孤立性胰尾及脾门结核1例。

IF 0.5 Q4 SURGERY
Journal of Surgical Case Reports Pub Date : 2025-09-20 eCollection Date: 2025-09-01 DOI:10.1093/jscr/rjaf754
Yogesh Rawat, Mohd Sadik Akhtar, Ankur Rawat, Praveen Raj
{"title":"孤立性胰尾及脾门结核1例。","authors":"Yogesh Rawat, Mohd Sadik Akhtar, Ankur Rawat, Praveen Raj","doi":"10.1093/jscr/rjaf754","DOIUrl":null,"url":null,"abstract":"<p><p>Abdominal tuberculosis (TB) is a rare extrapulmonary manifestation, with pancreatic and splenic involvement being extremely uncommon and often misdiagnosed as malignancy. We present the case of a 22-year-old female with chronic epigastric pain, weight loss, and fever. Imaging revealed a necrotic lymph node mass near the pancreatic tail and splenic hilum with splenic infarction. Fine-needle aspiration cytology confirmed TB, and the patient responded well to anti-tubercular therapy, avoiding surgical intervention. This case underscores the importance of considering TB in the differential diagnosis of upper abdominal masses in endemic regions to prevent unnecessary surgeries.</p>","PeriodicalId":47321,"journal":{"name":"Journal of Surgical Case Reports","volume":"2025 9","pages":"rjaf754"},"PeriodicalIF":0.5000,"publicationDate":"2025-09-20","publicationTypes":"Journal Article","fieldsOfStudy":null,"isOpenAccess":false,"openAccessPdf":"https://www.ncbi.nlm.nih.gov/pmc/articles/PMC12449758/pdf/","citationCount":"0","resultStr":"{\"title\":\"Isolated pancreatic tail and splenic hilum tuberculosis: a rare case report.\",\"authors\":\"Yogesh Rawat, Mohd Sadik Akhtar, Ankur Rawat, Praveen Raj\",\"doi\":\"10.1093/jscr/rjaf754\",\"DOIUrl\":null,\"url\":null,\"abstract\":\"<p><p>Abdominal tuberculosis (TB) is a rare extrapulmonary manifestation, with pancreatic and splenic involvement being extremely uncommon and often misdiagnosed as malignancy. We present the case of a 22-year-old female with chronic epigastric pain, weight loss, and fever. Imaging revealed a necrotic lymph node mass near the pancreatic tail and splenic hilum with splenic infarction. Fine-needle aspiration cytology confirmed TB, and the patient responded well to anti-tubercular therapy, avoiding surgical intervention. This case underscores the importance of considering TB in the differential diagnosis of upper abdominal masses in endemic regions to prevent unnecessary surgeries.</p>\",\"PeriodicalId\":47321,\"journal\":{\"name\":\"Journal of Surgical Case Reports\",\"volume\":\"2025 9\",\"pages\":\"rjaf754\"},\"PeriodicalIF\":0.5000,\"publicationDate\":\"2025-09-20\",\"publicationTypes\":\"Journal Article\",\"fieldsOfStudy\":null,\"isOpenAccess\":false,\"openAccessPdf\":\"https://www.ncbi.nlm.nih.gov/pmc/articles/PMC12449758/pdf/\",\"citationCount\":\"0\",\"resultStr\":null,\"platform\":\"Semanticscholar\",\"paperid\":null,\"PeriodicalName\":\"Journal of Surgical Case Reports\",\"FirstCategoryId\":\"1085\",\"ListUrlMain\":\"https://doi.org/10.1093/jscr/rjaf754\",\"RegionNum\":0,\"RegionCategory\":null,\"ArticlePicture\":[],\"TitleCN\":null,\"AbstractTextCN\":null,\"PMCID\":null,\"EPubDate\":\"2025/9/1 0:00:00\",\"PubModel\":\"eCollection\",\"JCR\":\"Q4\",\"JCRName\":\"SURGERY\",\"Score\":null,\"Total\":0}","platform":"Semanticscholar","paperid":null,"PeriodicalName":"Journal of Surgical Case Reports","FirstCategoryId":"1085","ListUrlMain":"https://doi.org/10.1093/jscr/rjaf754","RegionNum":0,"RegionCategory":null,"ArticlePicture":[],"TitleCN":null,"AbstractTextCN":null,"PMCID":null,"EPubDate":"2025/9/1 0:00:00","PubModel":"eCollection","JCR":"Q4","JCRName":"SURGERY","Score":null,"Total":0}
引用次数: 0

摘要

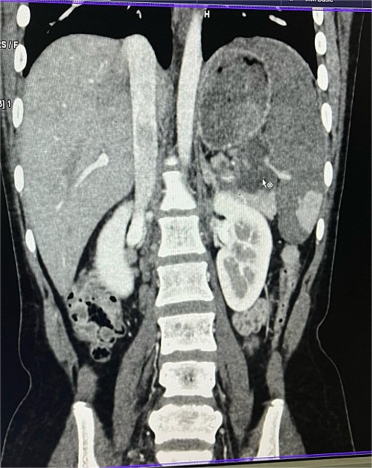
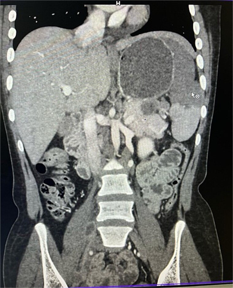
腹结核(TB)是一种罕见的肺外表现,累及胰腺和脾脏极为罕见,常被误诊为恶性肿瘤。我们提出的情况下,22岁的女性慢性胃痛,体重减轻,发烧。影像学显示胰腺尾部及脾门附近有坏死淋巴结肿块伴脾梗死。细针抽吸细胞学证实为结核病,患者对抗结核治疗反应良好,避免了手术干预。本病例强调了在流行地区的上腹部肿块鉴别诊断中考虑结核的重要性,以防止不必要的手术。
本文章由计算机程序翻译,如有差异,请以英文原文为准。

Isolated pancreatic tail and splenic hilum tuberculosis: a rare case report.

Isolated pancreatic tail and splenic hilum tuberculosis: a rare case report.

Isolated pancreatic tail and splenic hilum tuberculosis: a rare case report.

Abdominal tuberculosis (TB) is a rare extrapulmonary manifestation, with pancreatic and splenic involvement being extremely uncommon and often misdiagnosed as malignancy. We present the case of a 22-year-old female with chronic epigastric pain, weight loss, and fever. Imaging revealed a necrotic lymph node mass near the pancreatic tail and splenic hilum with splenic infarction. Fine-needle aspiration cytology confirmed TB, and the patient responded well to anti-tubercular therapy, avoiding surgical intervention. This case underscores the importance of considering TB in the differential diagnosis of upper abdominal masses in endemic regions to prevent unnecessary surgeries.

求助全文
通过发布文献求助,成功后即可免费获取论文全文。 去求助
来源期刊
CiteScore
0.70
自引率
0.00%
发文量
559
审稿时长
11 weeks
×
引用
GB/T 7714-2015
复制
MLA
复制
APA
复制
导出至
BibTeX EndNote RefMan NoteFirst NoteExpress
×
提示
您的信息不完整,为了账户安全,请先补充。
现在去补充
×
提示
您因"违规操作"
具体请查看互助需知
我知道了
×
提示
确定
请完成安全验证×
copy
已复制链接
快去分享给好友吧!
我知道了
右上角分享
点击右上角分享
0
联系我们:info@booksci.cn Book学术提供免费学术资源搜索服务,方便国内外学者检索中英文文献。致力于提供最便捷和优质的服务体验。 Copyright © 2023 布克学术 All rights reserved.
京ICP备2023020795号-1
ghs 京公网安备 11010802042870号
Book学术文献互助
Book学术文献互助群
群 号:604180095
Book学术官方微信