绿茶提取物对庆大霉素处理大鼠的体重、炎症指标、肾功能、氧化应激和肾脏组织病理学的保护和治疗作用。

IF 1 Q3 VETERINARY SCIENCES
Open Veterinary Journal Pub Date : 2025-06-01 Epub Date: 2025-06-30 DOI:10.5455/OVJ.2025.v15.i6.43
Nabeel Mahdi Abed, Hakeem Jawad Kadhim, Fadil Mohsen Hamed
{"title":"绿茶提取物对庆大霉素处理大鼠的体重、炎症指标、肾功能、氧化应激和肾脏组织病理学的保护和治疗作用。","authors":"Nabeel Mahdi Abed, Hakeem Jawad Kadhim, Fadil Mohsen Hamed","doi":"10.5455/OVJ.2025.v15.i6.43","DOIUrl":null,"url":null,"abstract":"<p><strong>Background: </strong>Green tea (GT), which is rich in polyphenolic compounds, has an extensive array of proactive preventive and therapeutic properties for the mitigation of various diseases, including acute kidney damage. This study hypothesized that GT attenuates gentamicin-induced renal damage by decreasing the levels of inflammatory biomarkers and exerting antioxidant properties.</p><p><strong>Aims: </strong>This experiment was designed to investigate the effects of gentamicin on kidney functions and to determine whether GT extract prevents or minimizes the adverse effects of gentamicin in male Sprague-Dawley rats.</p><p><strong>Materials and methods: </strong>Five groups were formed: a control (untreated) group and four experimental groups. For 2 weeks, the control group received distilled water. In the first experimental group (T1), rats orally received GT extract (20 µg/g body weight) for 2 weeks. In the second group (T2), gentamicin (100 mg/kg body weight) was injected intraperitoneally for 1 week. In the third group (T3), rats were intraperitoneally injected with gentamicin for a week; then, an oral administration of GT extract. In the last group (T4), an intraperitoneal injection of gentamicin was administered, followed by an oral administration of GT extract for 2 weeks. Blood and kidney tissues were collected at the end of the treatment for biochemical and histological examinations.</p><p><strong>Results: </strong>The administration of gentamicin induced a decline in body weight and increases in the levels of inflammatory markers (kidney injury molecule I, tumor necrosis factor-alpha, and interleukin-6), urea, and creatinine, which are indicative of renal damage. Histopathological examination revealed extensive renal tissue damage. However, concurrent administration of gentamicin and GT diminished these parameters by decreasing the malondialdehyde concentration and improving the activity of antioxidant enzymes (glutathione peroxidase and superoxide dismutase). Furthermore, gentamicin injections caused nephrotoxicity, as evidenced by a reduction in body weight and higher levels of urea, creatinine, and inflammatory markers.</p><p><strong>Conclusion: </strong>GT mitigated the effects of gentamicin by improving the activity of antioxidant enzymes, resulting in a reduction in oxidative stress and minimization of inflammation. These findings suggest a potential complementary role for GT extract in the minimization of gentamicin-induced nephrotoxicity.</p>","PeriodicalId":19531,"journal":{"name":"Open Veterinary Journal","volume":"15 6","pages":"2750-2761"},"PeriodicalIF":1.0000,"publicationDate":"2025-06-01","publicationTypes":"Journal Article","fieldsOfStudy":null,"isOpenAccess":false,"openAccessPdf":"https://www.ncbi.nlm.nih.gov/pmc/articles/PMC12451148/pdf/","citationCount":"0","resultStr":"{\"title\":\"The protective and therapeutic roles of green tea extract on body weight, inflammatory markers, renal function, oxidative stress, and kidney histopathology in rats treated with gentamicin.\",\"authors\":\"Nabeel Mahdi Abed, Hakeem Jawad Kadhim, Fadil Mohsen Hamed\",\"doi\":\"10.5455/OVJ.2025.v15.i6.43\",\"DOIUrl\":null,\"url\":null,\"abstract\":\"<p><strong>Background: </strong>Green tea (GT), which is rich in polyphenolic compounds, has an extensive array of proactive preventive and therapeutic properties for the mitigation of various diseases, including acute kidney damage. This study hypothesized that GT attenuates gentamicin-induced renal damage by decreasing the levels of inflammatory biomarkers and exerting antioxidant properties.</p><p><strong>Aims: </strong>This experiment was designed to investigate the effects of gentamicin on kidney functions and to determine whether GT extract prevents or minimizes the adverse effects of gentamicin in male Sprague-Dawley rats.</p><p><strong>Materials and methods: </strong>Five groups were formed: a control (untreated) group and four experimental groups. For 2 weeks, the control group received distilled water. In the first experimental group (T1), rats orally received GT extract (20 µg/g body weight) for 2 weeks. In the second group (T2), gentamicin (100 mg/kg body weight) was injected intraperitoneally for 1 week. In the third group (T3), rats were intraperitoneally injected with gentamicin for a week; then, an oral administration of GT extract. In the last group (T4), an intraperitoneal injection of gentamicin was administered, followed by an oral administration of GT extract for 2 weeks. Blood and kidney tissues were collected at the end of the treatment for biochemical and histological examinations.</p><p><strong>Results: </strong>The administration of gentamicin induced a decline in body weight and increases in the levels of inflammatory markers (kidney injury molecule I, tumor necrosis factor-alpha, and interleukin-6), urea, and creatinine, which are indicative of renal damage. Histopathological examination revealed extensive renal tissue damage. However, concurrent administration of gentamicin and GT diminished these parameters by decreasing the malondialdehyde concentration and improving the activity of antioxidant enzymes (glutathione peroxidase and superoxide dismutase). Furthermore, gentamicin injections caused nephrotoxicity, as evidenced by a reduction in body weight and higher levels of urea, creatinine, and inflammatory markers.</p><p><strong>Conclusion: </strong>GT mitigated the effects of gentamicin by improving the activity of antioxidant enzymes, resulting in a reduction in oxidative stress and minimization of inflammation. These findings suggest a potential complementary role for GT extract in the minimization of gentamicin-induced nephrotoxicity.</p>\",\"PeriodicalId\":19531,\"journal\":{\"name\":\"Open Veterinary Journal\",\"volume\":\"15 6\",\"pages\":\"2750-2761\"},\"PeriodicalIF\":1.0000,\"publicationDate\":\"2025-06-01\",\"publicationTypes\":\"Journal Article\",\"fieldsOfStudy\":null,\"isOpenAccess\":false,\"openAccessPdf\":\"https://www.ncbi.nlm.nih.gov/pmc/articles/PMC12451148/pdf/\",\"citationCount\":\"0\",\"resultStr\":null,\"platform\":\"Semanticscholar\",\"paperid\":null,\"PeriodicalName\":\"Open Veterinary Journal\",\"FirstCategoryId\":\"1085\",\"ListUrlMain\":\"https://doi.org/10.5455/OVJ.2025.v15.i6.43\",\"RegionNum\":0,\"RegionCategory\":null,\"ArticlePicture\":[],\"TitleCN\":null,\"AbstractTextCN\":null,\"PMCID\":null,\"EPubDate\":\"2025/6/30 0:00:00\",\"PubModel\":\"Epub\",\"JCR\":\"Q3\",\"JCRName\":\"VETERINARY SCIENCES\",\"Score\":null,\"Total\":0}","platform":"Semanticscholar","paperid":null,"PeriodicalName":"Open Veterinary Journal","FirstCategoryId":"1085","ListUrlMain":"https://doi.org/10.5455/OVJ.2025.v15.i6.43","RegionNum":0,"RegionCategory":null,"ArticlePicture":[],"TitleCN":null,"AbstractTextCN":null,"PMCID":null,"EPubDate":"2025/6/30 0:00:00","PubModel":"Epub","JCR":"Q3","JCRName":"VETERINARY SCIENCES","Score":null,"Total":0}
引用次数: 0

摘要

背景:绿茶(GT)富含多酚类化合物,具有广泛的主动预防和治疗特性,可减轻各种疾病,包括急性肾损伤。本研究假设GT通过降低炎症生物标志物水平和发挥抗氧化特性来减轻庆大霉素引起的肾损害。目的:本实验旨在研究庆大霉素对雄性Sprague-Dawley大鼠肾功能的影响,并确定GT提取物是否能预防或减轻庆大霉素对雄性Sprague-Dawley大鼠的不良反应。材料与方法:分为5组:1个对照组(未处理组)和4个实验组。对照组给予蒸馏水治疗2周。第一实验组(T1),大鼠口服GT提取物(20µg/g体重)2周。第二组(T2)腹腔注射庆大霉素(100 mg/kg体重)1周。第三组(T3)大鼠腹腔注射庆大霉素1周;然后口服GT提取物。最后一组(T4)腹腔注射庆大霉素,随后口服GT提取物2周。治疗结束时采集血液和肾脏组织进行生化和组织学检查。结果:庆大霉素引起体重下降,炎症标志物(肾损伤分子I、肿瘤坏死因子- α和白细胞介素-6)、尿素和肌酐水平升高,这表明肾脏损害。组织病理学检查显示肾组织大面积损伤。然而,同时给药庆大霉素和GT通过降低丙二醛浓度和提高抗氧化酶(谷胱甘肽过氧化物酶和超氧化物歧化酶)的活性来降低这些参数。此外,庆大霉素注射引起肾毒性,如体重减轻和尿素、肌酐和炎症标志物水平升高所证明。结论:GT通过提高抗氧化酶的活性来减轻庆大霉素的影响,从而减少氧化应激和最小化炎症。这些发现表明GT提取物在最大限度地减少庆大霉素引起的肾毒性方面具有潜在的补充作用。
本文章由计算机程序翻译,如有差异,请以英文原文为准。

The protective and therapeutic roles of green tea extract on body weight, inflammatory markers, renal function, oxidative stress, and kidney histopathology in rats treated with gentamicin.

The protective and therapeutic roles of green tea extract on body weight, inflammatory markers, renal function, oxidative stress, and kidney histopathology in rats treated with gentamicin.

The protective and therapeutic roles of green tea extract on body weight, inflammatory markers, renal function, oxidative stress, and kidney histopathology in rats treated with gentamicin.

The protective and therapeutic roles of green tea extract on body weight, inflammatory markers, renal function, oxidative stress, and kidney histopathology in rats treated with gentamicin.

Background: Green tea (GT), which is rich in polyphenolic compounds, has an extensive array of proactive preventive and therapeutic properties for the mitigation of various diseases, including acute kidney damage. This study hypothesized that GT attenuates gentamicin-induced renal damage by decreasing the levels of inflammatory biomarkers and exerting antioxidant properties.

Aims: This experiment was designed to investigate the effects of gentamicin on kidney functions and to determine whether GT extract prevents or minimizes the adverse effects of gentamicin in male Sprague-Dawley rats.

Materials and methods: Five groups were formed: a control (untreated) group and four experimental groups. For 2 weeks, the control group received distilled water. In the first experimental group (T1), rats orally received GT extract (20 µg/g body weight) for 2 weeks. In the second group (T2), gentamicin (100 mg/kg body weight) was injected intraperitoneally for 1 week. In the third group (T3), rats were intraperitoneally injected with gentamicin for a week; then, an oral administration of GT extract. In the last group (T4), an intraperitoneal injection of gentamicin was administered, followed by an oral administration of GT extract for 2 weeks. Blood and kidney tissues were collected at the end of the treatment for biochemical and histological examinations.

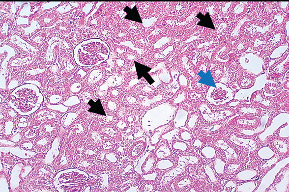
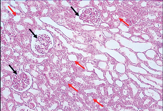
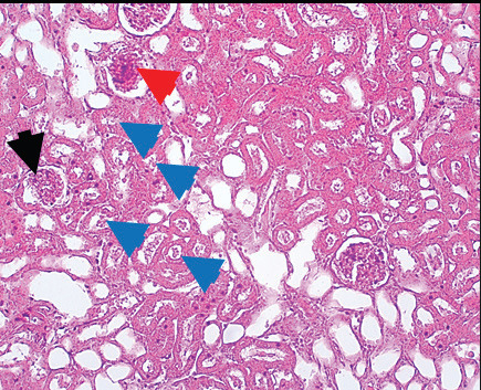
Results: The administration of gentamicin induced a decline in body weight and increases in the levels of inflammatory markers (kidney injury molecule I, tumor necrosis factor-alpha, and interleukin-6), urea, and creatinine, which are indicative of renal damage. Histopathological examination revealed extensive renal tissue damage. However, concurrent administration of gentamicin and GT diminished these parameters by decreasing the malondialdehyde concentration and improving the activity of antioxidant enzymes (glutathione peroxidase and superoxide dismutase). Furthermore, gentamicin injections caused nephrotoxicity, as evidenced by a reduction in body weight and higher levels of urea, creatinine, and inflammatory markers.

Conclusion: GT mitigated the effects of gentamicin by improving the activity of antioxidant enzymes, resulting in a reduction in oxidative stress and minimization of inflammation. These findings suggest a potential complementary role for GT extract in the minimization of gentamicin-induced nephrotoxicity.

求助全文
通过发布文献求助,成功后即可免费获取论文全文。 去求助
来源期刊
Open Veterinary Journal
Open Veterinary Journal VETERINARY SCIENCES-
CiteScore
1.40
自引率
0.00%
发文量
112
审稿时长
12 weeks
期刊介绍: Open Veterinary Journal is a peer-reviewed international open access online and printed journal that publishes high-quality original research articles. reviews, short communications and case reports dedicated to all aspects of veterinary sciences and its related subjects. Research areas include the following: Infectious diseases of zoonotic/food-borne importance, applied biochemistry, parasitology, endocrinology, microbiology, immunology, pathology, pharmacology, physiology, epidemiology, molecular biology, immunogenetics, surgery, ophthalmology, dermatology, oncology and animal reproduction. All papers are peer-reviewed. Moreover, with the presence of well-qualified group of international referees, the process of publication will be done meticulously and to the highest standards.
×
引用
GB/T 7714-2015
复制
MLA
复制
APA
复制
导出至
BibTeX EndNote RefMan NoteFirst NoteExpress
×
提示
您的信息不完整,为了账户安全,请先补充。
现在去补充
×
提示
您因"违规操作"
具体请查看互助需知
我知道了
×
提示
确定
请完成安全验证×
copy
已复制链接
快去分享给好友吧!
我知道了
右上角分享
点击右上角分享
0
联系我们:info@booksci.cn Book学术提供免费学术资源搜索服务,方便国内外学者检索中英文文献。致力于提供最便捷和优质的服务体验。 Copyright © 2023 布克学术 All rights reserved.
京ICP备2023020795号-1
ghs 京公网安备 11010802042870号
Book学术文献互助
Book学术文献互助群
群 号:604180095
Book学术官方微信