富尼耶坏疽合并脓毒性休克患者的耳咽管瓣膜心内膜炎:一例罕见病例并文献复习。

Q3 Medicine
Qatar Medical Journal Pub Date : 2025-09-15 eCollection Date: 2025-01-01 DOI:10.5339/qmj.2025.93
Ahmed Sifeeldein Ahmed Idris, Umme Nashrah, Umm E Amara, Nissar Shaikh
{"title":"富尼耶坏疽合并脓毒性休克患者的耳咽管瓣膜心内膜炎:一例罕见病例并文献复习。","authors":"Ahmed Sifeeldein Ahmed Idris, Umme Nashrah, Umm E Amara, Nissar Shaikh","doi":"10.5339/qmj.2025.93","DOIUrl":null,"url":null,"abstract":"<p><strong>Introduction: </strong>The eustachian valve (EV) is a remnant of the right sinus venosus valve. It remains different in size and shape without much impact on adult life. In 5% to 10% of all endocarditis, are seen in the right side of the heart is involved, which is rare compared to the left side of the heart. Bacteremia, central venous catheter, heart implants, and drug abuse increase the risk of EV vegetation and right heart endocarditis. We are reporting a case of EV endocarditis in patients with Fournier's gangrene and septic shock.</p><p><strong>Case presentation: </strong>A 45-year-old male patient was admitted into the surgical intensive care unit with Fournier's gangrene, septic shock, and acute kidney injury (AKI). The patient was managed by invasive ventilation, noradrenaline, vasopressin, and renal replacement therapy. He developed <i>Escherichia coli</i> bacteremia and candidemia. We added meropenem and antifungal to the therapy. The transthoracic echocardiography showed EV vegetation and thread-like vegetation in the right coronary sinus, which was confirmed with transesophageal echocardiography. With aggressive therapies, the patient recovered from septic shock, organ dysfunction and was successfully liberated from invasive ventilation. The patient was discharged home on day 27. The antibiotics and antifungal were continued for 6 weeks. Two weeks after discharge, the follow-up echocardiogram was normal, and he was doing well.</p><p><strong>Discussion: </strong>Eustachian valve endocarditis is rare, and should be treated with appropriate, culture- and sensitivity-guided antibiotics and or antifungal therapy for 6 weeks. The outcome of EV vegetations of endocarditis is good. The reported mortality is up to 17%. The independent risk factors associated with mortality are AKI, the Charlson comorbidity index, congestive heart failure, larger vegetation, and central nervous system involvement.</p><p><strong>Conclusion: </strong>The presence of larger EV, along with <i>E. coli</i> (ESBL) bacteremia and fungemia, increases the risk of right-sided endocarditis, which is rarely reported. Our patient was diagnosed early, received appropriate antimicrobial treatment for a sufficient duration, resulting in a better outcome. A high index of suspicion, along with early diagnosis and culture-guided 6-week antimicrobial therapy, will improve the patient's outcomes.</p>","PeriodicalId":53667,"journal":{"name":"Qatar Medical Journal","volume":"2025 3","pages":"93"},"PeriodicalIF":0.0000,"publicationDate":"2025-09-15","publicationTypes":"Journal Article","fieldsOfStudy":null,"isOpenAccess":false,"openAccessPdf":"https://www.ncbi.nlm.nih.gov/pmc/articles/PMC12444439/pdf/","citationCount":"0","resultStr":"{\"title\":\"Eustachian valve endocarditis in patients with Fournier's gangrene and septic shock: A rare case and a literature review.\",\"authors\":\"Ahmed Sifeeldein Ahmed Idris, Umme Nashrah, Umm E Amara, Nissar Shaikh\",\"doi\":\"10.5339/qmj.2025.93\",\"DOIUrl\":null,\"url\":null,\"abstract\":\"<p><strong>Introduction: </strong>The eustachian valve (EV) is a remnant of the right sinus venosus valve. It remains different in size and shape without much impact on adult life. In 5% to 10% of all endocarditis, are seen in the right side of the heart is involved, which is rare compared to the left side of the heart. Bacteremia, central venous catheter, heart implants, and drug abuse increase the risk of EV vegetation and right heart endocarditis. We are reporting a case of EV endocarditis in patients with Fournier's gangrene and septic shock.</p><p><strong>Case presentation: </strong>A 45-year-old male patient was admitted into the surgical intensive care unit with Fournier's gangrene, septic shock, and acute kidney injury (AKI). The patient was managed by invasive ventilation, noradrenaline, vasopressin, and renal replacement therapy. He developed <i>Escherichia coli</i> bacteremia and candidemia. We added meropenem and antifungal to the therapy. The transthoracic echocardiography showed EV vegetation and thread-like vegetation in the right coronary sinus, which was confirmed with transesophageal echocardiography. With aggressive therapies, the patient recovered from septic shock, organ dysfunction and was successfully liberated from invasive ventilation. The patient was discharged home on day 27. The antibiotics and antifungal were continued for 6 weeks. Two weeks after discharge, the follow-up echocardiogram was normal, and he was doing well.</p><p><strong>Discussion: </strong>Eustachian valve endocarditis is rare, and should be treated with appropriate, culture- and sensitivity-guided antibiotics and or antifungal therapy for 6 weeks. The outcome of EV vegetations of endocarditis is good. The reported mortality is up to 17%. The independent risk factors associated with mortality are AKI, the Charlson comorbidity index, congestive heart failure, larger vegetation, and central nervous system involvement.</p><p><strong>Conclusion: </strong>The presence of larger EV, along with <i>E. coli</i> (ESBL) bacteremia and fungemia, increases the risk of right-sided endocarditis, which is rarely reported. Our patient was diagnosed early, received appropriate antimicrobial treatment for a sufficient duration, resulting in a better outcome. A high index of suspicion, along with early diagnosis and culture-guided 6-week antimicrobial therapy, will improve the patient's outcomes.</p>\",\"PeriodicalId\":53667,\"journal\":{\"name\":\"Qatar Medical Journal\",\"volume\":\"2025 3\",\"pages\":\"93\"},\"PeriodicalIF\":0.0000,\"publicationDate\":\"2025-09-15\",\"publicationTypes\":\"Journal Article\",\"fieldsOfStudy\":null,\"isOpenAccess\":false,\"openAccessPdf\":\"https://www.ncbi.nlm.nih.gov/pmc/articles/PMC12444439/pdf/\",\"citationCount\":\"0\",\"resultStr\":null,\"platform\":\"Semanticscholar\",\"paperid\":null,\"PeriodicalName\":\"Qatar Medical Journal\",\"FirstCategoryId\":\"1085\",\"ListUrlMain\":\"https://doi.org/10.5339/qmj.2025.93\",\"RegionNum\":0,\"RegionCategory\":null,\"ArticlePicture\":[],\"TitleCN\":null,\"AbstractTextCN\":null,\"PMCID\":null,\"EPubDate\":\"2025/1/1 0:00:00\",\"PubModel\":\"eCollection\",\"JCR\":\"Q3\",\"JCRName\":\"Medicine\",\"Score\":null,\"Total\":0}","platform":"Semanticscholar","paperid":null,"PeriodicalName":"Qatar Medical Journal","FirstCategoryId":"1085","ListUrlMain":"https://doi.org/10.5339/qmj.2025.93","RegionNum":0,"RegionCategory":null,"ArticlePicture":[],"TitleCN":null,"AbstractTextCN":null,"PMCID":null,"EPubDate":"2025/1/1 0:00:00","PubModel":"eCollection","JCR":"Q3","JCRName":"Medicine","Score":null,"Total":0}
引用次数: 0

摘要

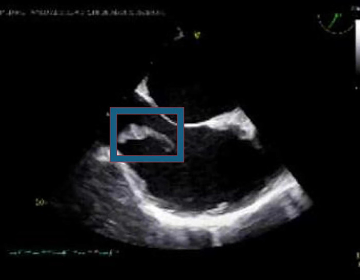
耳咽管瓣膜(EV)是右静脉窦瓣膜的残余。它的大小和形状仍然不同,但对成年人的生活没有太大影响。在所有心内膜炎中,有5%到10%发生在累及心脏的右侧,这与发生在心脏左侧相比是罕见的。菌血症、中心静脉导管、心脏植入物和药物滥用增加EV植被和右心内膜炎的风险。我们报告一例伴有富尼耶坏疽和感染性休克的EV心内膜炎患者。病例介绍:一名45岁男性患者因富尼耶坏疽、感染性休克和急性肾损伤(AKI)被送入外科重症监护病房。患者接受有创通气、去甲肾上腺素、加压素和肾脏替代治疗。他患上了大肠杆菌血症和念珠菌病。我们在治疗中加入了美罗培南和抗真菌药。经胸超声心动图示右冠状动脉窦内EV植被及线状植被,经食管超声心动图证实。经过积极的治疗,患者从感染性休克、器官功能障碍中恢复过来,并成功摆脱了有创通气。患者于第27天出院。抗生素和抗真菌药物持续治疗6周。出院两周后,随访超声心动图正常,病情恢复良好。讨论:耳咽管瓣膜心内膜炎是罕见的,应给予适当的、培养和敏感性指导的抗生素和/或抗真菌治疗6周。心内膜炎的EV植被预后良好。报告的死亡率高达17%。与死亡率相关的独立危险因素有AKI、Charlson合并症指数、充血性心力衰竭、较大的植被和中枢神经系统受累。结论:较大的大肠杆菌(ESBL)菌血症和真菌血症的存在增加了右侧心内膜炎的风险,但很少有报道。我们的患者诊断早期,接受适当的抗菌药物治疗足够的时间,结果较好。高怀疑指数,加上早期诊断和培养指导下的6周抗菌治疗,将改善患者的预后。
本文章由计算机程序翻译,如有差异,请以英文原文为准。

Eustachian valve endocarditis in patients with Fournier's gangrene and septic shock: A rare case and a literature review.

Eustachian valve endocarditis in patients with Fournier's gangrene and septic shock: A rare case and a literature review.

Eustachian valve endocarditis in patients with Fournier's gangrene and septic shock: A rare case and a literature review.

Eustachian valve endocarditis in patients with Fournier's gangrene and septic shock: A rare case and a literature review.

Introduction: The eustachian valve (EV) is a remnant of the right sinus venosus valve. It remains different in size and shape without much impact on adult life. In 5% to 10% of all endocarditis, are seen in the right side of the heart is involved, which is rare compared to the left side of the heart. Bacteremia, central venous catheter, heart implants, and drug abuse increase the risk of EV vegetation and right heart endocarditis. We are reporting a case of EV endocarditis in patients with Fournier's gangrene and septic shock.

Case presentation: A 45-year-old male patient was admitted into the surgical intensive care unit with Fournier's gangrene, septic shock, and acute kidney injury (AKI). The patient was managed by invasive ventilation, noradrenaline, vasopressin, and renal replacement therapy. He developed Escherichia coli bacteremia and candidemia. We added meropenem and antifungal to the therapy. The transthoracic echocardiography showed EV vegetation and thread-like vegetation in the right coronary sinus, which was confirmed with transesophageal echocardiography. With aggressive therapies, the patient recovered from septic shock, organ dysfunction and was successfully liberated from invasive ventilation. The patient was discharged home on day 27. The antibiotics and antifungal were continued for 6 weeks. Two weeks after discharge, the follow-up echocardiogram was normal, and he was doing well.

Discussion: Eustachian valve endocarditis is rare, and should be treated with appropriate, culture- and sensitivity-guided antibiotics and or antifungal therapy for 6 weeks. The outcome of EV vegetations of endocarditis is good. The reported mortality is up to 17%. The independent risk factors associated with mortality are AKI, the Charlson comorbidity index, congestive heart failure, larger vegetation, and central nervous system involvement.

Conclusion: The presence of larger EV, along with E. coli (ESBL) bacteremia and fungemia, increases the risk of right-sided endocarditis, which is rarely reported. Our patient was diagnosed early, received appropriate antimicrobial treatment for a sufficient duration, resulting in a better outcome. A high index of suspicion, along with early diagnosis and culture-guided 6-week antimicrobial therapy, will improve the patient's outcomes.

求助全文
通过发布文献求助,成功后即可免费获取论文全文。 去求助
来源期刊
Qatar Medical Journal
Qatar Medical Journal Medicine-Medicine (all)
CiteScore
1.80
自引率
0.00%
发文量
77
审稿时长
6 weeks
×
引用
GB/T 7714-2015
复制
MLA
复制
APA
复制
导出至
BibTeX EndNote RefMan NoteFirst NoteExpress
×
提示
您的信息不完整,为了账户安全,请先补充。
现在去补充
×
提示
您因"违规操作"
具体请查看互助需知
我知道了
×
提示
确定
请完成安全验证×
copy
已复制链接
快去分享给好友吧!
我知道了
右上角分享
点击右上角分享
0
联系我们:info@booksci.cn Book学术提供免费学术资源搜索服务,方便国内外学者检索中英文文献。致力于提供最便捷和优质的服务体验。 Copyright © 2023 布克学术 All rights reserved.
京ICP备2023020795号-1
ghs 京公网安备 11010802042870号
Book学术文献互助
Book学术文献互助群
群 号:604180095
Book学术官方微信