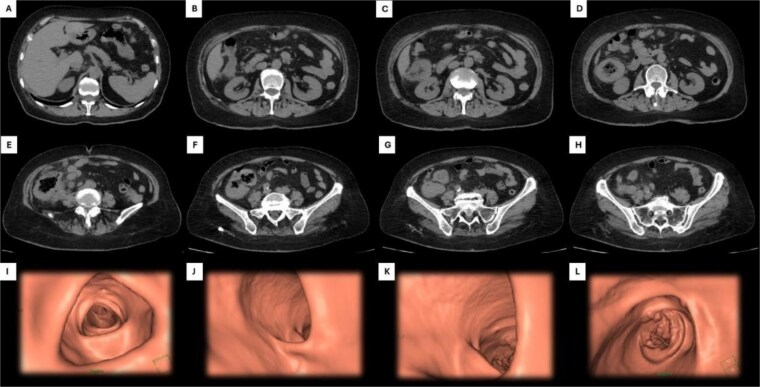
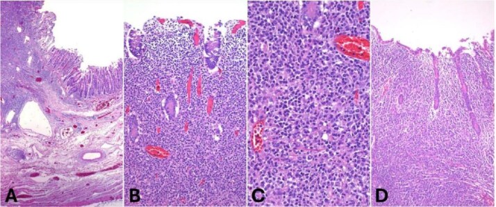
原发性结肠淋巴瘤:诊断和治疗策略的临床困境。

IF 0.5 Q4 SURGERY
Journal of Surgical Case Reports Pub Date : 2025-09-20 eCollection Date: 2025-09-01 DOI:10.1093/jscr/rjaf744
Kevin J Fuentes-Calvo, Francisco E Alvarez-Bautista, Oscar Santes, Luis F Arias-Ruíz, Noel Salgado-Nesme
{"title":"原发性结肠淋巴瘤:诊断和治疗策略的临床困境。","authors":"Kevin J Fuentes-Calvo, Francisco E Alvarez-Bautista, Oscar Santes, Luis F Arias-Ruíz, Noel Salgado-Nesme","doi":"10.1093/jscr/rjaf744","DOIUrl":null,"url":null,"abstract":"","PeriodicalId":47321,"journal":{"name":"Journal of Surgical Case Reports","volume":"2025 9","pages":"rjaf744"},"PeriodicalIF":0.5000,"publicationDate":"2025-09-20","publicationTypes":"Journal Article","fieldsOfStudy":null,"isOpenAccess":false,"openAccessPdf":"https://www.ncbi.nlm.nih.gov/pmc/articles/PMC12449761/pdf/","citationCount":"0","resultStr":"{\"title\":\"Primary colonic lymphoma: clinical dilemmas in diagnosis and treatment strategy.\",\"authors\":\"Kevin J Fuentes-Calvo, Francisco E Alvarez-Bautista, Oscar Santes, Luis F Arias-Ruíz, Noel Salgado-Nesme\",\"doi\":\"10.1093/jscr/rjaf744\",\"DOIUrl\":null,\"url\":null,\"abstract\":\"\",\"PeriodicalId\":47321,\"journal\":{\"name\":\"Journal of Surgical Case Reports\",\"volume\":\"2025 9\",\"pages\":\"rjaf744\"},\"PeriodicalIF\":0.5000,\"publicationDate\":\"2025-09-20\",\"publicationTypes\":\"Journal Article\",\"fieldsOfStudy\":null,\"isOpenAccess\":false,\"openAccessPdf\":\"https://www.ncbi.nlm.nih.gov/pmc/articles/PMC12449761/pdf/\",\"citationCount\":\"0\",\"resultStr\":null,\"platform\":\"Semanticscholar\",\"paperid\":null,\"PeriodicalName\":\"Journal of Surgical Case Reports\",\"FirstCategoryId\":\"1085\",\"ListUrlMain\":\"https://doi.org/10.1093/jscr/rjaf744\",\"RegionNum\":0,\"RegionCategory\":null,\"ArticlePicture\":[],\"TitleCN\":null,\"AbstractTextCN\":null,\"PMCID\":null,\"EPubDate\":\"2025/9/1 0:00:00\",\"PubModel\":\"eCollection\",\"JCR\":\"Q4\",\"JCRName\":\"SURGERY\",\"Score\":null,\"Total\":0}","platform":"Semanticscholar","paperid":null,"PeriodicalName":"Journal of Surgical Case Reports","FirstCategoryId":"1085","ListUrlMain":"https://doi.org/10.1093/jscr/rjaf744","RegionNum":0,"RegionCategory":null,"ArticlePicture":[],"TitleCN":null,"AbstractTextCN":null,"PMCID":null,"EPubDate":"2025/9/1 0:00:00","PubModel":"eCollection","JCR":"Q4","JCRName":"SURGERY","Score":null,"Total":0}
引用次数: 0

摘要

本文章由计算机程序翻译,如有差异,请以英文原文为准。

Primary colonic lymphoma: clinical dilemmas in diagnosis and treatment strategy.

Primary colonic lymphoma: clinical dilemmas in diagnosis and treatment strategy.

Primary colonic lymphoma: clinical dilemmas in diagnosis and treatment strategy.

Primary colonic lymphoma: clinical dilemmas in diagnosis and treatment strategy.
求助全文
通过发布文献求助,成功后即可免费获取论文全文。 去求助
来源期刊
CiteScore
0.70
自引率
0.00%
发文量
559
审稿时长
11 weeks
×
引用
GB/T 7714-2015
复制
MLA
复制
APA
复制
导出至
BibTeX EndNote RefMan NoteFirst NoteExpress
×
提示
您的信息不完整,为了账户安全,请先补充。
现在去补充
×
提示
您因"违规操作"
具体请查看互助需知
我知道了
×
提示
确定
请完成安全验证×
copy
已复制链接
快去分享给好友吧!
我知道了
右上角分享
点击右上角分享
0
联系我们:info@booksci.cn Book学术提供免费学术资源搜索服务,方便国内外学者检索中英文文献。致力于提供最便捷和优质的服务体验。 Copyright © 2023 布克学术 All rights reserved.
京ICP备2023020795号-1
ghs 京公网安备 11010802042870号
Book学术文献互助
Book学术文献互助群
群 号:604180095
Book学术官方微信