肾衰表现为利希综合征1例。

IF 0.4 Q3 MEDICINE, GENERAL & INTERNAL
Oxford Medical Case Reports Pub Date : 2025-09-15 eCollection Date: 2025-09-01 DOI:10.1093/omcr/omaf159
Sara Anibar, Mohammed Elalami, Mounir Salek, Mohammed Bouchoual, Soukaina Wakrim, Marouane Jabrane, Mohamed Arrayhani
{"title":"肾衰表现为利希综合征1例。","authors":"Sara Anibar, Mohammed Elalami, Mounir Salek, Mohammed Bouchoual, Soukaina Wakrim, Marouane Jabrane, Mohamed Arrayhani","doi":"10.1093/omcr/omaf159","DOIUrl":null,"url":null,"abstract":"<p><p>Lerich syndrome, also known as aorto-iliac obliteration syndrome, is a specific entity among obliterative arteriopathies of the lower limbs, is defined as thrombotic occlusion of the aorto-iliac junction. We report a case of 60-yearold patient, chronic smoker with hypertension disease. He was admitted for an assessment of renal failure, in whom the diagnosis of chronic kidney disease was confirmed. Moreover, in the presence of renal asymmetry (4,9 cm) on renal ultrasound, a CT angiography was requested, confirming the diagnosis of Lerich syndrome with renal artery stenosis. A complementary assessment, including etiological one was performed, revealing no abnormalities. Therapeutically, the patient was placed on intermittent hemodialysis and curative anticoagulation. Our case represents a rare and fortuitous discovery of Lerich syndrome.</p>","PeriodicalId":45318,"journal":{"name":"Oxford Medical Case Reports","volume":"2025 9","pages":"omaf159"},"PeriodicalIF":0.4000,"publicationDate":"2025-09-15","publicationTypes":"Journal Article","fieldsOfStudy":null,"isOpenAccess":false,"openAccessPdf":"https://www.ncbi.nlm.nih.gov/pmc/articles/PMC12448482/pdf/","citationCount":"0","resultStr":"{\"title\":\"Lerich syndrome revealed by renal failure: a case report.\",\"authors\":\"Sara Anibar, Mohammed Elalami, Mounir Salek, Mohammed Bouchoual, Soukaina Wakrim, Marouane Jabrane, Mohamed Arrayhani\",\"doi\":\"10.1093/omcr/omaf159\",\"DOIUrl\":null,\"url\":null,\"abstract\":\"<p><p>Lerich syndrome, also known as aorto-iliac obliteration syndrome, is a specific entity among obliterative arteriopathies of the lower limbs, is defined as thrombotic occlusion of the aorto-iliac junction. We report a case of 60-yearold patient, chronic smoker with hypertension disease. He was admitted for an assessment of renal failure, in whom the diagnosis of chronic kidney disease was confirmed. Moreover, in the presence of renal asymmetry (4,9 cm) on renal ultrasound, a CT angiography was requested, confirming the diagnosis of Lerich syndrome with renal artery stenosis. A complementary assessment, including etiological one was performed, revealing no abnormalities. Therapeutically, the patient was placed on intermittent hemodialysis and curative anticoagulation. Our case represents a rare and fortuitous discovery of Lerich syndrome.</p>\",\"PeriodicalId\":45318,\"journal\":{\"name\":\"Oxford Medical Case Reports\",\"volume\":\"2025 9\",\"pages\":\"omaf159\"},\"PeriodicalIF\":0.4000,\"publicationDate\":\"2025-09-15\",\"publicationTypes\":\"Journal Article\",\"fieldsOfStudy\":null,\"isOpenAccess\":false,\"openAccessPdf\":\"https://www.ncbi.nlm.nih.gov/pmc/articles/PMC12448482/pdf/\",\"citationCount\":\"0\",\"resultStr\":null,\"platform\":\"Semanticscholar\",\"paperid\":null,\"PeriodicalName\":\"Oxford Medical Case Reports\",\"FirstCategoryId\":\"1085\",\"ListUrlMain\":\"https://doi.org/10.1093/omcr/omaf159\",\"RegionNum\":0,\"RegionCategory\":null,\"ArticlePicture\":[],\"TitleCN\":null,\"AbstractTextCN\":null,\"PMCID\":null,\"EPubDate\":\"2025/9/1 0:00:00\",\"PubModel\":\"eCollection\",\"JCR\":\"Q3\",\"JCRName\":\"MEDICINE, GENERAL & INTERNAL\",\"Score\":null,\"Total\":0}","platform":"Semanticscholar","paperid":null,"PeriodicalName":"Oxford Medical Case Reports","FirstCategoryId":"1085","ListUrlMain":"https://doi.org/10.1093/omcr/omaf159","RegionNum":0,"RegionCategory":null,"ArticlePicture":[],"TitleCN":null,"AbstractTextCN":null,"PMCID":null,"EPubDate":"2025/9/1 0:00:00","PubModel":"eCollection","JCR":"Q3","JCRName":"MEDICINE, GENERAL & INTERNAL","Score":null,"Total":0}
引用次数: 0

摘要

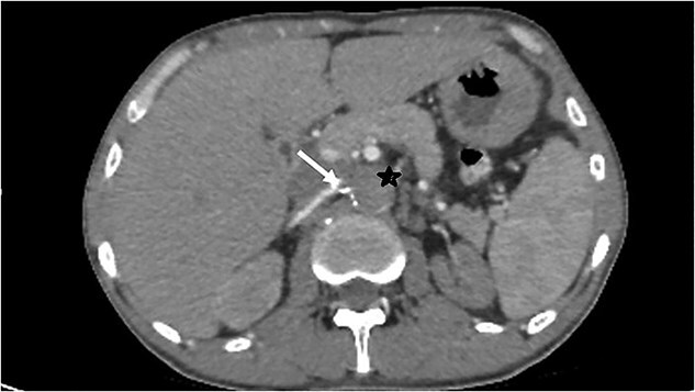
Lerich综合征,又称主动脉-髂闭塞综合征,是下肢闭塞性动脉病变中的一种特殊疾病,定义为主动脉-髂连接处血栓性闭塞。我们报告一例60岁的高血压病患者,慢性吸烟者。他入院接受肾功能衰竭评估,确诊为慢性肾病。此外,由于肾脏超声显示肾脏不对称(4,9 cm),要求行CT血管造影,确诊为肾动脉狭窄的Lerich综合征。进行了包括病因学在内的补充评估,未发现异常。治疗上,患者接受间歇性血液透析和治疗性抗凝治疗。我们的病例是莱里奇综合征罕见而偶然的发现。
本文章由计算机程序翻译,如有差异,请以英文原文为准。

Lerich syndrome revealed by renal failure: a case report.

Lerich syndrome revealed by renal failure: a case report.

Lerich syndrome revealed by renal failure: a case report.

Lerich syndrome, also known as aorto-iliac obliteration syndrome, is a specific entity among obliterative arteriopathies of the lower limbs, is defined as thrombotic occlusion of the aorto-iliac junction. We report a case of 60-yearold patient, chronic smoker with hypertension disease. He was admitted for an assessment of renal failure, in whom the diagnosis of chronic kidney disease was confirmed. Moreover, in the presence of renal asymmetry (4,9 cm) on renal ultrasound, a CT angiography was requested, confirming the diagnosis of Lerich syndrome with renal artery stenosis. A complementary assessment, including etiological one was performed, revealing no abnormalities. Therapeutically, the patient was placed on intermittent hemodialysis and curative anticoagulation. Our case represents a rare and fortuitous discovery of Lerich syndrome.

求助全文
通过发布文献求助,成功后即可免费获取论文全文。 去求助
来源期刊
Oxford Medical Case Reports
Oxford Medical Case Reports MEDICINE, GENERAL & INTERNAL-
CiteScore
0.90
自引率
0.00%
发文量
125
审稿时长
19 weeks
期刊介绍: Oxford Medical Case Reports (OMCR) is an open access, peer-reviewed online journal publishing original and educationally valuable case reports that expand the field of medicine. The journal covers all medical specialities including cardiology, rheumatology, nephrology, oncology, neurology, and reproduction, comprising a comprehensive resource for physicians in all fields and at all stages of training. Oxford Medical Case Reports deposits all articles in PubMed Central (PMC). Physicians and researchers can find your work through PubMed , helping you reach the widest possible audience. The journal is also indexed in the Web of Science Core Collection . Oxford Medical Case Reports publishes case reports under the following categories: Allergy Audiovestibular medicine Cardiology and cardiovascular systems Critical care medicine Dermatology Emergency medicine Endocrinology and metabolism Gastroenterology and hepatology Geriatrics and gerontology Haematology Immunology Infectious diseases and tropical medicine Medical disorders in pregnancy Medical ophthalmology Nephrology Neurology Oncology Paediatrics Pain Palliative medicine Pharmacology and pharmacy Psychiatry Radiology, nuclear medicine, and medical imaging Respiratory disorders Rheumatology Sexual and reproductive health Sports Medicine Substance abuse.
×
引用
GB/T 7714-2015
复制
MLA
复制
APA
复制
导出至
BibTeX EndNote RefMan NoteFirst NoteExpress
×
提示
您的信息不完整,为了账户安全,请先补充。
现在去补充
×
提示
您因"违规操作"
具体请查看互助需知
我知道了
×
提示
确定
请完成安全验证×
copy
已复制链接
快去分享给好友吧!
我知道了
右上角分享
点击右上角分享
0
联系我们:info@booksci.cn Book学术提供免费学术资源搜索服务,方便国内外学者检索中英文文献。致力于提供最便捷和优质的服务体验。 Copyright © 2023 布克学术 All rights reserved.
京ICP备2023020795号-1
ghs 京公网安备 11010802042870号
Book学术文献互助
Book学术文献互助群
群 号:604180095
Book学术官方微信