虾青素改善地塞米松毒性白化大鼠肾模型血液学、白细胞介素-6和肿瘤坏死因子-α。

IF 1 Q3 VETERINARY SCIENCES
Open Veterinary Journal Pub Date : 2025-06-01 Epub Date: 2025-06-30 DOI:10.5455/OVJ.2025.v15.i6.23
Faisal Fikri, Auliyauna Miftahurrohmah, Muhammad Sbastian Pratama, Danis Farid Qosdina, Gigih Fikrillah Sya'ban, Salipudin Tasil Maslamama, Muhammad Thohawi Elziyad Purnama
{"title":"虾青素改善地塞米松毒性白化大鼠肾模型血液学、白细胞介素-6和肿瘤坏死因子-α。","authors":"Faisal Fikri, Auliyauna Miftahurrohmah, Muhammad Sbastian Pratama, Danis Farid Qosdina, Gigih Fikrillah Sya'ban, Salipudin Tasil Maslamama, Muhammad Thohawi Elziyad Purnama","doi":"10.5455/OVJ.2025.v15.i6.23","DOIUrl":null,"url":null,"abstract":"<p><strong>Background: </strong>In therapeutic scenarios, the anti-inflammatory medication dexamethasone is frequently administered. However, the consequences of prolonged use and dose residue may result in dexamethasone toxicity. Astaxanthin is a carotenoid antioxidant that may lessen the harmful effects of dexamethasone.</p><p><strong>Aim: </strong>This study aimed to investigate the efficacy of astaxanthin in a dexamethasone toxicity model in the kidney of albino rats based on hematological profiles and interleukin-6 (IL-6) and tumor necrosis factor-alpha (TNF-α) expression.</p><p><strong>Methods: </strong>The study involved the random assignment of 25 albino rats into five treatment groups with five replications: (C-) placebo, (C+) intramuscular injection of 0.75 mg/kg BW of dexamethasone, and (T1, T2, and T3) intramuscular injection of 0.75 mg/kg BW of dexamethasone and oral administration of 2, 6, and 12 mg/kg BW of astaxanthin, respectively. All experimental animals were administered therapy for 10 days. Hematological profiles were evaluated using a blood analyzer, whereas IL-6 and TNF-α expression was evaluated using immunohistochemical staining.</p><p><strong>Results: </strong>Based on leukocyte, erythrocyte, hemoglobin, and hematocrit characteristics, groups T2 and T3 were generally found to be significantly different (<i>p</i> < 0.05) from group C+ regarding the reduction of the effects of dexamethasone. In the meantime, group T3 showed a significant (<i>p</i> < 0.05) decrease in TNF-α and IL-6 expression compared with group C+.</p><p><strong>Conclusion: </strong>The administration of 12 mg/kg BW of astaxanthin may be an antidote to dexamethasone toxicity in albino rats, according to the overall assessment of the hematological profile, IL-6, and TNF-α cytokines in the kidney.</p>","PeriodicalId":19531,"journal":{"name":"Open Veterinary Journal","volume":"15 6","pages":"2511-2517"},"PeriodicalIF":1.0000,"publicationDate":"2025-06-01","publicationTypes":"Journal Article","fieldsOfStudy":null,"isOpenAccess":false,"openAccessPdf":"https://www.ncbi.nlm.nih.gov/pmc/articles/PMC12451114/pdf/","citationCount":"0","resultStr":"{\"title\":\"Astaxanthin improves hematology, interleukin-6, and tumor necrosis factor-α in the albino rats' kidney model of dexamethasone toxicity.\",\"authors\":\"Faisal Fikri, Auliyauna Miftahurrohmah, Muhammad Sbastian Pratama, Danis Farid Qosdina, Gigih Fikrillah Sya'ban, Salipudin Tasil Maslamama, Muhammad Thohawi Elziyad Purnama\",\"doi\":\"10.5455/OVJ.2025.v15.i6.23\",\"DOIUrl\":null,\"url\":null,\"abstract\":\"<p><strong>Background: </strong>In therapeutic scenarios, the anti-inflammatory medication dexamethasone is frequently administered. However, the consequences of prolonged use and dose residue may result in dexamethasone toxicity. Astaxanthin is a carotenoid antioxidant that may lessen the harmful effects of dexamethasone.</p><p><strong>Aim: </strong>This study aimed to investigate the efficacy of astaxanthin in a dexamethasone toxicity model in the kidney of albino rats based on hematological profiles and interleukin-6 (IL-6) and tumor necrosis factor-alpha (TNF-α) expression.</p><p><strong>Methods: </strong>The study involved the random assignment of 25 albino rats into five treatment groups with five replications: (C-) placebo, (C+) intramuscular injection of 0.75 mg/kg BW of dexamethasone, and (T1, T2, and T3) intramuscular injection of 0.75 mg/kg BW of dexamethasone and oral administration of 2, 6, and 12 mg/kg BW of astaxanthin, respectively. All experimental animals were administered therapy for 10 days. Hematological profiles were evaluated using a blood analyzer, whereas IL-6 and TNF-α expression was evaluated using immunohistochemical staining.</p><p><strong>Results: </strong>Based on leukocyte, erythrocyte, hemoglobin, and hematocrit characteristics, groups T2 and T3 were generally found to be significantly different (<i>p</i> < 0.05) from group C+ regarding the reduction of the effects of dexamethasone. In the meantime, group T3 showed a significant (<i>p</i> < 0.05) decrease in TNF-α and IL-6 expression compared with group C+.</p><p><strong>Conclusion: </strong>The administration of 12 mg/kg BW of astaxanthin may be an antidote to dexamethasone toxicity in albino rats, according to the overall assessment of the hematological profile, IL-6, and TNF-α cytokines in the kidney.</p>\",\"PeriodicalId\":19531,\"journal\":{\"name\":\"Open Veterinary Journal\",\"volume\":\"15 6\",\"pages\":\"2511-2517\"},\"PeriodicalIF\":1.0000,\"publicationDate\":\"2025-06-01\",\"publicationTypes\":\"Journal Article\",\"fieldsOfStudy\":null,\"isOpenAccess\":false,\"openAccessPdf\":\"https://www.ncbi.nlm.nih.gov/pmc/articles/PMC12451114/pdf/\",\"citationCount\":\"0\",\"resultStr\":null,\"platform\":\"Semanticscholar\",\"paperid\":null,\"PeriodicalName\":\"Open Veterinary Journal\",\"FirstCategoryId\":\"1085\",\"ListUrlMain\":\"https://doi.org/10.5455/OVJ.2025.v15.i6.23\",\"RegionNum\":0,\"RegionCategory\":null,\"ArticlePicture\":[],\"TitleCN\":null,\"AbstractTextCN\":null,\"PMCID\":null,\"EPubDate\":\"2025/6/30 0:00:00\",\"PubModel\":\"Epub\",\"JCR\":\"Q3\",\"JCRName\":\"VETERINARY SCIENCES\",\"Score\":null,\"Total\":0}","platform":"Semanticscholar","paperid":null,"PeriodicalName":"Open Veterinary Journal","FirstCategoryId":"1085","ListUrlMain":"https://doi.org/10.5455/OVJ.2025.v15.i6.23","RegionNum":0,"RegionCategory":null,"ArticlePicture":[],"TitleCN":null,"AbstractTextCN":null,"PMCID":null,"EPubDate":"2025/6/30 0:00:00","PubModel":"Epub","JCR":"Q3","JCRName":"VETERINARY SCIENCES","Score":null,"Total":0}
引用次数: 0

摘要

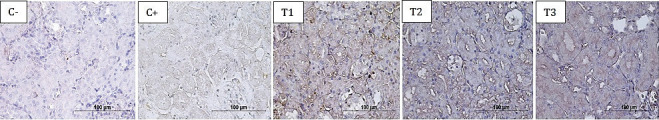
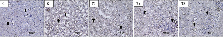
背景:在治疗方案中,经常使用消炎药地塞米松。然而,长期使用和剂量残留的后果可能导致地塞米松毒性。虾青素是一种类胡萝卜素抗氧化剂,可以减轻地塞米松的有害影响。目的:通过血液学指标及白细胞介素-6 (IL-6)和肿瘤坏死因子-α (TNF-α)的表达,探讨虾青素对白化大鼠肾脏地塞米松毒性模型的影响。方法:将25只白化大鼠随机分为5个治疗组,每组5个重复:(C-)安慰剂组,(C+)肌肉注射0.75 mg/kg BW地塞米松,(T1、T2、T3)肌肉注射0.75 mg/kg BW地塞米松,分别口服2、6、12 mg/kg BW虾青素。所有实验动物均给予治疗10 d。使用血液分析仪评估血液学特征,而使用免疫组织化学染色评估IL-6和TNF-α的表达。结果:从白细胞、红细胞、血红蛋白和红细胞压积特征来看,T2和T3组在地塞米松疗效的降低方面普遍与C+组有显著差异(p < 0.05)。与C+组相比,T3组TNF-α、IL-6表达显著降低(p < 0.05)。结论:根据血液学指标、IL-6和肾脏TNF-α细胞因子的综合评估,给予12 mg/kg BW虾青素可能是白化大鼠地塞米松毒性的解毒剂。
本文章由计算机程序翻译,如有差异,请以英文原文为准。

Astaxanthin improves hematology, interleukin-6, and tumor necrosis factor-α in the albino rats' kidney model of dexamethasone toxicity.

Astaxanthin improves hematology, interleukin-6, and tumor necrosis factor-α in the albino rats' kidney model of dexamethasone toxicity.

Astaxanthin improves hematology, interleukin-6, and tumor necrosis factor-α in the albino rats' kidney model of dexamethasone toxicity.

Background: In therapeutic scenarios, the anti-inflammatory medication dexamethasone is frequently administered. However, the consequences of prolonged use and dose residue may result in dexamethasone toxicity. Astaxanthin is a carotenoid antioxidant that may lessen the harmful effects of dexamethasone.

Aim: This study aimed to investigate the efficacy of astaxanthin in a dexamethasone toxicity model in the kidney of albino rats based on hematological profiles and interleukin-6 (IL-6) and tumor necrosis factor-alpha (TNF-α) expression.

Methods: The study involved the random assignment of 25 albino rats into five treatment groups with five replications: (C-) placebo, (C+) intramuscular injection of 0.75 mg/kg BW of dexamethasone, and (T1, T2, and T3) intramuscular injection of 0.75 mg/kg BW of dexamethasone and oral administration of 2, 6, and 12 mg/kg BW of astaxanthin, respectively. All experimental animals were administered therapy for 10 days. Hematological profiles were evaluated using a blood analyzer, whereas IL-6 and TNF-α expression was evaluated using immunohistochemical staining.

Results: Based on leukocyte, erythrocyte, hemoglobin, and hematocrit characteristics, groups T2 and T3 were generally found to be significantly different (p < 0.05) from group C+ regarding the reduction of the effects of dexamethasone. In the meantime, group T3 showed a significant (p < 0.05) decrease in TNF-α and IL-6 expression compared with group C+.

Conclusion: The administration of 12 mg/kg BW of astaxanthin may be an antidote to dexamethasone toxicity in albino rats, according to the overall assessment of the hematological profile, IL-6, and TNF-α cytokines in the kidney.

求助全文
通过发布文献求助,成功后即可免费获取论文全文。 去求助
来源期刊
Open Veterinary Journal
Open Veterinary Journal VETERINARY SCIENCES-
CiteScore
1.40
自引率
0.00%
发文量
112
审稿时长
12 weeks
期刊介绍: Open Veterinary Journal is a peer-reviewed international open access online and printed journal that publishes high-quality original research articles. reviews, short communications and case reports dedicated to all aspects of veterinary sciences and its related subjects. Research areas include the following: Infectious diseases of zoonotic/food-borne importance, applied biochemistry, parasitology, endocrinology, microbiology, immunology, pathology, pharmacology, physiology, epidemiology, molecular biology, immunogenetics, surgery, ophthalmology, dermatology, oncology and animal reproduction. All papers are peer-reviewed. Moreover, with the presence of well-qualified group of international referees, the process of publication will be done meticulously and to the highest standards.
×
引用
GB/T 7714-2015
复制
MLA
复制
APA
复制
导出至
BibTeX EndNote RefMan NoteFirst NoteExpress
×
提示
您的信息不完整,为了账户安全,请先补充。
现在去补充
×
提示
您因"违规操作"
具体请查看互助需知
我知道了
×
提示
确定
请完成安全验证×
copy
已复制链接
快去分享给好友吧!
我知道了
右上角分享
点击右上角分享
0
联系我们:info@booksci.cn Book学术提供免费学术资源搜索服务,方便国内外学者检索中英文文献。致力于提供最便捷和优质的服务体验。 Copyright © 2023 布克学术 All rights reserved.
京ICP备2023020795号-1
ghs 京公网安备 11010802042870号
Book学术文献互助
Book学术文献互助群
群 号:604180095
Book学术官方微信