肉鸡肠炎沙门氏菌感染的鉴定及果仁和姜黄素提取物对肉鸡的治疗作用。

IF 1 Q3 VETERINARY SCIENCES
Open Veterinary Journal Pub Date : 2025-06-01 Epub Date: 2025-06-30 DOI:10.5455/OVJ.2025.v15.i6.40
Raed Hussein Salih Rabee, Shurooq Asaad Abdulameer Shaher, Mohammed R Obaid, Adnan Mansour Jasim, Saadeya Ali Lefelef Al-Gnami
{"title":"肉鸡肠炎沙门氏菌感染的鉴定及果仁和姜黄素提取物对肉鸡的治疗作用。","authors":"Raed Hussein Salih Rabee, Shurooq Asaad Abdulameer Shaher, Mohammed R Obaid, Adnan Mansour Jasim, Saadeya Ali Lefelef Al-Gnami","doi":"10.5455/OVJ.2025.v15.i6.40","DOIUrl":null,"url":null,"abstract":"<p><strong>Background: </strong><i>Salmonella enteritidis</i> is a major foodborne pathogen and affects the poultry industry as well.</p><p><strong>Aim: </strong>This study aimed to find out how well extracts of <i>Cordia myxa (C. myxa)</i> and curcumin protect chickens from S. enteritidis infection.</p><p><strong>Method: </strong>We bred 75 newly hatched Ros 308s after 10 days. The negative control was the only group that was not infected. The other four groups of broiler chicks in each group were infected by 1 × 107 cfu S. enteritidis 147, which is known to be resistant to nalidixic acid. Group 3 received a standard feed supplemented with curcumin at 400 mg/kg. Group 4 received a standard diet and 500 mg/kg of extract in drinking water. Lastly, Group 5 received a standard feed supplemented with 400 mg/kg and 500 mg/kg of extract in drinking water.</p><p><strong>Results: </strong>The obtained results showed that broilers that were infected with <i>S. enteritidis</i> and given curcumin and <i>C. myxia</i> did better in terms of body weight, IgG, and IgA levels than the positive untreated group. In particular, <i>C. myxia</i> was better than curcumin in IgA. Even though curcumin or mixed therapy raised glutathione, it also decreased the number of heterophils (heterophilia) and inflammatory cytokines (IL-8 and TNF-α). This happened because the number of white blood cells and lymphocytes was reduced in the groups that got curcumin or <i>C. myxa</i>. The number of goblet cells also was raised. The intestinal villi stayed the same.</p><p><strong>Conclusion: </strong>The combination of <i>C. myxa</i> and curcumin inhibits the growth of <i>S. enteritidis</i>, provides antioxidants, reduces free radicals, and improves intestinal tissue.</p>","PeriodicalId":19531,"journal":{"name":"Open Veterinary Journal","volume":"15 6","pages":"2715-2721"},"PeriodicalIF":1.0000,"publicationDate":"2025-06-01","publicationTypes":"Journal Article","fieldsOfStudy":null,"isOpenAccess":false,"openAccessPdf":"https://www.ncbi.nlm.nih.gov/pmc/articles/PMC12451138/pdf/","citationCount":"0","resultStr":"{\"title\":\"The identification of <i>Salmonella enteritidis</i> infection and therapeutic influence of fruit <i>Cordia myxa</i> and curcumin extracts on broiler chickens.\",\"authors\":\"Raed Hussein Salih Rabee, Shurooq Asaad Abdulameer Shaher, Mohammed R Obaid, Adnan Mansour Jasim, Saadeya Ali Lefelef Al-Gnami\",\"doi\":\"10.5455/OVJ.2025.v15.i6.40\",\"DOIUrl\":null,\"url\":null,\"abstract\":\"<p><strong>Background: </strong><i>Salmonella enteritidis</i> is a major foodborne pathogen and affects the poultry industry as well.</p><p><strong>Aim: </strong>This study aimed to find out how well extracts of <i>Cordia myxa (C. myxa)</i> and curcumin protect chickens from S. enteritidis infection.</p><p><strong>Method: </strong>We bred 75 newly hatched Ros 308s after 10 days. The negative control was the only group that was not infected. The other four groups of broiler chicks in each group were infected by 1 × 107 cfu S. enteritidis 147, which is known to be resistant to nalidixic acid. Group 3 received a standard feed supplemented with curcumin at 400 mg/kg. Group 4 received a standard diet and 500 mg/kg of extract in drinking water. Lastly, Group 5 received a standard feed supplemented with 400 mg/kg and 500 mg/kg of extract in drinking water.</p><p><strong>Results: </strong>The obtained results showed that broilers that were infected with <i>S. enteritidis</i> and given curcumin and <i>C. myxia</i> did better in terms of body weight, IgG, and IgA levels than the positive untreated group. In particular, <i>C. myxia</i> was better than curcumin in IgA. Even though curcumin or mixed therapy raised glutathione, it also decreased the number of heterophils (heterophilia) and inflammatory cytokines (IL-8 and TNF-α). This happened because the number of white blood cells and lymphocytes was reduced in the groups that got curcumin or <i>C. myxa</i>. The number of goblet cells also was raised. The intestinal villi stayed the same.</p><p><strong>Conclusion: </strong>The combination of <i>C. myxa</i> and curcumin inhibits the growth of <i>S. enteritidis</i>, provides antioxidants, reduces free radicals, and improves intestinal tissue.</p>\",\"PeriodicalId\":19531,\"journal\":{\"name\":\"Open Veterinary Journal\",\"volume\":\"15 6\",\"pages\":\"2715-2721\"},\"PeriodicalIF\":1.0000,\"publicationDate\":\"2025-06-01\",\"publicationTypes\":\"Journal Article\",\"fieldsOfStudy\":null,\"isOpenAccess\":false,\"openAccessPdf\":\"https://www.ncbi.nlm.nih.gov/pmc/articles/PMC12451138/pdf/\",\"citationCount\":\"0\",\"resultStr\":null,\"platform\":\"Semanticscholar\",\"paperid\":null,\"PeriodicalName\":\"Open Veterinary Journal\",\"FirstCategoryId\":\"1085\",\"ListUrlMain\":\"https://doi.org/10.5455/OVJ.2025.v15.i6.40\",\"RegionNum\":0,\"RegionCategory\":null,\"ArticlePicture\":[],\"TitleCN\":null,\"AbstractTextCN\":null,\"PMCID\":null,\"EPubDate\":\"2025/6/30 0:00:00\",\"PubModel\":\"Epub\",\"JCR\":\"Q3\",\"JCRName\":\"VETERINARY SCIENCES\",\"Score\":null,\"Total\":0}","platform":"Semanticscholar","paperid":null,"PeriodicalName":"Open Veterinary Journal","FirstCategoryId":"1085","ListUrlMain":"https://doi.org/10.5455/OVJ.2025.v15.i6.40","RegionNum":0,"RegionCategory":null,"ArticlePicture":[],"TitleCN":null,"AbstractTextCN":null,"PMCID":null,"EPubDate":"2025/6/30 0:00:00","PubModel":"Epub","JCR":"Q3","JCRName":"VETERINARY SCIENCES","Score":null,"Total":0}
引用次数: 0

摘要

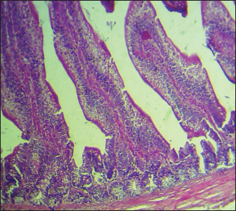
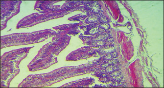
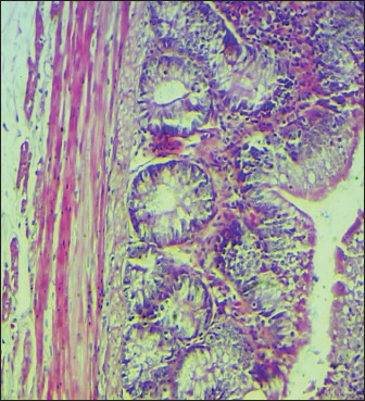
背景:肠炎沙门氏菌是一种主要的食源性病原体,也影响着家禽业。目的:研究薏苡仁提取物和姜黄素对鸡肠炎链球菌感染的保护作用。方法:对75只刚孵出的ro308进行10 d孵育。阴性对照组是唯一未被感染的一组。其余4组肉鸡每组感染1 × 107 cfu的肠炎沙门氏菌147,已知该菌对萘啶酸具有抗性。3组饲喂标准饲料,在标准饲料中添加姜黄素400 mg/kg。第4组饲喂标准日粮,并在饮水中添加500 mg/kg提取物。最后,第5组饲喂在饮水中分别添加400 mg/kg和500 mg/kg提取物的标准饲料。结果:结果表明,感染肠炎沙门氏菌并给予姜黄素和粘菌C.的肉鸡在体重、IgG和IgA水平上均优于未处理的阳性肉鸡。其中,黏菌对IgA的抑制作用优于姜黄素。尽管姜黄素或混合治疗提高了谷胱甘肽,但它也减少了嗜异性粒细胞(heterophilia)和炎症细胞因子(IL-8和TNF-α)的数量。这是因为服用姜黄素或C. myxa的组中白细胞和淋巴细胞的数量减少了。杯状细胞的数量也有所增加。肠绒毛保持不变。结论:番石榴与姜黄素联合使用可抑制肠炎链球菌的生长,提供抗氧化剂,减少自由基,改善肠道组织。
本文章由计算机程序翻译,如有差异,请以英文原文为准。

The identification of <i>Salmonella enteritidis</i> infection and therapeutic influence of fruit <i>Cordia myxa</i> and curcumin extracts on broiler chickens.

The identification of <i>Salmonella enteritidis</i> infection and therapeutic influence of fruit <i>Cordia myxa</i> and curcumin extracts on broiler chickens.

The identification of <i>Salmonella enteritidis</i> infection and therapeutic influence of fruit <i>Cordia myxa</i> and curcumin extracts on broiler chickens.

The identification of Salmonella enteritidis infection and therapeutic influence of fruit Cordia myxa and curcumin extracts on broiler chickens.

Background: Salmonella enteritidis is a major foodborne pathogen and affects the poultry industry as well.

Aim: This study aimed to find out how well extracts of Cordia myxa (C. myxa) and curcumin protect chickens from S. enteritidis infection.

Method: We bred 75 newly hatched Ros 308s after 10 days. The negative control was the only group that was not infected. The other four groups of broiler chicks in each group were infected by 1 × 107 cfu S. enteritidis 147, which is known to be resistant to nalidixic acid. Group 3 received a standard feed supplemented with curcumin at 400 mg/kg. Group 4 received a standard diet and 500 mg/kg of extract in drinking water. Lastly, Group 5 received a standard feed supplemented with 400 mg/kg and 500 mg/kg of extract in drinking water.

Results: The obtained results showed that broilers that were infected with S. enteritidis and given curcumin and C. myxia did better in terms of body weight, IgG, and IgA levels than the positive untreated group. In particular, C. myxia was better than curcumin in IgA. Even though curcumin or mixed therapy raised glutathione, it also decreased the number of heterophils (heterophilia) and inflammatory cytokines (IL-8 and TNF-α). This happened because the number of white blood cells and lymphocytes was reduced in the groups that got curcumin or C. myxa. The number of goblet cells also was raised. The intestinal villi stayed the same.

Conclusion: The combination of C. myxa and curcumin inhibits the growth of S. enteritidis, provides antioxidants, reduces free radicals, and improves intestinal tissue.

求助全文
通过发布文献求助,成功后即可免费获取论文全文。 去求助
来源期刊
Open Veterinary Journal
Open Veterinary Journal VETERINARY SCIENCES-
CiteScore
1.40
自引率
0.00%
发文量
112
审稿时长
12 weeks
期刊介绍: Open Veterinary Journal is a peer-reviewed international open access online and printed journal that publishes high-quality original research articles. reviews, short communications and case reports dedicated to all aspects of veterinary sciences and its related subjects. Research areas include the following: Infectious diseases of zoonotic/food-borne importance, applied biochemistry, parasitology, endocrinology, microbiology, immunology, pathology, pharmacology, physiology, epidemiology, molecular biology, immunogenetics, surgery, ophthalmology, dermatology, oncology and animal reproduction. All papers are peer-reviewed. Moreover, with the presence of well-qualified group of international referees, the process of publication will be done meticulously and to the highest standards.
×
引用
GB/T 7714-2015
复制
MLA
复制
APA
复制
导出至
BibTeX EndNote RefMan NoteFirst NoteExpress
×
提示
您的信息不完整,为了账户安全,请先补充。
现在去补充
×
提示
您因"违规操作"
具体请查看互助需知
我知道了
×
提示
确定
请完成安全验证×
copy
已复制链接
快去分享给好友吧!
我知道了
右上角分享
点击右上角分享
0
联系我们:info@booksci.cn Book学术提供免费学术资源搜索服务,方便国内外学者检索中英文文献。致力于提供最便捷和优质的服务体验。 Copyright © 2023 布克学术 All rights reserved.
京ICP备2023020795号-1
ghs 京公网安备 11010802042870号
Book学术文献互助
Book学术文献互助群
群 号:604180095
Book学术官方微信