年轻糖尿病女性合并急性结石性胆囊炎的胆囊放线菌病:1例报告及文献复习。

IF 0.7 Q3 MEDICINE, GENERAL & INTERNAL
International Medical Case Reports Journal Pub Date : 2025-09-18 eCollection Date: 2025-01-01 DOI:10.2147/IMCRJ.S544642
Mojgan Akbarzadeh-Jahromi, Seyed Mohammad Kazem Tadayyon, Sahar Asadi, Neda Soleimani, Sahand Mohammadzadeh, Hossein Afrakhteh
{"title":"年轻糖尿病女性合并急性结石性胆囊炎的胆囊放线菌病:1例报告及文献复习。","authors":"Mojgan Akbarzadeh-Jahromi, Seyed Mohammad Kazem Tadayyon, Sahar Asadi, Neda Soleimani, Sahand Mohammadzadeh, Hossein Afrakhteh","doi":"10.2147/IMCRJ.S544642","DOIUrl":null,"url":null,"abstract":"<p><strong>Introduction: </strong>Actinomycosis is a rare, chronic bacterial infection caused by the genus Actinomyces. The cervicofacial form is most common, while gallbladder involvement is exceptionally uncommon, with fewer than 50 cases reported in the literature.</p><p><strong>Case report: </strong>A 21-year-old diabetic woman presented with one day of nausea, vomiting, and persistent right upper quadrant abdominal pain. Ultrasonography and computed tomography scan revealed an enlarged gallbladder with biliary sludge and a single gallstone. A preoperative diagnosis of acute cholecystitis was made, and cholecystectomy was performed. Histopathological examination confirmed acute cholecystitis and demonstrated numerous filamentous, gram-positive bacteria, consistent with actinomycosis. Following 6 months of penicillin therapy, the patient remains well with no clinical or radiological evidence of recurrence.</p><p><strong>Conclusion: </strong>This case underscores the importance of routine histopathological evaluation of gallbladder specimens. Although rare, gallbladder actinomycosis should be considered in the differential diagnosis of gallbladder disease, particularly in immunocompromised individuals.</p>","PeriodicalId":14337,"journal":{"name":"International Medical Case Reports Journal","volume":"18 ","pages":"1225-1230"},"PeriodicalIF":0.7000,"publicationDate":"2025-09-18","publicationTypes":"Journal Article","fieldsOfStudy":null,"isOpenAccess":false,"openAccessPdf":"https://www.ncbi.nlm.nih.gov/pmc/articles/PMC12452965/pdf/","citationCount":"0","resultStr":"{\"title\":\"Actinomycosis of the Gallbladder in a Young Diabetic Woman with Acute Lithiasis Cholecystitis: A Case Report and Review of the Literature.\",\"authors\":\"Mojgan Akbarzadeh-Jahromi, Seyed Mohammad Kazem Tadayyon, Sahar Asadi, Neda Soleimani, Sahand Mohammadzadeh, Hossein Afrakhteh\",\"doi\":\"10.2147/IMCRJ.S544642\",\"DOIUrl\":null,\"url\":null,\"abstract\":\"<p><strong>Introduction: </strong>Actinomycosis is a rare, chronic bacterial infection caused by the genus Actinomyces. The cervicofacial form is most common, while gallbladder involvement is exceptionally uncommon, with fewer than 50 cases reported in the literature.</p><p><strong>Case report: </strong>A 21-year-old diabetic woman presented with one day of nausea, vomiting, and persistent right upper quadrant abdominal pain. Ultrasonography and computed tomography scan revealed an enlarged gallbladder with biliary sludge and a single gallstone. A preoperative diagnosis of acute cholecystitis was made, and cholecystectomy was performed. Histopathological examination confirmed acute cholecystitis and demonstrated numerous filamentous, gram-positive bacteria, consistent with actinomycosis. Following 6 months of penicillin therapy, the patient remains well with no clinical or radiological evidence of recurrence.</p><p><strong>Conclusion: </strong>This case underscores the importance of routine histopathological evaluation of gallbladder specimens. Although rare, gallbladder actinomycosis should be considered in the differential diagnosis of gallbladder disease, particularly in immunocompromised individuals.</p>\",\"PeriodicalId\":14337,\"journal\":{\"name\":\"International Medical Case Reports Journal\",\"volume\":\"18 \",\"pages\":\"1225-1230\"},\"PeriodicalIF\":0.7000,\"publicationDate\":\"2025-09-18\",\"publicationTypes\":\"Journal Article\",\"fieldsOfStudy\":null,\"isOpenAccess\":false,\"openAccessPdf\":\"https://www.ncbi.nlm.nih.gov/pmc/articles/PMC12452965/pdf/\",\"citationCount\":\"0\",\"resultStr\":null,\"platform\":\"Semanticscholar\",\"paperid\":null,\"PeriodicalName\":\"International Medical Case Reports Journal\",\"FirstCategoryId\":\"1085\",\"ListUrlMain\":\"https://doi.org/10.2147/IMCRJ.S544642\",\"RegionNum\":0,\"RegionCategory\":null,\"ArticlePicture\":[],\"TitleCN\":null,\"AbstractTextCN\":null,\"PMCID\":null,\"EPubDate\":\"2025/1/1 0:00:00\",\"PubModel\":\"eCollection\",\"JCR\":\"Q3\",\"JCRName\":\"MEDICINE, GENERAL & INTERNAL\",\"Score\":null,\"Total\":0}","platform":"Semanticscholar","paperid":null,"PeriodicalName":"International Medical Case Reports Journal","FirstCategoryId":"1085","ListUrlMain":"https://doi.org/10.2147/IMCRJ.S544642","RegionNum":0,"RegionCategory":null,"ArticlePicture":[],"TitleCN":null,"AbstractTextCN":null,"PMCID":null,"EPubDate":"2025/1/1 0:00:00","PubModel":"eCollection","JCR":"Q3","JCRName":"MEDICINE, GENERAL & INTERNAL","Score":null,"Total":0}
引用次数: 0

摘要

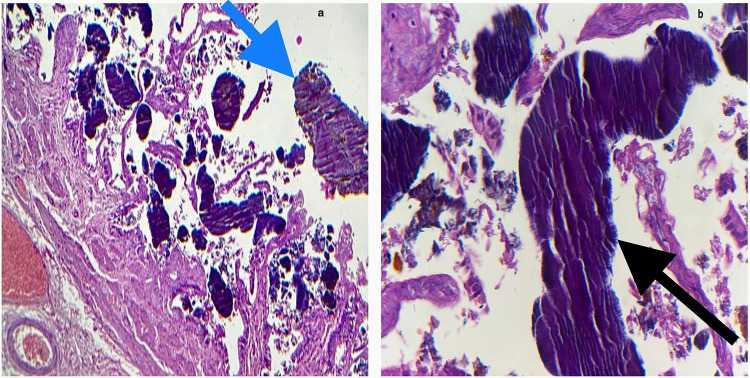
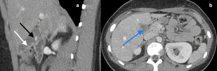
简介:放线菌病是由放线菌属引起的一种罕见的慢性细菌感染。颈面形式是最常见的,而胆囊累及是非常罕见的,文献报道的病例少于50例。病例报告:一名21岁的糖尿病女性表现为恶心,呕吐和持续的右上腹腹痛一天。超音波及电脑断层扫描显示胆囊肿大、胆道淤积及单一胆结石。术前诊断为急性胆囊炎,行胆囊切除术。组织病理学检查证实急性胆囊炎,并显示大量丝状革兰氏阳性细菌,与放线菌病一致。经过6个月的青霉素治疗,患者保持良好,无复发的临床或放射学证据。结论:本病例强调了对胆囊标本进行常规组织病理学检查的重要性。胆囊放线菌病虽然罕见,但在胆囊疾病的鉴别诊断中应予以考虑,特别是在免疫功能低下的个体中。
本文章由计算机程序翻译,如有差异,请以英文原文为准。

Actinomycosis of the Gallbladder in a Young Diabetic Woman with Acute Lithiasis Cholecystitis: A Case Report and Review of the Literature.

Actinomycosis of the Gallbladder in a Young Diabetic Woman with Acute Lithiasis Cholecystitis: A Case Report and Review of the Literature.

Actinomycosis of the Gallbladder in a Young Diabetic Woman with Acute Lithiasis Cholecystitis: A Case Report and Review of the Literature.

Actinomycosis of the Gallbladder in a Young Diabetic Woman with Acute Lithiasis Cholecystitis: A Case Report and Review of the Literature.

Introduction: Actinomycosis is a rare, chronic bacterial infection caused by the genus Actinomyces. The cervicofacial form is most common, while gallbladder involvement is exceptionally uncommon, with fewer than 50 cases reported in the literature.

Case report: A 21-year-old diabetic woman presented with one day of nausea, vomiting, and persistent right upper quadrant abdominal pain. Ultrasonography and computed tomography scan revealed an enlarged gallbladder with biliary sludge and a single gallstone. A preoperative diagnosis of acute cholecystitis was made, and cholecystectomy was performed. Histopathological examination confirmed acute cholecystitis and demonstrated numerous filamentous, gram-positive bacteria, consistent with actinomycosis. Following 6 months of penicillin therapy, the patient remains well with no clinical or radiological evidence of recurrence.

Conclusion: This case underscores the importance of routine histopathological evaluation of gallbladder specimens. Although rare, gallbladder actinomycosis should be considered in the differential diagnosis of gallbladder disease, particularly in immunocompromised individuals.

求助全文
通过发布文献求助,成功后即可免费获取论文全文。 去求助
来源期刊
International Medical Case Reports Journal
International Medical Case Reports Journal MEDICINE, GENERAL & INTERNAL-
CiteScore
1.40
自引率
0.00%
发文量
135
审稿时长
16 weeks
期刊介绍: International Medical Case Reports Journal is an international, peer-reviewed, open access, online journal publishing original case reports from all medical specialties. Submissions should not normally exceed 3,000 words or 4 published pages including figures, diagrams and references. As of 1st April 2019, the International Medical Case Reports Journal will no longer consider meta-analyses for publication.
×
引用
GB/T 7714-2015
复制
MLA
复制
APA
复制
导出至
BibTeX EndNote RefMan NoteFirst NoteExpress
×
提示
您的信息不完整,为了账户安全,请先补充。
现在去补充
×
提示
您因"违规操作"
具体请查看互助需知
我知道了
×
提示
确定
请完成安全验证×
copy
已复制链接
快去分享给好友吧!
我知道了
右上角分享
点击右上角分享
0
联系我们:info@booksci.cn Book学术提供免费学术资源搜索服务,方便国内外学者检索中英文文献。致力于提供最便捷和优质的服务体验。 Copyright © 2023 布克学术 All rights reserved.
京ICP备2023020795号-1
ghs 京公网安备 11010802042870号
Book学术文献互助
Book学术文献互助群
群 号:604180095
Book学术官方微信