茴香果提取物对大鼠的抗溃疡活性。

IF 1 Q3 VETERINARY SCIENCES
Open Veterinary Journal Pub Date : 2025-06-01 Epub Date: 2025-06-30 DOI:10.5455/OVJ.2025.v15.i6.11
Amer Hakeem Chyad, Omar Salim Ibrahim, Rawaa Saladdin Jumaa
{"title":"茴香果提取物对大鼠的抗溃疡活性。","authors":"Amer Hakeem Chyad, Omar Salim Ibrahim, Rawaa Saladdin Jumaa","doi":"10.5455/OVJ.2025.v15.i6.11","DOIUrl":null,"url":null,"abstract":"<p><strong>Background: </strong>Peptic ulcer is a condition where the lining of the stomach is damaged by acid and/or pepsin, often caused by the use of NSAIDs. Previous research has shown that NSAIDs can suppress prostaglandin-E2 synthesis, causing ulceration and delay ulcer healing process.</p><p><strong>Aim: </strong>The researcher had investigated the antiulcer activity of <i>Prosopis farcta</i> (PF). fruits extract against indomethacin-induced ulcers in rats, comparing it to the standard drug, ranitidine.</p><p><strong>Method: </strong>In the study, 36 male albino Wistar rats were used and this study was conducted to assess the safety of the extract. No signs of toxicity were observed in rats given doses up to 5 g/kg body weight, indicating the extract's safety. To induce ulcers, indomethacin (50 mg/kg p.o.) was administered to the rats. The rats were divided into six groups (<i>n</i> = 6), including a control group, a standard control group receiving ranitidine, and groups receiving different doses of PF extract including (300, 400, and 500mg/kg). The rats were sacrificed after seven days of treatment, and their stomachs were examined for ulcer index, total acidity, free acidity, gastric juice volume, and histopathological changes.</p><p><strong>Results: </strong>The study found that the extract effectively protected against indomethacin-induced gastric mucosal injuries. It showed a significant (<i>p</i> < 0.05) reduced the severity of lesions and increased the percentage protection of ulcers. The extract also decreased gastric acidity and increased mucus production, indicating its cytoprotective properties. Histopathological examination revealed that the extract prevented morphological changes such as inflammation, necrosis, and ulcers caused by indomethacin. Statistical analysis was performed to determine significant differences between groups.</p><p><strong>Conclusion: </strong><i>Prosopis farcta</i> L. fruit extract special (400 mg /kg) showed potential as a natural treatment for gastric ulcers and can provide cytoprotective effects.</p>","PeriodicalId":19531,"journal":{"name":"Open Veterinary Journal","volume":"15 6","pages":"2386-2394"},"PeriodicalIF":1.0000,"publicationDate":"2025-06-01","publicationTypes":"Journal Article","fieldsOfStudy":null,"isOpenAccess":false,"openAccessPdf":"https://www.ncbi.nlm.nih.gov/pmc/articles/PMC12451121/pdf/","citationCount":"0","resultStr":"{\"title\":\"Antiulcer activity of <i>Prosopis farcta</i> L. fruits extract in rats.\",\"authors\":\"Amer Hakeem Chyad, Omar Salim Ibrahim, Rawaa Saladdin Jumaa\",\"doi\":\"10.5455/OVJ.2025.v15.i6.11\",\"DOIUrl\":null,\"url\":null,\"abstract\":\"<p><strong>Background: </strong>Peptic ulcer is a condition where the lining of the stomach is damaged by acid and/or pepsin, often caused by the use of NSAIDs. Previous research has shown that NSAIDs can suppress prostaglandin-E2 synthesis, causing ulceration and delay ulcer healing process.</p><p><strong>Aim: </strong>The researcher had investigated the antiulcer activity of <i>Prosopis farcta</i> (PF). fruits extract against indomethacin-induced ulcers in rats, comparing it to the standard drug, ranitidine.</p><p><strong>Method: </strong>In the study, 36 male albino Wistar rats were used and this study was conducted to assess the safety of the extract. No signs of toxicity were observed in rats given doses up to 5 g/kg body weight, indicating the extract's safety. To induce ulcers, indomethacin (50 mg/kg p.o.) was administered to the rats. The rats were divided into six groups (<i>n</i> = 6), including a control group, a standard control group receiving ranitidine, and groups receiving different doses of PF extract including (300, 400, and 500mg/kg). The rats were sacrificed after seven days of treatment, and their stomachs were examined for ulcer index, total acidity, free acidity, gastric juice volume, and histopathological changes.</p><p><strong>Results: </strong>The study found that the extract effectively protected against indomethacin-induced gastric mucosal injuries. It showed a significant (<i>p</i> < 0.05) reduced the severity of lesions and increased the percentage protection of ulcers. The extract also decreased gastric acidity and increased mucus production, indicating its cytoprotective properties. Histopathological examination revealed that the extract prevented morphological changes such as inflammation, necrosis, and ulcers caused by indomethacin. Statistical analysis was performed to determine significant differences between groups.</p><p><strong>Conclusion: </strong><i>Prosopis farcta</i> L. fruit extract special (400 mg /kg) showed potential as a natural treatment for gastric ulcers and can provide cytoprotective effects.</p>\",\"PeriodicalId\":19531,\"journal\":{\"name\":\"Open Veterinary Journal\",\"volume\":\"15 6\",\"pages\":\"2386-2394\"},\"PeriodicalIF\":1.0000,\"publicationDate\":\"2025-06-01\",\"publicationTypes\":\"Journal Article\",\"fieldsOfStudy\":null,\"isOpenAccess\":false,\"openAccessPdf\":\"https://www.ncbi.nlm.nih.gov/pmc/articles/PMC12451121/pdf/\",\"citationCount\":\"0\",\"resultStr\":null,\"platform\":\"Semanticscholar\",\"paperid\":null,\"PeriodicalName\":\"Open Veterinary Journal\",\"FirstCategoryId\":\"1085\",\"ListUrlMain\":\"https://doi.org/10.5455/OVJ.2025.v15.i6.11\",\"RegionNum\":0,\"RegionCategory\":null,\"ArticlePicture\":[],\"TitleCN\":null,\"AbstractTextCN\":null,\"PMCID\":null,\"EPubDate\":\"2025/6/30 0:00:00\",\"PubModel\":\"Epub\",\"JCR\":\"Q3\",\"JCRName\":\"VETERINARY SCIENCES\",\"Score\":null,\"Total\":0}","platform":"Semanticscholar","paperid":null,"PeriodicalName":"Open Veterinary Journal","FirstCategoryId":"1085","ListUrlMain":"https://doi.org/10.5455/OVJ.2025.v15.i6.11","RegionNum":0,"RegionCategory":null,"ArticlePicture":[],"TitleCN":null,"AbstractTextCN":null,"PMCID":null,"EPubDate":"2025/6/30 0:00:00","PubModel":"Epub","JCR":"Q3","JCRName":"VETERINARY SCIENCES","Score":null,"Total":0}
引用次数: 0

摘要

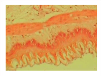
背景:消化性溃疡是胃酸和/或胃蛋白酶破坏胃壁的一种情况,通常由使用非甾体抗炎药引起。先前的研究表明,非甾体抗炎药可以抑制前列腺素e2的合成,引起溃疡并延缓溃疡愈合过程。目的:研究茯苓(PF)的抗溃疡活性。水果提取物对抗消炎痛引起的大鼠溃疡,并与标准药物雷尼替丁进行比较。方法:以36只雄性白化Wistar大鼠为实验对象,对提取物进行安全性评价。在给药5克/公斤体重的大鼠中没有观察到毒性迹象,表明提取物是安全的。用吲哚美辛(50mg /kg)诱导大鼠溃疡。将大鼠分为6组(n = 6),分别为对照组、雷尼替丁标准对照组和不同剂量PF提取物(300、400、500mg/kg)组。给药7天后处死大鼠,观察胃溃疡指数、总酸度、游离酸度、胃液量及组织病理学变化。结果:研究发现该提取物对吲哚美辛所致的胃粘膜损伤有较好的保护作用。显著(p < 0.05)降低了病变的严重程度,增加了溃疡的保护百分比。该提取物还能降低胃酸,增加粘液产生,表明其具有细胞保护作用。组织病理学检查显示,该提取物可预防吲哚美辛引起的炎症、坏死和溃疡等形态学改变。进行统计学分析以确定组间的显著差异。结论:茯苓果特提物(400mg /kg)具有天然治疗胃溃疡的作用,并具有细胞保护作用。
本文章由计算机程序翻译,如有差异,请以英文原文为准。

Antiulcer activity of <i>Prosopis farcta</i> L. fruits extract in rats.

Antiulcer activity of <i>Prosopis farcta</i> L. fruits extract in rats.

Antiulcer activity of <i>Prosopis farcta</i> L. fruits extract in rats.

Antiulcer activity of Prosopis farcta L. fruits extract in rats.

Background: Peptic ulcer is a condition where the lining of the stomach is damaged by acid and/or pepsin, often caused by the use of NSAIDs. Previous research has shown that NSAIDs can suppress prostaglandin-E2 synthesis, causing ulceration and delay ulcer healing process.

Aim: The researcher had investigated the antiulcer activity of Prosopis farcta (PF). fruits extract against indomethacin-induced ulcers in rats, comparing it to the standard drug, ranitidine.

Method: In the study, 36 male albino Wistar rats were used and this study was conducted to assess the safety of the extract. No signs of toxicity were observed in rats given doses up to 5 g/kg body weight, indicating the extract's safety. To induce ulcers, indomethacin (50 mg/kg p.o.) was administered to the rats. The rats were divided into six groups (n = 6), including a control group, a standard control group receiving ranitidine, and groups receiving different doses of PF extract including (300, 400, and 500mg/kg). The rats were sacrificed after seven days of treatment, and their stomachs were examined for ulcer index, total acidity, free acidity, gastric juice volume, and histopathological changes.

Results: The study found that the extract effectively protected against indomethacin-induced gastric mucosal injuries. It showed a significant (p < 0.05) reduced the severity of lesions and increased the percentage protection of ulcers. The extract also decreased gastric acidity and increased mucus production, indicating its cytoprotective properties. Histopathological examination revealed that the extract prevented morphological changes such as inflammation, necrosis, and ulcers caused by indomethacin. Statistical analysis was performed to determine significant differences between groups.

Conclusion: Prosopis farcta L. fruit extract special (400 mg /kg) showed potential as a natural treatment for gastric ulcers and can provide cytoprotective effects.

求助全文
通过发布文献求助,成功后即可免费获取论文全文。 去求助
来源期刊
Open Veterinary Journal
Open Veterinary Journal VETERINARY SCIENCES-
CiteScore
1.40
自引率
0.00%
发文量
112
审稿时长
12 weeks
期刊介绍: Open Veterinary Journal is a peer-reviewed international open access online and printed journal that publishes high-quality original research articles. reviews, short communications and case reports dedicated to all aspects of veterinary sciences and its related subjects. Research areas include the following: Infectious diseases of zoonotic/food-borne importance, applied biochemistry, parasitology, endocrinology, microbiology, immunology, pathology, pharmacology, physiology, epidemiology, molecular biology, immunogenetics, surgery, ophthalmology, dermatology, oncology and animal reproduction. All papers are peer-reviewed. Moreover, with the presence of well-qualified group of international referees, the process of publication will be done meticulously and to the highest standards.
×
引用
GB/T 7714-2015
复制
MLA
复制
APA
复制
导出至
BibTeX EndNote RefMan NoteFirst NoteExpress
×
提示
您的信息不完整,为了账户安全,请先补充。
现在去补充
×
提示
您因"违规操作"
具体请查看互助需知
我知道了
×
提示
确定
请完成安全验证×
copy
已复制链接
快去分享给好友吧!
我知道了
右上角分享
点击右上角分享
0
联系我们:info@booksci.cn Book学术提供免费学术资源搜索服务,方便国内外学者检索中英文文献。致力于提供最便捷和优质的服务体验。 Copyright © 2023 布克学术 All rights reserved.
京ICP备2023020795号-1
ghs 京公网安备 11010802042870号
Book学术文献互助
Book学术文献互助群
群 号:604180095
Book学术官方微信
小红书