急性髓性白血病患者PICALM:: mllt10重排和EZH2突变的观察:1例报告和文献复习。

Christian Rausch, Ulrike Bacher, Joelle Tchinda, Michèle Hoffmann, Katja Seipel, Thomas Pabst
{"title":"急性髓性白血病患者PICALM:: mllt10重排和EZH2突变的观察:1例报告和文献复习。","authors":"Christian Rausch, Ulrike Bacher, Joelle Tchinda, Michèle Hoffmann, Katja Seipel, Thomas Pabst","doi":"10.1038/s44276-025-00175-w","DOIUrl":null,"url":null,"abstract":"<p><p>Acute Myeloid Leukemia (AML) with rearranged PICALM::MLLT10 is a rare and poorly characterized entity. Here, we describe a patient with this rearrangement, and compare this case to the literature. We observed a trend towards young age, male sex, extramedullary involvement (particularly mediastinal myelosarcoma), trisomy 4, trisomy 19 and aberrant CD7-expression. It was suggested that upregulation of DOT1l or BMI1 is a key effector for subsequent leukemogenesis. However, molecular data are not available for most published cases. Interestingly, two different EZH2-mutations were detected in our case, while generally being rare in AML, which is concordant with recent reports on the occurrence of EZH2mut in this AML subtype. As a synergistic effect of BMI1 and EZH2 has already been demonstrated in other neoplasms, we hypothesize that acquiring an EZH2 mutation might be a crucial proliferation advantage in PICALM::MLLT10 positive cells. This may explain the high percentage of EZH2 mutated cases in this entity, but also supports the hypothesis of BMI1-mediated leukemogenesis.</p>","PeriodicalId":519964,"journal":{"name":"BJC reports","volume":"3 1","pages":"66"},"PeriodicalIF":0.0000,"publicationDate":"2025-09-22","publicationTypes":"Journal Article","fieldsOfStudy":null,"isOpenAccess":false,"openAccessPdf":"https://www.ncbi.nlm.nih.gov/pmc/articles/PMC12454637/pdf/","citationCount":"0","resultStr":"{\"title\":\"Observation of PICALM::MLLT10-rearrangement and coincidental EZH2 mutations in a patient with acute myeloid leukemia: A case report and review of the literature.\",\"authors\":\"Christian Rausch, Ulrike Bacher, Joelle Tchinda, Michèle Hoffmann, Katja Seipel, Thomas Pabst\",\"doi\":\"10.1038/s44276-025-00175-w\",\"DOIUrl\":null,\"url\":null,\"abstract\":\"<p><p>Acute Myeloid Leukemia (AML) with rearranged PICALM::MLLT10 is a rare and poorly characterized entity. Here, we describe a patient with this rearrangement, and compare this case to the literature. We observed a trend towards young age, male sex, extramedullary involvement (particularly mediastinal myelosarcoma), trisomy 4, trisomy 19 and aberrant CD7-expression. It was suggested that upregulation of DOT1l or BMI1 is a key effector for subsequent leukemogenesis. However, molecular data are not available for most published cases. Interestingly, two different EZH2-mutations were detected in our case, while generally being rare in AML, which is concordant with recent reports on the occurrence of EZH2mut in this AML subtype. As a synergistic effect of BMI1 and EZH2 has already been demonstrated in other neoplasms, we hypothesize that acquiring an EZH2 mutation might be a crucial proliferation advantage in PICALM::MLLT10 positive cells. This may explain the high percentage of EZH2 mutated cases in this entity, but also supports the hypothesis of BMI1-mediated leukemogenesis.</p>\",\"PeriodicalId\":519964,\"journal\":{\"name\":\"BJC reports\",\"volume\":\"3 1\",\"pages\":\"66\"},\"PeriodicalIF\":0.0000,\"publicationDate\":\"2025-09-22\",\"publicationTypes\":\"Journal Article\",\"fieldsOfStudy\":null,\"isOpenAccess\":false,\"openAccessPdf\":\"https://www.ncbi.nlm.nih.gov/pmc/articles/PMC12454637/pdf/\",\"citationCount\":\"0\",\"resultStr\":null,\"platform\":\"Semanticscholar\",\"paperid\":null,\"PeriodicalName\":\"BJC reports\",\"FirstCategoryId\":\"1085\",\"ListUrlMain\":\"https://doi.org/10.1038/s44276-025-00175-w\",\"RegionNum\":0,\"RegionCategory\":null,\"ArticlePicture\":[],\"TitleCN\":null,\"AbstractTextCN\":null,\"PMCID\":null,\"EPubDate\":\"\",\"PubModel\":\"\",\"JCR\":\"\",\"JCRName\":\"\",\"Score\":null,\"Total\":0}","platform":"Semanticscholar","paperid":null,"PeriodicalName":"BJC reports","FirstCategoryId":"1085","ListUrlMain":"https://doi.org/10.1038/s44276-025-00175-w","RegionNum":0,"RegionCategory":null,"ArticlePicture":[],"TitleCN":null,"AbstractTextCN":null,"PMCID":null,"EPubDate":"","PubModel":"","JCR":"","JCRName":"","Score":null,"Total":0}
引用次数: 0

摘要

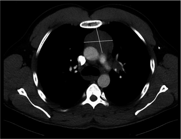
急性髓性白血病(AML)伴PICALM::MLLT10重排是一种罕见且特征不明确的疾病。在这里,我们描述一个病人与这种重排,并比较这个情况下的文献。我们观察到年轻、男性、髓外受累(特别是纵隔髓肉瘤)、4三体、19三体和cd7异常表达的趋势。这表明dot11或BMI1的上调是随后白血病发生的关键效应因子。然而,大多数已发表病例的分子数据不可用。有趣的是,在我们的病例中检测到两种不同的ezh2突变,而在AML中通常是罕见的,这与最近关于EZH2mut在该AML亚型中发生的报道一致。由于BMI1和EZH2的协同作用已经在其他肿瘤中得到证实,我们假设获得EZH2突变可能是PICALM::MLLT10阳性细胞增殖的关键优势。这可能解释了该实体中EZH2突变病例的高比例,但也支持了bmi1介导的白血病发生的假设。
本文章由计算机程序翻译,如有差异,请以英文原文为准。

Observation of PICALM::MLLT10-rearrangement and coincidental EZH2 mutations in a patient with acute myeloid leukemia: A case report and review of the literature.

Observation of PICALM::MLLT10-rearrangement and coincidental EZH2 mutations in a patient with acute myeloid leukemia: A case report and review of the literature.

Acute Myeloid Leukemia (AML) with rearranged PICALM::MLLT10 is a rare and poorly characterized entity. Here, we describe a patient with this rearrangement, and compare this case to the literature. We observed a trend towards young age, male sex, extramedullary involvement (particularly mediastinal myelosarcoma), trisomy 4, trisomy 19 and aberrant CD7-expression. It was suggested that upregulation of DOT1l or BMI1 is a key effector for subsequent leukemogenesis. However, molecular data are not available for most published cases. Interestingly, two different EZH2-mutations were detected in our case, while generally being rare in AML, which is concordant with recent reports on the occurrence of EZH2mut in this AML subtype. As a synergistic effect of BMI1 and EZH2 has already been demonstrated in other neoplasms, we hypothesize that acquiring an EZH2 mutation might be a crucial proliferation advantage in PICALM::MLLT10 positive cells. This may explain the high percentage of EZH2 mutated cases in this entity, but also supports the hypothesis of BMI1-mediated leukemogenesis.

求助全文
通过发布文献求助,成功后即可免费获取论文全文。 去求助
来源期刊
自引率
0.00%
发文量
0
×
引用
GB/T 7714-2015
复制
MLA
复制
APA
复制
导出至
BibTeX EndNote RefMan NoteFirst NoteExpress
×
提示
您的信息不完整,为了账户安全,请先补充。
现在去补充
×
提示
您因"违规操作"
具体请查看互助需知
我知道了
×
提示
确定
请完成安全验证×
copy
已复制链接
快去分享给好友吧!
我知道了
右上角分享
点击右上角分享
0
联系我们:info@booksci.cn Book学术提供免费学术资源搜索服务,方便国内外学者检索中英文文献。致力于提供最便捷和优质的服务体验。 Copyright © 2023 布克学术 All rights reserved.
京ICP备2023020795号-1
ghs 京公网安备 11010802042870号
Book学术文献互助
Book学术文献互助群
群 号:604180095
Book学术官方微信