发酵紫洋葱(Allium cepa L.)和韭菜(Allium schoenoprasum)球茎提取物作为抗携带毒素细菌的抗生素替代品:体外和鸡致病性评估。

IF 1 Q3 VETERINARY SCIENCES
Open Veterinary Journal Pub Date : 2025-06-01 Epub Date: 2025-06-30 DOI:10.5455/OVJ.2025.v15.i6.8
Phan Vu Hai, Nguyen Xuan Hoa, Hoang Thi Anh Phuong
{"title":"发酵紫洋葱(Allium cepa L.)和韭菜(Allium schoenoprasum)球茎提取物作为抗携带毒素细菌的抗生素替代品:体外和鸡致病性评估。","authors":"Phan Vu Hai, Nguyen Xuan Hoa, Hoang Thi Anh Phuong","doi":"10.5455/OVJ.2025.v15.i6.8","DOIUrl":null,"url":null,"abstract":"<p><strong>Background: </strong>Antibiotic resistance in <i>Escherichia coli</i> and <i>Salmonella</i> spp. poses a significant threat to poultry health and productivity. Overuse of antibiotics in poultry farming has led to the emergence of multidrug-resistant (MDR) pathogens, which have contributed to food safety concerns and limited treatment options. Natural antimicrobial alternatives, particularly herbal agricultural products such as purple onions and chives, have gained interest as sustainable solutions. Furthermore, fermentation with probiotic bacteria enhances the antimicrobial properties of botanical extracts, improving their efficacy against pathogenic bacteria.</p><p><strong>Aim: </strong>This study aimed to evaluate the antibacterial efficacy of fermented purple onion (FPO) and fermented chive (FC) extracts against <i>E. coli</i> and <i>Salmonella</i> spp., both causative agents of diarrhea, in broiler chickens. The research also compared their effectiveness with conventional antibiotics used in poultry farming.</p><p><strong>Methods: </strong>We fermented fresh purple onion and chive extracts using <i>Lactobacillus plantarum</i> and <i>Bacillus subtilis</i> for 72 hours under anaerobic conditions. Pathogenic <i>E. coli</i> (22) and <i>Salmonella</i> spp. (9) were isolated from 30 diarrheal chicken fecal samples and identified through biochemical tests, <i>in vivo</i> virulence testing in chicks, polymerase chain reaction detection of toxin genes (<i>Stx1, Stx2</i>, and <i>Stn</i>), and 16S rRNA sequencing. The antibacterial activity of the fermented extracts was evaluated using disk diffusion assays, minimum inhibitory concentration (MIC), and minimum bactericidal concentration (MBC) tests. The bioactive compound content, including phenolics, flavonoids, and sulfur compounds, was quantified using an aluminum chloride colorimetric assay to assess their contribution to antimicrobial efficacy.</p><p><strong>Results: </strong><i>In vivo</i> virulence assessment of chickens revealed that 4 <i>E. coli</i> strains (18.2%) and 5 <i>Salmonella</i> strains (26.3%) induced diarrhea. Of these, 2 <i>E. coli</i> strains (50%) harbored the <i>Stx1</i> toxin gene, and all 5 <i>Salmonella</i> strains (100%) carried the <i>Stn</i> gene. 16S rRNA gene sequencing identified 2 <i>E. coli</i> strains and 4 <i>Salmonella</i> strains. All bacterial isolates exhibited MDR, particularly beta-lactam and macrolide antibiotics. Both fermented extracts exhibited significant antibacterial activity against MDR <i>E. coli</i> and <i>Salmonella</i> spp., with FC exhibiting superior efficacy compared to FPO. The inhibition zones of FC (12.5-17.6 mm) were significantly larger than those of FPO (10.1-16.8 mm), particularly against <i>E. coli</i> FG31-1 and <i>Salmonella pullorum</i> NCTC10705. The MIC and MBC values indicated that FC had a stronger bactericidal effect, requiring lower concentrations to inhibit and kill bacterial growth. FC contained higher levels of flavonoids and allicin, which were correlated with its enhanced antibacterial properties.</p><p><strong>Conclusion: </strong>FPO and FC, particularly FPO, show strong antibacterial potential as natural alternatives to antibiotics in poultry farming. Their ability to inhibit MDR pathogens suggests their role in reducing antibiotic dependency and improving poultry health. Further, <i>in vivo</i> studies and commercial formulation strategies are required to validate the practical application of these formulations in the poultry industry.</p>","PeriodicalId":19531,"journal":{"name":"Open Veterinary Journal","volume":"15 6","pages":"2355-2364"},"PeriodicalIF":1.0000,"publicationDate":"2025-06-01","publicationTypes":"Journal Article","fieldsOfStudy":null,"isOpenAccess":false,"openAccessPdf":"https://www.ncbi.nlm.nih.gov/pmc/articles/PMC12451125/pdf/","citationCount":"0","resultStr":"{\"title\":\"Fermented purple onion (<i>Allium cepa L.</i>) and chive (<i>Allium schoenoprasum</i>) bulb extracts as antibiotic alternatives against toxin-carrying bacteria: In vitro and pathogenicity assessment in chickens.\",\"authors\":\"Phan Vu Hai, Nguyen Xuan Hoa, Hoang Thi Anh Phuong\",\"doi\":\"10.5455/OVJ.2025.v15.i6.8\",\"DOIUrl\":null,\"url\":null,\"abstract\":\"<p><strong>Background: </strong>Antibiotic resistance in <i>Escherichia coli</i> and <i>Salmonella</i> spp. poses a significant threat to poultry health and productivity. Overuse of antibiotics in poultry farming has led to the emergence of multidrug-resistant (MDR) pathogens, which have contributed to food safety concerns and limited treatment options. Natural antimicrobial alternatives, particularly herbal agricultural products such as purple onions and chives, have gained interest as sustainable solutions. Furthermore, fermentation with probiotic bacteria enhances the antimicrobial properties of botanical extracts, improving their efficacy against pathogenic bacteria.</p><p><strong>Aim: </strong>This study aimed to evaluate the antibacterial efficacy of fermented purple onion (FPO) and fermented chive (FC) extracts against <i>E. coli</i> and <i>Salmonella</i> spp., both causative agents of diarrhea, in broiler chickens. The research also compared their effectiveness with conventional antibiotics used in poultry farming.</p><p><strong>Methods: </strong>We fermented fresh purple onion and chive extracts using <i>Lactobacillus plantarum</i> and <i>Bacillus subtilis</i> for 72 hours under anaerobic conditions. Pathogenic <i>E. coli</i> (22) and <i>Salmonella</i> spp. (9) were isolated from 30 diarrheal chicken fecal samples and identified through biochemical tests, <i>in vivo</i> virulence testing in chicks, polymerase chain reaction detection of toxin genes (<i>Stx1, Stx2</i>, and <i>Stn</i>), and 16S rRNA sequencing. The antibacterial activity of the fermented extracts was evaluated using disk diffusion assays, minimum inhibitory concentration (MIC), and minimum bactericidal concentration (MBC) tests. The bioactive compound content, including phenolics, flavonoids, and sulfur compounds, was quantified using an aluminum chloride colorimetric assay to assess their contribution to antimicrobial efficacy.</p><p><strong>Results: </strong><i>In vivo</i> virulence assessment of chickens revealed that 4 <i>E. coli</i> strains (18.2%) and 5 <i>Salmonella</i> strains (26.3%) induced diarrhea. Of these, 2 <i>E. coli</i> strains (50%) harbored the <i>Stx1</i> toxin gene, and all 5 <i>Salmonella</i> strains (100%) carried the <i>Stn</i> gene. 16S rRNA gene sequencing identified 2 <i>E. coli</i> strains and 4 <i>Salmonella</i> strains. All bacterial isolates exhibited MDR, particularly beta-lactam and macrolide antibiotics. Both fermented extracts exhibited significant antibacterial activity against MDR <i>E. coli</i> and <i>Salmonella</i> spp., with FC exhibiting superior efficacy compared to FPO. The inhibition zones of FC (12.5-17.6 mm) were significantly larger than those of FPO (10.1-16.8 mm), particularly against <i>E. coli</i> FG31-1 and <i>Salmonella pullorum</i> NCTC10705. The MIC and MBC values indicated that FC had a stronger bactericidal effect, requiring lower concentrations to inhibit and kill bacterial growth. FC contained higher levels of flavonoids and allicin, which were correlated with its enhanced antibacterial properties.</p><p><strong>Conclusion: </strong>FPO and FC, particularly FPO, show strong antibacterial potential as natural alternatives to antibiotics in poultry farming. Their ability to inhibit MDR pathogens suggests their role in reducing antibiotic dependency and improving poultry health. Further, <i>in vivo</i> studies and commercial formulation strategies are required to validate the practical application of these formulations in the poultry industry.</p>\",\"PeriodicalId\":19531,\"journal\":{\"name\":\"Open Veterinary Journal\",\"volume\":\"15 6\",\"pages\":\"2355-2364\"},\"PeriodicalIF\":1.0000,\"publicationDate\":\"2025-06-01\",\"publicationTypes\":\"Journal Article\",\"fieldsOfStudy\":null,\"isOpenAccess\":false,\"openAccessPdf\":\"https://www.ncbi.nlm.nih.gov/pmc/articles/PMC12451125/pdf/\",\"citationCount\":\"0\",\"resultStr\":null,\"platform\":\"Semanticscholar\",\"paperid\":null,\"PeriodicalName\":\"Open Veterinary Journal\",\"FirstCategoryId\":\"1085\",\"ListUrlMain\":\"https://doi.org/10.5455/OVJ.2025.v15.i6.8\",\"RegionNum\":0,\"RegionCategory\":null,\"ArticlePicture\":[],\"TitleCN\":null,\"AbstractTextCN\":null,\"PMCID\":null,\"EPubDate\":\"2025/6/30 0:00:00\",\"PubModel\":\"Epub\",\"JCR\":\"Q3\",\"JCRName\":\"VETERINARY SCIENCES\",\"Score\":null,\"Total\":0}","platform":"Semanticscholar","paperid":null,"PeriodicalName":"Open Veterinary Journal","FirstCategoryId":"1085","ListUrlMain":"https://doi.org/10.5455/OVJ.2025.v15.i6.8","RegionNum":0,"RegionCategory":null,"ArticlePicture":[],"TitleCN":null,"AbstractTextCN":null,"PMCID":null,"EPubDate":"2025/6/30 0:00:00","PubModel":"Epub","JCR":"Q3","JCRName":"VETERINARY SCIENCES","Score":null,"Total":0}
引用次数: 0

摘要

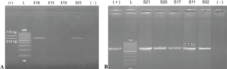
背景:大肠杆菌和沙门氏菌的抗生素耐药性对家禽的健康和生产力构成了重大威胁。家禽养殖中抗生素的过度使用导致了耐多药病原体的出现,这导致了食品安全问题和有限的治疗选择。天然抗菌替代品,特别是草药农产品,如紫洋葱和香葱,作为可持续解决方案已引起人们的兴趣。此外,益生菌发酵提高了植物提取物的抗菌性能,提高了其对致病菌的功效。目的:研究发酵紫洋葱(FPO)和发酵香葱(FC)提取物对肉鸡腹泻致病菌大肠杆菌和沙门氏菌的抑菌作用。该研究还比较了它们与家禽养殖中使用的传统抗生素的有效性。方法:采用植物乳杆菌和枯草芽孢杆菌对新鲜紫葱和香葱提取物进行厌氧发酵72h。从30份鸡腹泻粪便中分离出致病性大肠杆菌(22株)和沙门氏菌(9株),通过生化试验、鸡体内毒力试验、毒素基因(Stx1、Stx2和Stn)聚合酶链反应检测和16S rRNA测序进行鉴定。采用圆盘扩散法、最小抑菌浓度(MIC)和最小杀菌浓度(MBC)试验对发酵提取物的抑菌活性进行评价。生物活性化合物的含量,包括酚类、类黄酮和硫化合物,使用氯化铝比色法定量,以评估其对抗菌功效的贡献。结果:鸡体内毒力鉴定结果显示,4株大肠杆菌(18.2%)和5株沙门菌(26.3%)致腹泻;其中,2株大肠杆菌(50%)携带Stx1毒素基因,5株沙门氏菌(100%)携带Stn基因。16S rRNA基因测序鉴定出2株大肠杆菌和4株沙门氏菌。所有细菌分离株均表现出耐多药,特别是β -内酰胺类和大环内酯类抗生素。两种发酵提取物对耐多药大肠杆菌和沙门氏菌均有显著的抑菌活性,其中FC的抑菌效果优于FPO。FC的抑制区(12.5 ~ 17.6 mm)明显大于FPO的抑制区(10.1 ~ 16.8 mm),对大肠杆菌FG31-1和白痢沙门氏菌NCTC10705的抑制区明显大于FPO。MIC和MBC值表明,FC具有较强的杀菌作用,需要较低的浓度才能抑制和杀死细菌的生长。FC含有较高水平的黄酮和大蒜素,这与其增强的抗菌性能有关。结论:FPO和FC在家禽养殖中具有很强的抗菌潜力,尤其是FPO作为抗生素的天然替代品。它们抑制耐多药病原体的能力表明它们在减少抗生素依赖和改善家禽健康方面的作用。此外,还需要进行体内研究和商业配方策略,以验证这些配方在家禽业中的实际应用。
本文章由计算机程序翻译,如有差异,请以英文原文为准。

Fermented purple onion (<i>Allium cepa L.</i>) and chive (<i>Allium schoenoprasum</i>) bulb extracts as antibiotic alternatives against toxin-carrying bacteria: In vitro and pathogenicity assessment in chickens.

Fermented purple onion (<i>Allium cepa L.</i>) and chive (<i>Allium schoenoprasum</i>) bulb extracts as antibiotic alternatives against toxin-carrying bacteria: In vitro and pathogenicity assessment in chickens.

Fermented purple onion (<i>Allium cepa L.</i>) and chive (<i>Allium schoenoprasum</i>) bulb extracts as antibiotic alternatives against toxin-carrying bacteria: In vitro and pathogenicity assessment in chickens.

Fermented purple onion (Allium cepa L.) and chive (Allium schoenoprasum) bulb extracts as antibiotic alternatives against toxin-carrying bacteria: In vitro and pathogenicity assessment in chickens.

Background: Antibiotic resistance in Escherichia coli and Salmonella spp. poses a significant threat to poultry health and productivity. Overuse of antibiotics in poultry farming has led to the emergence of multidrug-resistant (MDR) pathogens, which have contributed to food safety concerns and limited treatment options. Natural antimicrobial alternatives, particularly herbal agricultural products such as purple onions and chives, have gained interest as sustainable solutions. Furthermore, fermentation with probiotic bacteria enhances the antimicrobial properties of botanical extracts, improving their efficacy against pathogenic bacteria.

Aim: This study aimed to evaluate the antibacterial efficacy of fermented purple onion (FPO) and fermented chive (FC) extracts against E. coli and Salmonella spp., both causative agents of diarrhea, in broiler chickens. The research also compared their effectiveness with conventional antibiotics used in poultry farming.

Methods: We fermented fresh purple onion and chive extracts using Lactobacillus plantarum and Bacillus subtilis for 72 hours under anaerobic conditions. Pathogenic E. coli (22) and Salmonella spp. (9) were isolated from 30 diarrheal chicken fecal samples and identified through biochemical tests, in vivo virulence testing in chicks, polymerase chain reaction detection of toxin genes (Stx1, Stx2, and Stn), and 16S rRNA sequencing. The antibacterial activity of the fermented extracts was evaluated using disk diffusion assays, minimum inhibitory concentration (MIC), and minimum bactericidal concentration (MBC) tests. The bioactive compound content, including phenolics, flavonoids, and sulfur compounds, was quantified using an aluminum chloride colorimetric assay to assess their contribution to antimicrobial efficacy.

Results: In vivo virulence assessment of chickens revealed that 4 E. coli strains (18.2%) and 5 Salmonella strains (26.3%) induced diarrhea. Of these, 2 E. coli strains (50%) harbored the Stx1 toxin gene, and all 5 Salmonella strains (100%) carried the Stn gene. 16S rRNA gene sequencing identified 2 E. coli strains and 4 Salmonella strains. All bacterial isolates exhibited MDR, particularly beta-lactam and macrolide antibiotics. Both fermented extracts exhibited significant antibacterial activity against MDR E. coli and Salmonella spp., with FC exhibiting superior efficacy compared to FPO. The inhibition zones of FC (12.5-17.6 mm) were significantly larger than those of FPO (10.1-16.8 mm), particularly against E. coli FG31-1 and Salmonella pullorum NCTC10705. The MIC and MBC values indicated that FC had a stronger bactericidal effect, requiring lower concentrations to inhibit and kill bacterial growth. FC contained higher levels of flavonoids and allicin, which were correlated with its enhanced antibacterial properties.

Conclusion: FPO and FC, particularly FPO, show strong antibacterial potential as natural alternatives to antibiotics in poultry farming. Their ability to inhibit MDR pathogens suggests their role in reducing antibiotic dependency and improving poultry health. Further, in vivo studies and commercial formulation strategies are required to validate the practical application of these formulations in the poultry industry.

求助全文
通过发布文献求助,成功后即可免费获取论文全文。 去求助
来源期刊
Open Veterinary Journal
Open Veterinary Journal VETERINARY SCIENCES-
CiteScore
1.40
自引率
0.00%
发文量
112
审稿时长
12 weeks
期刊介绍: Open Veterinary Journal is a peer-reviewed international open access online and printed journal that publishes high-quality original research articles. reviews, short communications and case reports dedicated to all aspects of veterinary sciences and its related subjects. Research areas include the following: Infectious diseases of zoonotic/food-borne importance, applied biochemistry, parasitology, endocrinology, microbiology, immunology, pathology, pharmacology, physiology, epidemiology, molecular biology, immunogenetics, surgery, ophthalmology, dermatology, oncology and animal reproduction. All papers are peer-reviewed. Moreover, with the presence of well-qualified group of international referees, the process of publication will be done meticulously and to the highest standards.
×
引用
GB/T 7714-2015
复制
MLA
复制
APA
复制
导出至
BibTeX EndNote RefMan NoteFirst NoteExpress
×
提示
您的信息不完整,为了账户安全,请先补充。
现在去补充
×
提示
您因"违规操作"
具体请查看互助需知
我知道了
×
提示
确定
请完成安全验证×
copy
已复制链接
快去分享给好友吧!
我知道了
右上角分享
点击右上角分享
0
联系我们:info@booksci.cn Book学术提供免费学术资源搜索服务,方便国内外学者检索中英文文献。致力于提供最便捷和优质的服务体验。 Copyright © 2023 布克学术 All rights reserved.
京ICP备2023020795号-1
ghs 京公网安备 11010802042870号
Book学术文献互助
Book学术文献互助群
群 号:604180095
Book学术官方微信