混合全髋关节置换术后28年Pol Le Cœur三段式骨盆截骨术治疗髋关节发育不良1例报告。

IF 0.5 Q4 SURGERY
Journal of Surgical Case Reports Pub Date : 2025-09-21 eCollection Date: 2025-09-01 DOI:10.1093/jscr/rjaf577
Daniela M Isidoro, João Castro Mendes, Patrícia Dias, Catarina Corte-Real, Maria Alves Parreira, Diana Bicas Machado, Diogo Lino Moura, Fernando Judas
{"title":"混合全髋关节置换术后28年Pol Le Cœur三段式骨盆截骨术治疗髋关节发育不良1例报告。","authors":"Daniela M Isidoro, João Castro Mendes, Patrícia Dias, Catarina Corte-Real, Maria Alves Parreira, Diana Bicas Machado, Diogo Lino Moura, Fernando Judas","doi":"10.1093/jscr/rjaf577","DOIUrl":null,"url":null,"abstract":"<p><p>A 35-year-old female patient with acetabular dysplasia underwent a Pol Le Cœur triple pelvic osteotomy (TPO). Twenty-eight years later, she presented with painful end-stage hip osteoarthritis and underwent total hip arthroplasty (THA). A press-fit cementless acetabular cup and a cemented straight femoral stem were implanted without complications. At 13-year follow-up, hip radiographs revealed no signs of prothesis instability and no signs of implant loosening. TPO may not completely prevent the progression of hip osteoarthritis. In this case, the patient developed progressive end-stage osteoarthritis 28 years after the osteotomy, requiring THA. Pol Le Cœur TPO is a viable treatment option for symptomatic acetabular dysplasia in younger adults with low-grade osteoarthritis, effectively delaying hip prosthesis implantation. Hybrid THA after TPO can yield very satisfactory clinical and radiographic outcomes at mid-term follow-up.</p>","PeriodicalId":47321,"journal":{"name":"Journal of Surgical Case Reports","volume":"2025 9","pages":"rjaf577"},"PeriodicalIF":0.5000,"publicationDate":"2025-09-21","publicationTypes":"Journal Article","fieldsOfStudy":null,"isOpenAccess":false,"openAccessPdf":"https://www.ncbi.nlm.nih.gov/pmc/articles/PMC12450344/pdf/","citationCount":"0","resultStr":"{\"title\":\"Hybrid total hip arthroplasty 28 years after Pol Le Cœur triple pelvic osteotomy used for the treatment of developmental dysplasia of the hip: a case report.\",\"authors\":\"Daniela M Isidoro, João Castro Mendes, Patrícia Dias, Catarina Corte-Real, Maria Alves Parreira, Diana Bicas Machado, Diogo Lino Moura, Fernando Judas\",\"doi\":\"10.1093/jscr/rjaf577\",\"DOIUrl\":null,\"url\":null,\"abstract\":\"<p><p>A 35-year-old female patient with acetabular dysplasia underwent a Pol Le Cœur triple pelvic osteotomy (TPO). Twenty-eight years later, she presented with painful end-stage hip osteoarthritis and underwent total hip arthroplasty (THA). A press-fit cementless acetabular cup and a cemented straight femoral stem were implanted without complications. At 13-year follow-up, hip radiographs revealed no signs of prothesis instability and no signs of implant loosening. TPO may not completely prevent the progression of hip osteoarthritis. In this case, the patient developed progressive end-stage osteoarthritis 28 years after the osteotomy, requiring THA. Pol Le Cœur TPO is a viable treatment option for symptomatic acetabular dysplasia in younger adults with low-grade osteoarthritis, effectively delaying hip prosthesis implantation. Hybrid THA after TPO can yield very satisfactory clinical and radiographic outcomes at mid-term follow-up.</p>\",\"PeriodicalId\":47321,\"journal\":{\"name\":\"Journal of Surgical Case Reports\",\"volume\":\"2025 9\",\"pages\":\"rjaf577\"},\"PeriodicalIF\":0.5000,\"publicationDate\":\"2025-09-21\",\"publicationTypes\":\"Journal Article\",\"fieldsOfStudy\":null,\"isOpenAccess\":false,\"openAccessPdf\":\"https://www.ncbi.nlm.nih.gov/pmc/articles/PMC12450344/pdf/\",\"citationCount\":\"0\",\"resultStr\":null,\"platform\":\"Semanticscholar\",\"paperid\":null,\"PeriodicalName\":\"Journal of Surgical Case Reports\",\"FirstCategoryId\":\"1085\",\"ListUrlMain\":\"https://doi.org/10.1093/jscr/rjaf577\",\"RegionNum\":0,\"RegionCategory\":null,\"ArticlePicture\":[],\"TitleCN\":null,\"AbstractTextCN\":null,\"PMCID\":null,\"EPubDate\":\"2025/9/1 0:00:00\",\"PubModel\":\"eCollection\",\"JCR\":\"Q4\",\"JCRName\":\"SURGERY\",\"Score\":null,\"Total\":0}","platform":"Semanticscholar","paperid":null,"PeriodicalName":"Journal of Surgical Case Reports","FirstCategoryId":"1085","ListUrlMain":"https://doi.org/10.1093/jscr/rjaf577","RegionNum":0,"RegionCategory":null,"ArticlePicture":[],"TitleCN":null,"AbstractTextCN":null,"PMCID":null,"EPubDate":"2025/9/1 0:00:00","PubModel":"eCollection","JCR":"Q4","JCRName":"SURGERY","Score":null,"Total":0}
引用次数: 0

摘要

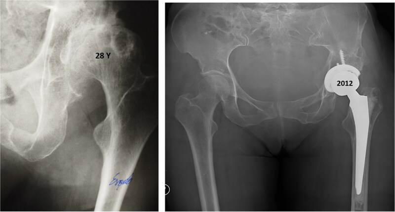
一位35岁的女性髋臼发育不良患者接受了Pol Le Cœur三重骨盆截骨术(TPO)。28年后,她出现疼痛的终末期髋关节骨关节炎,并接受了全髋关节置换术(THA)。植入加压式无骨水泥髋臼杯和骨水泥直股柄,无并发症。在13年的随访中,髋关节x线片显示没有假体不稳定和假体松动的迹象。TPO可能不能完全预防髋关节骨关节炎的进展。本例患者在截骨术后28年出现进行性终末期骨关节炎,需要THA。Pol Le Cœur对于患有低度骨关节炎的年轻成人,TPO是一种治疗症状性髋臼发育不良的可行选择,可有效延缓髋关节假体植入。TPO后混合THA在中期随访中能获得非常满意的临床和影像学结果。
本文章由计算机程序翻译,如有差异,请以英文原文为准。

Hybrid total hip arthroplasty 28 years after Pol Le Cœur triple pelvic osteotomy used for the treatment of developmental dysplasia of the hip: a case report.

Hybrid total hip arthroplasty 28 years after Pol Le Cœur triple pelvic osteotomy used for the treatment of developmental dysplasia of the hip: a case report.

Hybrid total hip arthroplasty 28 years after Pol Le Cœur triple pelvic osteotomy used for the treatment of developmental dysplasia of the hip: a case report.

Hybrid total hip arthroplasty 28 years after Pol Le Cœur triple pelvic osteotomy used for the treatment of developmental dysplasia of the hip: a case report.

A 35-year-old female patient with acetabular dysplasia underwent a Pol Le Cœur triple pelvic osteotomy (TPO). Twenty-eight years later, she presented with painful end-stage hip osteoarthritis and underwent total hip arthroplasty (THA). A press-fit cementless acetabular cup and a cemented straight femoral stem were implanted without complications. At 13-year follow-up, hip radiographs revealed no signs of prothesis instability and no signs of implant loosening. TPO may not completely prevent the progression of hip osteoarthritis. In this case, the patient developed progressive end-stage osteoarthritis 28 years after the osteotomy, requiring THA. Pol Le Cœur TPO is a viable treatment option for symptomatic acetabular dysplasia in younger adults with low-grade osteoarthritis, effectively delaying hip prosthesis implantation. Hybrid THA after TPO can yield very satisfactory clinical and radiographic outcomes at mid-term follow-up.

求助全文
通过发布文献求助,成功后即可免费获取论文全文。 去求助
来源期刊
CiteScore
0.70
自引率
0.00%
发文量
559
审稿时长
11 weeks
×
引用
GB/T 7714-2015
复制
MLA
复制
APA
复制
导出至
BibTeX EndNote RefMan NoteFirst NoteExpress
×
提示
您的信息不完整,为了账户安全,请先补充。
现在去补充
×
提示
您因"违规操作"
具体请查看互助需知
我知道了
×
提示
确定
请完成安全验证×
copy
已复制链接
快去分享给好友吧!
我知道了
右上角分享
点击右上角分享
0
联系我们:info@booksci.cn Book学术提供免费学术资源搜索服务,方便国内外学者检索中英文文献。致力于提供最便捷和优质的服务体验。 Copyright © 2023 布克学术 All rights reserved.
京ICP备2023020795号-1
ghs 京公网安备 11010802042870号
Book学术文献互助
Book学术文献互助群
群 号:604180095
Book学术官方微信