使用预制修复体在上颌美观区进行完全引导种植体放置和即时修复。

IF 0.9 Q4 DENTISTRY, ORAL SURGERY & MEDICINE
Case Reports in Dentistry Pub Date : 2025-09-15 eCollection Date: 2025-01-01 DOI:10.1155/crid/8990886
Vincent J J Donker, Henny J A Meijer, Arjan Vissink, Gerry M Raghoebar
{"title":"使用预制修复体在上颌美观区进行完全引导种植体放置和即时修复。","authors":"Vincent J J Donker, Henny J A Meijer, Arjan Vissink, Gerry M Raghoebar","doi":"10.1155/crid/8990886","DOIUrl":null,"url":null,"abstract":"<p><p><b>Introduction:</b> When replacing a single tooth in the aesthetic zone with an implant, alveolar ridge preservation is necessary in cases with extensive buccal bone defects. Prosthetically driven implant placement in the preserved ridge, followed by an immediate patient-specific temporary restoration, can be achieved with digital treatment planning. A digital workflow incorporates intraoral optical scanning and cone beam computed tomography, enabling a three-dimensional clinical and radiographic anatomy assessment. Furthermore, it facilitates fully guided implant placement by means of computer-assisted surgery and the prefabrication of temporary restorations with a CAD/CAM titanium abutment. <b>Materials and Methods:</b> Three patients with a failing tooth in the maxillary aesthetic zone and a buccal bone defect > 5 mm underwent alveolar ridge preservation. Four months later, a digital workflow was used to place the implant, which was restored with a prefabricated temporary restoration with a patient-specific titanium abutment. The definitive restoration was placed 3 months later. Clinical, aesthetic, radiographic, and patient-reported outcomes were assessed before treatment, 6 weeks after temporary restoration, and 1 month and 1 year following definitive restoration. <b>Results:</b> In all three cases, wound healing after alveolar ridge preservation was uneventful, and the implants could be placed and restored with a temporary restoration, as planned. At the final follow-up, healthy peri-implant tissues were observed with good aesthetics and high patient satisfaction. <b>Conclusion:</b> The three reported cases demonstrate the potential of a digital workflow for delayed implant placement with provisionalization using prefabricated restorations in preserved ridges within the maxillary aesthetic zone.</p>","PeriodicalId":46841,"journal":{"name":"Case Reports in Dentistry","volume":"2025 ","pages":"8990886"},"PeriodicalIF":0.9000,"publicationDate":"2025-09-15","publicationTypes":"Journal Article","fieldsOfStudy":null,"isOpenAccess":false,"openAccessPdf":"https://www.ncbi.nlm.nih.gov/pmc/articles/PMC12453936/pdf/","citationCount":"0","resultStr":"{\"title\":\"Fully Guided Implant Placement and Immediate Provisionalization in the Maxillary Aesthetic Zone Using Prefabricated Restorations.\",\"authors\":\"Vincent J J Donker, Henny J A Meijer, Arjan Vissink, Gerry M Raghoebar\",\"doi\":\"10.1155/crid/8990886\",\"DOIUrl\":null,\"url\":null,\"abstract\":\"<p><p><b>Introduction:</b> When replacing a single tooth in the aesthetic zone with an implant, alveolar ridge preservation is necessary in cases with extensive buccal bone defects. Prosthetically driven implant placement in the preserved ridge, followed by an immediate patient-specific temporary restoration, can be achieved with digital treatment planning. A digital workflow incorporates intraoral optical scanning and cone beam computed tomography, enabling a three-dimensional clinical and radiographic anatomy assessment. Furthermore, it facilitates fully guided implant placement by means of computer-assisted surgery and the prefabrication of temporary restorations with a CAD/CAM titanium abutment. <b>Materials and Methods:</b> Three patients with a failing tooth in the maxillary aesthetic zone and a buccal bone defect > 5 mm underwent alveolar ridge preservation. Four months later, a digital workflow was used to place the implant, which was restored with a prefabricated temporary restoration with a patient-specific titanium abutment. The definitive restoration was placed 3 months later. Clinical, aesthetic, radiographic, and patient-reported outcomes were assessed before treatment, 6 weeks after temporary restoration, and 1 month and 1 year following definitive restoration. <b>Results:</b> In all three cases, wound healing after alveolar ridge preservation was uneventful, and the implants could be placed and restored with a temporary restoration, as planned. At the final follow-up, healthy peri-implant tissues were observed with good aesthetics and high patient satisfaction. <b>Conclusion:</b> The three reported cases demonstrate the potential of a digital workflow for delayed implant placement with provisionalization using prefabricated restorations in preserved ridges within the maxillary aesthetic zone.</p>\",\"PeriodicalId\":46841,\"journal\":{\"name\":\"Case Reports in Dentistry\",\"volume\":\"2025 \",\"pages\":\"8990886\"},\"PeriodicalIF\":0.9000,\"publicationDate\":\"2025-09-15\",\"publicationTypes\":\"Journal Article\",\"fieldsOfStudy\":null,\"isOpenAccess\":false,\"openAccessPdf\":\"https://www.ncbi.nlm.nih.gov/pmc/articles/PMC12453936/pdf/\",\"citationCount\":\"0\",\"resultStr\":null,\"platform\":\"Semanticscholar\",\"paperid\":null,\"PeriodicalName\":\"Case Reports in Dentistry\",\"FirstCategoryId\":\"1085\",\"ListUrlMain\":\"https://doi.org/10.1155/crid/8990886\",\"RegionNum\":0,\"RegionCategory\":null,\"ArticlePicture\":[],\"TitleCN\":null,\"AbstractTextCN\":null,\"PMCID\":null,\"EPubDate\":\"2025/1/1 0:00:00\",\"PubModel\":\"eCollection\",\"JCR\":\"Q4\",\"JCRName\":\"DENTISTRY, ORAL SURGERY & MEDICINE\",\"Score\":null,\"Total\":0}","platform":"Semanticscholar","paperid":null,"PeriodicalName":"Case Reports in Dentistry","FirstCategoryId":"1085","ListUrlMain":"https://doi.org/10.1155/crid/8990886","RegionNum":0,"RegionCategory":null,"ArticlePicture":[],"TitleCN":null,"AbstractTextCN":null,"PMCID":null,"EPubDate":"2025/1/1 0:00:00","PubModel":"eCollection","JCR":"Q4","JCRName":"DENTISTRY, ORAL SURGERY & MEDICINE","Score":null,"Total":0}
引用次数: 0

摘要

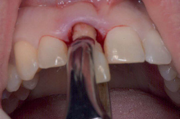
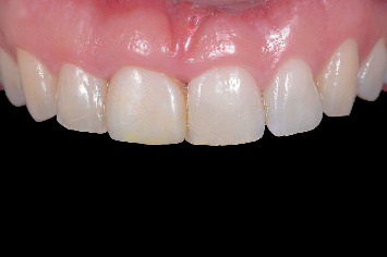
简介:当用种植体替换美学区单个牙齿时,对于大面积颊骨缺损的病例,保留牙槽嵴是必要的。假体驱动种植体放置在保留的脊上,随后立即进行患者特定的临时修复,可以通过数字治疗计划实现。数字化工作流程结合了口腔内光学扫描和锥形束计算机断层扫描,实现了三维临床和放射学解剖评估。此外,它通过计算机辅助手术和CAD/CAM钛基台的临时修复预制,促进了完全引导的种植体放置。材料与方法:对3例上颌美观区缺牙及颊骨缺损bbbb5 mm的患者行牙槽嵴保存术。四个月后,使用数字工作流程放置种植体,并使用患者特定的钛基台进行预制临时修复。3个月后进行了最终修复。在治疗前、临时修复后6周、最终修复后1个月和1年评估临床、美学、放射学和患者报告的结果。结果:3例患者在牙槽嵴保存后伤口愈合良好,种植体可按计划放置并临时修复。在最后的随访中,观察到健康的种植体周围组织,美观性好,患者满意度高。结论:三个报告的病例展示了数字工作流程在上颌美学区保留脊中使用预制修复体进行延迟种植体放置的潜力。
本文章由计算机程序翻译,如有差异,请以英文原文为准。

Fully Guided Implant Placement and Immediate Provisionalization in the Maxillary Aesthetic Zone Using Prefabricated Restorations.

Fully Guided Implant Placement and Immediate Provisionalization in the Maxillary Aesthetic Zone Using Prefabricated Restorations.

Fully Guided Implant Placement and Immediate Provisionalization in the Maxillary Aesthetic Zone Using Prefabricated Restorations.

Fully Guided Implant Placement and Immediate Provisionalization in the Maxillary Aesthetic Zone Using Prefabricated Restorations.

Introduction: When replacing a single tooth in the aesthetic zone with an implant, alveolar ridge preservation is necessary in cases with extensive buccal bone defects. Prosthetically driven implant placement in the preserved ridge, followed by an immediate patient-specific temporary restoration, can be achieved with digital treatment planning. A digital workflow incorporates intraoral optical scanning and cone beam computed tomography, enabling a three-dimensional clinical and radiographic anatomy assessment. Furthermore, it facilitates fully guided implant placement by means of computer-assisted surgery and the prefabrication of temporary restorations with a CAD/CAM titanium abutment. Materials and Methods: Three patients with a failing tooth in the maxillary aesthetic zone and a buccal bone defect > 5 mm underwent alveolar ridge preservation. Four months later, a digital workflow was used to place the implant, which was restored with a prefabricated temporary restoration with a patient-specific titanium abutment. The definitive restoration was placed 3 months later. Clinical, aesthetic, radiographic, and patient-reported outcomes were assessed before treatment, 6 weeks after temporary restoration, and 1 month and 1 year following definitive restoration. Results: In all three cases, wound healing after alveolar ridge preservation was uneventful, and the implants could be placed and restored with a temporary restoration, as planned. At the final follow-up, healthy peri-implant tissues were observed with good aesthetics and high patient satisfaction. Conclusion: The three reported cases demonstrate the potential of a digital workflow for delayed implant placement with provisionalization using prefabricated restorations in preserved ridges within the maxillary aesthetic zone.

求助全文
通过发布文献求助,成功后即可免费获取论文全文。 去求助
来源期刊
Case Reports in Dentistry
Case Reports in Dentistry DENTISTRY, ORAL SURGERY & MEDICINE-
CiteScore
1.40
自引率
12.50%
发文量
107
审稿时长
14 weeks
期刊介绍: Case Reports in Dentistry is a peer-reviewed, Open Access journal that publishes case reports and case series in all areas of dentistry, including periodontal diseases, dental implants, oral pathology, as well as oral and maxillofacial surgery.
×
引用
GB/T 7714-2015
复制
MLA
复制
APA
复制
导出至
BibTeX EndNote RefMan NoteFirst NoteExpress
×
提示
您的信息不完整,为了账户安全,请先补充。
现在去补充
×
提示
您因"违规操作"
具体请查看互助需知
我知道了
×
提示
确定
请完成安全验证×
copy
已复制链接
快去分享给好友吧!
我知道了
右上角分享
点击右上角分享
0
联系我们:info@booksci.cn Book学术提供免费学术资源搜索服务,方便国内外学者检索中英文文献。致力于提供最便捷和优质的服务体验。 Copyright © 2023 布克学术 All rights reserved.
京ICP备2023020795号-1
ghs 京公网安备 11010802042870号
Book学术文献互助
Book学术文献互助群
群 号:604180095
Book学术官方微信