主动脉揭密:影像学在主动脉疾病诊断和治疗中的关键作用——综述。

European heart journal. Imaging methods and practice Pub Date : 2025-08-13 eCollection Date: 2025-07-01 DOI:10.1093/ehjimp/qyaf108
Jean-Baptiste Ricco, Aurélien Hostalrich, Xavier Chaufour
{"title":"主动脉揭密:影像学在主动脉疾病诊断和治疗中的关键作用——综述。","authors":"Jean-Baptiste Ricco, Aurélien Hostalrich, Xavier Chaufour","doi":"10.1093/ehjimp/qyaf108","DOIUrl":null,"url":null,"abstract":"<p><p>Aortic diseases, including aneurysmal and occlusive pathologies of the thoracic and abdominal aorta, represent a significant source of cardiovascular morbidity and mortality. This narrative review explores the role of modern and emerging imaging modalities in the management of aortic disease and highlights the pivotal roles of computed tomography angiography (CTA), magnetic resonance imaging (MRI), and contrast-enhanced ultrasound (CEUS). CTA remains the cornerstone for evaluating aneurysms, dissections, and traumatic injuries, offering high spatial resolution, rapid acquisition, and detailed anatomical assessment. MRI, particularly with advanced sequences such as 4D flow, provides comprehensive multiparametric evaluation without radiation exposure, making it ideal for younger patients and those requiring repeat imaging. Positron emission tomography (PET), especially when integrated with CTA or MRI, enables metabolic characterization of inflammation and infection in aortic walls. Ultrasound, particularly CEUS, remains indispensable in abdominal aortic aneurysm (AAA) screening and post-endovascular aortic aneurysm repair (EVAR) surveillance, especially in patients with renal impairment. Emerging technologies, including hybrid imaging, radiomics, and artificial intelligence (AI) are reshaping the landscape of aortic diagnostics. These innovations enhance detection of subtle imaging features, automate measurements, and may enable prediction of disease progression or complications.</p>","PeriodicalId":94317,"journal":{"name":"European heart journal. Imaging methods and practice","volume":"3 2","pages":"qyaf108"},"PeriodicalIF":0.0000,"publicationDate":"2025-08-13","publicationTypes":"Journal Article","fieldsOfStudy":null,"isOpenAccess":false,"openAccessPdf":"https://www.ncbi.nlm.nih.gov/pmc/articles/PMC12448707/pdf/","citationCount":"0","resultStr":"{\"title\":\"Aorta unveiled: the crucial role of imaging in diagnosing and managing aortic disease-a review.\",\"authors\":\"Jean-Baptiste Ricco, Aurélien Hostalrich, Xavier Chaufour\",\"doi\":\"10.1093/ehjimp/qyaf108\",\"DOIUrl\":null,\"url\":null,\"abstract\":\"<p><p>Aortic diseases, including aneurysmal and occlusive pathologies of the thoracic and abdominal aorta, represent a significant source of cardiovascular morbidity and mortality. This narrative review explores the role of modern and emerging imaging modalities in the management of aortic disease and highlights the pivotal roles of computed tomography angiography (CTA), magnetic resonance imaging (MRI), and contrast-enhanced ultrasound (CEUS). CTA remains the cornerstone for evaluating aneurysms, dissections, and traumatic injuries, offering high spatial resolution, rapid acquisition, and detailed anatomical assessment. MRI, particularly with advanced sequences such as 4D flow, provides comprehensive multiparametric evaluation without radiation exposure, making it ideal for younger patients and those requiring repeat imaging. Positron emission tomography (PET), especially when integrated with CTA or MRI, enables metabolic characterization of inflammation and infection in aortic walls. Ultrasound, particularly CEUS, remains indispensable in abdominal aortic aneurysm (AAA) screening and post-endovascular aortic aneurysm repair (EVAR) surveillance, especially in patients with renal impairment. Emerging technologies, including hybrid imaging, radiomics, and artificial intelligence (AI) are reshaping the landscape of aortic diagnostics. These innovations enhance detection of subtle imaging features, automate measurements, and may enable prediction of disease progression or complications.</p>\",\"PeriodicalId\":94317,\"journal\":{\"name\":\"European heart journal. Imaging methods and practice\",\"volume\":\"3 2\",\"pages\":\"qyaf108\"},\"PeriodicalIF\":0.0000,\"publicationDate\":\"2025-08-13\",\"publicationTypes\":\"Journal Article\",\"fieldsOfStudy\":null,\"isOpenAccess\":false,\"openAccessPdf\":\"https://www.ncbi.nlm.nih.gov/pmc/articles/PMC12448707/pdf/\",\"citationCount\":\"0\",\"resultStr\":null,\"platform\":\"Semanticscholar\",\"paperid\":null,\"PeriodicalName\":\"European heart journal. Imaging methods and practice\",\"FirstCategoryId\":\"1085\",\"ListUrlMain\":\"https://doi.org/10.1093/ehjimp/qyaf108\",\"RegionNum\":0,\"RegionCategory\":null,\"ArticlePicture\":[],\"TitleCN\":null,\"AbstractTextCN\":null,\"PMCID\":null,\"EPubDate\":\"2025/7/1 0:00:00\",\"PubModel\":\"eCollection\",\"JCR\":\"\",\"JCRName\":\"\",\"Score\":null,\"Total\":0}","platform":"Semanticscholar","paperid":null,"PeriodicalName":"European heart journal. Imaging methods and practice","FirstCategoryId":"1085","ListUrlMain":"https://doi.org/10.1093/ehjimp/qyaf108","RegionNum":0,"RegionCategory":null,"ArticlePicture":[],"TitleCN":null,"AbstractTextCN":null,"PMCID":null,"EPubDate":"2025/7/1 0:00:00","PubModel":"eCollection","JCR":"","JCRName":"","Score":null,"Total":0}
引用次数: 0

摘要

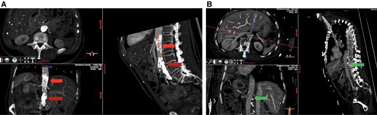
主动脉疾病,包括胸主动脉和腹主动脉的动脉瘤和闭塞性病变,是心血管发病率和死亡率的一个重要来源。本文探讨了现代和新兴的成像方式在主动脉疾病治疗中的作用,并强调了计算机断层血管造影(CTA)、磁共振成像(MRI)和超声造影(CEUS)的关键作用。CTA仍然是评估动脉瘤、夹层和创伤性损伤的基础,提供高空间分辨率、快速获取和详细的解剖评估。MRI,特别是先进的序列,如4D流,提供全面的多参数评估,而不需要辐射暴露,使其成为年轻患者和需要重复成像的理想选择。正电子发射断层扫描(PET),特别是当与CTA或MRI结合使用时,可以表征主动脉壁炎症和感染的代谢特征。超声,特别是超声造影,在腹主动脉瘤(AAA)筛查和血管内动脉瘤修复后(EVAR)监测中仍然是不可或缺的,特别是在肾功能损害患者中。包括混合成像、放射组学和人工智能(AI)在内的新兴技术正在重塑主动脉诊断的格局。这些创新增强了对细微成像特征的检测,自动化测量,并可能实现疾病进展或并发症的预测。
本文章由计算机程序翻译,如有差异,请以英文原文为准。

Aorta unveiled: the crucial role of imaging in diagnosing and managing aortic disease-a review.

Aorta unveiled: the crucial role of imaging in diagnosing and managing aortic disease-a review.

Aorta unveiled: the crucial role of imaging in diagnosing and managing aortic disease-a review.

Aorta unveiled: the crucial role of imaging in diagnosing and managing aortic disease-a review.

Aortic diseases, including aneurysmal and occlusive pathologies of the thoracic and abdominal aorta, represent a significant source of cardiovascular morbidity and mortality. This narrative review explores the role of modern and emerging imaging modalities in the management of aortic disease and highlights the pivotal roles of computed tomography angiography (CTA), magnetic resonance imaging (MRI), and contrast-enhanced ultrasound (CEUS). CTA remains the cornerstone for evaluating aneurysms, dissections, and traumatic injuries, offering high spatial resolution, rapid acquisition, and detailed anatomical assessment. MRI, particularly with advanced sequences such as 4D flow, provides comprehensive multiparametric evaluation without radiation exposure, making it ideal for younger patients and those requiring repeat imaging. Positron emission tomography (PET), especially when integrated with CTA or MRI, enables metabolic characterization of inflammation and infection in aortic walls. Ultrasound, particularly CEUS, remains indispensable in abdominal aortic aneurysm (AAA) screening and post-endovascular aortic aneurysm repair (EVAR) surveillance, especially in patients with renal impairment. Emerging technologies, including hybrid imaging, radiomics, and artificial intelligence (AI) are reshaping the landscape of aortic diagnostics. These innovations enhance detection of subtle imaging features, automate measurements, and may enable prediction of disease progression or complications.

求助全文
通过发布文献求助,成功后即可免费获取论文全文。 去求助
来源期刊
自引率
0.00%
发文量
0
×
引用
GB/T 7714-2015
复制
MLA
复制
APA
复制
导出至
BibTeX EndNote RefMan NoteFirst NoteExpress
×
提示
您的信息不完整,为了账户安全,请先补充。
现在去补充
×
提示
您因"违规操作"
具体请查看互助需知
我知道了
×
提示
确定
请完成安全验证×
copy
已复制链接
快去分享给好友吧!
我知道了
右上角分享
点击右上角分享
0
联系我们:info@booksci.cn Book学术提供免费学术资源搜索服务,方便国内外学者检索中英文文献。致力于提供最便捷和优质的服务体验。 Copyright © 2023 布克学术 All rights reserved.
京ICP备2023020795号-1
ghs 京公网安备 11010802042870号
Book学术文献互助
Book学术文献互助群
群 号:604180095
Book学术官方微信