

A novel CT-based radiomics approach for kidney function evaluation in ADPKD: a pilot study.

A novel CT-based radiomics approach for kidney function evaluation in ADPKD: a pilot study.

A novel CT-based radiomics approach for kidney function evaluation in ADPKD: a pilot study.

Background: Management of autosomal dominant polycystic kidney disease (ADPKD) might take advantage of the use of new tools to predict risk of progression towards end-stage kidney disease (ESKD). The aim of this study is to explore the potential of radiomic features obtained from computed tomography (CT) scans for the prediction of kidney function decline over time of ADPKD patients.

Methods: We retrospectively selected a cohort of 58 ADPKD patients who routinely underwent CT scan for total kidney volume (TKV) assessment from February 2020 to March 2021. An expert radiologist generated a region-of-interest segmentation for cystic kidneys from which we extracted 217 radiomic features. In a subgroup of 51 patients with at least three serum creatinine measurements, on the basis of estimated glomerular filtration rate we identified 26 rapid progressors to ESKD (>3 mL/min/1.73 m2/year), and we developed a radiomic model to discriminate rapid from non-rapid progressors. Area under the curve (AUC) of the receiver operating characteristic (ROC) and sensitivity were employed to evaluate models' performance.

Results: The most statistically significant radiomic feature (F_cm.corr) (P-value = .04) associated with rapid progression showed an AUC (95% confidence interval) of 0.78 (0.65-0.90) and a sensitivity of 0.92 (0.78-0.98). On the contrary, the logistic regression model based on the height-adjusted TKV (ht-TKV) presented a lower AUC (95% confidence interval) of 0.65 (0.49-0.80), with a sensitivity 0.62 (0.42-0.78).

Conclusions: We developed a model based on the radiomic feature F_cm.corr that was able to discriminate rapid progressors. Further validation studies on larger and external cohort are warranted to corroborate our findings and to confirm the role of radiomics in ADPKD management.

求助全文
通过发布文献求助,成功后即可免费获取论文全文。 去求助
来源期刊
Clinical Kidney Journal
Clinical Kidney Journal Medicine-Transplantation
CiteScore
6.70
自引率
10.90%
发文量
242
审稿时长
8 weeks
期刊介绍: About the Journal Clinical Kidney Journal: Clinical and Translational Nephrology (ckj), an official journal of the ERA-EDTA (European Renal Association-European Dialysis and Transplant Association), is a fully open access, online only journal publishing bimonthly. The journal is an essential educational and training resource integrating clinical, translational and educational research into clinical practice. ckj aims to contribute to a translational research culture among nephrologists and kidney pathologists that helps close the gap between basic researchers and practicing clinicians and promote sorely needed innovation in the Nephrology field. All research articles in this journal have undergone peer review.
×
引用
GB/T 7714-2015
复制
MLA
复制
APA
复制
导出至
BibTeX EndNote RefMan NoteFirst NoteExpress
×
提示
您的信息不完整,为了账户安全,请先补充。
现在去补充
×
提示
您因"违规操作"
具体请查看互助需知
我知道了
×
提示
确定
请完成安全验证×
copy
已复制链接
快去分享给好友吧!
我知道了
右上角分享
点击右上角分享
0
联系我们:info@booksci.cn Book学术提供免费学术资源搜索服务,方便国内外学者检索中英文文献。致力于提供最便捷和优质的服务体验。 Copyright © 2023 布克学术 All rights reserved.
京ICP备2023020795号-1
ghs 京公网安备 11010802042870号
Book学术文献互助
Book学术文献互助群
群 号:604180095
Book学术官方微信