超弧放疗治疗不可切除的良性眼眶肿瘤——队列研究和剂量比较研究。

IF 2.1
BJR open Pub Date : 2025-05-10 eCollection Date: 2025-01-01 DOI:10.1093/bjro/tzaf011
Alasdair Innes Simpson, Caoimhe Henry, Ronan M Valentine, Richard Ferguson, Adam L Peters, Owen O'Brien, Sarah Al-Ani, Paul Cauchi, Stefano Schipani
{"title":"超弧放疗治疗不可切除的良性眼眶肿瘤——队列研究和剂量比较研究。","authors":"Alasdair Innes Simpson, Caoimhe Henry, Ronan M Valentine, Richard Ferguson, Adam L Peters, Owen O'Brien, Sarah Al-Ani, Paul Cauchi, Stefano Schipani","doi":"10.1093/bjro/tzaf011","DOIUrl":null,"url":null,"abstract":"<p><strong>Objective: </strong>To report the clinical application, dosimetric features, efficacy, and toxicity profile of HyperArc (HA) for benign orbital tumours not amenable to surgical resection.</p><p><strong>Methods: </strong>A retrospective interventional cohort study. Gross target volume included the radiologically evident tumour and the optic nerve (excluded in case of haemangioma). Dosimetry was compared between HA and volumetric modulated arc therapy (VMAT) radiotherapy. Patients were treated with HA and followed-up clinically and radiologically for response and toxicity assessment.</p><p><strong>Results: </strong>Eight patients were included in our study, six patients with an optic nerve sheath meningioma, one cavernous haemangioma and one orbital schwannoma. All patients demonstrated tumour regression, mean tumour volume prior to treatment of was 4916 mm<sup>3</sup> and reduced to 3239 mm<sup>3</sup> (<i>P</i> = .03). Three of eight patients showed improvement of visual acuity, three retained excellent pre-treatment vision and two patients had a reduction of vision. HA and VMAT planning target volume coverage dosimetry was similar (D95%: 98.7% and 98.6%, <i>P</i> > .05). The dosimetry of the contralateral lens (32.2 vs 69.8 Gy), lacrimal gland (1.7 vs 7.8 Gy), optic nerve (9.0 vs 26.6 Gy), nasal cavity (10.2 vs 20.6 Gy) and ipsilateral temporal lobe (4.9 vs 11.6 Gy) was significantly improved (<i>P</i> < .001) with HA.</p><p><strong>Conclusion: </strong>This is the first reported clinical application of HA for benign orbital tumours. HA was an effective and well tolerated treatment modality. HA offered better dosimetry for some of the OARs compared to VMAT.</p><p><strong>Advances in knowledge: </strong>This is the first article reporting the use of the HA system for planning and delivery of radiotherapy for orbital tumours.</p>","PeriodicalId":72419,"journal":{"name":"BJR open","volume":"7 1","pages":"tzaf011"},"PeriodicalIF":2.1000,"publicationDate":"2025-05-10","publicationTypes":"Journal Article","fieldsOfStudy":null,"isOpenAccess":false,"openAccessPdf":"https://www.ncbi.nlm.nih.gov/pmc/articles/PMC12448194/pdf/","citationCount":"0","resultStr":"{\"title\":\"HyperArc radiotherapy for unresectable benign orbital tumours-cohort study and dosimetric comparison study.\",\"authors\":\"Alasdair Innes Simpson, Caoimhe Henry, Ronan M Valentine, Richard Ferguson, Adam L Peters, Owen O'Brien, Sarah Al-Ani, Paul Cauchi, Stefano Schipani\",\"doi\":\"10.1093/bjro/tzaf011\",\"DOIUrl\":null,\"url\":null,\"abstract\":\"<p><strong>Objective: </strong>To report the clinical application, dosimetric features, efficacy, and toxicity profile of HyperArc (HA) for benign orbital tumours not amenable to surgical resection.</p><p><strong>Methods: </strong>A retrospective interventional cohort study. Gross target volume included the radiologically evident tumour and the optic nerve (excluded in case of haemangioma). Dosimetry was compared between HA and volumetric modulated arc therapy (VMAT) radiotherapy. Patients were treated with HA and followed-up clinically and radiologically for response and toxicity assessment.</p><p><strong>Results: </strong>Eight patients were included in our study, six patients with an optic nerve sheath meningioma, one cavernous haemangioma and one orbital schwannoma. All patients demonstrated tumour regression, mean tumour volume prior to treatment of was 4916 mm<sup>3</sup> and reduced to 3239 mm<sup>3</sup> (<i>P</i> = .03). Three of eight patients showed improvement of visual acuity, three retained excellent pre-treatment vision and two patients had a reduction of vision. HA and VMAT planning target volume coverage dosimetry was similar (D95%: 98.7% and 98.6%, <i>P</i> > .05). The dosimetry of the contralateral lens (32.2 vs 69.8 Gy), lacrimal gland (1.7 vs 7.8 Gy), optic nerve (9.0 vs 26.6 Gy), nasal cavity (10.2 vs 20.6 Gy) and ipsilateral temporal lobe (4.9 vs 11.6 Gy) was significantly improved (<i>P</i> < .001) with HA.</p><p><strong>Conclusion: </strong>This is the first reported clinical application of HA for benign orbital tumours. HA was an effective and well tolerated treatment modality. HA offered better dosimetry for some of the OARs compared to VMAT.</p><p><strong>Advances in knowledge: </strong>This is the first article reporting the use of the HA system for planning and delivery of radiotherapy for orbital tumours.</p>\",\"PeriodicalId\":72419,\"journal\":{\"name\":\"BJR open\",\"volume\":\"7 1\",\"pages\":\"tzaf011\"},\"PeriodicalIF\":2.1000,\"publicationDate\":\"2025-05-10\",\"publicationTypes\":\"Journal Article\",\"fieldsOfStudy\":null,\"isOpenAccess\":false,\"openAccessPdf\":\"https://www.ncbi.nlm.nih.gov/pmc/articles/PMC12448194/pdf/\",\"citationCount\":\"0\",\"resultStr\":null,\"platform\":\"Semanticscholar\",\"paperid\":null,\"PeriodicalName\":\"BJR open\",\"FirstCategoryId\":\"1085\",\"ListUrlMain\":\"https://doi.org/10.1093/bjro/tzaf011\",\"RegionNum\":0,\"RegionCategory\":null,\"ArticlePicture\":[],\"TitleCN\":null,\"AbstractTextCN\":null,\"PMCID\":null,\"EPubDate\":\"2025/1/1 0:00:00\",\"PubModel\":\"eCollection\",\"JCR\":\"\",\"JCRName\":\"\",\"Score\":null,\"Total\":0}","platform":"Semanticscholar","paperid":null,"PeriodicalName":"BJR open","FirstCategoryId":"1085","ListUrlMain":"https://doi.org/10.1093/bjro/tzaf011","RegionNum":0,"RegionCategory":null,"ArticlePicture":[],"TitleCN":null,"AbstractTextCN":null,"PMCID":null,"EPubDate":"2025/1/1 0:00:00","PubModel":"eCollection","JCR":"","JCRName":"","Score":null,"Total":0}
引用次数: 0

摘要

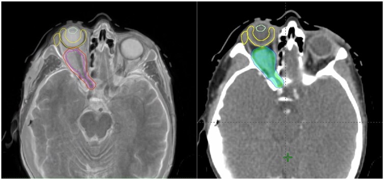
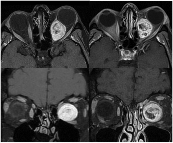
目的:报道HyperArc (HA)治疗不能手术切除的眼眶良性肿瘤的临床应用、剂量学特征、疗效和毒性。方法:回顾性介入队列研究。大体靶体积包括放射学上明显的肿瘤和视神经(血管瘤除外)。比较了HA和VMAT放射治疗的剂量学。患者接受透明质酸治疗,并进行临床和放射学随访,以评估疗效和毒性。结果:8例患者纳入我们的研究,其中6例为视神经鞘脑膜瘤,1例为海绵状血管瘤,1例为眼眶神经鞘瘤。所有患者均出现肿瘤消退,治疗前平均肿瘤体积为4916 mm3,缩小至3239 mm3 (P = .03)。8例患者中3例视力改善,3例术前视力保持良好,2例视力下降。HA和VMAT计划目标体积覆盖剂量学相似(D95%: 98.7%和98.6%,P < 0.05)。对侧晶状体(32.2 Gy vs 69.8 Gy)、泪腺(1.7 Gy vs 7.8 Gy)、视神经(9.0 Gy vs 26.6 Gy)、鼻腔(10.2 Gy vs 20.6 Gy)和同侧颞叶(4.9 Gy vs 11.6 Gy)的剂量测定均有显著改善(P)。HA是一种有效且耐受性良好的治疗方式。与VMAT相比,HA为一些桨提供了更好的剂量测定。知识进展:这是第一篇报道使用HA系统计划和提供眼眶肿瘤放射治疗的文章。
本文章由计算机程序翻译,如有差异,请以英文原文为准。

HyperArc radiotherapy for unresectable benign orbital tumours-cohort study and dosimetric comparison study.

HyperArc radiotherapy for unresectable benign orbital tumours-cohort study and dosimetric comparison study.

HyperArc radiotherapy for unresectable benign orbital tumours-cohort study and dosimetric comparison study.

HyperArc radiotherapy for unresectable benign orbital tumours-cohort study and dosimetric comparison study.

Objective: To report the clinical application, dosimetric features, efficacy, and toxicity profile of HyperArc (HA) for benign orbital tumours not amenable to surgical resection.

Methods: A retrospective interventional cohort study. Gross target volume included the radiologically evident tumour and the optic nerve (excluded in case of haemangioma). Dosimetry was compared between HA and volumetric modulated arc therapy (VMAT) radiotherapy. Patients were treated with HA and followed-up clinically and radiologically for response and toxicity assessment.

Results: Eight patients were included in our study, six patients with an optic nerve sheath meningioma, one cavernous haemangioma and one orbital schwannoma. All patients demonstrated tumour regression, mean tumour volume prior to treatment of was 4916 mm3 and reduced to 3239 mm3 (P = .03). Three of eight patients showed improvement of visual acuity, three retained excellent pre-treatment vision and two patients had a reduction of vision. HA and VMAT planning target volume coverage dosimetry was similar (D95%: 98.7% and 98.6%, P > .05). The dosimetry of the contralateral lens (32.2 vs 69.8 Gy), lacrimal gland (1.7 vs 7.8 Gy), optic nerve (9.0 vs 26.6 Gy), nasal cavity (10.2 vs 20.6 Gy) and ipsilateral temporal lobe (4.9 vs 11.6 Gy) was significantly improved (P < .001) with HA.

Conclusion: This is the first reported clinical application of HA for benign orbital tumours. HA was an effective and well tolerated treatment modality. HA offered better dosimetry for some of the OARs compared to VMAT.

Advances in knowledge: This is the first article reporting the use of the HA system for planning and delivery of radiotherapy for orbital tumours.

求助全文
通过发布文献求助,成功后即可免费获取论文全文。 去求助
来源期刊
自引率
0.00%
发文量
0
审稿时长
18 weeks
×
引用
GB/T 7714-2015
复制
MLA
复制
APA
复制
导出至
BibTeX EndNote RefMan NoteFirst NoteExpress
×
提示
您的信息不完整,为了账户安全,请先补充。
现在去补充
×
提示
您因"违规操作"
具体请查看互助需知
我知道了
×
提示
确定
请完成安全验证×
copy
已复制链接
快去分享给好友吧!
我知道了
右上角分享
点击右上角分享
0
联系我们:info@booksci.cn Book学术提供免费学术资源搜索服务,方便国内外学者检索中英文文献。致力于提供最便捷和优质的服务体验。 Copyright © 2023 布克学术 All rights reserved.
京ICP备2023020795号-1
ghs 京公网安备 11010802042870号
Book学术文献互助
Book学术文献互助群
群 号:604180095
Book学术官方微信