单瓣大蒜提取物对大鼠尼古丁性炎症及组织病理学改变的治疗作用。

IF 1 Q3 VETERINARY SCIENCES
Open Veterinary Journal Pub Date : 2025-06-01 Epub Date: 2025-06-30 DOI:10.5455/OVJ.2025.v15.i6.10
Maya Nurwartanti Yunita, Hani Plumeriastuti, Wiwiek Tyasningsih, Bodhi Agustono, Andhika Lutfhi Hardiono, Gabrian Wahyu Prasetyanuri, Shofia Shofia, Reina Puspita Rahmaniar, Md Aliar Rahman
{"title":"单瓣大蒜提取物对大鼠尼古丁性炎症及组织病理学改变的治疗作用。","authors":"Maya Nurwartanti Yunita, Hani Plumeriastuti, Wiwiek Tyasningsih, Bodhi Agustono, Andhika Lutfhi Hardiono, Gabrian Wahyu Prasetyanuri, Shofia Shofia, Reina Puspita Rahmaniar, Md Aliar Rahman","doi":"10.5455/OVJ.2025.v15.i6.10","DOIUrl":null,"url":null,"abstract":"<p><strong>Background: </strong>Nicotine exposure causes cellular damage by generating reactive oxygen species, leading to inflammation. DNA damage, and diseases such as atherosclerosis. Single-clove garlic extract (SCGE) contains antioxidants such as allicin and flavonoids that may counteract nicotine's harmful effects by reducing pro-inflammatory cytokines, suggesting SCGE's potential as a natural therapeutic intervention to support good health.</p><p><strong>Aim: </strong>This study aimed to investigate the effects of SCGE against nicotine-induced pneumotoxicity in rats by assessing its impact on TNF-α, interleukin 6 (IL-6), and structural integrity tracheal, pulmonary, and coronary artery tissues.</p><p><strong>Methods: </strong>The subjects of this study were 30 male rats which were divided into the following 5 treatment groups: T1 (negative control), T2 (3 mg/ml of nicotine), and T3 (3 mg/ml of nicotine and 3.6 mg/day vitamin C), T4; T5; T6 groups (3 mg/ml nicotine and 75; 100; 125 kg/mg body weight of SCGE). A nicotine exposure followed by oral SCGE was administered twice a day consecutively for 14 days. The TNF-α and IL-6 expression was evaluated using immunohistochemical staining. Histopathology of the tracheal and pulmonary organs and coronary arteries was performed using H&E staining.</p><p><strong>Results: </strong>The T4, T5, and T6 groups revealed that TNF-α and IL-6 levels were significantly lower than in T2 (2.90 and 4.72), reducing ciliary damage, epithelial height, and mucosal thickness. The T6 group exhibited significant differences in the coronary arteries (14.97 µm) compared with the T2 (121.36 µm). The mean lumen diameter of the coronary artery of the T4, T5, and T6 groups was increased compared with T2 (49.71 µm). Significant decreases (42,65%) were observed in hemorrhage, alveolar septal thickening, and inflammatory cell infiltration in the T6 compared to T2.</p><p><strong>Conclusion: </strong>In conclusion, SCGE treatment can potentially mitigate pneumotoxicity caused by nicotine, as evidenced by improvements in TNF-α, IL-6, and histopathological damage of the tracheal, pulmonary, and coronary arteries. These findings suggest that SCGE could be explored as a potential natural therapeutic intervention for preventing or treating nicotine-induced lung damage. These findings suggest that SCGE could be explored as a potential natural therapeutic intervention to prevent or treat nicotine-induced lung damage. Further studies could explore the mechanisms underlying SCGE's anti-inflammatory and antioxidant properties.</p>","PeriodicalId":19531,"journal":{"name":"Open Veterinary Journal","volume":"15 6","pages":"2374-2385"},"PeriodicalIF":1.0000,"publicationDate":"2025-06-01","publicationTypes":"Journal Article","fieldsOfStudy":null,"isOpenAccess":false,"openAccessPdf":"https://www.ncbi.nlm.nih.gov/pmc/articles/PMC12451127/pdf/","citationCount":"0","resultStr":"{\"title\":\"Therapeutic effects of single-clove garlic extract on nicotine-induced inflammation and histopathological changes in rats.\",\"authors\":\"Maya Nurwartanti Yunita, Hani Plumeriastuti, Wiwiek Tyasningsih, Bodhi Agustono, Andhika Lutfhi Hardiono, Gabrian Wahyu Prasetyanuri, Shofia Shofia, Reina Puspita Rahmaniar, Md Aliar Rahman\",\"doi\":\"10.5455/OVJ.2025.v15.i6.10\",\"DOIUrl\":null,\"url\":null,\"abstract\":\"<p><strong>Background: </strong>Nicotine exposure causes cellular damage by generating reactive oxygen species, leading to inflammation. DNA damage, and diseases such as atherosclerosis. Single-clove garlic extract (SCGE) contains antioxidants such as allicin and flavonoids that may counteract nicotine's harmful effects by reducing pro-inflammatory cytokines, suggesting SCGE's potential as a natural therapeutic intervention to support good health.</p><p><strong>Aim: </strong>This study aimed to investigate the effects of SCGE against nicotine-induced pneumotoxicity in rats by assessing its impact on TNF-α, interleukin 6 (IL-6), and structural integrity tracheal, pulmonary, and coronary artery tissues.</p><p><strong>Methods: </strong>The subjects of this study were 30 male rats which were divided into the following 5 treatment groups: T1 (negative control), T2 (3 mg/ml of nicotine), and T3 (3 mg/ml of nicotine and 3.6 mg/day vitamin C), T4; T5; T6 groups (3 mg/ml nicotine and 75; 100; 125 kg/mg body weight of SCGE). A nicotine exposure followed by oral SCGE was administered twice a day consecutively for 14 days. The TNF-α and IL-6 expression was evaluated using immunohistochemical staining. Histopathology of the tracheal and pulmonary organs and coronary arteries was performed using H&E staining.</p><p><strong>Results: </strong>The T4, T5, and T6 groups revealed that TNF-α and IL-6 levels were significantly lower than in T2 (2.90 and 4.72), reducing ciliary damage, epithelial height, and mucosal thickness. The T6 group exhibited significant differences in the coronary arteries (14.97 µm) compared with the T2 (121.36 µm). The mean lumen diameter of the coronary artery of the T4, T5, and T6 groups was increased compared with T2 (49.71 µm). Significant decreases (42,65%) were observed in hemorrhage, alveolar septal thickening, and inflammatory cell infiltration in the T6 compared to T2.</p><p><strong>Conclusion: </strong>In conclusion, SCGE treatment can potentially mitigate pneumotoxicity caused by nicotine, as evidenced by improvements in TNF-α, IL-6, and histopathological damage of the tracheal, pulmonary, and coronary arteries. These findings suggest that SCGE could be explored as a potential natural therapeutic intervention for preventing or treating nicotine-induced lung damage. These findings suggest that SCGE could be explored as a potential natural therapeutic intervention to prevent or treat nicotine-induced lung damage. Further studies could explore the mechanisms underlying SCGE's anti-inflammatory and antioxidant properties.</p>\",\"PeriodicalId\":19531,\"journal\":{\"name\":\"Open Veterinary Journal\",\"volume\":\"15 6\",\"pages\":\"2374-2385\"},\"PeriodicalIF\":1.0000,\"publicationDate\":\"2025-06-01\",\"publicationTypes\":\"Journal Article\",\"fieldsOfStudy\":null,\"isOpenAccess\":false,\"openAccessPdf\":\"https://www.ncbi.nlm.nih.gov/pmc/articles/PMC12451127/pdf/\",\"citationCount\":\"0\",\"resultStr\":null,\"platform\":\"Semanticscholar\",\"paperid\":null,\"PeriodicalName\":\"Open Veterinary Journal\",\"FirstCategoryId\":\"1085\",\"ListUrlMain\":\"https://doi.org/10.5455/OVJ.2025.v15.i6.10\",\"RegionNum\":0,\"RegionCategory\":null,\"ArticlePicture\":[],\"TitleCN\":null,\"AbstractTextCN\":null,\"PMCID\":null,\"EPubDate\":\"2025/6/30 0:00:00\",\"PubModel\":\"Epub\",\"JCR\":\"Q3\",\"JCRName\":\"VETERINARY SCIENCES\",\"Score\":null,\"Total\":0}","platform":"Semanticscholar","paperid":null,"PeriodicalName":"Open Veterinary Journal","FirstCategoryId":"1085","ListUrlMain":"https://doi.org/10.5455/OVJ.2025.v15.i6.10","RegionNum":0,"RegionCategory":null,"ArticlePicture":[],"TitleCN":null,"AbstractTextCN":null,"PMCID":null,"EPubDate":"2025/6/30 0:00:00","PubModel":"Epub","JCR":"Q3","JCRName":"VETERINARY SCIENCES","Score":null,"Total":0}
引用次数: 0

摘要

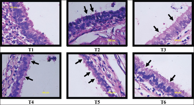
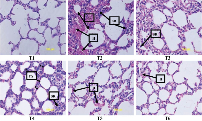
背景:尼古丁暴露通过产生活性氧导致细胞损伤,从而导致炎症。DNA损伤和动脉粥样硬化等疾病。单瓣大蒜提取物(SCGE)含有抗氧化剂,如大蒜素和类黄酮,可以通过减少促炎细胞因子来抵消尼古丁的有害影响,这表明SCGE有可能作为一种支持健康的自然治疗干预手段。目的:本研究旨在通过评估SCGE对TNF-α、白细胞介素6 (IL-6)和气管、肺和冠状动脉组织结构完整性的影响,探讨SCGE对尼古丁诱导的大鼠肺毒性的影响。方法:以30只雄性大鼠为研究对象,将其分为5个治疗组:T1(阴性对照)、T2(烟碱3mg /ml)、T3(烟碱3mg /ml加3.6 mg/d维生素C)、T4;T5;T6组(尼古丁3 mg/ml, SCGE 75、100、125 kg/mg体重)。尼古丁暴露后口服SCGE,每天两次,连续14天。免疫组化染色检测TNF-α和IL-6的表达。采用H&E染色对大鼠气管、肺器官及冠状动脉进行组织病理学检查。结果:T4、T5、T6组血清TNF-α、IL-6水平明显低于T2组(2.90、4.72),纤毛损伤程度、上皮高度、粘膜厚度均明显降低。T6组冠状动脉(14.97µm)与T2组(121.36µm)比较差异有统计学意义。T4、T5、T6组冠状动脉平均管腔直径较T2组增大(49.71µm)。与T2相比,T6的出血、肺泡间隔增厚和炎症细胞浸润明显减少(42.65%)。结论:综上所述,SCGE治疗可以潜在地减轻尼古丁引起的肺毒性,这可以通过改善TNF-α、IL-6和气管、肺和冠状动脉的组织病理学损伤来证明。这些发现表明,SCGE可以作为一种潜在的自然治疗干预措施来预防或治疗尼古丁引起的肺损伤。这些发现表明,SCGE可以作为一种潜在的自然治疗干预措施来预防或治疗尼古丁引起的肺损伤。进一步的研究可以探索SCGE抗炎和抗氧化作用的机制。
本文章由计算机程序翻译,如有差异,请以英文原文为准。

Therapeutic effects of single-clove garlic extract on nicotine-induced inflammation and histopathological changes in rats.

Therapeutic effects of single-clove garlic extract on nicotine-induced inflammation and histopathological changes in rats.

Therapeutic effects of single-clove garlic extract on nicotine-induced inflammation and histopathological changes in rats.

Therapeutic effects of single-clove garlic extract on nicotine-induced inflammation and histopathological changes in rats.

Background: Nicotine exposure causes cellular damage by generating reactive oxygen species, leading to inflammation. DNA damage, and diseases such as atherosclerosis. Single-clove garlic extract (SCGE) contains antioxidants such as allicin and flavonoids that may counteract nicotine's harmful effects by reducing pro-inflammatory cytokines, suggesting SCGE's potential as a natural therapeutic intervention to support good health.

Aim: This study aimed to investigate the effects of SCGE against nicotine-induced pneumotoxicity in rats by assessing its impact on TNF-α, interleukin 6 (IL-6), and structural integrity tracheal, pulmonary, and coronary artery tissues.

Methods: The subjects of this study were 30 male rats which were divided into the following 5 treatment groups: T1 (negative control), T2 (3 mg/ml of nicotine), and T3 (3 mg/ml of nicotine and 3.6 mg/day vitamin C), T4; T5; T6 groups (3 mg/ml nicotine and 75; 100; 125 kg/mg body weight of SCGE). A nicotine exposure followed by oral SCGE was administered twice a day consecutively for 14 days. The TNF-α and IL-6 expression was evaluated using immunohistochemical staining. Histopathology of the tracheal and pulmonary organs and coronary arteries was performed using H&E staining.

Results: The T4, T5, and T6 groups revealed that TNF-α and IL-6 levels were significantly lower than in T2 (2.90 and 4.72), reducing ciliary damage, epithelial height, and mucosal thickness. The T6 group exhibited significant differences in the coronary arteries (14.97 µm) compared with the T2 (121.36 µm). The mean lumen diameter of the coronary artery of the T4, T5, and T6 groups was increased compared with T2 (49.71 µm). Significant decreases (42,65%) were observed in hemorrhage, alveolar septal thickening, and inflammatory cell infiltration in the T6 compared to T2.

Conclusion: In conclusion, SCGE treatment can potentially mitigate pneumotoxicity caused by nicotine, as evidenced by improvements in TNF-α, IL-6, and histopathological damage of the tracheal, pulmonary, and coronary arteries. These findings suggest that SCGE could be explored as a potential natural therapeutic intervention for preventing or treating nicotine-induced lung damage. These findings suggest that SCGE could be explored as a potential natural therapeutic intervention to prevent or treat nicotine-induced lung damage. Further studies could explore the mechanisms underlying SCGE's anti-inflammatory and antioxidant properties.

求助全文
通过发布文献求助,成功后即可免费获取论文全文。 去求助
来源期刊
Open Veterinary Journal
Open Veterinary Journal VETERINARY SCIENCES-
CiteScore
1.40
自引率
0.00%
发文量
112
审稿时长
12 weeks
期刊介绍: Open Veterinary Journal is a peer-reviewed international open access online and printed journal that publishes high-quality original research articles. reviews, short communications and case reports dedicated to all aspects of veterinary sciences and its related subjects. Research areas include the following: Infectious diseases of zoonotic/food-borne importance, applied biochemistry, parasitology, endocrinology, microbiology, immunology, pathology, pharmacology, physiology, epidemiology, molecular biology, immunogenetics, surgery, ophthalmology, dermatology, oncology and animal reproduction. All papers are peer-reviewed. Moreover, with the presence of well-qualified group of international referees, the process of publication will be done meticulously and to the highest standards.
×
引用
GB/T 7714-2015
复制
MLA
复制
APA
复制
导出至
BibTeX EndNote RefMan NoteFirst NoteExpress
×
提示
您的信息不完整,为了账户安全,请先补充。
现在去补充
×
提示
您因"违规操作"
具体请查看互助需知
我知道了
×
提示
确定
请完成安全验证×
copy
已复制链接
快去分享给好友吧!
我知道了
右上角分享
点击右上角分享
0
联系我们:info@booksci.cn Book学术提供免费学术资源搜索服务,方便国内外学者检索中英文文献。致力于提供最便捷和优质的服务体验。 Copyright © 2023 布克学术 All rights reserved.
京ICP备2023020795号-1
ghs 京公网安备 11010802042870号
Book学术文献互助
Book学术文献互助群
群 号:604180095
Book学术官方微信