使用正畸矫治器治疗儿童颌骨骨折:一个病例系列。

Q3 Dentistry
Ram Kishore Ratre, Vilas Newaskar, Abhilasha Kanesh, P Afeefa, Deepteash Ghosh
{"title":"使用正畸矫治器治疗儿童颌骨骨折:一个病例系列。","authors":"Ram Kishore Ratre, Vilas Newaskar, Abhilasha Kanesh, P Afeefa, Deepteash Ghosh","doi":"10.5005/jp-journals-10005-3196","DOIUrl":null,"url":null,"abstract":"<p><strong>Aims: </strong>Mandibular fractures are common in pediatric patients due to active lifestyles, with the mandible being the most frequently fractured facial bone. In children, fractures are often greenstick, requiring careful management to avoid disrupting growth and dentition. Conventional treatments, such as intermaxillary fixation (IMF) using arch bars, can be challenging in mixed dentition. This case series explores the use of orthodontic appliances as an alternative approach for managing pediatric mandibular fractures.</p><p><strong>Case description: </strong>Three pediatric patients with mandibular fractures were treated using orthodontic appliances for IMF-case 1: a 9-year-old male with a left mandibular angle fracture was treated with stainless steel brackets and elastics for 2 weeks. Follow-up showed full recovery with no pain or occlusal issues. Case 2: a 6-year-old male with bilateral condylar and symphyseal fractures was treated with brackets on all teeth up to the deciduous second molars. After 2 weeks, improved occlusion and mouth opening were noted. Case 3: a 6-year-old female with a right condylar fracture showed improved occlusion and symptom resolution after 2 weeks of treatment.</p><p><strong>Conclusion: </strong>Orthodontic appliances provide a noninvasive alternative for IMF in pediatric mandibular fractures. They offer stable fixation, preserve developing dentition, and reduce the need for invasive procedures, ensuring proper healing.</p><p><strong>Clinical significance: </strong>Orthodontic appliances are a viable treatment option for pediatric mandibular fractures, especially in mixed dentition. This approach enhances patient comfort, improves oral hygiene, and avoids complications associated with traditional fixation methods, making it an effective tool in pediatric trauma care.</p><p><strong>How to cite this article: </strong>Ratre RK, Newaskar V, Kanesh A, <i>et al</i>. Management of Jaw Fractures in Pediatric Patients Using Orthodontic Appliances: A Case Series. Int J Clin Pediatr Dent 2025;18(8):1018-1022.</p>","PeriodicalId":36045,"journal":{"name":"International Journal of Clinical Pediatric Dentistry","volume":"18 8","pages":"1018-1022"},"PeriodicalIF":0.0000,"publicationDate":"2025-08-01","publicationTypes":"Journal Article","fieldsOfStudy":null,"isOpenAccess":false,"openAccessPdf":"https://www.ncbi.nlm.nih.gov/pmc/articles/PMC12451585/pdf/","citationCount":"0","resultStr":"{\"title\":\"Management of Jaw Fractures in Pediatric Patients Using Orthodontic Appliances: A Case Series.\",\"authors\":\"Ram Kishore Ratre, Vilas Newaskar, Abhilasha Kanesh, P Afeefa, Deepteash Ghosh\",\"doi\":\"10.5005/jp-journals-10005-3196\",\"DOIUrl\":null,\"url\":null,\"abstract\":\"<p><strong>Aims: </strong>Mandibular fractures are common in pediatric patients due to active lifestyles, with the mandible being the most frequently fractured facial bone. In children, fractures are often greenstick, requiring careful management to avoid disrupting growth and dentition. Conventional treatments, such as intermaxillary fixation (IMF) using arch bars, can be challenging in mixed dentition. This case series explores the use of orthodontic appliances as an alternative approach for managing pediatric mandibular fractures.</p><p><strong>Case description: </strong>Three pediatric patients with mandibular fractures were treated using orthodontic appliances for IMF-case 1: a 9-year-old male with a left mandibular angle fracture was treated with stainless steel brackets and elastics for 2 weeks. Follow-up showed full recovery with no pain or occlusal issues. Case 2: a 6-year-old male with bilateral condylar and symphyseal fractures was treated with brackets on all teeth up to the deciduous second molars. After 2 weeks, improved occlusion and mouth opening were noted. Case 3: a 6-year-old female with a right condylar fracture showed improved occlusion and symptom resolution after 2 weeks of treatment.</p><p><strong>Conclusion: </strong>Orthodontic appliances provide a noninvasive alternative for IMF in pediatric mandibular fractures. They offer stable fixation, preserve developing dentition, and reduce the need for invasive procedures, ensuring proper healing.</p><p><strong>Clinical significance: </strong>Orthodontic appliances are a viable treatment option for pediatric mandibular fractures, especially in mixed dentition. This approach enhances patient comfort, improves oral hygiene, and avoids complications associated with traditional fixation methods, making it an effective tool in pediatric trauma care.</p><p><strong>How to cite this article: </strong>Ratre RK, Newaskar V, Kanesh A, <i>et al</i>. Management of Jaw Fractures in Pediatric Patients Using Orthodontic Appliances: A Case Series. Int J Clin Pediatr Dent 2025;18(8):1018-1022.</p>\",\"PeriodicalId\":36045,\"journal\":{\"name\":\"International Journal of Clinical Pediatric Dentistry\",\"volume\":\"18 8\",\"pages\":\"1018-1022\"},\"PeriodicalIF\":0.0000,\"publicationDate\":\"2025-08-01\",\"publicationTypes\":\"Journal Article\",\"fieldsOfStudy\":null,\"isOpenAccess\":false,\"openAccessPdf\":\"https://www.ncbi.nlm.nih.gov/pmc/articles/PMC12451585/pdf/\",\"citationCount\":\"0\",\"resultStr\":null,\"platform\":\"Semanticscholar\",\"paperid\":null,\"PeriodicalName\":\"International Journal of Clinical Pediatric Dentistry\",\"FirstCategoryId\":\"1085\",\"ListUrlMain\":\"https://doi.org/10.5005/jp-journals-10005-3196\",\"RegionNum\":0,\"RegionCategory\":null,\"ArticlePicture\":[],\"TitleCN\":null,\"AbstractTextCN\":null,\"PMCID\":null,\"EPubDate\":\"2025/9/4 0:00:00\",\"PubModel\":\"Epub\",\"JCR\":\"Q3\",\"JCRName\":\"Dentistry\",\"Score\":null,\"Total\":0}","platform":"Semanticscholar","paperid":null,"PeriodicalName":"International Journal of Clinical Pediatric Dentistry","FirstCategoryId":"1085","ListUrlMain":"https://doi.org/10.5005/jp-journals-10005-3196","RegionNum":0,"RegionCategory":null,"ArticlePicture":[],"TitleCN":null,"AbstractTextCN":null,"PMCID":null,"EPubDate":"2025/9/4 0:00:00","PubModel":"Epub","JCR":"Q3","JCRName":"Dentistry","Score":null,"Total":0}
引用次数: 0

摘要

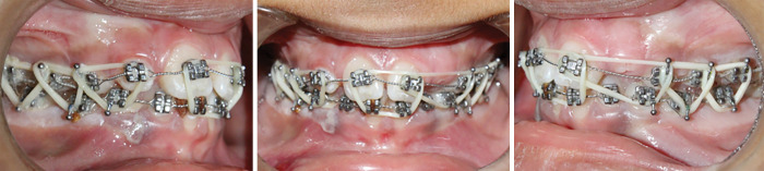
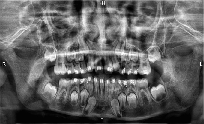
目的:下颌骨骨折是常见的儿童患者由于积极的生活方式,下颌骨是最常见的骨折面骨。在儿童中,骨折通常是绿枝状的,需要仔细处理以避免破坏生长和牙列。传统的治疗方法,如使用弓棒的上颌间固定(IMF),在混合牙列中可能具有挑战性。本病例系列探讨使用正畸矫治器作为治疗小儿下颌骨骨折的替代方法。病例描述:使用正畸矫治器治疗3例儿童下颌骨骨折-病例1:一名9岁男性左下颌骨角骨折采用不锈钢托槽和弹性矫治2周。随访显示完全恢复,无疼痛或咬合问题。病例2:6岁男性,双侧髁突和联合骨骨折,所有牙齿直到乳牙的第二磨牙都用托槽治疗。2周后,咬合和开口均有改善。病例3:6岁女性右髁骨折,治疗2周后咬合改善,症状缓解。结论:矫治器是治疗儿童下颌骨骨折的一种无创方法。它们提供稳定的固定,保护正在发育的牙列,减少侵入性手术的需要,确保适当的愈合。临床意义:正畸矫治器是治疗小儿下颌骨骨折的一种可行的治疗选择,尤其是混合牙列。这种方法提高了患者的舒适度,改善了口腔卫生,避免了与传统固定方法相关的并发症,使其成为儿童创伤护理的有效工具。本文引用方式:Ratre RK, Newaskar V, Kanesh A等。使用正畸矫治器治疗儿童颌骨骨折:一个病例系列。中华临床儿科杂志,2015;18(8):1018-1022。
本文章由计算机程序翻译,如有差异,请以英文原文为准。

Management of Jaw Fractures in Pediatric Patients Using Orthodontic Appliances: A Case Series.

Management of Jaw Fractures in Pediatric Patients Using Orthodontic Appliances: A Case Series.

Management of Jaw Fractures in Pediatric Patients Using Orthodontic Appliances: A Case Series.

Management of Jaw Fractures in Pediatric Patients Using Orthodontic Appliances: A Case Series.

Aims: Mandibular fractures are common in pediatric patients due to active lifestyles, with the mandible being the most frequently fractured facial bone. In children, fractures are often greenstick, requiring careful management to avoid disrupting growth and dentition. Conventional treatments, such as intermaxillary fixation (IMF) using arch bars, can be challenging in mixed dentition. This case series explores the use of orthodontic appliances as an alternative approach for managing pediatric mandibular fractures.

Case description: Three pediatric patients with mandibular fractures were treated using orthodontic appliances for IMF-case 1: a 9-year-old male with a left mandibular angle fracture was treated with stainless steel brackets and elastics for 2 weeks. Follow-up showed full recovery with no pain or occlusal issues. Case 2: a 6-year-old male with bilateral condylar and symphyseal fractures was treated with brackets on all teeth up to the deciduous second molars. After 2 weeks, improved occlusion and mouth opening were noted. Case 3: a 6-year-old female with a right condylar fracture showed improved occlusion and symptom resolution after 2 weeks of treatment.

Conclusion: Orthodontic appliances provide a noninvasive alternative for IMF in pediatric mandibular fractures. They offer stable fixation, preserve developing dentition, and reduce the need for invasive procedures, ensuring proper healing.

Clinical significance: Orthodontic appliances are a viable treatment option for pediatric mandibular fractures, especially in mixed dentition. This approach enhances patient comfort, improves oral hygiene, and avoids complications associated with traditional fixation methods, making it an effective tool in pediatric trauma care.

How to cite this article: Ratre RK, Newaskar V, Kanesh A, et al. Management of Jaw Fractures in Pediatric Patients Using Orthodontic Appliances: A Case Series. Int J Clin Pediatr Dent 2025;18(8):1018-1022.

求助全文
通过发布文献求助,成功后即可免费获取论文全文。 去求助
来源期刊
CiteScore
1.20
自引率
0.00%
发文量
135
×
引用
GB/T 7714-2015
复制
MLA
复制
APA
复制
导出至
BibTeX EndNote RefMan NoteFirst NoteExpress
×
提示
您的信息不完整,为了账户安全,请先补充。
现在去补充
×
提示
您因"违规操作"
具体请查看互助需知
我知道了
×
提示
确定
请完成安全验证×
copy
已复制链接
快去分享给好友吧!
我知道了
右上角分享
点击右上角分享
0
联系我们:info@booksci.cn Book学术提供免费学术资源搜索服务,方便国内外学者检索中英文文献。致力于提供最便捷和优质的服务体验。 Copyright © 2023 布克学术 All rights reserved.
京ICP备2023020795号-1
ghs 京公网安备 11010802042870号
Book学术文献互助
Book学术文献互助群
群 号:604180095
Book学术官方微信