跖骨前旋x线片:拇外翻视觉旋转标记的前瞻性可靠性研究。

Foot & Ankle Orthopaedics Pub Date : 2025-09-20 eCollection Date: 2025-07-01 DOI:10.1177/24730114251371723
Mikaela Engarås Hamre, Lise Benedikte Wendt Ræder, Martin Okelsrud Riiser, Peter Franz Schubert, Marius Molund
{"title":"跖骨前旋x线片:拇外翻视觉旋转标记的前瞻性可靠性研究。","authors":"Mikaela Engarås Hamre, Lise Benedikte Wendt Ræder, Martin Okelsrud Riiser, Peter Franz Schubert, Marius Molund","doi":"10.1177/24730114251371723","DOIUrl":null,"url":null,"abstract":"<p><strong>Background: </strong>Rotational malalignment of the first metatarsal is increasingly recognized as a key feature of hallux valgus deformity, but the reliability of radiographic rotation markers remains uncertain. This study assessed the inter- and intraobserver reliability of 4 commonly used radiographic parameters: metatarsal pronation angle (MPA), tibial sesamoid position (TSP), lateral head shape (LHS), and round head sign (RH).</p><p><strong>Methods: </strong>In this prospective reliability study, 3 senior clinicians independently evaluated weightbearing anteroposterior and axial sesamoid radiographs of 75 hallux valgus cases on 2 occasions. Metatarsal pronation angle (MPA) was measured as a continuous variable and analyzed using intraclass correlation coefficients (ICCs). Tibial sesamoid position (TSP), lateral head shape (LHS), and round head sign (RH) were graded using ordinal scales and assessed with weighted kappa statistics (κ). Subgroup analyses evaluated whether reliability varied by deformity severity (hallux valgus angle) or increased distal metatarsal articular angle (DMAA > 10 degrees).</p><p><strong>Results: </strong>MPA showed excellent agreement (ICC = 0.81-0.94). TSP also demonstrated high reliability (κ = 0.88-0.98), although its value as a rotation marker is limited. LHS showed moderate to substantial agreement (κ = 0.59-0.85), whereas RH had fair to moderate reliability (κ = 0.35-0.66). RH was least reliable in mild deformities, whereas other parameters remained stable across subgroups, with slightly lower values in cases with elevated DMAA.</p><p><strong>Conclusions: </strong>Conventional radiographs offer reliable assessment of MPA and TSP. LHS provides acceptable reproducibility, whereas RH is less consistent. These findings support the use of selected radiographic markers and suggest that further validation against 3-dimensional imaging and standardized grading frameworks may improve consistency and clinical applicability.</p><p><strong>Level of evidence: </strong>Level IV, case series.</p>","PeriodicalId":12429,"journal":{"name":"Foot & Ankle Orthopaedics","volume":"10 3","pages":"24730114251371723"},"PeriodicalIF":0.0000,"publicationDate":"2025-09-20","publicationTypes":"Journal Article","fieldsOfStudy":null,"isOpenAccess":false,"openAccessPdf":"https://www.ncbi.nlm.nih.gov/pmc/articles/PMC12450261/pdf/","citationCount":"0","resultStr":"{\"title\":\"Metatarsal Pronation on Radiographs: A Prospective Reliability Study of Visual Rotation Markers in Hallux Valgus.\",\"authors\":\"Mikaela Engarås Hamre, Lise Benedikte Wendt Ræder, Martin Okelsrud Riiser, Peter Franz Schubert, Marius Molund\",\"doi\":\"10.1177/24730114251371723\",\"DOIUrl\":null,\"url\":null,\"abstract\":\"<p><strong>Background: </strong>Rotational malalignment of the first metatarsal is increasingly recognized as a key feature of hallux valgus deformity, but the reliability of radiographic rotation markers remains uncertain. This study assessed the inter- and intraobserver reliability of 4 commonly used radiographic parameters: metatarsal pronation angle (MPA), tibial sesamoid position (TSP), lateral head shape (LHS), and round head sign (RH).</p><p><strong>Methods: </strong>In this prospective reliability study, 3 senior clinicians independently evaluated weightbearing anteroposterior and axial sesamoid radiographs of 75 hallux valgus cases on 2 occasions. Metatarsal pronation angle (MPA) was measured as a continuous variable and analyzed using intraclass correlation coefficients (ICCs). Tibial sesamoid position (TSP), lateral head shape (LHS), and round head sign (RH) were graded using ordinal scales and assessed with weighted kappa statistics (κ). Subgroup analyses evaluated whether reliability varied by deformity severity (hallux valgus angle) or increased distal metatarsal articular angle (DMAA > 10 degrees).</p><p><strong>Results: </strong>MPA showed excellent agreement (ICC = 0.81-0.94). TSP also demonstrated high reliability (κ = 0.88-0.98), although its value as a rotation marker is limited. LHS showed moderate to substantial agreement (κ = 0.59-0.85), whereas RH had fair to moderate reliability (κ = 0.35-0.66). RH was least reliable in mild deformities, whereas other parameters remained stable across subgroups, with slightly lower values in cases with elevated DMAA.</p><p><strong>Conclusions: </strong>Conventional radiographs offer reliable assessment of MPA and TSP. LHS provides acceptable reproducibility, whereas RH is less consistent. These findings support the use of selected radiographic markers and suggest that further validation against 3-dimensional imaging and standardized grading frameworks may improve consistency and clinical applicability.</p><p><strong>Level of evidence: </strong>Level IV, case series.</p>\",\"PeriodicalId\":12429,\"journal\":{\"name\":\"Foot & Ankle Orthopaedics\",\"volume\":\"10 3\",\"pages\":\"24730114251371723\"},\"PeriodicalIF\":0.0000,\"publicationDate\":\"2025-09-20\",\"publicationTypes\":\"Journal Article\",\"fieldsOfStudy\":null,\"isOpenAccess\":false,\"openAccessPdf\":\"https://www.ncbi.nlm.nih.gov/pmc/articles/PMC12450261/pdf/\",\"citationCount\":\"0\",\"resultStr\":null,\"platform\":\"Semanticscholar\",\"paperid\":null,\"PeriodicalName\":\"Foot & Ankle Orthopaedics\",\"FirstCategoryId\":\"1085\",\"ListUrlMain\":\"https://doi.org/10.1177/24730114251371723\",\"RegionNum\":0,\"RegionCategory\":null,\"ArticlePicture\":[],\"TitleCN\":null,\"AbstractTextCN\":null,\"PMCID\":null,\"EPubDate\":\"2025/7/1 0:00:00\",\"PubModel\":\"eCollection\",\"JCR\":\"\",\"JCRName\":\"\",\"Score\":null,\"Total\":0}","platform":"Semanticscholar","paperid":null,"PeriodicalName":"Foot & Ankle Orthopaedics","FirstCategoryId":"1085","ListUrlMain":"https://doi.org/10.1177/24730114251371723","RegionNum":0,"RegionCategory":null,"ArticlePicture":[],"TitleCN":null,"AbstractTextCN":null,"PMCID":null,"EPubDate":"2025/7/1 0:00:00","PubModel":"eCollection","JCR":"","JCRName":"","Score":null,"Total":0}
引用次数: 0

摘要

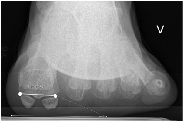
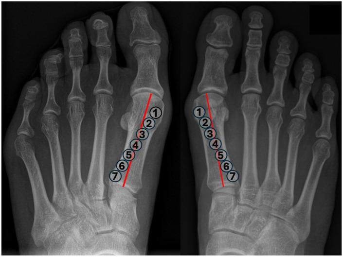
背景:第一跖骨旋转错位越来越被认为是拇外翻畸形的一个关键特征,但x线旋转标记物的可靠性仍然不确定。本研究评估了4个常用的影像学参数:跖骨旋前角(MPA)、胫骨sesamoid位置(TSP)、侧头形状(LHS)和圆头征象(RH)在观察者间和观察者内的可靠性。方法:在这项前瞻性可靠性研究中,3名资深临床医生独立评估了75例2次拇外翻的负重正位和轴位籽骨片。测量跖骨旋前角(MPA)作为连续变量,并使用类内相关系数(ICCs)进行分析。采用顺序量表对胫骨籽骨位置(TSP)、侧头形状(LHS)和圆头标志(RH)进行评分,并采用加权kappa统计量(κ)进行评估。亚组分析评估了可靠性是否因畸形严重程度(拇外翻角)或远端跖关节角(DMAA bbb10度)的增加而变化。结果:MPA具有良好的一致性(ICC = 0.81 ~ 0.94)。TSP也表现出高可靠性(κ = 0.88-0.98),尽管其作为旋转标记的价值有限。LHS具有中等至基本的一致性(κ = 0.59-0.85),而RH具有中等至中等的可靠性(κ = 0.35-0.66)。RH在轻度畸形中最不可靠,而其他参数在亚组中保持稳定,在DMAA升高的情况下值略低。结论:常规x线片可可靠评估MPA和TSP。LHS提供了可接受的再现性,而RH则不太一致。这些发现支持选择放射学标记物的使用,并表明针对三维成像和标准化分级框架的进一步验证可能会提高一致性和临床适用性。证据等级:四级,案例系列。
本文章由计算机程序翻译,如有差异,请以英文原文为准。

Metatarsal Pronation on Radiographs: A Prospective Reliability Study of Visual Rotation Markers in Hallux Valgus.

Metatarsal Pronation on Radiographs: A Prospective Reliability Study of Visual Rotation Markers in Hallux Valgus.

Metatarsal Pronation on Radiographs: A Prospective Reliability Study of Visual Rotation Markers in Hallux Valgus.

Metatarsal Pronation on Radiographs: A Prospective Reliability Study of Visual Rotation Markers in Hallux Valgus.

Background: Rotational malalignment of the first metatarsal is increasingly recognized as a key feature of hallux valgus deformity, but the reliability of radiographic rotation markers remains uncertain. This study assessed the inter- and intraobserver reliability of 4 commonly used radiographic parameters: metatarsal pronation angle (MPA), tibial sesamoid position (TSP), lateral head shape (LHS), and round head sign (RH).

Methods: In this prospective reliability study, 3 senior clinicians independently evaluated weightbearing anteroposterior and axial sesamoid radiographs of 75 hallux valgus cases on 2 occasions. Metatarsal pronation angle (MPA) was measured as a continuous variable and analyzed using intraclass correlation coefficients (ICCs). Tibial sesamoid position (TSP), lateral head shape (LHS), and round head sign (RH) were graded using ordinal scales and assessed with weighted kappa statistics (κ). Subgroup analyses evaluated whether reliability varied by deformity severity (hallux valgus angle) or increased distal metatarsal articular angle (DMAA > 10 degrees).

Results: MPA showed excellent agreement (ICC = 0.81-0.94). TSP also demonstrated high reliability (κ = 0.88-0.98), although its value as a rotation marker is limited. LHS showed moderate to substantial agreement (κ = 0.59-0.85), whereas RH had fair to moderate reliability (κ = 0.35-0.66). RH was least reliable in mild deformities, whereas other parameters remained stable across subgroups, with slightly lower values in cases with elevated DMAA.

Conclusions: Conventional radiographs offer reliable assessment of MPA and TSP. LHS provides acceptable reproducibility, whereas RH is less consistent. These findings support the use of selected radiographic markers and suggest that further validation against 3-dimensional imaging and standardized grading frameworks may improve consistency and clinical applicability.

Level of evidence: Level IV, case series.

求助全文
通过发布文献求助,成功后即可免费获取论文全文。 去求助
来源期刊
Foot & Ankle Orthopaedics
Foot & Ankle Orthopaedics Medicine-Orthopedics and Sports Medicine
CiteScore
1.20
自引率
0.00%
发文量
1152
×
引用
GB/T 7714-2015
复制
MLA
复制
APA
复制
导出至
BibTeX EndNote RefMan NoteFirst NoteExpress
×
提示
您的信息不完整,为了账户安全,请先补充。
现在去补充
×
提示
您因"违规操作"
具体请查看互助需知
我知道了
×
提示
确定
请完成安全验证×
copy
已复制链接
快去分享给好友吧!
我知道了
右上角分享
点击右上角分享
0
联系我们:info@booksci.cn Book学术提供免费学术资源搜索服务,方便国内外学者检索中英文文献。致力于提供最便捷和优质的服务体验。 Copyright © 2023 布克学术 All rights reserved.
京ICP备2023020795号-1
ghs 京公网安备 11010802042870号
Book学术文献互助
Book学术文献互助群
群 号:604180095
Book学术官方微信