斜坡隆起性回声:一个病例系列和文献的叙述性回顾。

Panagiotis Pyrgakis, Georgia Evangelia Papargyriou, Amanda Oostra, Vasilleios Chatzinakis, Argyro Leventi, Ioannis Geramas, Christos Georgalas
{"title":"斜坡隆起性回声:一个病例系列和文献的叙述性回顾。","authors":"Panagiotis Pyrgakis, Georgia Evangelia Papargyriou, Amanda Oostra, Vasilleios Chatzinakis, Argyro Leventi, Ioannis Geramas, Christos Georgalas","doi":"10.14639/0392-100X-N3039","DOIUrl":null,"url":null,"abstract":"<p><strong>Background: </strong>Ecchordosis physaliphora (EP) is a benign hamartomatous lesion, most commonly found in a retroclival position, as an incidental radiological finding. EP may become symptomatic, by creating a clival defect, leading to CSF leak and meningitis, thus requiring surgical treatment.</p><p><strong>Methods: </strong>Retrospective case series.</p><p><strong>Results: </strong>We present 5 cases of retroclival EP (4 males, 1 female; age range, 34-81 years) presenting in our department over the last 6 years. Four patients presented with CSF leak; 3 also had a history of bacterial meningitis, while one was diagnosed with meningitis on presentation. One patient was and remains asymptomatic 28 months later with the lesion being an incidental finding. The EP was treated in all 4 symptomatic patients with removal of the lesion and reconstruction of the defect with an endoscopic endonasal transclival approach (EETTA). All 4 patients remain free of symptoms while the lesion has not recurred for 81, 72, 52, and 22 months, respectively.</p><p><strong>Conclusions: </strong>A review of the literature depicts that there is a shift from transcranial approaches to the EETTA for treating retroclival EP. The present case series highlights that EETTA facilitates the complete excision of EP lesions, as well the reconstruction of the resulting defects, with minimal morbidity and hospitalisation.</p>","PeriodicalId":520544,"journal":{"name":"Acta otorhinolaryngologica Italica : organo ufficiale della Societa italiana di otorinolaringologia e chirurgia cervico-facciale","volume":"45 4","pages":"252-260"},"PeriodicalIF":0.0000,"publicationDate":"2025-08-01","publicationTypes":"Journal Article","fieldsOfStudy":null,"isOpenAccess":false,"openAccessPdf":"https://www.ncbi.nlm.nih.gov/pmc/articles/PMC12456240/pdf/","citationCount":"0","resultStr":"{\"title\":\"Ecchordosis physaliphora of the clivus: a case series and narrative review of the literature.\",\"authors\":\"Panagiotis Pyrgakis, Georgia Evangelia Papargyriou, Amanda Oostra, Vasilleios Chatzinakis, Argyro Leventi, Ioannis Geramas, Christos Georgalas\",\"doi\":\"10.14639/0392-100X-N3039\",\"DOIUrl\":null,\"url\":null,\"abstract\":\"<p><strong>Background: </strong>Ecchordosis physaliphora (EP) is a benign hamartomatous lesion, most commonly found in a retroclival position, as an incidental radiological finding. EP may become symptomatic, by creating a clival defect, leading to CSF leak and meningitis, thus requiring surgical treatment.</p><p><strong>Methods: </strong>Retrospective case series.</p><p><strong>Results: </strong>We present 5 cases of retroclival EP (4 males, 1 female; age range, 34-81 years) presenting in our department over the last 6 years. Four patients presented with CSF leak; 3 also had a history of bacterial meningitis, while one was diagnosed with meningitis on presentation. One patient was and remains asymptomatic 28 months later with the lesion being an incidental finding. The EP was treated in all 4 symptomatic patients with removal of the lesion and reconstruction of the defect with an endoscopic endonasal transclival approach (EETTA). All 4 patients remain free of symptoms while the lesion has not recurred for 81, 72, 52, and 22 months, respectively.</p><p><strong>Conclusions: </strong>A review of the literature depicts that there is a shift from transcranial approaches to the EETTA for treating retroclival EP. The present case series highlights that EETTA facilitates the complete excision of EP lesions, as well the reconstruction of the resulting defects, with minimal morbidity and hospitalisation.</p>\",\"PeriodicalId\":520544,\"journal\":{\"name\":\"Acta otorhinolaryngologica Italica : organo ufficiale della Societa italiana di otorinolaringologia e chirurgia cervico-facciale\",\"volume\":\"45 4\",\"pages\":\"252-260\"},\"PeriodicalIF\":0.0000,\"publicationDate\":\"2025-08-01\",\"publicationTypes\":\"Journal Article\",\"fieldsOfStudy\":null,\"isOpenAccess\":false,\"openAccessPdf\":\"https://www.ncbi.nlm.nih.gov/pmc/articles/PMC12456240/pdf/\",\"citationCount\":\"0\",\"resultStr\":null,\"platform\":\"Semanticscholar\",\"paperid\":null,\"PeriodicalName\":\"Acta otorhinolaryngologica Italica : organo ufficiale della Societa italiana di otorinolaringologia e chirurgia cervico-facciale\",\"FirstCategoryId\":\"1085\",\"ListUrlMain\":\"https://doi.org/10.14639/0392-100X-N3039\",\"RegionNum\":0,\"RegionCategory\":null,\"ArticlePicture\":[],\"TitleCN\":null,\"AbstractTextCN\":null,\"PMCID\":null,\"EPubDate\":\"\",\"PubModel\":\"\",\"JCR\":\"\",\"JCRName\":\"\",\"Score\":null,\"Total\":0}","platform":"Semanticscholar","paperid":null,"PeriodicalName":"Acta otorhinolaryngologica Italica : organo ufficiale della Societa italiana di otorinolaringologia e chirurgia cervico-facciale","FirstCategoryId":"1085","ListUrlMain":"https://doi.org/10.14639/0392-100X-N3039","RegionNum":0,"RegionCategory":null,"ArticlePicture":[],"TitleCN":null,"AbstractTextCN":null,"PMCID":null,"EPubDate":"","PubModel":"","JCR":"","JCRName":"","Score":null,"Total":0}
引用次数: 0

摘要

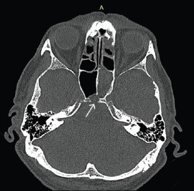
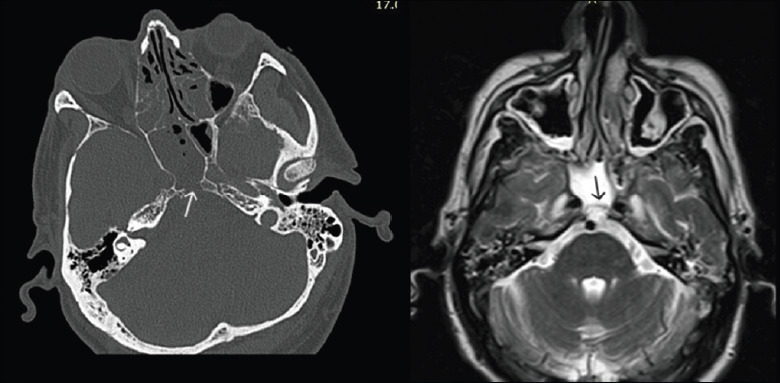
背景:physaliphora (EP)是一种良性错构瘤病变,最常见于斜坡后位置,是偶然的影像学发现。EP可能会出现症状,通过造成斜坡缺损,导致脑脊液泄漏和脑膜炎,因此需要手术治疗。方法:回顾性病例系列。结果:我们报告了6年来在我科出现的5例斜坡后EP(男4例,女1例,年龄34-81岁)。4例患者出现脑脊液漏;其中3人有细菌性脑膜炎病史,1人在就诊时被诊断为脑膜炎。一名患者在28个月后无症状,病变是偶然发现的。所有4例有症状的患者均经鼻内窥镜经巩膜入路(EETTA)切除病变并重建缺损。4例患者均无症状,病变分别在81个月、72个月、52个月和22个月未复发。结论:对文献的回顾表明,治疗斜坡后EP有从经颅入路到EETTA的转变。本病例系列强调EETTA有助于EP病变的完全切除,以及由此产生的缺陷的重建,发病率和住院率最低。
本文章由计算机程序翻译,如有差异,请以英文原文为准。

Ecchordosis physaliphora of the clivus: a case series and narrative review of the literature.

Ecchordosis physaliphora of the clivus: a case series and narrative review of the literature.

Ecchordosis physaliphora of the clivus: a case series and narrative review of the literature.

Ecchordosis physaliphora of the clivus: a case series and narrative review of the literature.

Background: Ecchordosis physaliphora (EP) is a benign hamartomatous lesion, most commonly found in a retroclival position, as an incidental radiological finding. EP may become symptomatic, by creating a clival defect, leading to CSF leak and meningitis, thus requiring surgical treatment.

Methods: Retrospective case series.

Results: We present 5 cases of retroclival EP (4 males, 1 female; age range, 34-81 years) presenting in our department over the last 6 years. Four patients presented with CSF leak; 3 also had a history of bacterial meningitis, while one was diagnosed with meningitis on presentation. One patient was and remains asymptomatic 28 months later with the lesion being an incidental finding. The EP was treated in all 4 symptomatic patients with removal of the lesion and reconstruction of the defect with an endoscopic endonasal transclival approach (EETTA). All 4 patients remain free of symptoms while the lesion has not recurred for 81, 72, 52, and 22 months, respectively.

Conclusions: A review of the literature depicts that there is a shift from transcranial approaches to the EETTA for treating retroclival EP. The present case series highlights that EETTA facilitates the complete excision of EP lesions, as well the reconstruction of the resulting defects, with minimal morbidity and hospitalisation.

求助全文
通过发布文献求助,成功后即可免费获取论文全文。 去求助
来源期刊
自引率
0.00%
发文量
0
×
引用
GB/T 7714-2015
复制
MLA
复制
APA
复制
导出至
BibTeX EndNote RefMan NoteFirst NoteExpress
×
提示
您的信息不完整,为了账户安全,请先补充。
现在去补充
×
提示
您因"违规操作"
具体请查看互助需知
我知道了
×
提示
确定
请完成安全验证×
copy
已复制链接
快去分享给好友吧!
我知道了
右上角分享
点击右上角分享
0
联系我们:info@booksci.cn Book学术提供免费学术资源搜索服务,方便国内外学者检索中英文文献。致力于提供最便捷和优质的服务体验。 Copyright © 2023 布克学术 All rights reserved.
京ICP备2023020795号-1
ghs 京公网安备 11010802042870号
Book学术文献互助
Book学术文献互助群
群 号:604180095
Book学术官方微信